1/60
Looks like no tags are added yet.
Name | Mastery | Learn | Test | Matching | Spaced | Call with Kai |
|---|
No analytics yet
Send a link to your students to track their progress

Identify the structure/organ labeled with the letter B.
Ejaculatory duct

Identify the structure/organ labeled with the letter D.
Membranous urethra

Identify the structure/organ labeled with the letter G.
Head of epididymis

Identify the structure/organ labeled with the letter E.
Urinary bladder

Identify the structure/organ labeled with the letter B.
Seminiferous tubules

Identify the structure/organ labeled with the letter C.
Corpus spongiosum

Identify the cell labeled with the letter F.
Spermatids

Identify the structure labeled with the letter A.
Corpus cavernosum

Identify the cell labeled with the letter B.
Primary spermatocyte

Identify the organ in this image.
vas deferens

Identify the structure labeled with the letter A.
spermatic cord

Identify the structure/organ labeled with the letter F.
Ejaculatory duct

Identify the structure/organ labeled with the letter E.
Bulbourethral gland

Identify the structure/organ labeled with the letter H.
Bulbourethral gland

Identify the structure/organ labeled with the letter B.
Corpus cavernosum

Identify the organ labeled with the letter C.
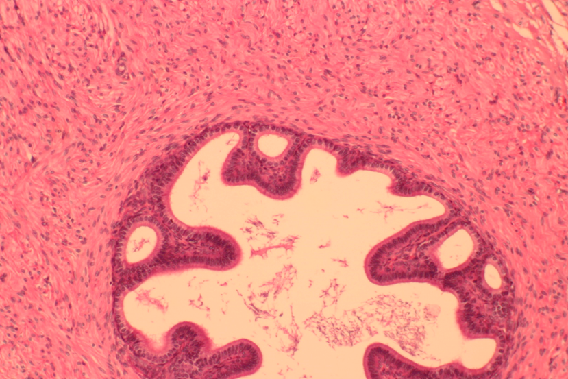
Seminal vesicle

Identify the structure labeled with the letter C.
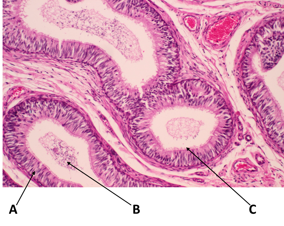
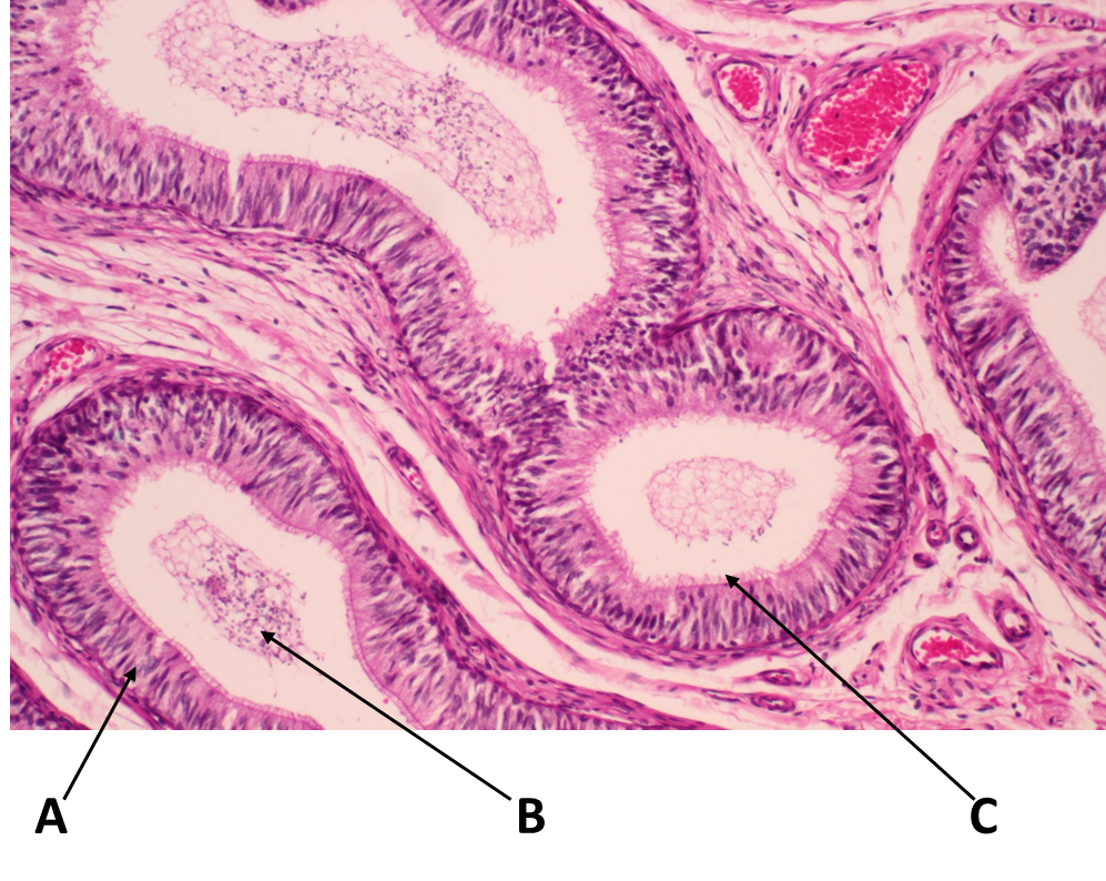
Stereocilia

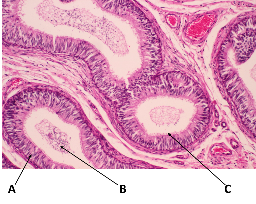
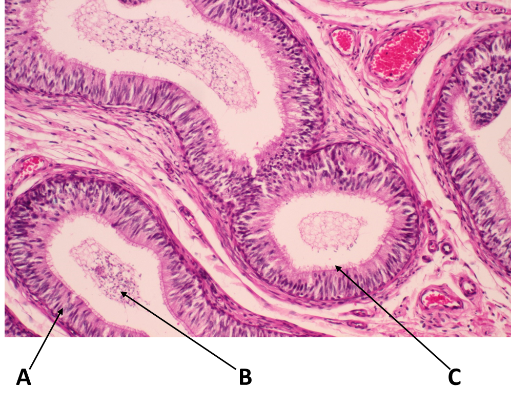
Identify the structure/organ labeled with the letter C.
Epididymis

Identify the cell labeled with the letter C.
Immature sperm

Identify the structure labeled with the letter B.
sperm

Identify the structure/organ labeled with the letter B.
Body of epididymis

Identify the structure/organ labeled with the letter G.
Prostatic urethra

Identify the structure/organ labeled with the letter G.
Spongy urethra

Identify the organ labeled with the letter A.
Urinary bladder

Identify the organ labeled with the letter D
Ductus deferens

Identify the structure/organ labeled with the letter A.
Tunica vaginalis

Identify the organ in this image.
Prostate Gland

Identify the structure labeled with the letter B.
Tunica albuginea

Identify the cell labeled with the letter D.
Interstitial cells

Identify the cell labeled with the letter A.
Sertoli Cell

Identify the structure/organ labeled with the letter F.
Prepuce

Identify the structure/organ labeled with the letter D.
Tail of epididymis

Identify the structure/organ labeled with the letter F.
Prostatic urethra

Identify the structure/organ labeled with the letter I.
Corpus spongiosum

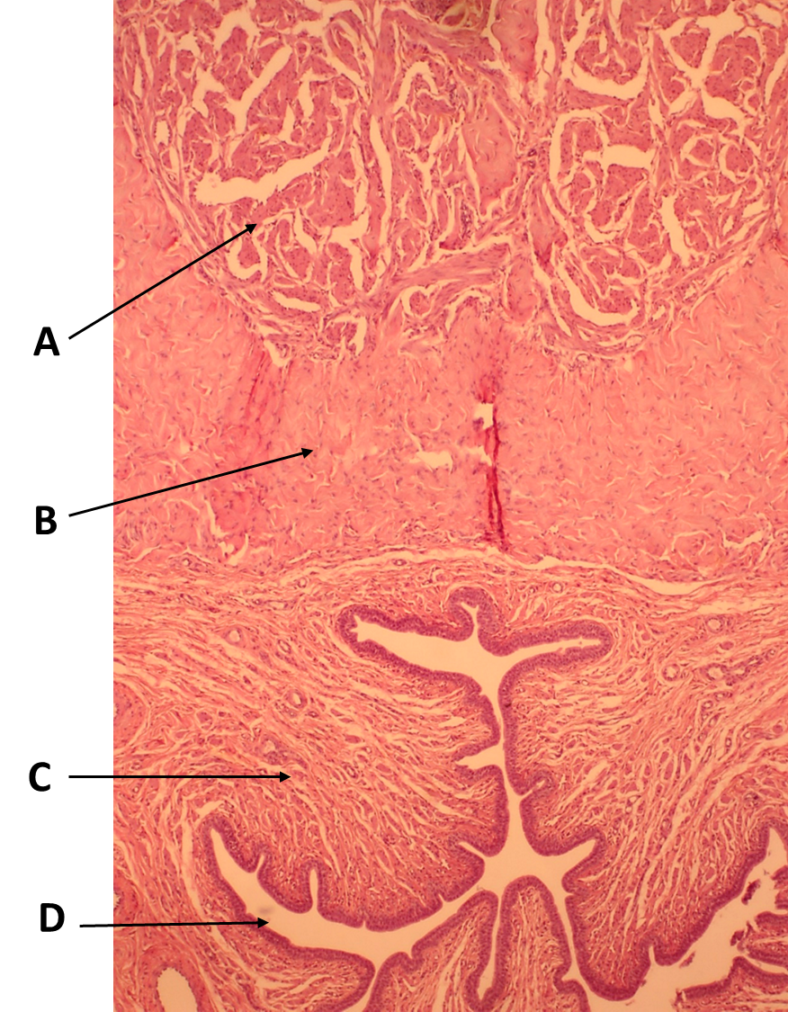
Identify the structure/organ labeled with the letter C.
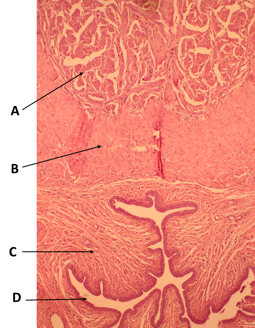
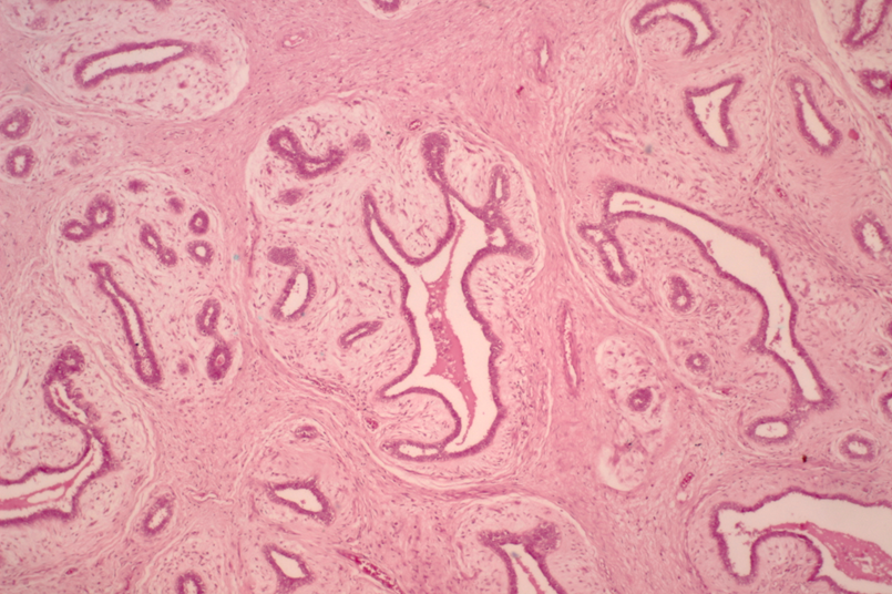
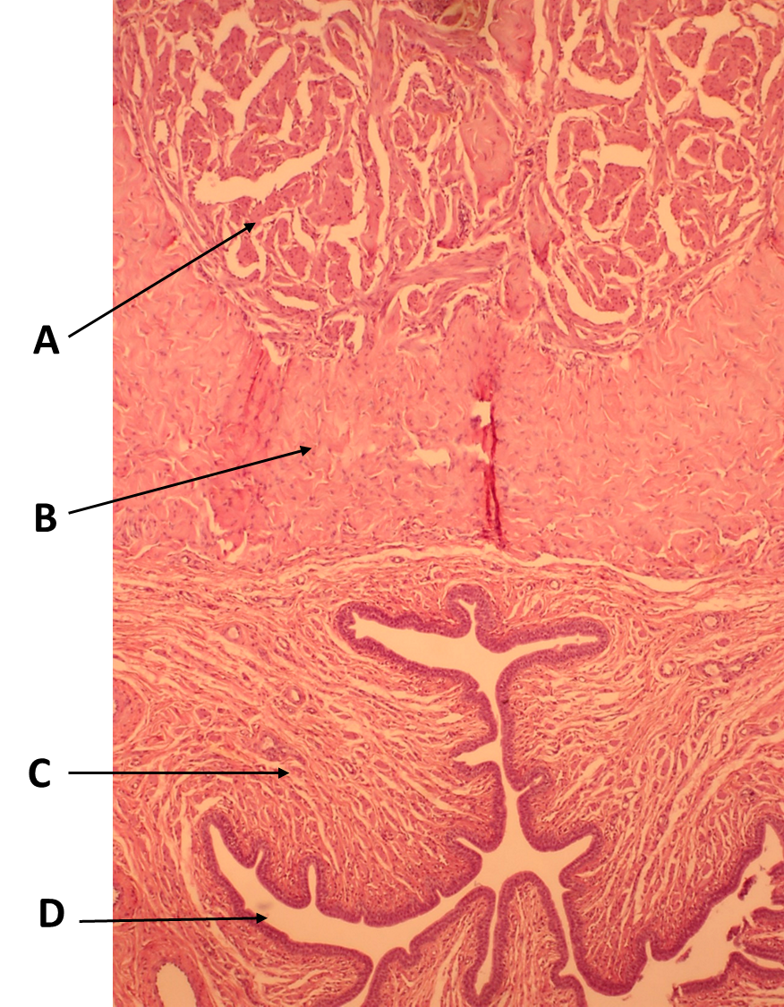
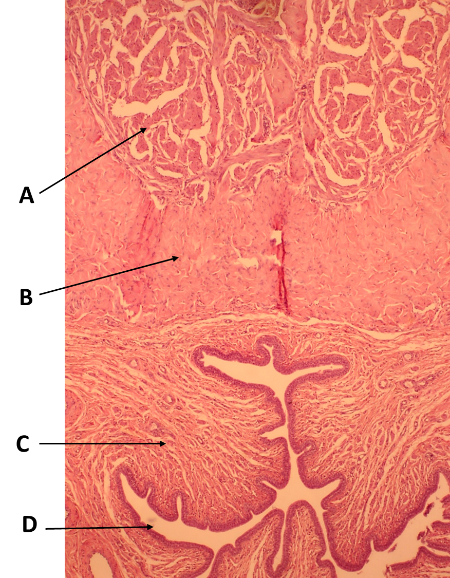
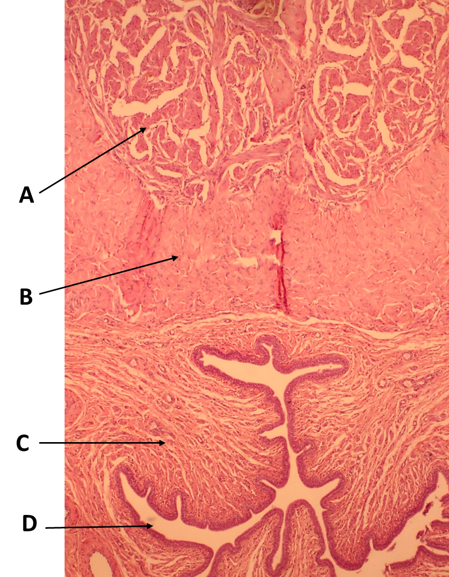
Prostate gland

Identify the structure/organ labeled with the letter A.
Urinary bladder

Identify the cell labeled with the letter E.
Spermatogonia

Identify the structure/organ labeled with the letter E.
testis

Identify the structure/organ labeled with the letter B.
spermatic cord

Identify the structure labeled with the letter C.
Corpus spongiosum

Identify the structure/organ labeled with the letter A.
Prostate gland

Identify the structure/organ labeled with the letter G.
Spongy urethra

Identify the structure/organ labeled with the letter E.
Body of epididymis

Identify the structure/organ labeled with the letter D.
Prepuce

Identify the structure/organ labeled with the letter E.
Glans penis

Identify the structure/organ labeled with the letter I.
Membranous urethra

Identify the structure labeled with the letter D.
urethra

Identify the structure/organ labeled with the letter D.
scrotum

Identify the organ in this image.
Epididymis

Identify the type of tissue labeled with the letter A.
Pseudostratified columnar epithelium

Identify the structure/organ labeled with the letter A.
Ductus deferens

Identify the structure/organ labeled with the letter F.
Head of epididymis

Identify the structure labeled with the letter B.
scrotum

Identify the structure/organ labeled with the letter D.
testis

Identify the structure/organ labeled with the letter H.
Corpus cavernosum

Identify the structure/organ labeled with the letter C.
Rete testis

Identify the structure/organ labeled with the letter A.
ductus deferens

Identify the organ in this image.
testis

Identify the organ in this image.
penis

Identify the structure/organ labeled with the letter C.
Tail of epididymis

Identify the organ labeled with the letter B.
Ureter