1/16
Looks like no tags are added yet.
Name | Mastery | Learn | Test | Matching | Spaced | Call with Kai |
|---|
No analytics yet
Send a link to your students to track their progress

CHẨN ĐOÁN
CHẢY MÁU RĂNG TỰ PHÁT Ở BỆNH NHÂN SUY GAN

CHẨN ĐOÁN?
CHẢY MÁU TỰ PHÁT Ở LƯỠI

CHẨN ĐOÁN?
CHẢY MÁU TỰ PHÁT ở bn giảm tiểu cầu

CHẨN ĐOÁN?
MÀY ĐAY Ở DA sau khi sử dụng thuốc

CHẨN ĐOÁN?
PHÙ MẠCH Ở MÔI

CHẨN ĐOÁN?
SƯNG VÙNG CỔ Ở BN HIV

CHẨN ĐOÁN?
VIÊM NƯỚU

CHẨN ĐOÁN?
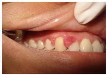
U HẠT THAI NGHÉN

CHẨN ĐOÁN?
U HẠT THAI NGHÉN

CHẨN ĐOÁN?
U HẠT THAI NGHÉN

CHẨN ĐOÁN?
U HẠT THAI NGHÉN

CHẨN ĐOÁN?
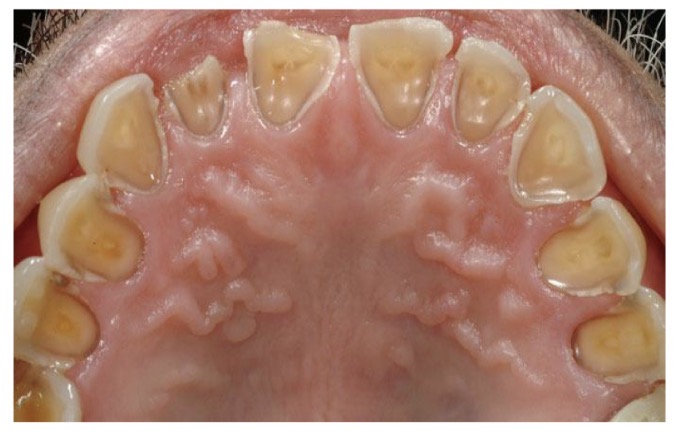
XOI MÒN RĂNG DO NÔN MỬA/ TRÀO NGƯỢC

CHẨN ĐOÁN?
BN DÙNG THUỐC CHỐNG ĐÔNG MÁU