1/39
Looks like no tags are added yet.
Name | Mastery | Learn | Test | Matching | Spaced | Call with Kai |
|---|
No analytics yet
Send a link to your students to track their progress
auricle

cochlea

semicircular canal

tympanic membrane

vestibule

auditory tube

external acoustic meatus

tympanic cavity (middle ear)

incus

malleus

stapes

anterior cavity

anterior chamber

choroid

ciliary body

cornea

iris

lens

optic disk

optic nerve

posterior cavity

posterior chamber

pupil

retina

sclera

suspensory ligaments of the lens

inferior oblique

inferior rectus

lateral rectus

superior oblique

superior rectus

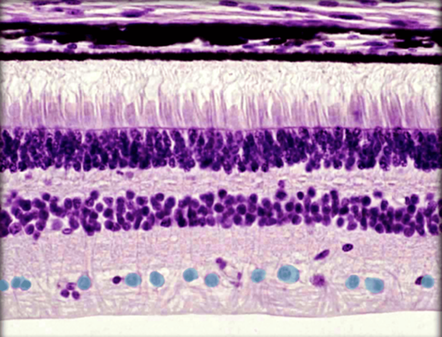
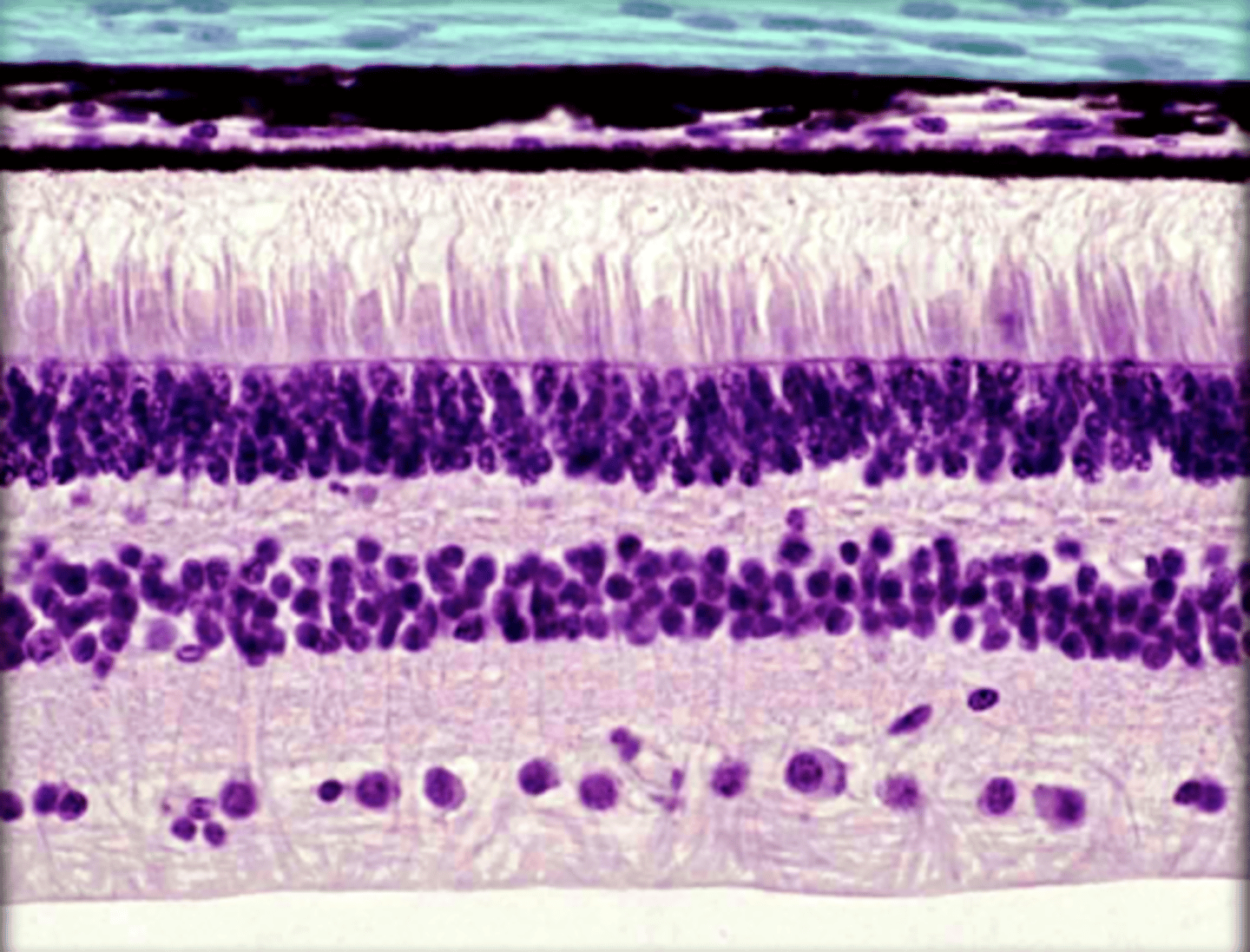
choroid cell

Ganglionic layer of retina

Inner nuclear layer

Neural retina

Rods and cones

Sclera

stapes (anterior)

malleus (anterior)

incus (anterior)
