1/30
Looks like no tags are added yet.
Name | Mastery | Learn | Test | Matching | Spaced | Call with Kai |
|---|
No analytics yet
Send a link to your students to track their progress
lateral ceph sensor
Identify 1

soft tissue filter
Identify 2

radiation source for pan and ceph
Identify 3

panoramic sensor
Identify 4

A) in front
In this image, the teeth are ___ the groove of the bitestick
A) in front of
B) behind

B) behind
In this image, the teeth are ___ the groove of the bitestick
A) in front of
B) behind

B) double real image
The structures outlined in green indicate what type of image?
A) real image
B) double real image
C) ghost image

A) real image
The structures outlined in blue indicate what type of image?
A) real image
B) double real image
C) ghost image

C) ghost image
The structures outlined in orange indicate what type of image?
A) real image
B) double real image
C) ghost image

patient is too close to sensor
What is the problem with the patient's positioning in this image?

C) focal trough
What light would need to be adjusted to fix this image?
A) mid-sagittal
B) Frankfort plane
C) focal trough

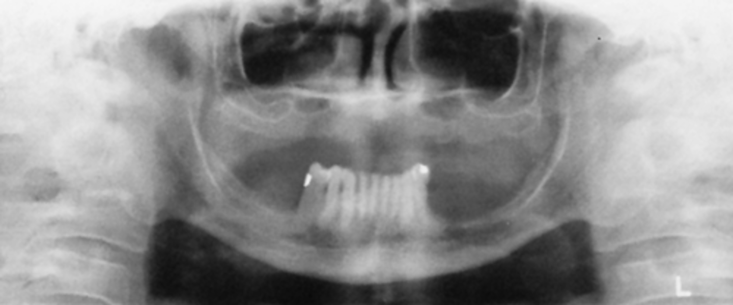
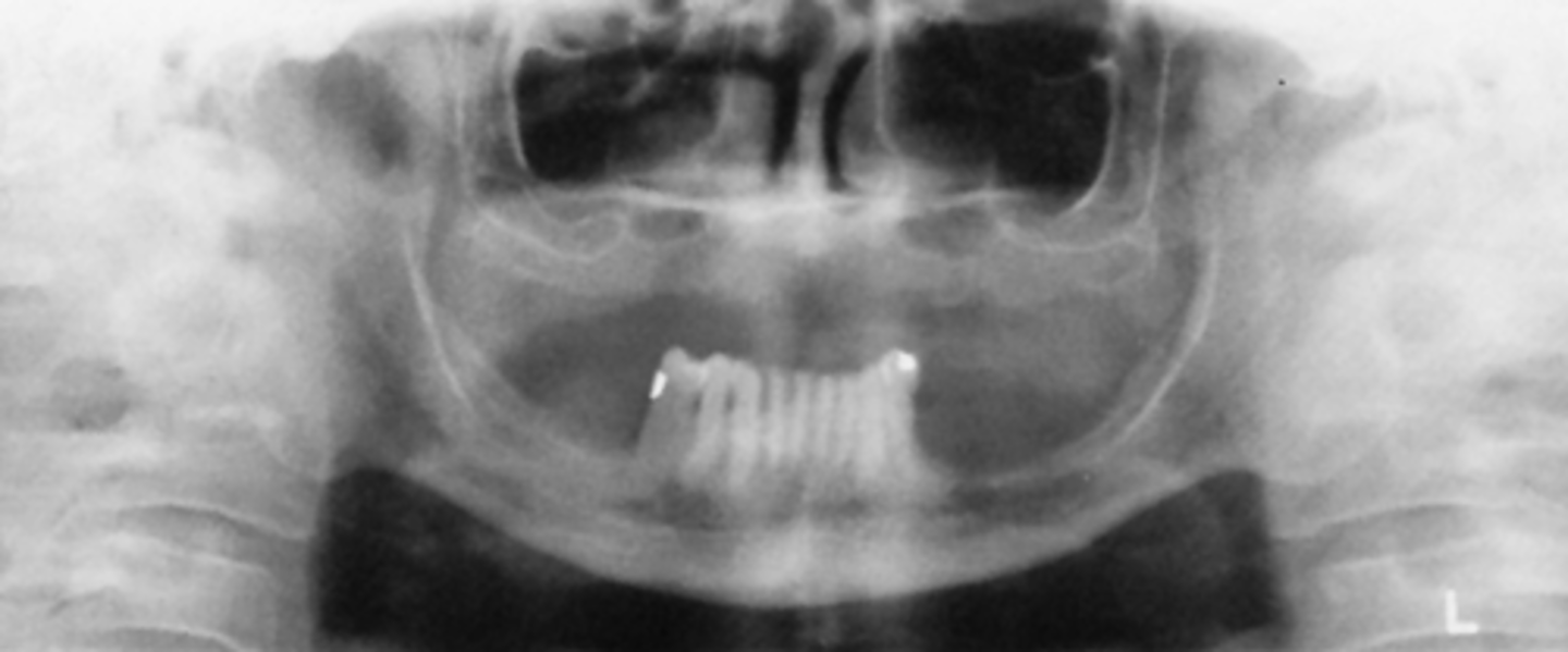
- patient didn't close all the way
- chin was down
- patient is too close to the film/receptor
What are the problems in this panoramic image?

A) mid-sagittal
What light needs to repositioned to fix this image?
A) mid-sagittal
B) Frankfort plane
C) focal trough

B) Frankfort plane
What light needs to be repositioned to fix this image?
A) mid-sagittal
B) Frankfort plane
C) focal trough

C) focal trough
What light needs to repositioned in order to gain the roots of the upper teeth?
A) mid-sagittal
B) Frankfort plane
C) focal trough

B) Frankfort plane
What light needs to be repositioned in order to fix the flatness seen in this image?
A) mid-sagittal
B) Frankfort plane
C) focal trough

A) up
The chin was slightly ___, resulting in this image
A) up
B) down

B) down
The chin was slightly ___, resulting in this image
A) up
B) down

B) Frankfort plane
What light needs to be repositioned in order to fix the curve of the smile?
A) mid-sagittal
B) Frankfort plane
C) focal trough

ghost of cervical spine
What does the light in the middle of this image represent?

patient moved
What is the cause of this break seen in the image?

B) down
The chin was slightly ___, resulting in this image
A) up
B) down

patient moved
What is the cause of this resultant image?

A) up
The curve of the image is slightly flat, which means the chin was slightly ___
A) up
B) down

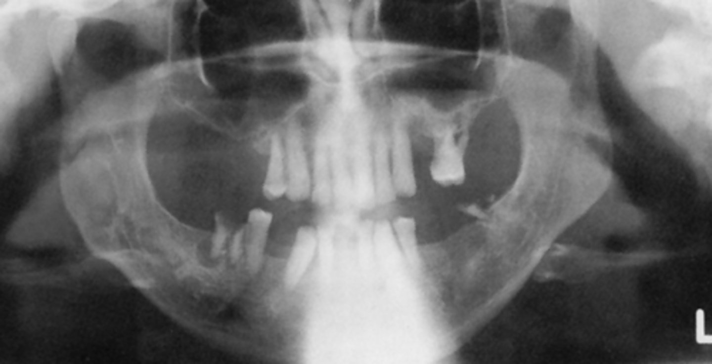
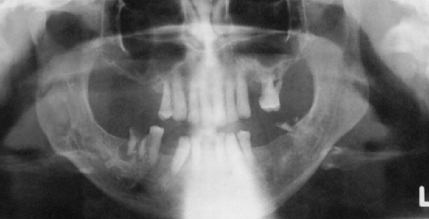
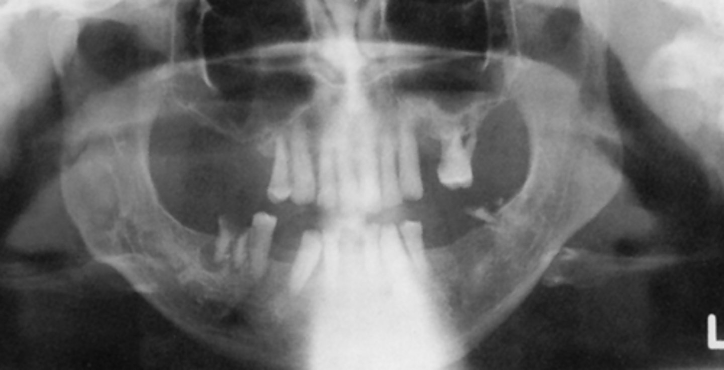
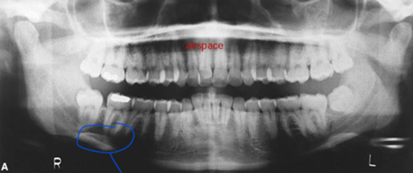
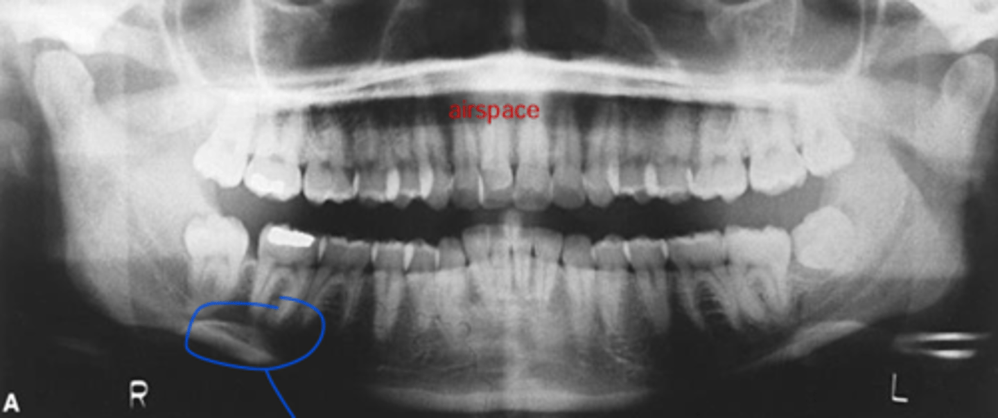
body of hyoid
What is the structure circled in blue?

patient's chin was down
What is the problem that resulted in this image, relating to the occlusal plane?

B) ghost
The white arrows represent the ___ hard palate
A) real
B) ghost

A) real
The black arrows represent the ___ hard palate
A) real
B) ghost

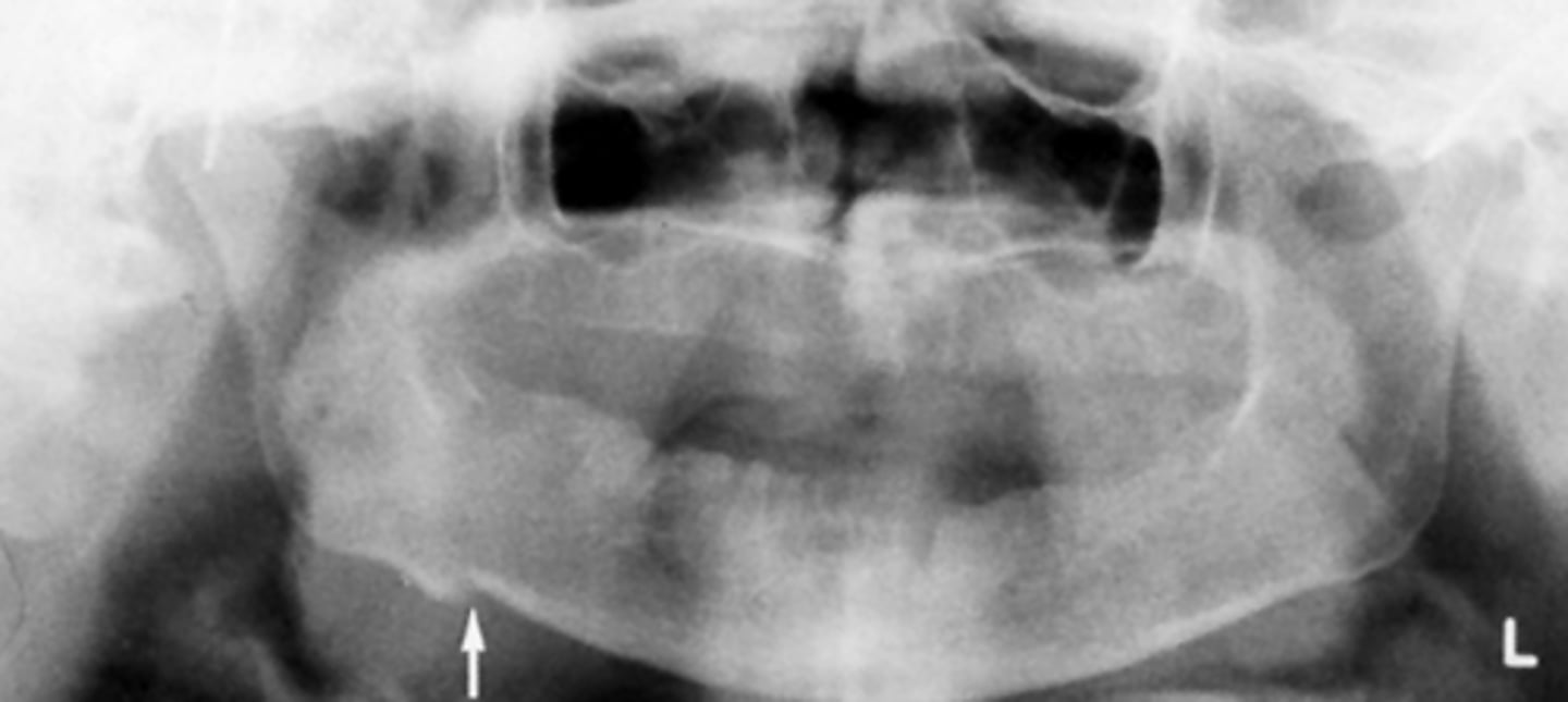
B) ghost left mandible
The black triangles represent the ___
A) real left mandible
B) ghost left mandible
C) real right mandible
D) ghost right mandible

B) down
If the pan image appeared too smiley, the patient's chin was too far ___ (image is just a placeholder and not necessarily related to this question)
A) up
B) down

A) up
If the pan image appeared too frowny, the patient's chin was too far ___ (image is just a placeholder and not necessarily related to this question)
A) up
B) down
