1/14
Looks like no tags are added yet.
Name | Mastery | Learn | Test | Matching | Spaced | Call with Kai |
|---|
No analytics yet
Send a link to your students to track their progress

À quelle lettre correspond le septum orbitaire ?
A. A
B. B
C. C
D. D
B. B

Vrai ou faux ?
Cette lésion a un potentiel de métastase
Faux (épithélioma basocellulaire)

Un homme de 78 ans se présente 4 jours après une chirurgie de cataracte pour douleur et rougeur de l'oeil opéré. Sa vision est à MM (Mouvements de la main). Son oeil ressemble à cette image. Quel est le diagnostic ?
A. Érosion de cornée
B. Crise de glaucome aigu
C. Conjonctivite
D. Endophtalmie
D. Endophtalmie (urgence)

Un homme de 80 ans, diabétique et hypertendu, se présente avec une perte subite de la vision de l'oeil gauche il y a 3 heures. Son acuité visuelle est Perception lumineuse, il y a un déficit pupillaire afférent de l'oeil gauche. Quelle est l'étiologie la plus probable ?
A. Occlusion de la veine centrale de la rétine
B. Rétinopathie hypertensive
C. Rétinopathie diabétique proliférante
D. Occlusion de l'artère centrale de la rétine
D. Occlusion de l’artère centrale de la rétine

De quoi pourrait souffrir ce jeune patient ?
A. Cataracte
B. Rétinoblastome
C. Décollement de rétine
D. Toutes ces réponses
D. Toutes ces réponses (sont toutes des pathologies pouvant causer leucocorie)

Qu'est-ce que ce test permet de diagnostiquer ?
A. Une tropie
B. Une phorie
C. Une lésion de l'axe visuel
D. Une ptose
A. Une tropie (oeil constamment dévié par rapport à l’autre)

Dans quelle entité peut-on retrouver cette anomalie?
A. Occlusion de l'artère centrale de la rétine
B. Neurofibromatose de Von Recklinghausen
C. Occlusion de branche veineuse de la rétine
D. Toutes ces réponses sont bonnes
C. Occlusion de branche veineuse de la rétine (multiples hémorragies rétiniennes, oedème nerf optique, exsudats rétiniens, veines dilatées)

Quelle représentation décrit le mieux un patient myope ?
A (image avant rétine, correction par lentille divergente)

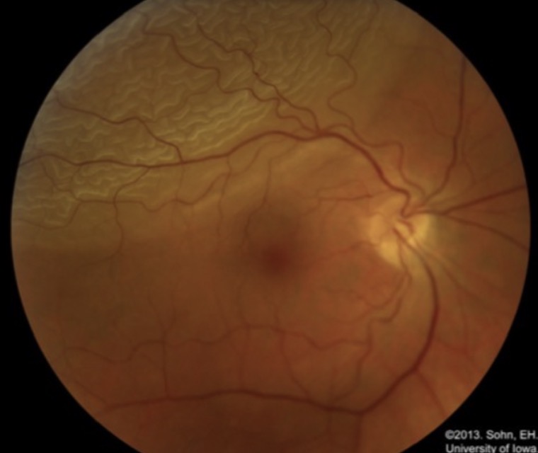
Une femme de 53 ans, myope de -7.00 dioptries, se présente pour photopsie en inférieur et perte de champ visuel inférieur de l'oeil droit. À l'examen au fond d'oeil, vous voyez ce qu’il y a dans l’image. Quel est le diagnostic le plus probable ?
A. Thrombose de branche artérielle supérieure
B. Mélanome oculaire
C. Décollement de la rétine supérieure
D. Dégénérescence maculaire exsudative
C. Décollement de la rétine supérieure (forte myopie, photopsie, perte de champ visuel inverse à l’atteinte rétinienne)

Un homme de 26 ans se présente à l'urgence après avoir reçu des éclaboussures d'un nettoyant à plancher (pH 10) à son œil gauche à l'usine où il travaille. Il a tout de suite reçu une irrigation pendant 10 minutes de son œil gauche à la douche oculaire de l'usine. Considérant le pH du nettoyant à plancher, lequel des éléments suivants est FAUX ?
A. À l'arrivée à l'hôpital, il faut immédiatement vérifier le pH de l'oeil et reprendre l'irrigation jusqu'à normalisation du pH de l'oeil
B. Une ischémie limbique (blancheur et perte des vaisseaux au limbe) requiert une référence rapide en ophtalmologie
C. Le traitement d'une brûlure chimique légère comprend un antibiotique topique, un cycloplégique et des corticostéroïdes topiques
D. Les produits alcalins coagulent les protéines du stroma cornéen, ce qui limite les dommages
D. Les produits alcalins coagulent les protéines du stroma cornéen, ce qui limite les dommages (ce sont les acides qui ont cet effet, les alcalins vont plutôt détruire les membranes cellulaires et pénétrer plus profondément dans l’oeil)

Par quoi peut être causé ce déficit au champ visuel ?
A. Un prolactinome
B. Une lésion frontale gauche
C. Une lésion occipitale droite
D. Une lésion pariétale gauche
E. Une lésion rétinienne nasale de l'œil droit
D. Une lésion pariétale gauche (lésion post-chiasmatique gauche → hémianopsie homonyme droite)

Un enfant de 6 ans se présente avec fièvre et céphalées depuis 24 heures. Il a une diminution des mouvements extra-oculaires de l’oeil droit. Lequel des énoncés suivants est VRAI ?
A. Il s'agit probablement d'une conjonctivite bactérienne
B. Le traitement de choix est corticostéroïdes systémiques à hautes doses
C. On doit le traiter avec des antibiotiques intra-veineux
D. On doit le traiter avec un onguent antibiotique topique et le revoir dans 7 jours
E. La tomodensitométrie de l'orbite et des sinus est très rarement requise
C. On doit le traiter avec des antibiotiques intra-veineux (cellulite orbitaire)

Un homme de 55 ans vous consulte parce qu'il se plaint de rougeur des paupières depuis plusieurs mois et d’yeux collés au réveil le matin. Parmi les énoncés suivants, lequel est FAUX concernant sa condition ?
A. Suggestive d'une conjonctivite à adénovirus
B. Cette condition est causée par une dysfonction des glandes de Meibomius
C. Se traite habituellement par des antibiotiques topiques
D. Peut être associée à des ulcères cornéens inflammatoires
A. Suggestive d'une conjonctivite à adénovirus (la blépharite est généralement causée par une infection à staphylocoque)

Par quoi devrait être traitée cette entité ?
A. Antibiotiques
B. Antiviraux
C. Anti-fongiques
D. Corticostéroïdes aux heures
E. Larmes artificielles
B. Antiviraux (kératite dendritique causée par herpès simplex type 1)

À quelle classe d'antiglaucomateux appartient la goutte topique appliquée à l'oeil gauche de ce patient ?
A. Miotiques
B. Alpha-agonistes
C. Bêta-bloqueurs
D. Analogues des prostaglandines
D. Analogues des prostaglandines (hypertrichose)