1/58
Looks like no tags are added yet.
Name | Mastery | Learn | Test | Matching | Spaced | Call with Kai |
|---|
No analytics yet
Send a link to your students to track their progress
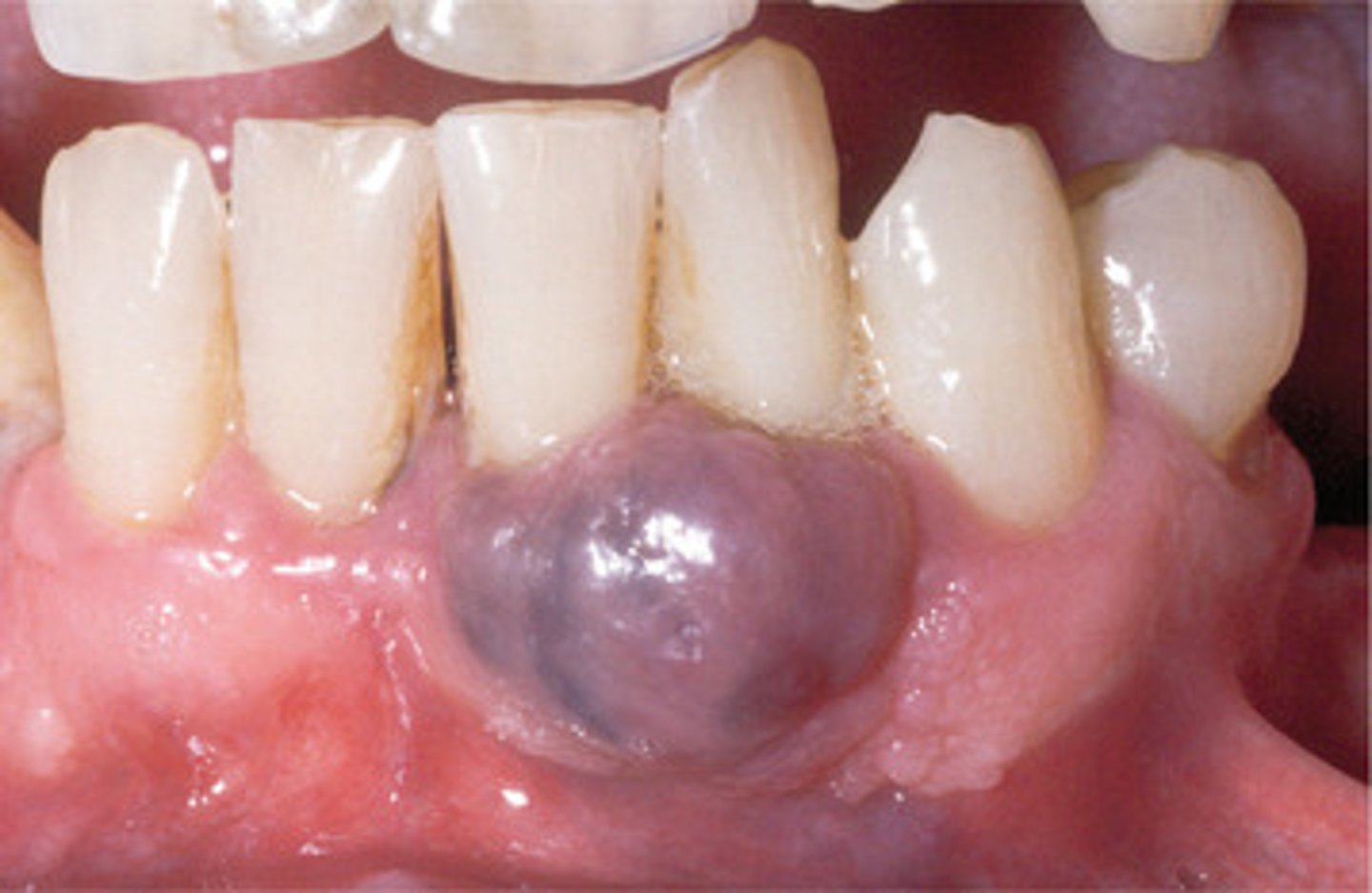
What is peripheral giant cell granuloma? (+ common location, population)
• blue-red mass
• can be ulcerated
• cups bone
• granulation tissue + giant cells + RBCs
• common location: anterior gingiva
• population: adults 40-60

What is mucoepidermoid carcinoma? (+ common location)
MOST COMMON MALIGNANT SALIVARY GLAND TUMOR
• bluish-red asymptomatic swelling; firm or soft
• common location: palate

What is Kaposi Sarcoma? (+ associated with, common locations)
multiple reddish-purple, irregular nodules or papules
• skin lesions
• associated with HIV
• common locations: palate, gingiva

What are papillary lesions?
• Papilloma
• Verruca vulgaris (common wart)
• Condyloma acuminatum (venereal wart)
• Heck disease
• Verrucous carcinoma
• Proliferative verrucous leukoplakia
**ALL Can present as white (or pink)
What is a papilloma? (+ common locations, associated with)
soft, single, wart-like on stalk
• pink or white
• associated with HPV
• common locations: lips, tongue, palate

What is Verruca vulgaris? (+ common locations, associated with, population)
AKA Common Wart
• soft, single, papillary, sessile
• pink or white
• associated with HPV
• common locations: lips, tongue, palate
• population: children/young adults

What is condyloma acuminatum? (+ common locations, associated with, population)
AKA venereal wart
• multiple, soft, papillary, sessile
• pink or white
• associated with HPV
• common locations: lips, palate
• population: adults

What is Heck Disease? (+ common location, population, associated with)
AKA Multifocal Epithelial Hyperplasia
• multiple, soft, flattened nodules
• pink or white
• associated with HPV
• common location: mucosa
• population: Children (seen in Indians)

What are pink lesions (mucosal lumps)?
• Traumatic fibroma (irritation fibroma)
• Neurofibroma
• Neurilemoma (Schwannoma)
• Traumatic neuroma (neuroma)
• Peripheral ossifying fibroma
• Epulis fissuratum (inflammatory fibrous hyperplasia)
• Sialolith
• Acute/chronic sialadenitis
• Pyogenic granuloma (pregnancy tumor)
• Nasolabial cyst
• Dermoid cyst
• Pleomorphic adenoma (benign mixed tumor)
• Adenoid cystic carcinoma
• Non-hodgkin lymphoma
What is a traumatic fibroma? (+ associated with)
AKA irritation fibroma; MOST COMMON GROWTH!!!
• well-defined, small, painless nodule
• can be ulcerated
• pink or whitish
• associated with trauma

What is a neurofibroma? (+ common locations, associated with)
MOST COMMON NERVE TUMOR!!!
• soft, painless, well-defined nodule
• associated with neurofibromatosis
• common locations: tongue, buccal mucosa

What is a neurilemoma? (+ other name, common location)
AKA Schwannoma
• soft, painless, well-defined nodule
• less than 3cm
• common location: tongue

What is a traumatic neuroma? (+ associated with, common location, population)
PAINFUL
• associated with trauma (injections)
• common location: mental foramen area
• associated with MEN

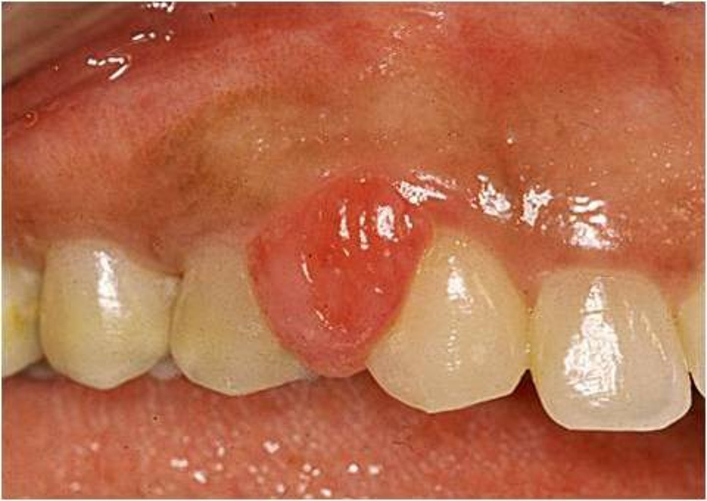
What is Peripheral Ossifying Fibroma? (+ common location, population)
PDL-like cells + calcifications
• well-defined swelling
• may be ulcerated
• common location: anterior gingiva
• population: females, children/young adults

What is epulis fissuratum? (+ associated with, common location, other name)
AKA Inflammatory Fibrous Hyperplasia
• elongated folds of firm tissue with central crater
• may be ulcerated
• associated with CD (denture)
• common location: vestibule

What is a sialolith? (+ common location)
rock-like swelling
• seen on X-ray
• common location: floor of mouth
• increased swelling when eating

What is acute/chronic sialadenitis?
PAINFUL swelling of major/minor salivary gland

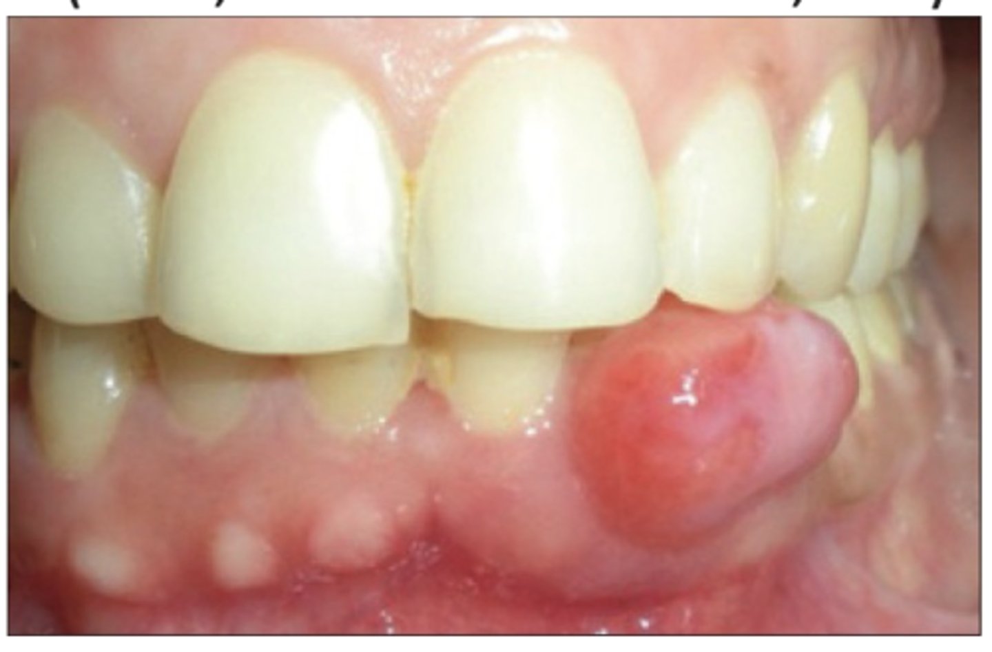
What is a pyogenic granuloma? (+ common location, population)
Soft painless nodule
• pink or red
• granulation tissue
• can be ulcerated
• common location: gingiva (75%)
• population: young adults/teens
• EX: pregnancy tumor

What is a nasolabial cyst? (+ common location, population)
soft swelling in vestibule
• lateral to midline; Maxillary canine area
• population: middle-aged females

What is a dermoid cyst? (+ common location, population)
dough-like swelling at midline
• keratin filled
• cyst wall: hair follicles, sebaceous/sweat glands
• common location: anterior floor of mouth
• population: children

What is a pleomorphic adenoma? (+ other name, common locations, population)
MOST COMMON BENIGN SALIVARY GLAND TUMOR
• AKA: benign mixed tumor
• painless, firm swelling
• moveable (not if on palate)
• common locations: palate, upper lip, buccal mucosa
• population: adults 30-50

What is adenoid cystic carcinoma? (+ common location, histology, population)
CONSTANT PAIN
• firm, poorly-defined swelling
• histo: swiss cheese
• common location: palate
• population: females 50-60

How does Non-Hodgkin lymphoma appear orally?
Palatal swelling

What are ACUTE ulcerated lesions?
• Traumatic ulcer
• Aphthous ulcer - MINOR (canker sore)
• Aphthous ulcer - MAJOR
• Aphthous ulcer - HERPETIFORM
• NUG/NUP
• Primary Herpetic Gingivostomatitis
• Recurrent Herpes Simplex (cold sore/fever blister)
• Herpes Zoster (shingles)
• Chicken pox
• Pharyngitis
• Herpangina
• HFM disease
• Necrotizing sialometaplasia
• Necrotizing stomatitis
• Electric burn
What is a traumatic ulcer? (+ common locations, associated with)
associated with trauma
• common locations: cheek, lips, tongue
• heals within 14-21 days

What is a minor aphthous ulcer? (+ other name, associated with, common location)
AKA: Canker Sore; PAINFUL shallow ulcer less than 1 cm with red halo
• MOST COMMON APHTHOUS ULCER
• associated with Behcet Syndrome & ulcerative colitis
• common location: alveolar mucosa (NEVER on ging/palate)

What is a major aphthous ulcer? (+ common locations)
1-3cm ulcer
• larger than aphthous minor
• common locations: labial mucosa, soft palate
• scarring

What are herpetiform aphthous ulcers? (+ common location, population)
multiple tiny ulcers
• common location: anywhere in oral cavity
• population: females

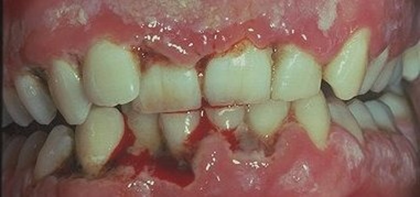
What is NUG/NUP? (+ common location, bacteria, population, associated with)
Borrelia vencentii - bacteria
• necrotic papilla
• odor
• NUP associated with HIV
• common location: gingiva
• population: young adults/teens

What is recurrent herpes simplex? (+ other name, common location)
AKA Cold sore, fever blister
• HSV
• vesicles then crusts
• lip lesion
• infective until crusted (day 6-7)
• prodromal

What is primary herpetic gingivostomatitis? (population)
initial HSV infection
• multiple oral vesicles rupture = ulcers
• Population: children

What is Herpes Zoster? (+ other name, population)
AKA shingles
• HZV recurrent infection
• follows dermatome - never crosses midline
• vesicles
• extreme PAIN
• population: older adults above 60

What is chicken pox? (+ other name, population)
Varicella Zoster
• HZV primary infection
• population: children

What is pharyngitis? (+ common locations, type of virus)
Strep or adenovirus
• common location: tonsils/soft palate

What is herpangina? (+ type of virus, common location, population)
Coxsackie virus
• vesicles on soft palate
• population: children

What is hand, foot, mouth disease? (+ type of virus, population)
Coxsackie virus
• oral vesicles + skin lesions
• population: children

What is necrotizing sialometaplasia? (+ associated with, common location)
PAINFUL swelling
• associated with decreased blood supply (trauma, injection, CD)
• common location: hard palate

What is necrotizing stomatitis? (+ associated with)
destruction of periodontal tissues
• associated with HIV

What is an electric burn? (+ population)
necrosis of tissues - including tooth buds
• population: children

What are CHRONIC ulcerated lesions?
• actinic cheilitis (solar cheilitis)
• traumatic granuloma
• TB (scrofula)
• SCC
• Pemphigus vulgaris
• Mucous membrane pemphigoid (cicatricial pemphigoid)
• Behcet syndrome
• Erosive lichen planus
• Mucormycosis (phycomycosis)
• cyclic neutropenia
What is actinic cheilitis? (+ other name, common location, population)
AKA solar cheilitis; loss of vermillion border
• dry, cracked lesion
• common location: lower lip
• population: fair skinned adults over 40
• dysplasia = pre-cancerous

What is a traumatic granuloma?
long-standing traumatic ulcer
• raised, firm border

How does TB present orally? (+ common locations, bacteria)
single chronic ulcer
• common locations: tongue, gingiva, palate
• Mycobacterium tuberculosis
• EX: Scrofula (neck)

What is pemphigus vulgaris? (+ common location, population)
Multiple ragged ulcers/erosions
• POSITIVE NIKOLSKY SIGN
• autoimmune disease - DESMOSOMES
• skin lesions
• common location: gingiva (mucosa)
• population: middle-aged adults

What is mucous membrane pemphigoid? (+ other name, common location, population)
AKA cicatricial pemphigoid
• multiple ulcers/erosions
• positive Nikolsky sign
• eye scarring; no skin lesions
• autoimmune disease: HEMIDESMOSOMES
• common location: gingiva (mucosa)
• population: older females over 65

What is Behcet syndrome? (+ population)
ulcers of all mucous membranes
• autoimmune disease
• population: young adults - asian

What is mucormycosis? (+ other name, common locations, associated with)
AKA phycomycosis
• Fungal infection - destroys sinus, nose, and palate
• associated with DM or immunocompromised pt

What is cyclic neutropenia?
PAINFUL
• genetic
• multiple deep ulcers for 21 days

Which lesions present with generalized gingival enlargement?
• leukemia
• gingival hyperplasia
• hereditary gingival fibromatosis
• pregnancy gingivitis
What is gingival hyperplasia? (common locations, associated with)
increased size of marginal and attached gingiva
• local or generalized
• associated with drugs - Dilantin

What is hereditary gingival fibromatosis? (+ population)
genetic gingival hyperplasia
• population: children

What is pregnancy gingivitis? (+ population)
hormonal gingival hyperplasia
• population: females

What are skin lesions?
• bullous pemphigoid
• seborrheic keratosis
• melanocytic nevus (mole)
• melanoma
• actinic keratosis
• BCC
• cutaneous SCC
• impetigo
• epidermoid cyst
• branchial cleft cyst
• thyroglossal tract cyst
• vascular malformation
• neurofibromatosis (vonRecklinghausen ds)
• Papillon-LeFevre syndrome
• cleidocranial dysplasia
• nevoid basal cell carcinoma sx (Gorlin sx)
• Gardner syndrome
• multiple endocrine neoplasia IIB (multiple mucosal neuroma sx)
• sjogren syndrome
What is bullous pemphigoid? (+ common location, population)
blisters and bullae of skin
• usually NO ORAL LESIONS
• autoimmune disease: HEMIDESMOSOMES
• population: older adults over 60

What is seborrheic keratosis? (+ common location, population)
multiple well-defined, brown-black, raised plaques
• Cracked surface
• AGE SPOTS
• common location: face
• population: older adults

How does melanoma appear on the skin?
Black-brown plaque
• bad sunburn
• ABCDE:
○ A - asymmetry
○ B - border irreg
○ C - color irreg
○ D - diameter over 6mm
○ E - evolving (usually flat, evolves as raised lesion)

What is actinic keratosis? ( + common location, population)
reddish plaque with scaly white surface
• dysplasia - precancerous
• sun exposure
• common location: face
• population: adults over 40

What is BCC?
MOST COMMON SKIN CANCER
• papule with central ulcer + rolled white border
• common location: middle 1/3 of face
• fair skin - sun exposure

What is cutaneous SCC? (+ common location)
elevated growth with central ulcer or red scaly patch
• fair skin - sun exposure
• common location: face
