Biologie cellulaire et moléculaire II

0.0(0)
Studied by 3 people
0%Exam Mastery
Build your Mastery score
multiple choiceAP Practice
Supplemental Materials
call kaiCall Kai
Card Sorting

1/21

flashcard set

Earn XP

Description and Tags

Matériel génétique

Last updated 4:24 PM on 2/13/23
Name
Mastery
Learn
Test
Matching
Spaced
Call with Kai

No analytics yet

Send a link to your students to track their progress

22 Terms

1
New cards
Rappelez la constitution du noyau .
Le noyau est constitué :

==> double membrane nucléaire avec une membrane nucléaire interne et une membrane nucléaire externe

==> lamine nucléaire constituée par les filaments intermédiaires

==> espace intermembranaire

==> nucléole

==> pores nucléaires

\
Le noyau est constitué :

==> double membrane nucléaire avec une membrane nucléaire interne et une membrane nucléaire externe

==> lamine nucléaire constituée par les filaments intermédiaires

==> espace intermembranaire

==> nucléole

==> pores nucléaires

\
2
New cards
Que peut-on distinguer lors d’une observation au microscope électronique à transmission d’un noyau ?
On peut observer la délimitation entre le nucléoplasme et le cytoplasme par la présence d’une double membrane, la présence d’hétérochromatine, dense aux électrons, accolée contre la membrane nucléaire, d’euchromatine et enfin d’un nucléole.
3
New cards
De quoi est constitué le nucléole ?
Un nucléole est constitué de 10% d’ARN, 5% d’ADN et enfin 85% de protéines
4
New cards
Que distingue-t-on sur cette photo ?
Que distingue-t-on sur cette photo ?
Il s’agit d’un complexe de transcription avec de l’ADN ribosomique, de l’ARN ribosomique et de l’ARN polymérase.
5
New cards
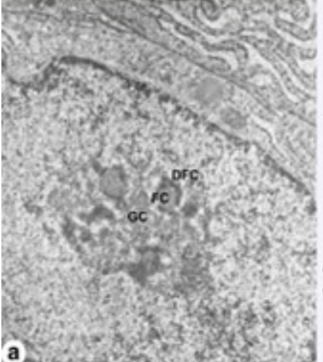
Au sein d’un nucléole, quelle sont les différentes parties observables ?
Au sein d’un nucléole, quelle sont les différentes parties observables ?
On distingue une partie claire, appelée centre fibrillaire, une partie plus foncée autour du centre fibrillaire, appelée composant fibrillaire dense et enfin une partie d’aspect picté appelée composant granulaire
6
New cards
De quoi sont constitués les centres fibrillaires, les composants fibrillaires denses et les composants granulaires ?
centre fibrillaire ==> dépôt de gènes d’ADN ribosomique

composant fibrillaire dense ==> maturation des transcrits pré-ARN ribosomique

Composant granulaire ==> assemblage de particules pré-ribosomales
centre fibrillaire ==> dépôt de gènes d’ADN ribosomique

composant fibrillaire dense ==> maturation des transcrits pré-ARN ribosomique

Composant granulaire ==> assemblage de particules pré-ribosomales
7
New cards
Indiquez sur les différentes photographies les éléments observables
Indiquez sur les différentes photographies les éléments observables
Attention, il ne faut pas confondre le centre fibrillaire avec une vacuole qui est plus claire.
Attention, il ne faut pas confondre le centre fibrillaire avec une vacuole qui est plus claire.
8
New cards
Identifiez les différents éléments
Identifiez les différents éléments
knowt flashcard image
9
New cards
Identifiez les différents éléments
Identifiez les différents éléments
On distingue en périphérie des composants granulaires qui se détachent ==> nuage de ribonucléoprotéines.
10
New cards
Quels sont les différents niveaux de compaction de la molécule d’ADN ?
L’ADN est une double hélice qui mesure 2 nm de diamètre. L’ADN par le biais de protéines que sont les histones s’enroule une première fois pour former des nucléosomes, de 11 nm de diamètre, puis s’enroulera une seconde fois pour former des fibres de 30 nm de diamètre, puis ensuite pour former une structure de 300 nm puis un bras d’un chromosome (700 nm de diamètre) et enfin un chromosome qui est une structure de 1400 nm de diamètre.
11
New cards
Qu’est ce que cette structure ?
Qu’est ce que cette structure ?
nucléosome
12
New cards
Qu’est ce qu’un caryotype ?
C’est la séquence haploïde d’un individu établit lorsque les chromosomes sont à leur état le plus extrême de condensation ==> chromosomes mitotiques et métaphasiques.
C’est la séquence haploïde d’un individu établit lorsque les chromosomes sont à leur état le plus extrême de condensation ==> chromosomes mitotiques et métaphasiques.
13
New cards
Quelles sont les différentes classification des chromosomes ?
Chromosomes métacentriques, submétacentriques, acrocentrique et télocentrique (pas chez les humains)
14
New cards
Quelle est la technique de préparation d’un caryotype ?
Technique de préparation d’un caryotype en culture cellulaire

Dans un premier temps, on s’empare d’un composant amitotique (colchicine), de manière à bloquer la mitose et à ce que l’ADN se trouve sous forme compacte. On détache ensuite les cellules entre elles et de la boîte de préparation à l’aide d’une enzyme qu’est la trypsine. On ajoute ensuite une solution hypotonique, provoquant un gonflement des cellules, puis on fixe les cellules avec du méthanol acétique. Enfin, on met en suspension le tout puis on laisse tomber goutte à goutte la solution de manière à faire éclater la membrane plasmique des cellules + coloration au colorant de Giemsa.
15
New cards
Quelle est l’anomalie associée à ce caryotype ?
Quelle est l’anomalie associée à ce caryotype ?
Il s’agit d’une inversion
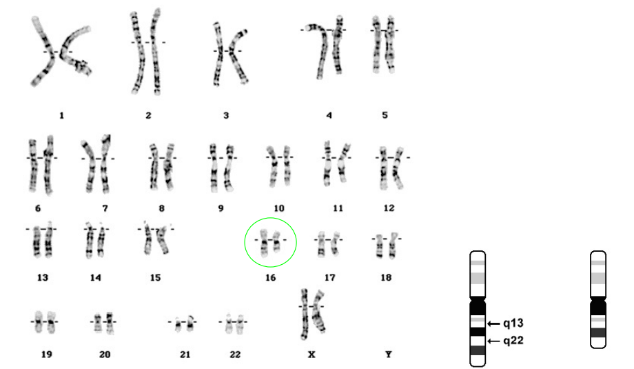
16
New cards
Quelle est l’anomalie associée à ce caryotype ?
Quelle est l’anomalie associée à ce caryotype ?
Il s’agit d’une délétion
17
New cards
Quelle est l’anomalie associée à ce caryotype ?
Quelle est l’anomalie associée à ce caryotype ?
Il s’agit d’une translocation réciproque
18
New cards
Quelle est la technique d’hybridation in situ qui permet de marquer une certaine séquence d’ADN permettant de mettre en évidence par exemple une mutation ?
Il s’agit de la technique FISH (fluorescence in situ hybridation)
Il s’agit de la technique FISH (fluorescence in situ hybridation)
19
New cards
Quels sont les 2 types de marquage associés à la technique FISH ?
Il peut s’agir de sondes spécifiques ou alors de chromosome painting
Il peut s’agir de sondes spécifiques ou alors de chromosome painting
20
New cards
Quels sont les 2 types de chromosomes géants et que permettent-ils ?
On distingue les chromosomes plumeux ou en écouvillon d’amphibien et les chromosomes polyténiques de diptères. Ils permettent d’étudier la localisation des gènes, la structure des chromosomes et la transcription.
21
New cards
Comment s’explique la taille des chromosomes géants ?
Elle s’explique par un phénomène de polyténie (épaisseur) et au fait qu’ils soient très peu condensés. Les chromosomes polyténiques se trouvent dans des cellules dans lesquelles la division cellulaire ne se fait pas ==> seulement la duplication
Elle s’explique par un phénomène de polyténie (épaisseur) et au fait qu’ils soient très peu condensés. Les chromosomes polyténiques se trouvent dans des cellules dans lesquelles la division cellulaire ne se fait pas ==> seulement la duplication
22
New cards
Qu’est ce que les puffs ?
Qu’est ce que les puffs ?
Ce sont des sites qui correspondent à des zones actives de la transcription de gènes en relation avec le stade du développement larvaire.