1/26
Looks like no tags are added yet.
Name | Mastery | Learn | Test | Matching | Spaced | Call with Kai |
|---|
No analytics yet
Send a link to your students to track their progress

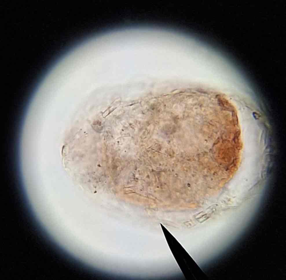
Arcella vulgaris


Diffugia sp.


Amoeba Chaos chaos (?)


Amoeba proteus (?)


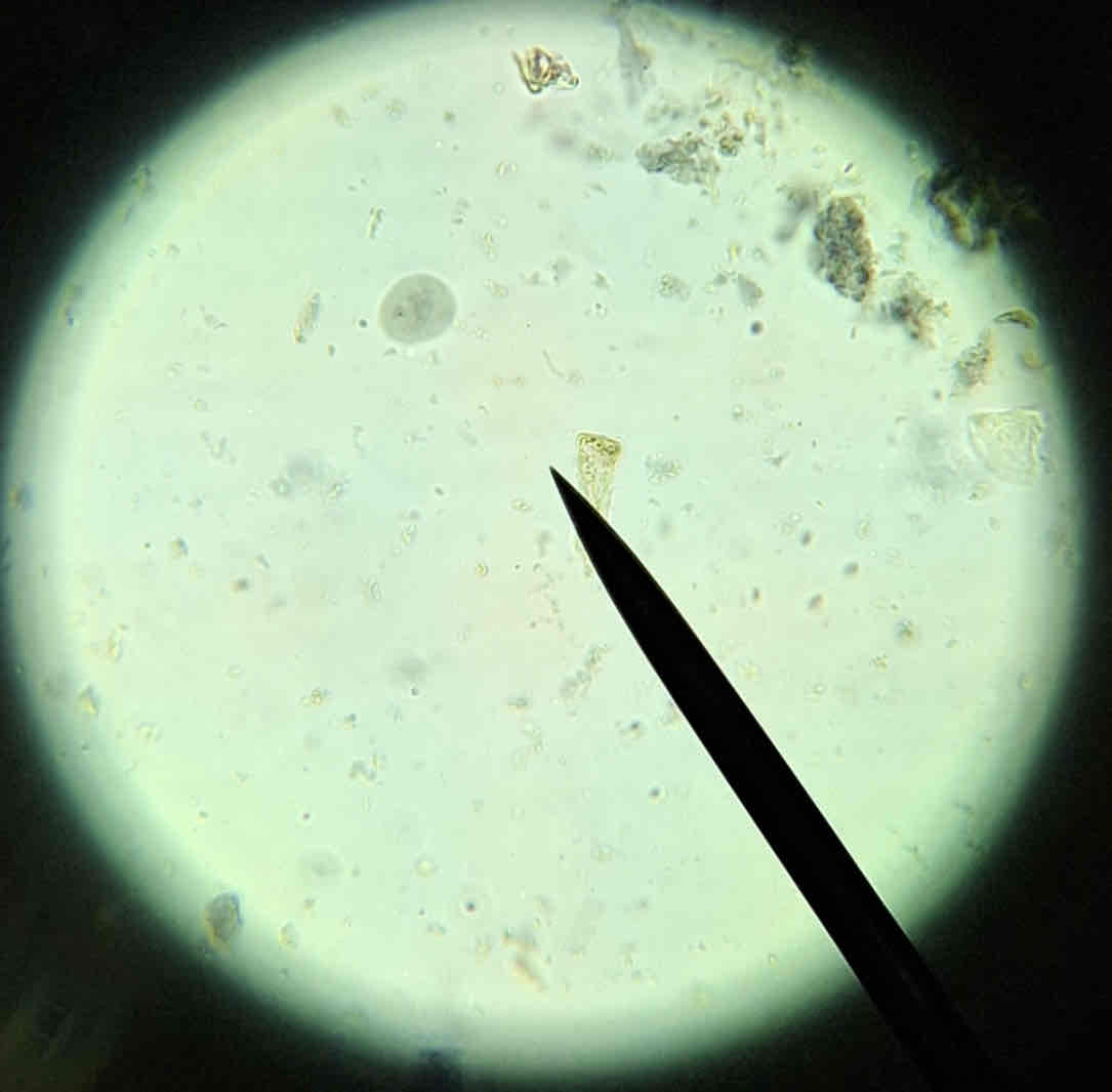
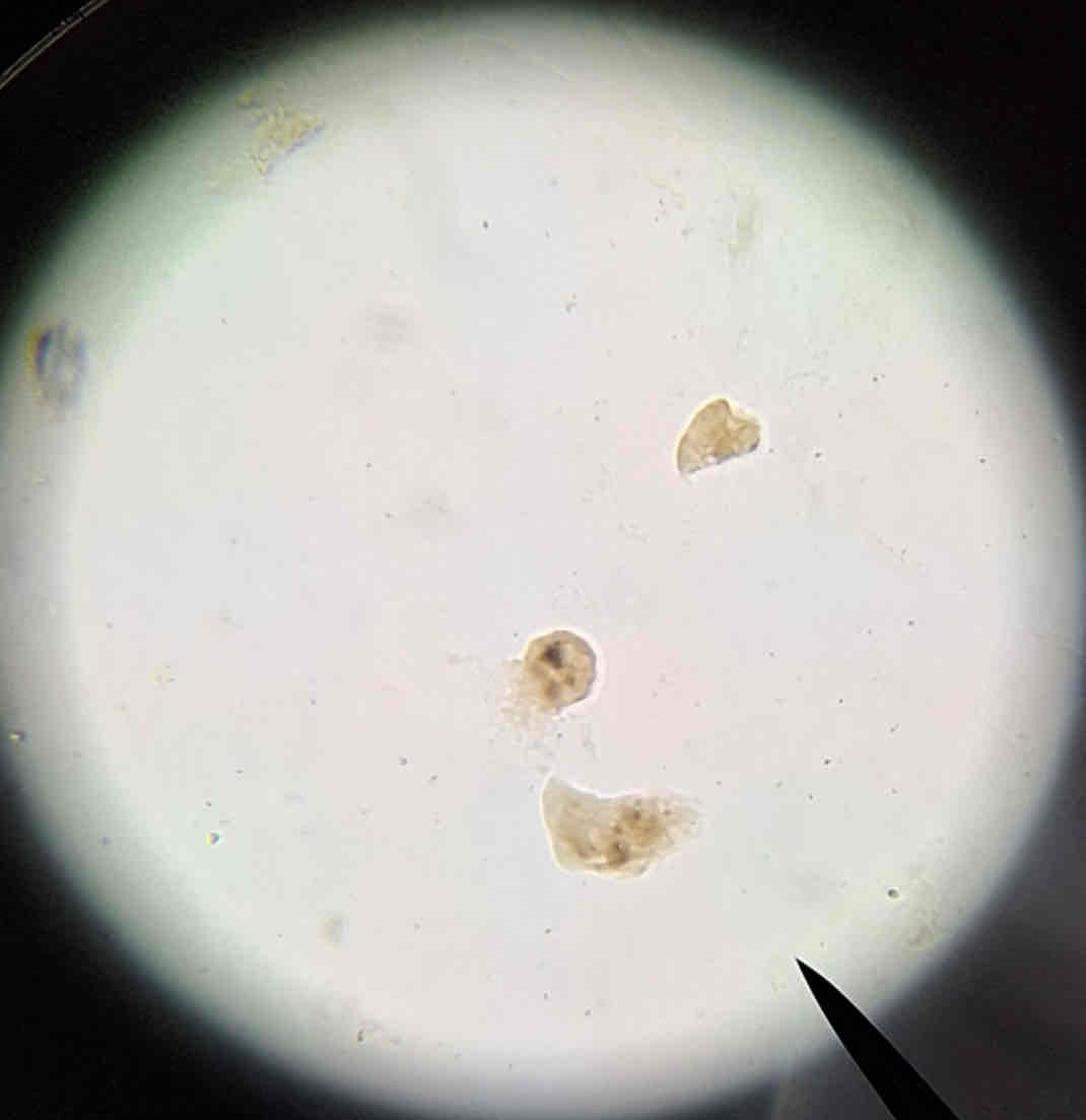
Entamoeba coli


Entamoeba coli


Entamoeba hystolica


Entamoeba hystolica


Trychomonas sp.


Trichonympa sp.

Trypanosoma rhodensiense


Leishmania donovani


Euglena sp.


Giardia sp.


Actinosphaerium sp.


Paramecium sp.


Paramecium caudatum


Paramecium aurelia


Balantidium coli


Vorticella sp.


Stentor sp.


Plasmodium falciparum


Ceratium sp.


Globigerina sp.


Polycystinea


Volvox sp


Volvox sp.
