1/81
Looks like no tags are added yet.
Name | Mastery | Learn | Test | Matching | Spaced | Call with Kai |
|---|
No analytics yet
Send a link to your students to track their progress

Size: (50-55) X (20-25) -
Details: 2 Bubble-like (or plug-like) polar prominences / Sorrel Shaped / Thick Wall
Trichuris trichiura egg

Stool 31 x 43 um
Hymenolepis nana egg

3) 1 of 3
Wuchereria bancrofti adult worm (Whole)

3) 2 of 3
Wuchereria Bancrofti adult worm (Tail)

3) 3 of 3
Wuchereria bancrofti adult worm (Head)

Ascaris lumbricoides egg (Fertilized)

Enterobius vermicularis egg

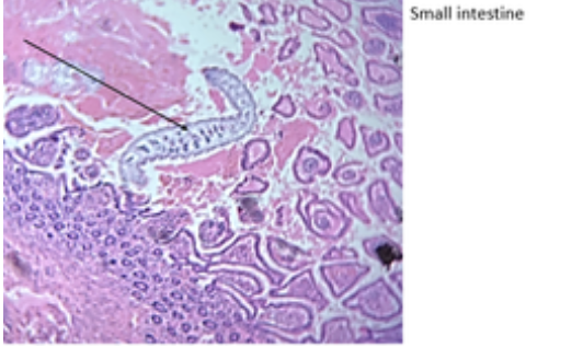
Gastrodiscoides hominis adult worm

Schistosoma mansoni egg

Nuclei: Terminal and Subterminal

Schistosoma cercaria

Paragonimus westermani adult worm

Dipylidium caninum eggs egg packet contains hexacanth larvae

Hymenolepis nana cysticercoid

Enterobius vermicularis adult

Oxyurid esophagus

Black: Stichocyte
Red: Stichosome

15: 1 of 3
Trichinella spiralis larvae

15: 2 of 3
Trichinella spiralis larvae

15: 3 of 3
Trichinella spiralis larvae

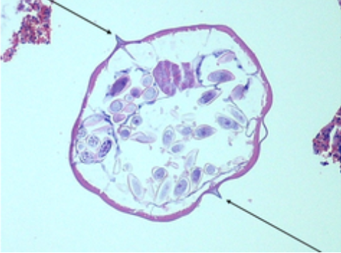
Taenia spp. egg

1) What is the Anterior Groove?
Rostellum

2) What are the circular structures surrounding the scolex?
Suckers

3) What are the Structures surrounding the anterior groove
Hooks

A) Gnathostoma spinigerum
B) Cephalic bulb

Metacercaria

Fasciola Hepatica Egg

Trematode cercaria

Ascaris lumbricoides unfertilized egg

Taenia gravid proglottid

Clonorchis sinensis adult worm

Ovaries

Vitellarium

Testes

Genital pore

Enterobius vermicularis egg

Hymenolepis diminuta egg

Loa loa [unstained sheath]

Paragonimus westermani egg

Dipylidium caninum mature proglottid

Schistosoma intercalatum egg

Echinococcus granulosis protoscolex

Dracunculus medenensis Female worm

Demodex follicularum

Ascaris lumbricoides adult worm

Schistosoma japonicum adult male

Testes

Blue: Strongyloides stercoralis rhabditiform larva
Pink: Genital primordium
Green: Esophageal bulb Buccal canal

Sarcoptes scabei

Rediae

Schistosoma japonicum egg

cirrus sac

Uterus

Ovaries

Hookworm egg

Paragonimus westermani adult worm

Bothrium (suctorial groove)

miracidium laravae stage??

Trichistrongylus egg

Taenia solium gravid proglottid

Serrasentis sagittifer male

Linguatula serrata adult

Stichocyte

esophageal bulb

Ithmus

corpus

oral sucker

Ovary

Ventral Sucker

Intestine

Vitellaria

Heterophyes egg

Cimex lectularius (bed bug)

genital primordium Strongyloides stercoralis

Ancylostoma duodenale

cephalic alae

copulatory bursa

Left Arrow: Lateral longitudinal cord
Right Arrow: Lateral excretory canal

(Might be on exam)
Pediculus humanus capitus

(Might be on exam)
Pthirus pubis (Crotch Cricket)

Sarcoptes scabei

(skin scrappings)
Demodex folliculum