1/44
Looks like no tags are added yet.
Name | Mastery | Learn | Test | Matching | Spaced | Call with Kai |
|---|
No analytics yet
Send a link to your students to track their progress

Interstitial pattern
aorta and vena cava is blurry


VD


DV


Expiration


inspiration


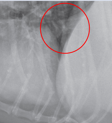
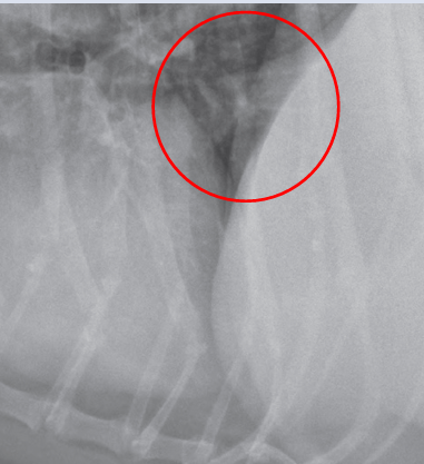
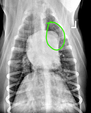
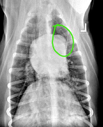
arrow pointed the THYMUS


dark white: right margin of trachea
light white arrow: left margin of trachea
Lymphomegaly
Heart base mass


Alveolar pattern on Cranial lobe
have edema/hemorrhage
no margin or ill-defined border
Findings: Hemorrhagic lung


Bronchial pattern
have donut or ring


Atelectasis (Alveolar pattern)
collapsed lung


Bronchial pattern
well defined nodular pattern


Bronchial mineralization
has shape
more compact ill-defined nodule and or margination of the lungs


Findings: Bronchopneumonia
trachea is also affected
observable diffuse opacity of bronchus
diffuse opacity on the bronchial
marked radiopacity of all lobes of the lungs


Vascular pattern
Dog with Heartworm
Heartworm dss- arteries are larger than vein


Vascular pattern
dog with paten ductus arteriosus (PDA)


Nodular pattern
multiple rounded opacities


- bronchopneumonia with pre-existing pleural effusion
- the lung has no well-defined margin


Nodular pattern
With very observable radiopacity nodules
Tuberculosis
Metastases
Pulmonary TB


Alveoli radiolucent
margination
boundaries and pattern
Check for the:
bronchus
alveoli


Bronchopneumonia

Total situs inversus
Heart is located towards the right side of thorax
Dextrocardia

Partial situs inversus occurs but heart is in normal position
Levocardia

Heart is positioned towards right side of thorax
Dextroversion

Mirror image of the thoracic and abdominal organs
Situs inversus
Normal position of organs in the thoracic and abdominal regions
Situs solitus
Heart is predominantly in the right thorax with cardiac apex pointing towards the right
May be due to cardiac diseases with left heart enlargement and mediastinal shift
Dextroposition

Heart is located in a normal left-sided position
Levoposition


Deep narrow-chested breed


Deep narrow-chested breed


Shallow wide-chested breed


Shallow wide-chested breed


Aortic stenosis


Aortic stenosis


Patent ductus arteriosus


Patent ductus arteriosus
nakadikit na sa sternum


Patent ductus arteriosus


Tricuspid insufficiency


Tricuspid insufficiency


Mitral insufficiency


Mitral insufficiency
