1/55
Looks like no tags are added yet.
Name | Mastery | Learn | Test | Matching | Spaced | Call with Kai |
|---|
No analytics yet
Send a link to your students to track their progress
cystic duct

spleen

Circular folds (plicae circulares)

function of circular folds
increase surface area
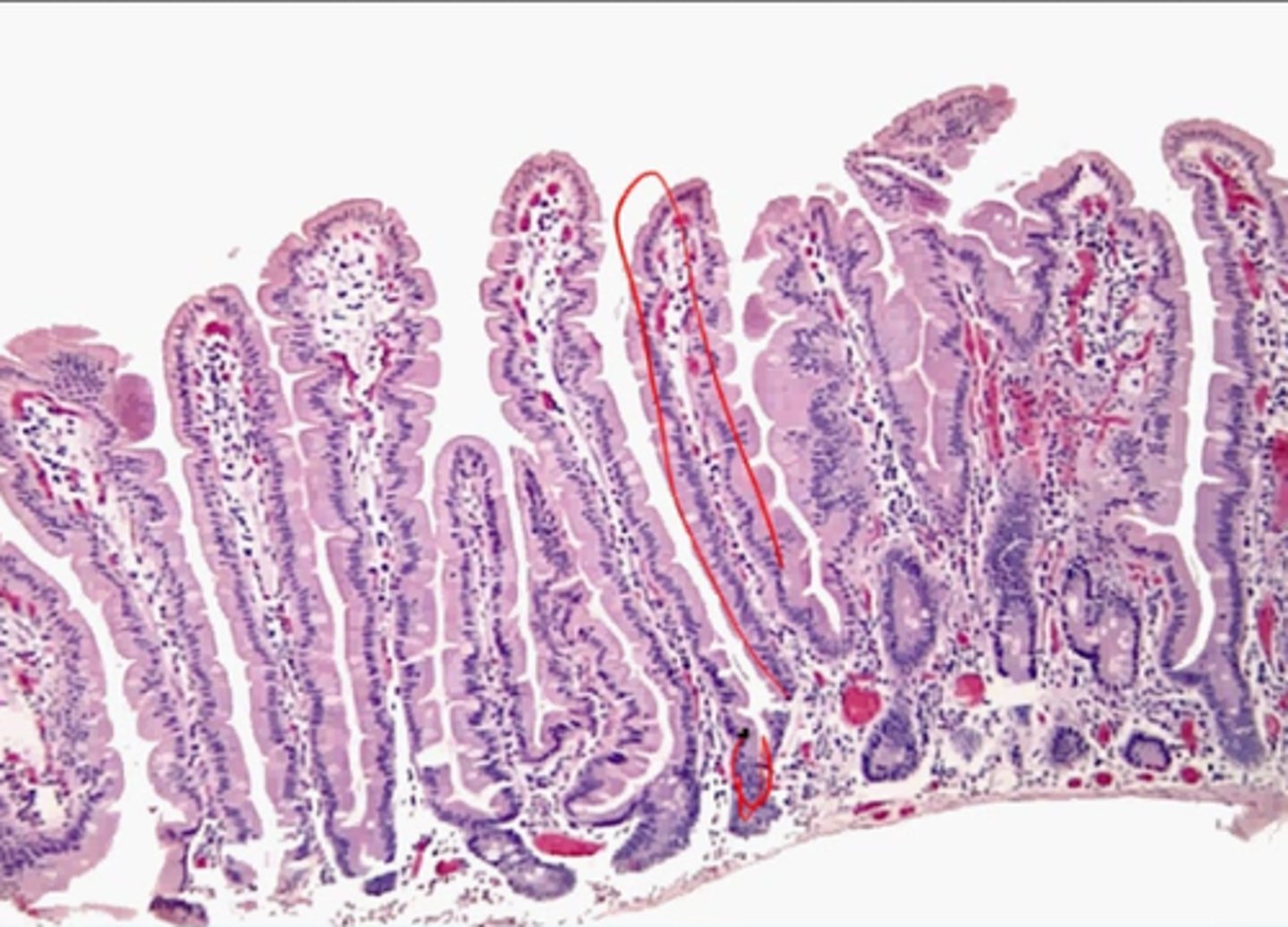
villi

function of villi and micro villi
increase surface area for absorption
Microvilli

goblet cells

Absorptive cells in small intestine
look at lecture
intestinal crypts (crypts of Lieberkuhn)

Lacteals in small intestine absorb

capillary beds small intestines

Peyer's patches

Peyer's patches function
capture and destroy bacteria
function of intestinal crypts
provide stem cells for renewal of the intestinal epithelium
function of lacteals
absorb digested fat and deliver fatty lymph to the blood
function of goblet cells
secrete mucus
function of absorptive cells
uptake digested nutrients
Gastroesophageal sphincter

fundus of stomach

muscularis layer of stomach

cardia of stomach

body of stomach
F

lesser curvature

pylorus

pyloric sphincter

rugae of mucosa

greater curvature

gastric pits

parietal cells stomach
B

mucous neck cells
A

chief cells stomach
D

gastric glands
C

G cells
circled section

function of mucous neck cells
secrete mucous
function of parietal cells
secrete HCl
function of chief cells
secrete pepsinogen
function of G cell
secretes the hormone gastrin
what does lipases break down
lipids
Where is lipase produced?
Pancreas, mouth, stomach
what does protease break down
proteins
Where is protease produced?
Stomach, pancreas, small intestine
what does peptidases break down
proteins
where is peptidase produces
stomach
small intestine
pancreas
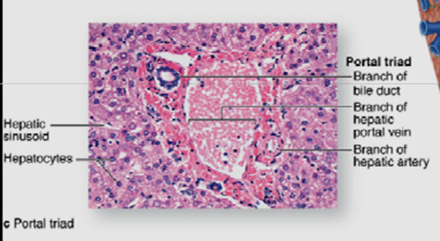
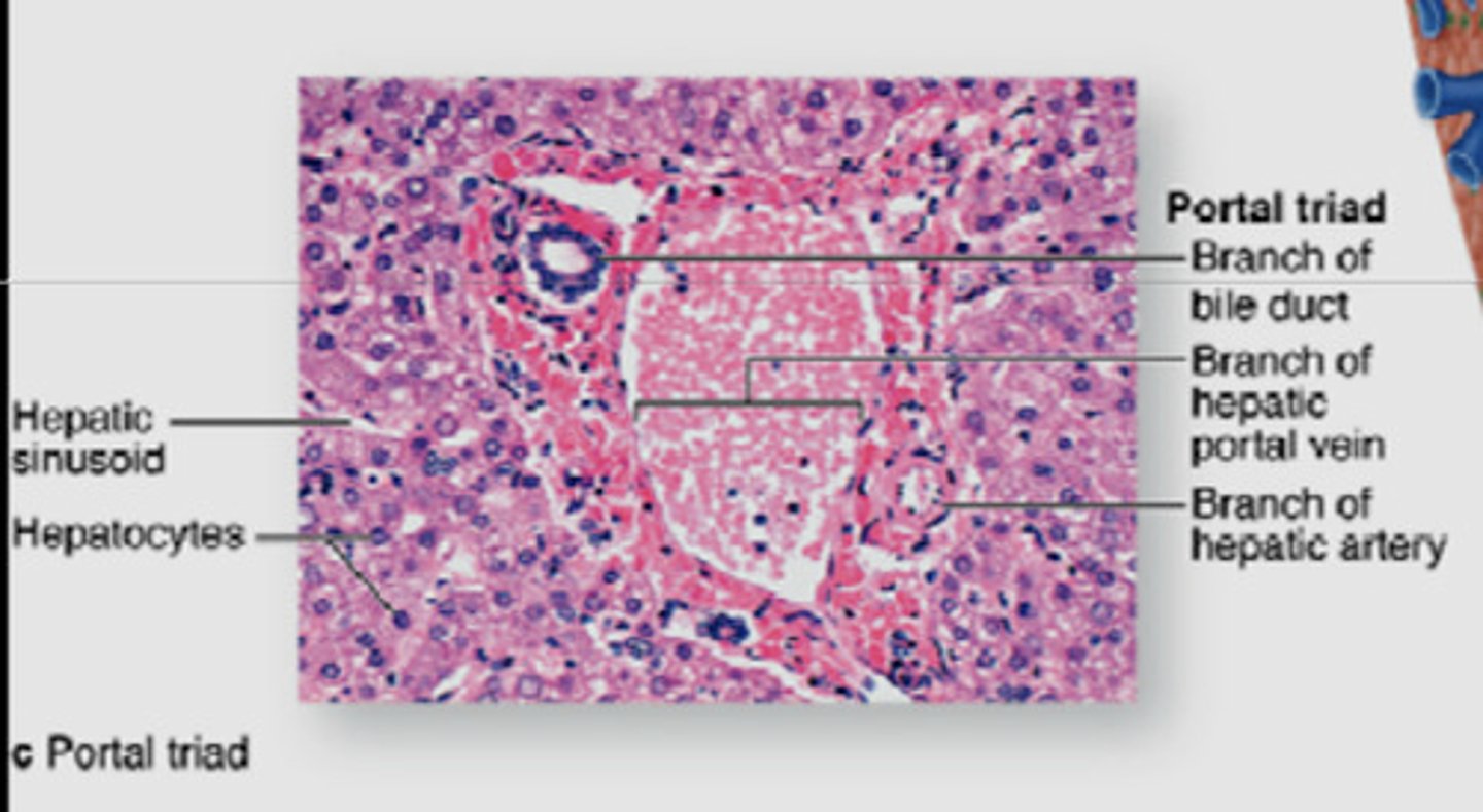
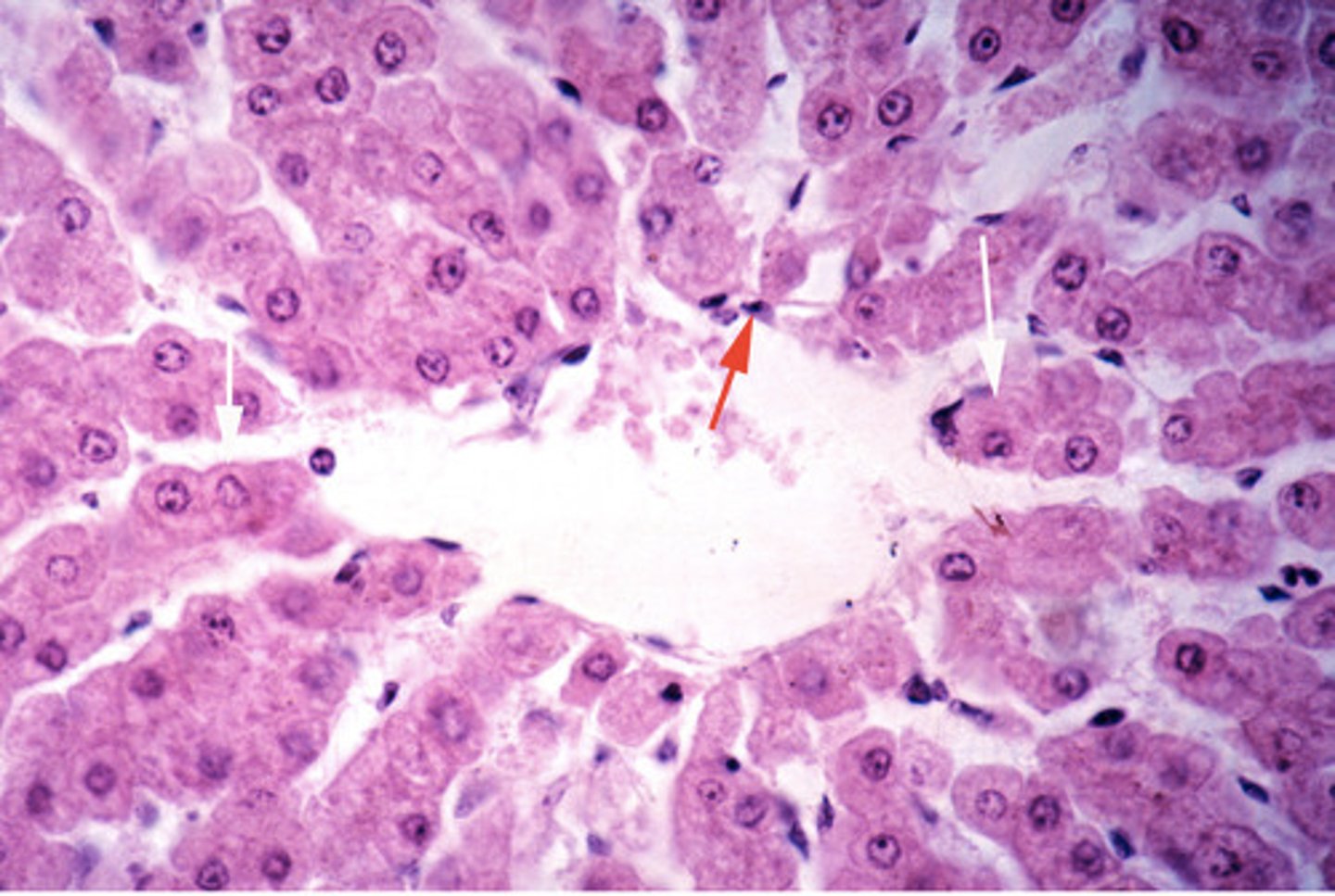
hepatocytes

central vein of liver

hepatic sinusoid
look at pdf

portal triad of liver

Kupffer cells

Sphincter of Oddi

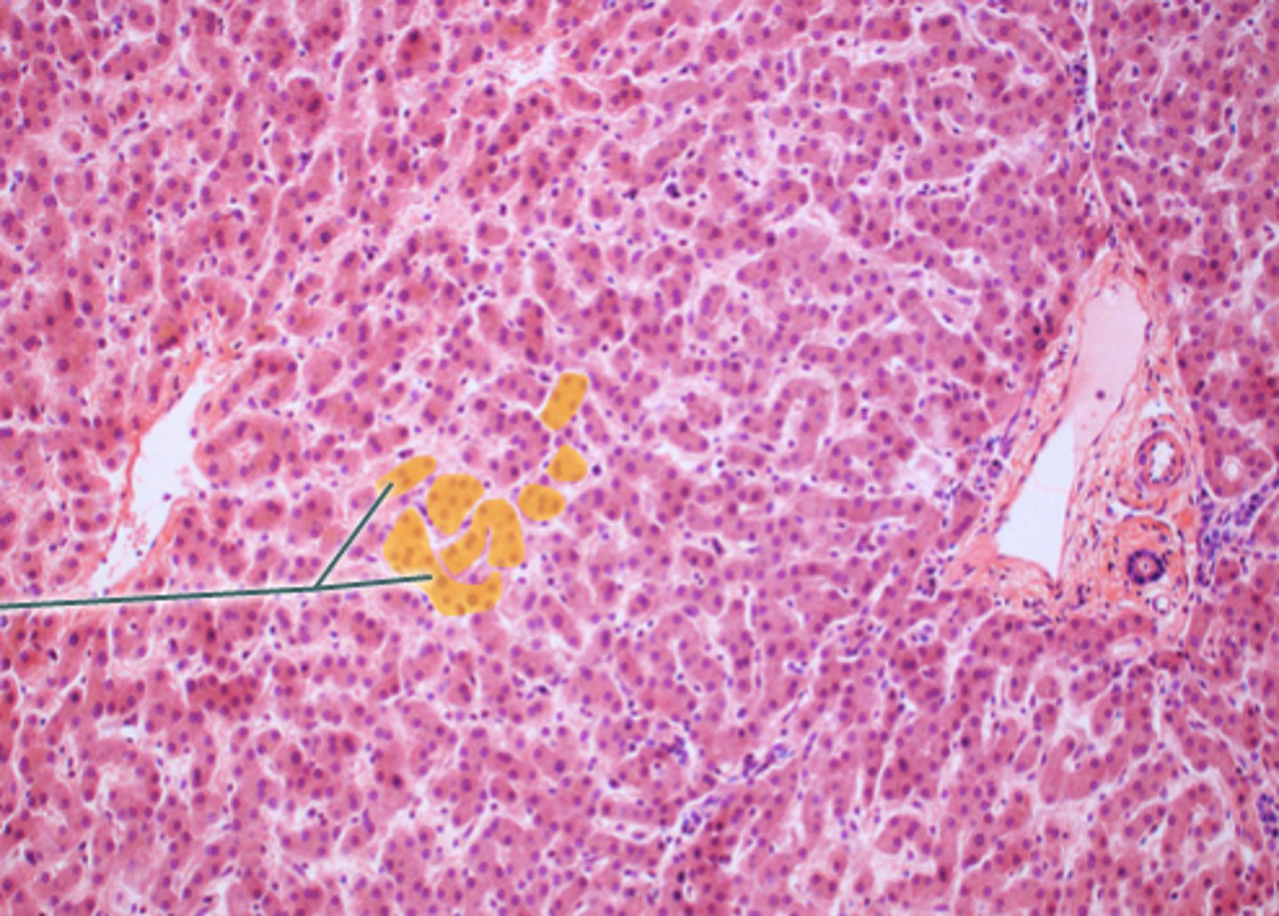
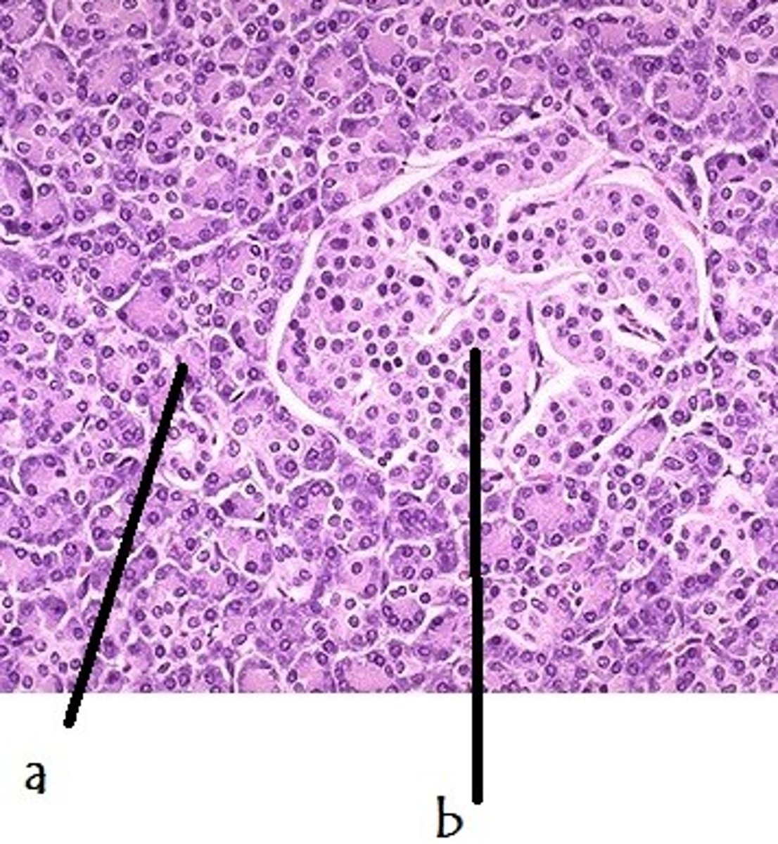
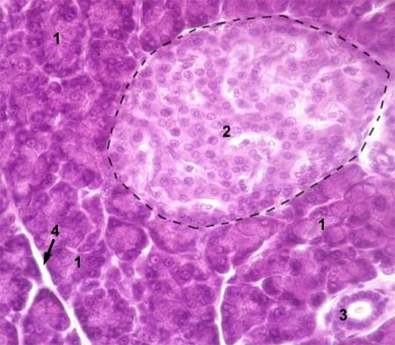
acinar cells of pancreas

islets of Langerhans

what happens in large intesinte
absorption of water
what happens in small intestine
nutrients are absorbed
what happens in stomach
mixing and enzymatic digestion
sigmoid colon
