1/14
urinary and nervou system
Name | Mastery | Learn | Test | Matching | Spaced | Call with Kai |
|---|
No analytics yet
Send a link to your students to track their progress
Bacterial Cystitis
Cystitis is inflammation of the urinary bladder. It is a common infection of healthy women and a common nosocomial infection. Symptoms include abrupt burning pain with urination, an urgent sensation to urinate, and frequent voiding of small amounts. Urine is often cloudy with WBC’s
Causative Agents: bladder infections usually originate from the normal intestinal microbiota. Specific strains of E. coli cause 80-90% of cases in women of reproductive age, and 70% of all cases. Recall that E. coli possesses fimbrae, which allows for them to ascend the urethra by attaching to endothelial cells
Bacterial Vaginosis
In the US, bacterial vaginosis is the most common vaginal disease of women in their childbearing years. This condition is not inflammatory, and therefore is NOT vaginitis
Symptoms include a thin, grayish-white vaginal discharge with a pungent “fishy” odor
Causative Agent: Gardnerella vaginalis is a Gram + aerotolerant bacterium. Infection occurs when the acidity of the vagina is decreased due to a loss of vaginal lactobacilli.
Syphilis
occurs in so many forms that it is easily confused with other diseases and is often called “the great imitator”. Generally, its manifestations occur in three clinical stages
Causative Agent: Treponema pallidum is a Gram –spirochete that cannot be grown in vitro (instead grown in testicles of lab rabbits). This organism is transmitted almost exclusively by sexual or oral contact
Congenital syphilis may occur if infected women become pregnant. If the mother is treated before 4 months, the fetus is not harmed. 2/5 untreated women will have a miscarriage or stillbirth. Babies that survive often have congenital syphilis, which includes facial deformities and other body parts later in childhood. Secondary syphilis can also result, and is often fatal within the first few weeks
Primary Syphilis
occurs about 3 weeks after infection and consists of a painless, red ulcer with a hard rim called a hard chancre that appears at the site of infection. The chancre is often hidden from view in women and homosexual men. Local lymph nodes enlarge.

Secondary Syphilis
after 2-10 weeks symptoms of runny nose and watery eyes, aches and pains, sore throat, a rash of the palms and soles, and whitish patches on the mucous membranes appear. These last for weeks up to a year.
Tertiary Syphilis
after a latent period that may last many years, mental illness, blindness, stroke and other nervous system disorders develop. Patient is no longer infectious.
Meningococcal Meningitis
Meningococcal meningitis occurs most commonly in children aged 6-11 months. It can sometimes progress to death within a few hours, but most patients respond well to treatment and recover without permanent nervous system damage.
Symptoms usually begin with mild cold followed by sudden onset of a severe, throbbing headache; fever’ pain and stiffness of the neck and back; nausea; and vomiting. Petechiae, small purplish spots on the skin, often appear
Causative Agent: Neisseria meningitidis is a Gram – diplococcus (coccus pair). Infection is acquired by inhaling airborne droplets from the respiratory tract of another person. The bacteria cross the epithelium of the lung, enter the blood, and are carried to the meninges and CSF. This organism can spread rapidly in crowded and stressed populations, such as college dormitories and among military recruits
what is the causative agent of Meningococcal Meningitis?
Listeriosis
Meningitis is a common manifestation of listeriosis, although it generally causes only a small percentage of cases of meningitis in the US.
Symptoms: the vast majority of healthy people have asymptomatic infections or trivial symptoms. Others experience fever, muscle aches, and sometimes nausea or diarrhea. About 1/3 experience meningitis (headache, stiff neck, fever, vomiting). Pregnant women often miscarry or deliver terminally ill premature infants.
Causative Agent: Listeria monocytogenes is a non-spore-forming Gram + rod that is psychroduric. It is a food-borne disease, causing past epidemics because of contaminated coleslaw, non-pasteurized milk, soft cheeses, hot dogs, etc.
what is the causative agent of listeriosis
Viral Encephalitis
Viral meningitis is usually a benign illness (although much more common than bacterial meningitis)
likely to cause death or permanent disability instead.
sporadic caused cause by herpes simples virus
Epidemic viral encephalitis is a bigger problem because of the numbers of people that can be affected
Symptoms include abrupt onset of fever, headache, vomiting, and one or more of the following: disorientation, localized paralysis, deafness, seizures, or coma
Causative Agents: Arboviruses (arthropod-borne viruses) are enveloped, single-stranded RNA viruses that are transmitted by insects, mites, or ticks. Most infected individuals develop meningitis, rather than encephalitis, which has milder symptoms
what are the symptoms and causative agent of Viral Encephalitis?
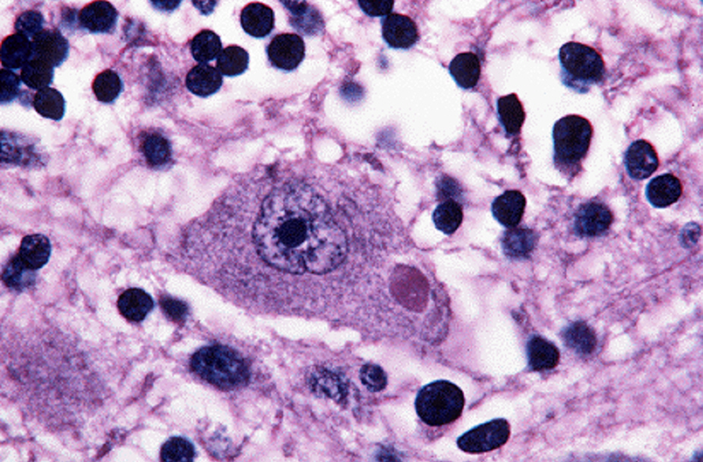
Rabies
Symptoms begin about 1 to 2 months with fever, head and muscle aches, sore throat, fatigue, and nausea. A characteristic tingling or twitching sensation at the site of viral entry, usually an animal bite, is also an early sign of infection
Symptoms progress rapidly to encephalitis, agitation, confusion, hallucinations, seizures, increased sensitivity to light, sound, and touch, increased salivation and frothing at the mouth, hydrophobia, coma and death (usually within 4 days

the rabies virus is an RNA virus that is transmitted to humans in the saliva of a rabid animal. The original site of infection is muscle cells at the site of transmission. The virus eventually enters nearby nerves and travels to the brain.
Once in the brain, the virus produces characteristic inclusion bodies, called Negri bodies
what is the causative agent of rabies?
Mononucleosis
Symptoms appear after about 30-60 days and include fever, sore throat covered with pus, marked fatigue, and enlargement of the spleen and lymph nodes. Symptoms usually last 2-3 weeks.
Causative Agent: the Epstein-Barr virus is a DNA virus that infects B cells. The virus is transmitted through contact with saliva. A latently infected individual recurrently sheds the virus into their saliva when they are asymptomatic