1/77
Looks like no tags are added yet.
Name | Mastery | Learn | Test | Matching | Spaced | Call with Kai |
|---|
No analytics yet
Send a link to your students to track their progress
At what different levels is sex defined?
Chromosal —> XX/XY
Sex determining region of Y (SRY makes male)
Gonad —> if under influence of SRY develops into testes if not ovaries
Hormonal profile —> affects tubular genitalia and external genitalia
Tubular (internal) genitalia
External genitalia
All of these above constitute sex of aniamal
What are the ducts that run from gonad to urogenital sinus?
Paramesonephric duct
Female progresses in uterine tube
Regresses in males
Mesonephric duct
Male progresses into ductus deferens
Regresses in females

What does the urogenital sinus develop into?
Urinary bladder and either male and female genitalia
What is intersex vs hermaphroditism?
Intersex = ambiguous / atypical genitalia
Hermaphroditism = presence of both ovarian & testicular gonadal tissue
What are the 3 major categories of disorders of sexual development (DSD)?
Abnormal / missing chromosome
DSD with normal female karyotype (XX)
DSD with normal male karyotype (XY)
What are the two sex chromosal disorders?
XO (Turner syndrome) or XXX —> females with severe ovarian dysgenesis, hypoplasia & immature repro tract
XXY (Klinefelter syndrome) —> males (phenotypically) with testicular hypoplasia e.g. male tortoiseshell cat
What is XX DSD?
XX [SRY negative] —> ovotesticular
Usually true hermaphrodite
Phenotypically female w/ masculinisation
What is the origin of XX DSD
Inherited in American cocker spaniel (AR)
Associated with the polled gene in goats (polled intersex syndrome – PIS)
What are the two types of XY DSD?
XY SRY-positive:
Testicular DSD w/ female phenotype (male pseudohermaphrodite)
androgen insensitivity, lack of AMH (anti-mullerian hormone)
XY SRY-positive:
Testicular DSD w/ male phenotype e.g. cryptorchidism (testes don’t descend i.e. remains in abdomen)
What is freemartinism?
Form of ovarian dysgenesis in cattle
Sterile female twin from a set of heterozygotic twins
Fusion of placental vessels and sharing of blood between twins during early embryonic developement
Humoral substances (testis determining factor, AMH) from blood of male twin to female, ovarian inhibition of female twin
Male unaffected

What are the presenting features of freemartinism?
Hypoplastic uterus and ovaries
Hypoplastic vulva

Presence of bulbourethral and vesicular glands

What are the categories of ovarian pathology?
a) Ovarian circulatory disorders
b) Cystic ovarian disease
c) Ovarian neoplasia
What are the ovarian circulatory disorders?
Intrafollicular haemorrhage
Traumatic haemorrahge
What is intrafollicular haemorrhage?
Physiological haemorrhage —> during ovulation
very occasionally —> severe, even lethal (mare)
When does traumatic haemorrhage occur in the ovaries?
Due to manual enucleation of corpus luteum or cysts (cattle; now rare, more common before prostaglandins etc. were available)
What is being shown here?

Enucleation haemorrhage, cow
Blood clot in ovarian bursa
Large blood clot (haematoma) containing an enucleated corpus luteum located near the cervix (bottom R)
What are follicular cysts
Arise from secondary follicles that fail to ovulate, involute or luteinise
Also caused by failure in LH release during oestrus
In what animals are follicular cysts seen?
Common in cattle and pigs + seen in dogs, cats, sheep + goats; very rare in horses
How do follicular cysts present?
Non cyclic oestrogen secretion → fail to come back into oestrus or persistent bulling
Continuous oestrus, cystic endometrial hyperplasia
What can multiple follicular cysts cause in cattle? (polycystic ovarian disease)
Hyperestrogenism
Which can lead to behavioural changes e.g. nymphomania
Persistent bulling

What is being shown here?

Polycystic ovarian disease —> Follicular cysts
Fluid filled
Palpation
What animals is ovarian neoplasia most common in?
Cows, mares, bitches
What cell types does ovarian neoplasia orginate from?
Surface epithelium
Ovarian stroma
Ovarian germ cells (give rise to eggs)
What ovarian neoplasias arise from surface epithelium?
Papillary cystadenoma
Most common in bitches, can be multicentric + involve both ovaries
Papillary cystadenocarcinoma
Occurs in older bitches
Invasive growth
Implantation on peritoneum
Invasion & obstruction of lymphatic vessels & veins
Ascites
Widespread distant metastases
What is the DDx for papillary cystadenocarcinoma?
Mesothelioma
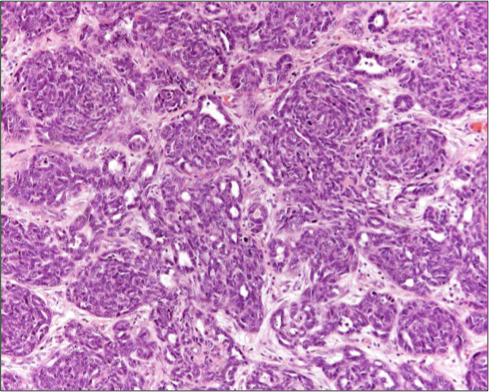
What is being shown here?

Papillary cystadenocarcinoma - GSD
'finger like projections'
haemorrhage because malignant
What tumour arises from the gonadal stroma?
Granulosa cell tumours
Most common ovarian neoplasia in cows, mares and older bitches
How do granulosa cell tumours present in cows and mares cf to dogs and cats?
Cow, mare:
Usually unilateral, benign, often very large
Hypersecretion of progesterone, oestradiol and/or testosterone
increased testosterone release causes masculinisation of males if granulosa cell tumour
Dogs, cats:
Often associated with hyperoestrogenism
What is being shown here?

Granulosa cell tumour
Highly cystic look
Can be very big
Benign but space occupying can compress nearby organs
How does the histology of a GCT present?
Large cystic spaces
centrally cystic
Granulosa cells line these (many layers) → distended follicles

What ovarian neoplasm originates from germ cells?
Dysgerminoma
Occur in older bitches
Usually unilateral
Approx 20% metastasise to regional LN & transceolomically
(Female counterpart to testicular seminoma in males)
Teratoma
Germ cells differentiating into multiple lineages
(spay / castration usually curative if benign)
What is being shown here

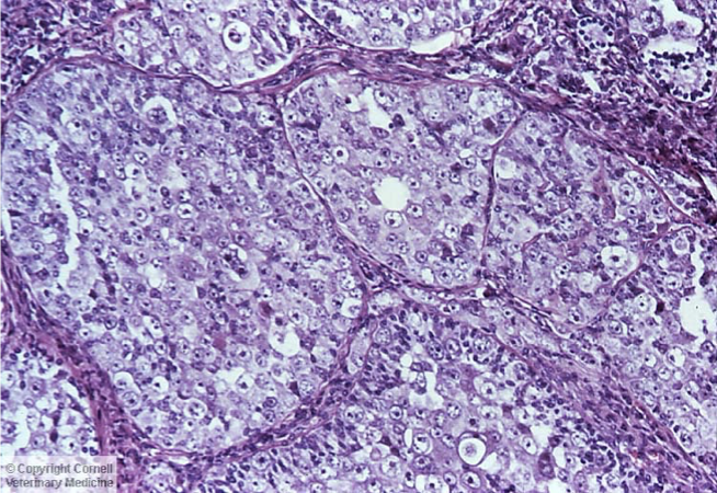
Dysgerminoma —> bitch
How do dysgerminoma present?
Pleomorphic & heterogenous (big atypical cells)
But still rarely malignant

What is being shown here?

Benign teratoma
hair + teeth seen
How does a benign teratoma present histologically?
Different tissues (e.g.—> tooth, bone, cartilage and skin)
due to being pleuripotent i.e. can differentiate into any ectoderm, endoderm, mesoderm

What acquired abnormalies can affect the uterine tubes?
Salpinx = pertains to uterine tubes
Hydrosalpinx —> clear fluid in tubes, due to obstruction either at abdominal or uterine ostium.

Salpingitis —> inflammation due to ascending infection (cattle)
Pyosalpinx —> pus in tubes
What are the categories of pathology that affect the uterus?
a) Displacement of uterus
b) Disorders of endometrial growth
c) Inflammation of the non-gravid uterus
d) Primary tumours of the uterus
e) Diseases of the gravid uterus
What can cause displacement of the uterus?
Torsion —> long tubular organs twist around their own long axis
Uterine prolapse
Rupture
What causes torsion?
Usually gravid uterus
Multiparous animals —> can be in one horn
With relaxation of uterine bands and foetal movements
What are the consequences of uterine torsion in cattle?
Whole organ
Leads to congestion
Haemorrhagic necrosis
Foetal death

What is uterine prolapse associated with in ruminants?
Post-parturient ypocalcaemia / dystocia


When does uterine rupture usually occur?
After obstetrical manipulation —> middle uterine artery susceptible to damage → rupture = severe bleedout
be gentle & use flats of hands rather than points of fingers
What are the different disorders of endometrial growth?
Endometrial hyperplasia
Oestrogen mediated
Progesterone mediated
What causes endometrial hyperplasia?
Excessive/ prolonged female hormonal stimulation
Ungulates, rodent —> oestrogens
Dog, cat —> progesterone acting on oestrogen-primed endometrium
What causes oestrogen mediated endometrial hyperplasia?
Prolonged non-cyclic oestrogen stimulation (e.g. ovarian follicles)
Excessive levels of circulating oestrogens (e.g. granulosa cell tumour)
What are the effects of oestrogen mediated hyperplasia?
Hypertrophy of myometrium
Hyperplasia of endometrium → cystic endometrial hyperplasia (uterine glands become enlarged + cystic)
Hydrometra / mucometra
What causes progesterone mediated endometrial hyperplasia?
Common in dogs
In cows —> associated with reatined CL → hyperprogesteronism
What are the consequeunces progesterone mediated endometrial hyperplasia?
Predisposes uterus to infection and pyometra
Glandular secretion
In oestrogen-primed endometrium -> increased synthesis of progesterone receptors + enhanced effect of progesterone
What is being shown in this image=

Cystic Endometrial Hyperplasia —> bitch
Uterine horns appear diffusely or segmentally enlarged
Undulation
On palpation —> cystic structure + fluid-filled
How does cystic endometrial hyperplasia present histologically?
Hyperplastic endometrium with numerous fluid-filled cysts

What are the different terms used to describe inflammation of the non gravid uterus?
Endometritis (inside)
Metritis (usually involvement of myometrium)
Perimetritis (outside)
Panmetritis (throughout)
non gravid uterus relatively resistant to infection, cervix acts as barrier
What are the sequelae of inflammation of the uterus?
Septicaemia/toxaemia, pyaemia
Esp. if cervix is closed & containing infection inside
Metritis, pyometra
Ascending infection (salpingitis = inflam of fallopian tubes; pyelonephritis)
What is pyometria often preceded by?
Mucometra (excessive glandular secretion of mucous)
Define pyometra
Acute / chronic suppurative inflammation of uterus with large quantities of pus in lumen

^^ trichomonas infection
How does pyometra present in dogs and cats?
Bacterial infection of cystic, hyperplastic endometrium
(“cystic endometrial hyperplasia-pyometra complex”)
What agents cause pyometra in dogs and cats?
Non-specific agent —> E. coli, Proteus, Staphylococcus, Streptococcus
How does pyometra usually present in dogs and cats?
Generally closed cervix (or with small amount of discharge) → emergency (can lead to septicaemia, septic shock, DIC)
open cervix better —> can be drained
What is being shown here?

Pyometra (bitch)
brown viscous exudate
What causes pyometra in cattle?
Persistent CL due to failure of PGF2a
Causes hyperprogesteronism
Decreases myometrial contraction
What is the main agent causing pyometra in cattle?
Tritrichomonas fetus ssp. venerealis,
(+ non-specific agents —> arcanobacterium pyogenes, E.coli, pseudomonas aeruginosa, streptococcus, staphylococcus)
What causes pyometra in mares?
Postpartum infection independent of persistent CL
Often discharge observed
What aetiological agents are commonly isolated in pyometra in mares?
Streptococcus zooepidemicus
E. coli
Pseudomonas aeruginosa
Klebsiella pneumoniae
Pasteurella
What are the sequelae of pyometra in cows and mares?
Resolution (often through vet intervention + PGF2 administration).
Metritis —> toxaemia/septicaemia
Rupture with peritioniits
What is being shown here?

Necrotising metritis
What are the primary tumours of the uterus?
Leiomyoma (most freq uterine neoplasm in SA)
Arising from smooth muscle cells of myometrium (also found in vagina & cervix)
Benign usually incidental if not overly space occupying
Leiomyosarcoma = malignant version, locally invasive
Adenocarcinoma
Epithelial tumour of endometrial glands
Freq in rabbits
What is being shown here?

Uterine/vaginal leimyoma
Smooth raised nodular mass
If compression of urethral orifice —> bladder distention → hydroureta → hydronephrosis
How does leiomyoma presnt histologically
Represents smooth muscle cells well

What is being shown here?

Uterine adenocarcinoma
How does uterine adenocarcinoma present histologically?
Poorly differentiated cells
Dont recapitulate normally anatomy very well
Usualy criteria of malignancy
Acini & tubules that resemble glands

List the diseases of the gravid uterus
Early embryonic death
Abortion
Still birth
Mummification
Maceration
What occurs following early embryonic death?
Resumption of PGF2 synthesis, secretion + restoration of oestrous cycle
Dissolution + expulsion of embryo
What is early embryonic death usually due to?
Lethal embryonic chromosomal abnormalities
How does abortion differ from stillbirth?
Abortion —> expulsion of embryo / foetus before an age when it could survive
Stillbirth —> expulsion of dead foetus at an age when it could have survived
What are the features of mummification?
Often absence of intrauterine infection
Prolonged retention of dead foetus
Fluids are resorbed, foetal membranes collapse around desiccated, brown-black, leathery mass of dried foetal bones + skin
In what animals is mummification more common?
Multiparous animals
What is being shown here?

Mummification of fetus
What causes maceration and emphysema of foetus?
Results from intrauterine infection
In early embryo macerates (and resorbed or expelled)
Invasion of foetus by gas-forming putrefactive bacteria from vagina (from incomplete abortion → emphysema
Severe endometritis & pyometra may follow
What is being shown here?

Macerated fetus
more 'liquidy', purulent & friable than mummification
foul smelling