1/22
Looks like no tags are added yet.
Name | Mastery | Learn | Test | Matching | Spaced | Call with Kai |
|---|
No analytics yet
Send a link to your students to track their progress
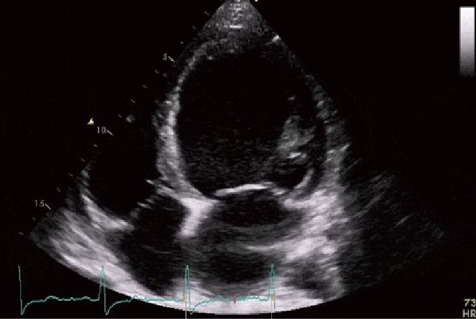
Dilated cardiomyopathy
Four chamber dilation, ventricular systolic and diastolic dysfunction
Dyspnea, edema, palpitations
Symptoms of dilated cardiomyopathy; similar to heart failure
RV/LV failure, arrhythmia, rales, pulses alternans
Signs of dilated cardiomyopathy
Pulses alternans
Alternating strong and weak beats, occurs with dilated cardiomyopathy
Dilated cardiomyopathy
Diagnose this pathology

4 chamber dilation, decreased systolic & diastolic function, increased volume & mass index
Describe some echo findings associated with Dilated Cardiomyopathy
Myocardial inflammation, hemodynamic state, embolism, ventricular arrhythmia
Four major concerns to focus on when treating dilated cardiomyopathy
Immunosuppressive therapy: presidone
What treatment is done in focus of Myocardial Inflammation with dilated cardiomyopathy
Afterload reduction, heart rate control
What treatment is done in focus of Hemodynamic State with dilated cardiomyopathy
Anticoagulant therapy
What treatment is done in focus of Emboli with dilated cardiomyopathy
Heart transplant
Ultimate treatment for dilated cardiomyopathy
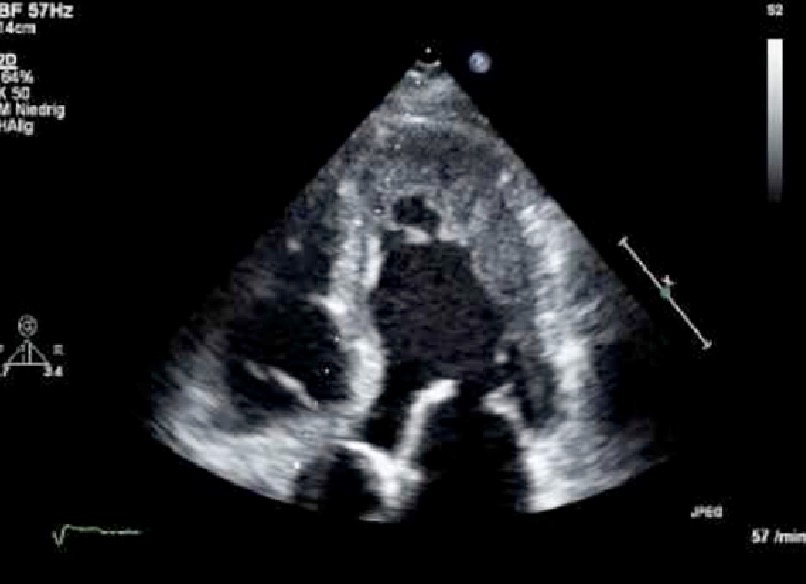
Arrhythmogenic RV Cardiomyopathy
Genetic form of cardiomyopathy that results in fibrofatty replacement of the RV wall
Arrhythmogenic RV Cardiomyopathy
What do these ECHO findings align with…
rv dilation
Systolic dysfunction
RV trabeculation
Increased echogenicity of the moderator band
RV systolic dysfunction, arrhythmia, sudden death
List three clinical manifestations of Arrhythmogenic RV Cardiomyopathy
Arrhythmogenic RV Cardiomyopathy
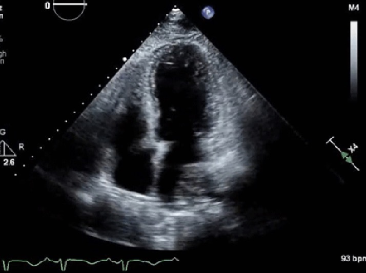
What pathology does this ECHO look like?

LV Noncompaction
Genetic cardiomyopathy with decreased coronary flow, thickened and trabeculated myocardium
Heart failure, embolism events, arrhythmia
List 3 clinical presentations of LV Noncompaction
LV Noncompaction
What pathology does this echo look like?
Hypokinesis and myocardial thickening localized in apex

Takosubo CM
Cardiomyopathy described as transient LV dysfunction and expansion of the apical section & basal hyperkinesis
Broken heart Syndome
Takosubo CM is also known as ___ due to its ability to resolve on its own and symptoms occur after emotional stress
Cor Pulmonal
Disease caused by lung disease; shows RV hypertrophy and enlargement
Takotsubo Cardiomyopathy
Octopus Pot pathology

Chagas CM
Chronic cardiomyopathy caused by infection with a parasite
