1/36
Looks like no tags are added yet.
Name | Mastery | Learn | Test | Matching | Spaced | Call with Kai |
|---|
No analytics yet
Send a link to your students to track their progress
What are double-stranded RNA viruses?
genetic material composed of 2 complementary RNA strands
group 3 BCS
Describe the stability of dsRNA viruses
inherently stable due to ds nature of RNA, which forms a helical structure
How do dsRNA viruses replicate?
inside host cell, viral capsid removed, dsRNA genome released into cytoplasm
viral polymerase enzyme transcribes the dsRNA genome into mRNA inside the viral particle
viral mRNAs released into cytoplasm & translated by host’s ribosomes to produce viral proteins
viral polymerase synthesises new dsRNA genomes using mRNA as a template
viral proteins & genomes assemble into new viral particles
List examples of dsRNA viruses
reoviridae (rotavirus, bluetongue virus, african horse sickness virus)
What are the characteristics of the reoviridae genome?
genetic reassortment (genetic shift)
high mutation rate (genetic drift)
numerous serotypes & strains of each virus species
What are the characteristics of Reoviridae viruses?
non-enveloped
icosahedral capsid
segmented genomes
What species are affected by rotavirus?
young animals (calves, piglets, foals & lambs)
What are the clinical signs of rotavirus?
severe gastroenteritis → diarrhoea, dehydration, death
depression and lethargy
weight loss
fever
How is rotavirus transmitted?
faecal-oral route, highly contagious
What impact does rotavirus have on the livestock industry?
significant economic losses due to decreased productivity, treatment costs & mortality

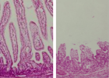
What does this image show?
villi atrophy due to rotavirus
What cells does rotavirus infect?
mature enterocytes at middle & top of intestinal villi
prominent vacuolisation
What does damaged villi due to rotavirus infection cause?
short, so reduced nutrient adsorption
How can rotavirus be diagnosed?
white scours
point of care testing (antigen capture test for Rotavirus in faeces)
viral RNA extraction & testing by RT-PCR
How can rotavirus be prevented?
inactivated & live attenuated vaccines in cattle and pigs
What species are primarily affected by bluetongue virus?
ruminants (sheep most severely affected)
What are the clinical signs of bluetongue virus in sheep?
high fever
swelling of face and tongue
lameness
nasal discharge
cyanosis of tongue
What are the clinical signs of bluetongue virus?
often subclinical
fever
swelling
erosions of mouth and nose
reduced milk production
How is bluetongue virus transmitted?
biting midges - seasonal outbreaks typically in late summer & early autumn
Why is bluetongue virus relevant to the livestock industry?
economic losses due to reduced productivity, treatment costs & mortality
outbreaks lead to restrictions on livestock movement
Describe the pathogenesis of bluetongue virus
replicates in local areas of bite site (dendritic cells, macrophages, lymphocytes & endothelial cells that line walls of blood vessels)
viremia (interacts with platelets & erythrocytes, causing damage to endothelial cells → vascular thrombosis, infarction, necrosis & haemorrhage)
What is primarily the cause of death from bluetongue virus?
pulmonary oedema
Why is it thought that there’s overwintering of bluetongue virus?
continuous low-level transmission
midge and virus stability
How can bluetongue virus be diagnosed?
clinical findings
RT-PCR (most common method for detecting BTV RNA in blood, tissue or midge samples)
ELISA (detect antibodies against BTV in blood samples - good for identifying past infections & for surveillance)
Which reovirus is a notifiable disease?
bluetongue virus
What are the reporting and control measures of bluetongue virus?
notifiable disease
movement restrictions
How can bluetongue virus be prevented?
live attenuated vaccines for cattle and sheep
What species are affected by African Horse Sickness virus?
equines
What are the different forms of African Horse Sickness in horses?
pulmonary form
cardiac form
mixed form
What are the clinical signs of the pulmonary form of African Horse Sickness virus in horses?
severe respiratory distress
frothy nasal discharge
high fever
sudden death within hours
What are the clinical signs of the cardiac form of African Horse Sickness Virus in horses?
swelling of head, neck, and chest
subcutaneous oedema
severe cardiovascular symptoms through endothelial damage & fluid accumulation in tissues
death in days
What are the clinical signs of the mixed form of African Horse Sickness in horses?
combination of pulmonary and cardiac symptoms
What are the clinical signs of African Horse Sickness in mules and donkeys?
mild symptoms - including fever & mild respiratory signs
How is African Horse Sickness virus transmitted?
vector borne (primarily biting midges - Culicoides) outbreaks seasonal, in warm, wet seasons
What are the replication sites of African Horse Sickness?
initial replication in macrophages & dendritic
replicates extensively in endothelial cells (leads to vascular damage & CS oedema & haemorrhage)
epithelial cells
How can African Horse Sickness Virus be prevented?
vaccination in endemic countries annually
How can African Horse Sickness be controlled?
stabling (keep indoors during peak vector activity)
stable protection (fine-gauge, insecticide-treated shade cloth, double-door systems & positive pressure ventilation)
topical measures (insect repellents and insecticides)