BSC2086L E.1 Endocrine System

0.0(0)
Studied by 0 people
call kaiCall Kai
learnLearn
examPractice Test
spaced repetitionSpaced Repetition
heart puzzleMatch
flashcardsFlashcards
GameKnowt Play
Card Sorting

1/50

flashcard set

Earn XP

Description and Tags

Developed for the Broward College course BSC2086/L Anatomy and Physiology II.

Last updated 6:35 PM on 4/7/23
Name
Mastery
Learn
Test
Matching
Spaced
Call with Kai

No analytics yet

Send a link to your students to track their progress

51 Terms

1
New cards
hypophysis
• Located inferior to the hypothalamus and connected to it by the infundibulum.

• Composed of independent anterior and posterior lobes.

• Also known as the pituitary gland.
• Located inferior to the hypothalamus and connected to it by the infundibulum.

• Composed of independent anterior and posterior lobes.

• Also known as the pituitary gland.
2
New cards
infundibulum
The narrow stalk attaching the hypophysis to the hypothalamus.
The narrow stalk attaching the hypophysis to the hypothalamus.
3
New cards
adenohypophysis
• The anterior lobe of the hypophysis.

• Composed of glandular tissue.

• Regulated by the hypothalamus.
• The anterior lobe of the hypophysis.

• Composed of glandular tissue.

• Regulated by the hypothalamus.
4
New cards
neurohypophysis
• The posterior lobe of the hypophysis.

• Composed of neurons originating in the hypothalamus.
• The posterior lobe of the hypophysis.

• Composed of neurons originating in the hypothalamus.
5
New cards
growth hormone
• Hormone stimulating cell growth and division.

• Secreted by the adenohypophysis.

• Targets the bones, muscles, and other tissues.

• Abbreviated GH.
6
New cards
adrenocorticotropic hormone
• Hormone stimulating the secretion of adrenal cortex hormones.

• Secreted by the adenohypophysis.

• Targets the adrenal cortex.

• Abbreviated ACTH.
7
New cards
thyroid-stimulating hormone
• Hormone stimulating the secretion of thyroid hormones.

• Secreted by the adenohypophysis.

• Targets the thyroid gland.

• Abbreviated TSH.
8
New cards
follicle-stimulating hormone
• Hormone stimulating the development of ova and sperm.

• Secreted by the adenohypophysis.

• Targets the gonads.

• Abbreviated FSH.
9
New cards
luteinizing hormone
• Hormone stimulating the secretion of sex hormones.

• Secreted by the adenohypophysis.

• Targets the gonads.

• Abbreviated LH.
10
New cards
prolactin
• Hormone stimulating milk production.

• Secreted by the adenohypophysis.

• Targets the mammary glands.

• Abbreviated PRL.
11
New cards
antidiuretic hormone
• Hormone stimulating water reabsorption.

• Secreted by the neurohypophysis.

• Targets the renal tubules.

• Abbreviated ADH.
12
New cards
oxytocin
• Hormone stimulating uterine contractions during labor and delivery and the release of milk.

• Secreted by the neurohypophysis.

• Targets the uterus and mammary glands.

• Abbreviated OT.
13
New cards
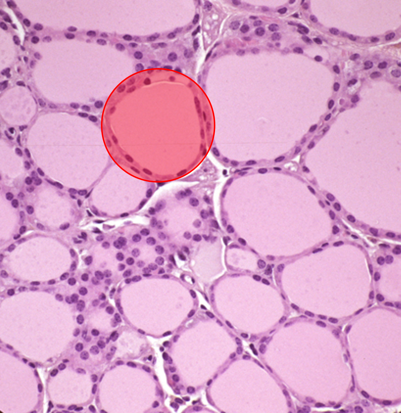
thyroid gland
• Located in the anterior neck surrounding the trachea inferior to the larynx.

• Composed of butterfly-shaped right and left lobes connected by an isthmus.

• Composed of follicles.
• Located in the anterior neck surrounding the trachea inferior to the larynx.

• Composed of butterfly-shaped right and left lobes connected by an isthmus.

• Composed of follicles.
14
New cards
thyroid follicle
• Composes the thyroid gland.

• Composed of simple cuboidal epithelium containing colloid protein.
• Composes the thyroid gland.

• Composed of simple cuboidal epithelium containing colloid protein.
15
New cards
follicular cell
• One of the cells composing a thyroid follicle.

• Secretes thyroxine and triiodothyronine.

• Appears dark when stained.
• One of the cells composing a thyroid follicle.

• Secretes thyroxine and triiodothyronine.

• Appears dark when stained.
16
New cards
parafollicular cell
• One of the cells composing a thyroid follicle.

• Secretes calcitonin.

• Appears pale when stained.

• Also known as clear or C cells.
• One of the cells composing a thyroid follicle.

• Secretes calcitonin.

• Appears pale when stained.

• Also known as clear or C cells.
17
New cards
colloid protein
• Located inside a thyroid follicle.

• Stores thyroxine and triiodothyronine synthesized by the follicular cells.
• Located inside a thyroid follicle.

• Stores thyroxine and triiodothyronine synthesized by the follicular cells.
18
New cards
thyroxine
• Hormone that regulates oxygen utilization and rate of metabolism of the cells.

• Secreted by follicular cells of the thyroid gland.

• Targets everywhere.

• Abbreviated T**₄.**
19
New cards
triiodothyronine
• Hormone that regulates oxygen utilization and rate of metabolism of the cells.

• Secreted by follicular cells of the thyroid gland.

• Targets everywhere.

• Abbreviated T**₃.**
20
New cards
calcitonin
• Hormone that reduces blood calcium levels via deposition and excretion.

• Secreted by parafollicular cells of the thyroid gland.

• Targets the bones and kidneys.

• Abbreviated CT.
21
New cards
adrenal gland
• Located superior to each kidney.

• Composed of an outer cortex and inner medulla.

• Also known as the suprarenal gland.
• Located superior to each kidney.

• Composed of an outer cortex and inner medulla.

• Also known as the suprarenal gland.
22
New cards
adrenal cortex
• The outer layer of the adrenal gland.

• Produces many corticosteroid hormones.
• The outer layer of the adrenal gland.

• Produces many corticosteroid hormones.
23
New cards
adrenal medulla
• The inner layer of the adrenal gland.

• Secretes hormones in response to stress.
• The inner layer of the adrenal gland.

• Secretes hormones in response to stress.
24
New cards
mineralocorticoids
• Class of corticosteroid hormones that increase renal reabsorption of sodium and water.

• Secreted by the adrenal cortex.

• Targets the kidneys.

• For example, aldosterone.
25
New cards
glucocorticoids
• Class of corticosteroid hormones that increase blood glucose levels.

• Secreted by the adrenal cortex.

• Targets most cells.

• For example, cortisol.
26
New cards
androgens
• Class of hormones that are precursors of male and female sex hormones.

• Secreted by the adrenal cortex.
27
New cards
epinephrine
• Hormone that increases cardiac activity, blood pressure, and blood glucose levels.

• Secreted by the adrenal medulla.

• Targets most cells.

• Abbreviated EP.
28
New cards
norepinephrine
• Hormone that increases cardiac activity, blood pressure, and blood glucose levels.

• Secreted by the adrenal medulla.

• Targets most cells.

• Abbreviated NEP.
29
New cards
pancreas
• Located posterior to the stomach.

• Composed of exocrine acini and endocrine islets.
• Located posterior to the stomach.

• Composed of exocrine acini and endocrine islets.
30
New cards
pancreatic acinus
• The exocrine part of the pancreas.

• Composed of acinar cells.

• Secretes digestive enzymes.
• The exocrine part of the pancreas.

• Composed of acinar cells.

• Secretes digestive enzymes.
31
New cards
pancreatic islet
• The endocrine part of the pancreas.

• Composed of alpha and beta cells.

• Secretes glucagon and insulin.

• Appears lighter compared to acinar cells.

• Also known as an Islet of Langerhans.
• The endocrine part of the pancreas.

• Composed of alpha and beta cells.

• Secretes glucagon and insulin.

• Appears lighter compared to acinar cells.

• Also known as an Islet of Langerhans.
32
New cards
insulin
• Hormone that lowers blood glucose level by promoting glucose uptake from the bloodstream.

• Secreted by beta cells of the pancreas.

• Targets everywhere.
33
New cards
glucagon
• Hormone that raises blood glucose level by promoting glycogen breakdown into glucose into the bloodstream.

• Secreted by alpha cells of the pancreas.

• Targets the liver.
34
New cards
thymus
• Located in the superior mediastinum of the thoracic cavity and posterior to the sternum.

• Composed of many lobules.

• Site of T lymphocyte maturation.
• Located in the superior mediastinum of the thoracic cavity and posterior to the sternum.

• Composed of many lobules.

• Site of T lymphocyte maturation.
35
New cards
lobule
• Basic unit of the thymus.

• Contains an outer cortex and an inner medulla.
• Basic unit of the thymus.

• Contains an outer cortex and an inner medulla.
36
New cards
cortex
The outer layer of a thymus lobule.
The outer layer of a thymus lobule.
37
New cards
medulla
The inner layer of a thymus lobule.
The inner layer of a thymus lobule.
38
New cards
thymosin
• Hormone that promotes maturation of T lymphocytes.

• Secreted by the thymus.
39
New cards
pineal gland
• Located inferior to the posterior end of the corpus callosum.

• Regulates the circadian rhythm.
• Located inferior to the posterior end of the corpus callosum.

• Regulates the circadian rhythm.
40
New cards
melatonin
• Hormone that regulates the circadian rhythm.

• Secreted by the pineal gland.
41
New cards
parathyroid gland
• Pea-like gland doubly located on the posterior of each side of the thyroid gland.

• Composed of chief cells.
• Pea-like gland doubly located on the posterior of each side of the thyroid gland.

• Composed of chief cells.
42
New cards
parathyroid hormone
• Hormone that raises blood calcium levels.

• Secreted by the parathyroid glands.

• Abbreviated PTH.
43
New cards
testis
• The male gonad.

• Composed of seminiferous tubules and interstitial cells.
• The male gonad.

• Composed of seminiferous tubules and interstitial cells.
44
New cards
seminiferous tubule
• Basic unit of the testes.

• Produces sperm.
• Basic unit of the testes.

• Produces sperm.
45
New cards
interstitial cell
• Located between the seminiferous tubules of the testes.

• Secretes testosterone.
• Located between the seminiferous tubules of the testes.

• Secretes testosterone.
46
New cards
testosterone
• Hormone stimulating the development of male secondary sexual characteristics.

• Secreted by interstitial cells of the testes.
47
New cards
ovary
• The female gonad.

• Produces ova.
• The female gonad.

• Produces ova.
48
New cards
follicular cell
• Surrounds an oocyte in the ovary.

• Secretes estrogen.

• Also known as a granulosa cell.
• Surrounds an oocyte in the ovary.

• Secretes estrogen.

• Also known as a granulosa cell.
49
New cards
corpus luteum
• The remnants of a follicle after its ova has been released.

• Secretes progesterone.
50
New cards
estrogen
• Hormone stimulating the development of female secondary sexual characteristics and the preparation of the endometrium for fertilization.

• Secreted by follicular cells.
51
New cards
progesterone
• Hormone maintaining the endometrium during pregnancy.

• Secreted by the corpus luteum.