1/42
Looks like no tags are added yet.
Name | Mastery | Learn | Test | Matching | Spaced | Call with Kai |
|---|
No analytics yet
Send a link to your students to track their progress
Chondrocytes are ________.
inactive
Chondroblasts are _______.
active
Three types of cartilage:
hyaline, elastic, fibro
Chondrocytes secrete EMC from a matrix cavity called a ______.
lucuna
Hyaline and elastic cartilage are made of Type __ collagen.
2
Fibrocartilage is made of Type ___ collagen.
1
What type of cartilage is shock absorbant?
hyaline cartilage
What type of cartilage is flexible?
elastic
What type of collagen resists stretching and pulling forces?
fibrocartilage
All forms of collagen are ________.
avascular
Cartilage exhibits low ________ activity and contains no nerve or lymphatic tissue.
metabolic
What is the most common type of cartilage?
hyaline
What are 4 common locations of hyaline cartilage in the body?
articular surface of moveable joints
nose, larynx, trachea, bronchi
costal cartilage
epiphyseal growth plate
The hyaline cartilage matrix is __________ due to the high amount of GAGs.
basophilic
What are two locations of fibrocartilage?
pubic symphysis and intervertebral discs

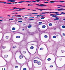
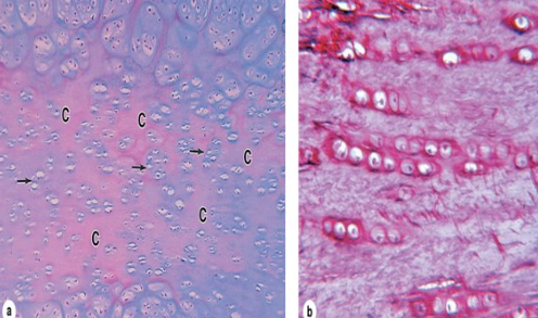
What type of cartilage is this?
hyaline

What type of cartilage is this?
hyaline cartilage

What type of cartilage is this?
hyaline cartilage

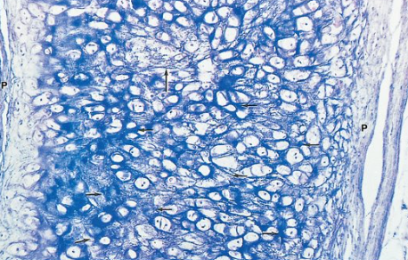
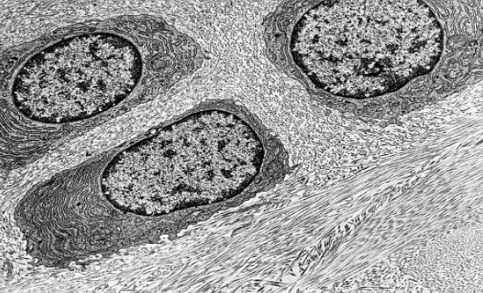
What type of cartilage is this?
fibrocartilage

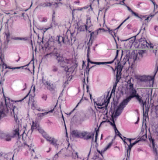
What type of cartilage is this?
elastic cartilage

What type of cartilage is this?
elastic cartilage
Growth production of hyaline cartilage is inhibited by ________.
cortisones
Growth is accelerated by what two things:
thyroxine and growth hormone
What 2 things does hyaline cartilage add to the ECM?
watery substance and collagen 2
What does elastic cartilage add to the ECM?
elastic fibers
What is the annulus fibrosis made of?
Type 1 collagen
What is the nucleus pulposus?
a gel made of hyaluronic acid
What is the function of the nucelus pulposus?
gives shock absorption to the vertebral column

What structure is 1?
anulus fibrosus

What structure is 2?
nucleus pulposus

What cartilage type is this?
fibrocartilage
What are the four zones in which cartilage becomes bone?
proliferation zone
hypertrophic zone
calcification zone
ossification zone
Interstitial growth
growth from the center of the cartilage
Appositional growth
growth at the perichondral borders

What is shown here?
chondroblasts in growing fibrocartilage

What zone is 1?
proliferation zone

What zone is 2?
hypertrophic zone

What zone is 3?
calcification zone

What zone is 4?
ossification zone
Two types of cartilage tumors
chondroma and chondrosarcoma
Ollier disease
a rare nonhereditary sporadic disorder where intraosseous benign cartilaginous tumors develop in close proximity to growth plate cartilage

What disease is this?
Ollier disease

What condition is this?
chondrosarcoma