1/13
Looks like no tags are added yet.
Name | Mastery | Learn | Test | Matching | Spaced | Call with Kai |
|---|
No analytics yet
Send a link to your students to track their progress
What are the primary structures impacted in PSP?
Basal Ganglia
Brainstem
Cortex
What is the average age on onset for PSP?
60 - 65
What gender is more affected with PSP?
Male > Female
What is average survival prognosis of PSP?
7 Years
What neurological condition may pair with PSP?
What is the reason for this?
Tau Protein Build Up:
Alzheimer’s / Dementia
What are hallmark s / sx of PSP?
Vertical Gaze Palsy
Falling Backwards
Speech Difficulties
Swallowing Difficulties
Personality / Mood Changes
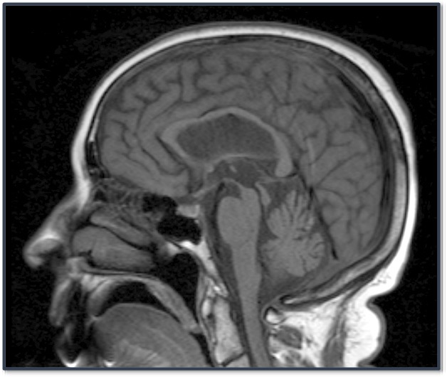
What is the classic imaging sign seen for PSP?
The Penguin Sign

What s/sx does PD have, that PD doesn’t (5)?
PD Responds To Levodopa, PSP Doesn’t
PD Always Has Tremors, PSP Doesn’t
PD Falls Forwards, Not Backwards
PD Unlikely Vision Deficits
PD Unlikely Dysphagia
What is the most common causes of death for PSP patients?
Pneumonia
Choking
Falls
What is the gold standard for PSP grading?
What is the best virtual version?
Gold Standard: PSPRS
Virtual Version: mPSRPS-21
What are the PSPRS categories?
How many points are for each?
History (24 pts)
Mentation (16 pts)
Bulbar (8 pts)
Ocular (16 pts)
Limb (16 pts)
Gait (20 pts)
What are the grades for PSP Staging?
1 - Normal Gait
2 - Abnormal, But Stable Gait
3 - Cane / Intermittent AD Use
4 - Walker / Continuous AD Use
5 - Mostly WC Bound
What outcome measure is often used for PSP function (not PSPRS)?
SEADL
What does research indicate regarding PSP gaze shifts and ambulation?
Gaze Shift & Foot Asymmetry Are Paired
Gaze Shift Ability Can Be Enhanced:
Best Evidence: Auditory Feedback
Also Decent: VOR Suppression