1/55
Looks like no tags are added yet.
Name | Mastery | Learn | Test | Matching | Spaced | Call with Kai |
|---|
No analytics yet
Send a link to your students to track their progress
External Nares (Nostrils)
L

Nasal cavity
A

Nasal Conchae (superior, middle, inferior)
M

Nasopharynx
B

Oropharynx
C

laryngopharynx
D

Larynx
K

Thyroid cartilage
H

Epiglottis
J

Cricoid Cartilage
F

Vestibular Folds
I

Vocal folds
G

Trachea
E

Thyroid cartilage (View 2)
A

Epiglottis (View 2)
D

Vocal Folds (View 2)
B

Epiglottis (View 3)
D

terminal bronchiole
A

bronchiole
B

respiratory bronchiole
C

Alveolar ducts
D

Alveoli
E

Alveolar sac
F

Primary bronchi
A

Secondary bronchi
B

Tertiary bronchi
C

bronchioles (view 2)
D

Right Superior Lobe
A

Left Superior Lobe
C

Secondary bronchus (View 2)
E

Left Inferior Lobe
G

Left Lung
H

Right Lung
K

Base of lungs
J

Right inferior lobe
l

Right middle lobe
M

Left primary bronchus (View 2)
B

Left Lung (Cross section)
C

Pleural cavity
D

Visceral pleurae
E

Parietal Pleurae
F

Right Lung (View 2)
G

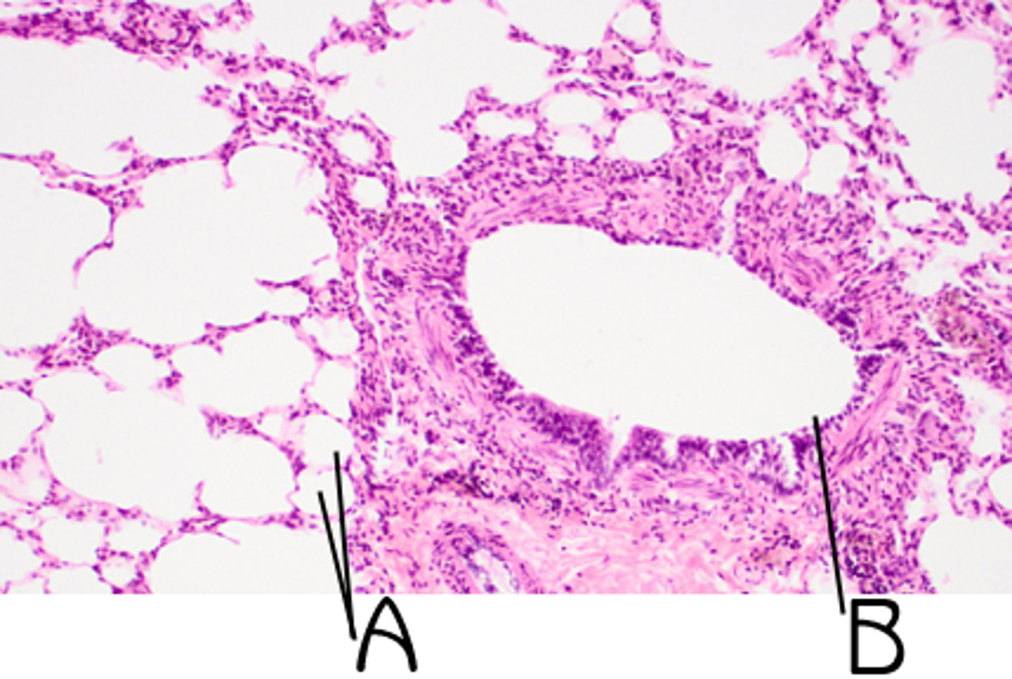
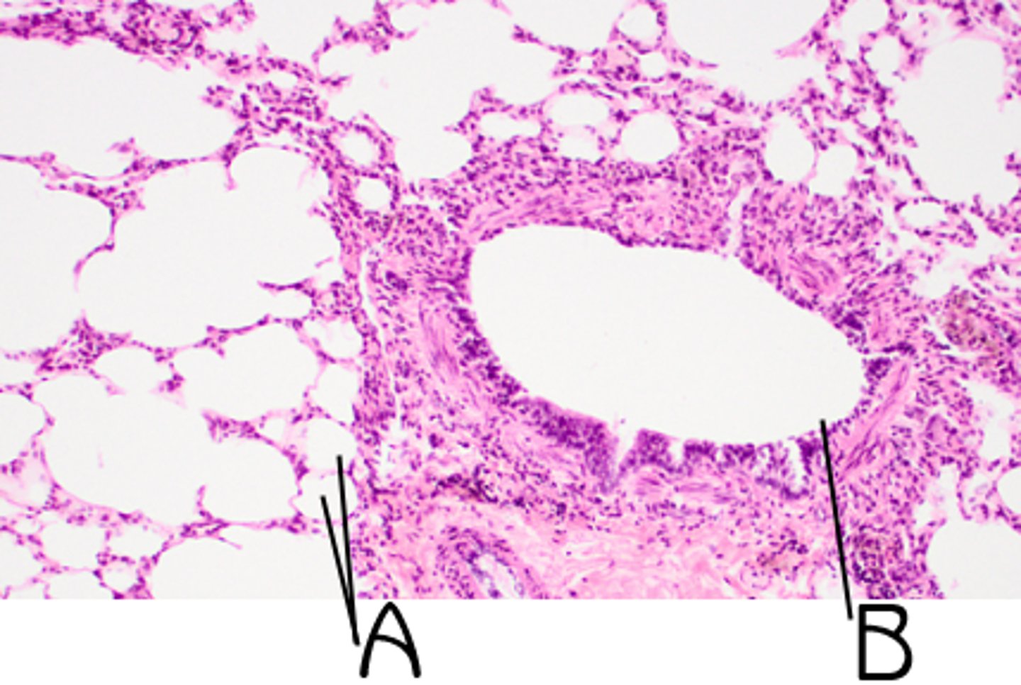
Bronchiole (Histology)
B

Alveoli (Histology)
A

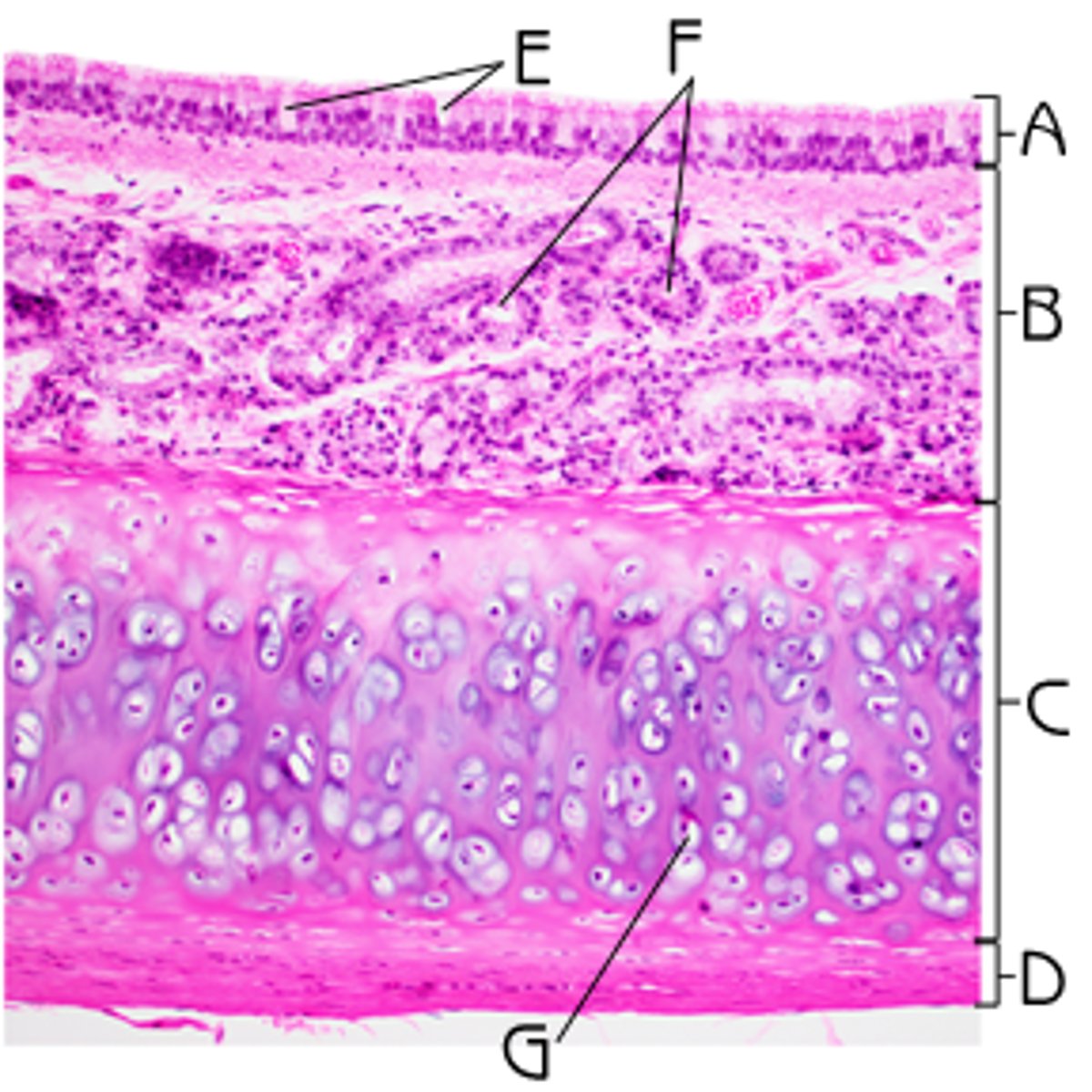
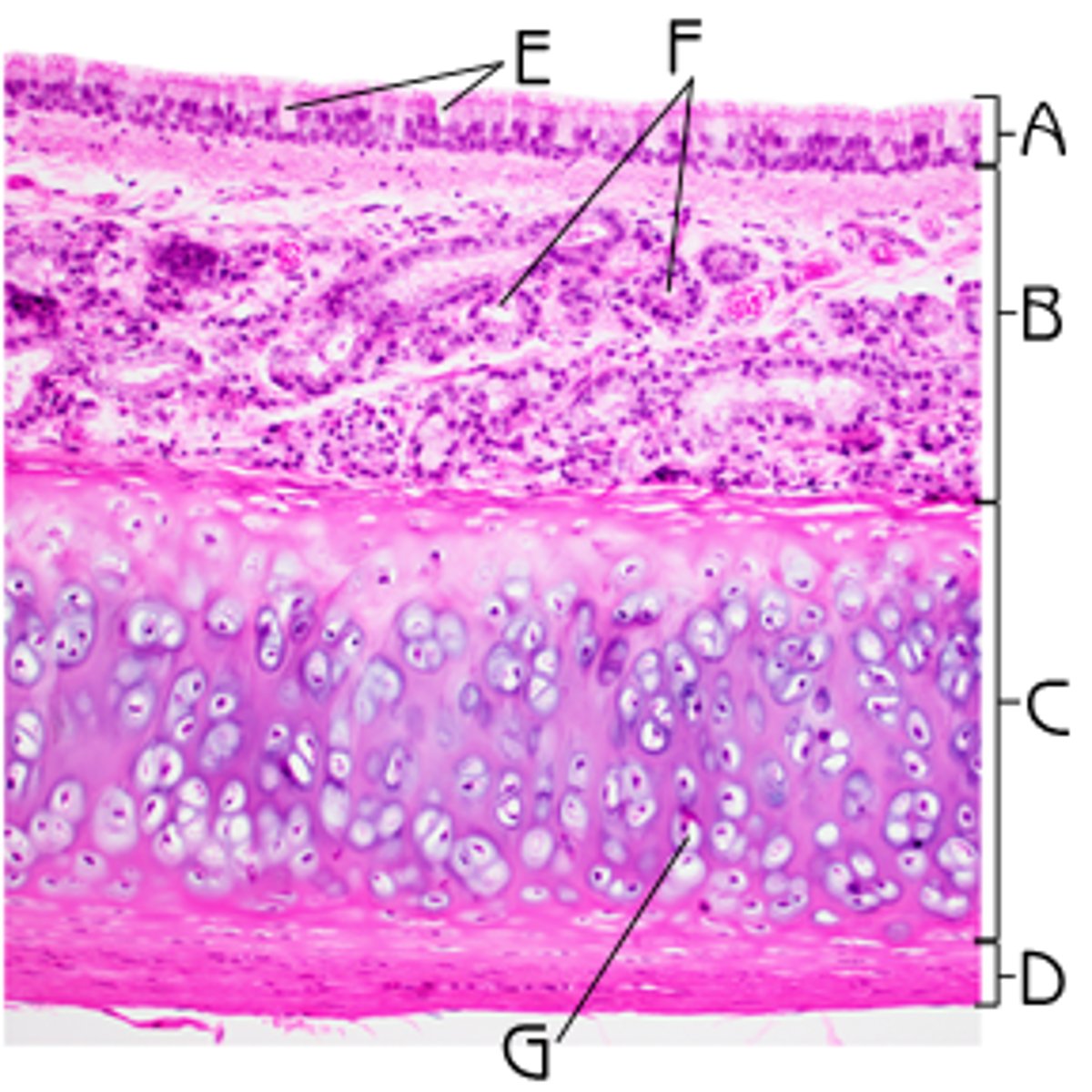
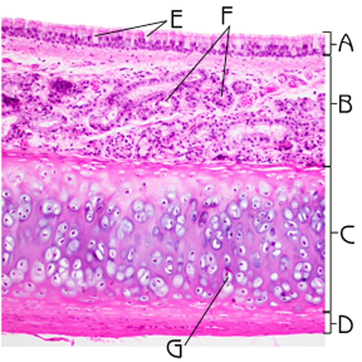
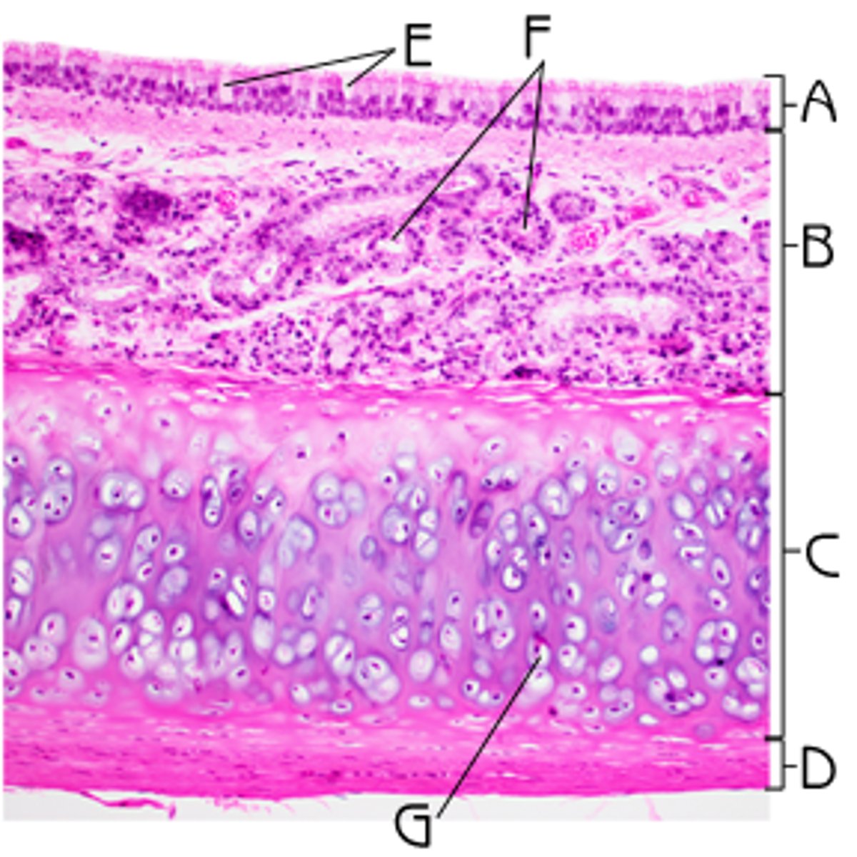
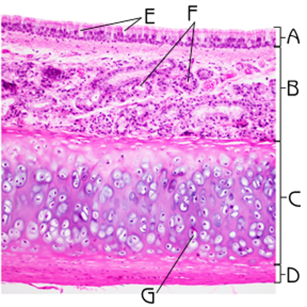
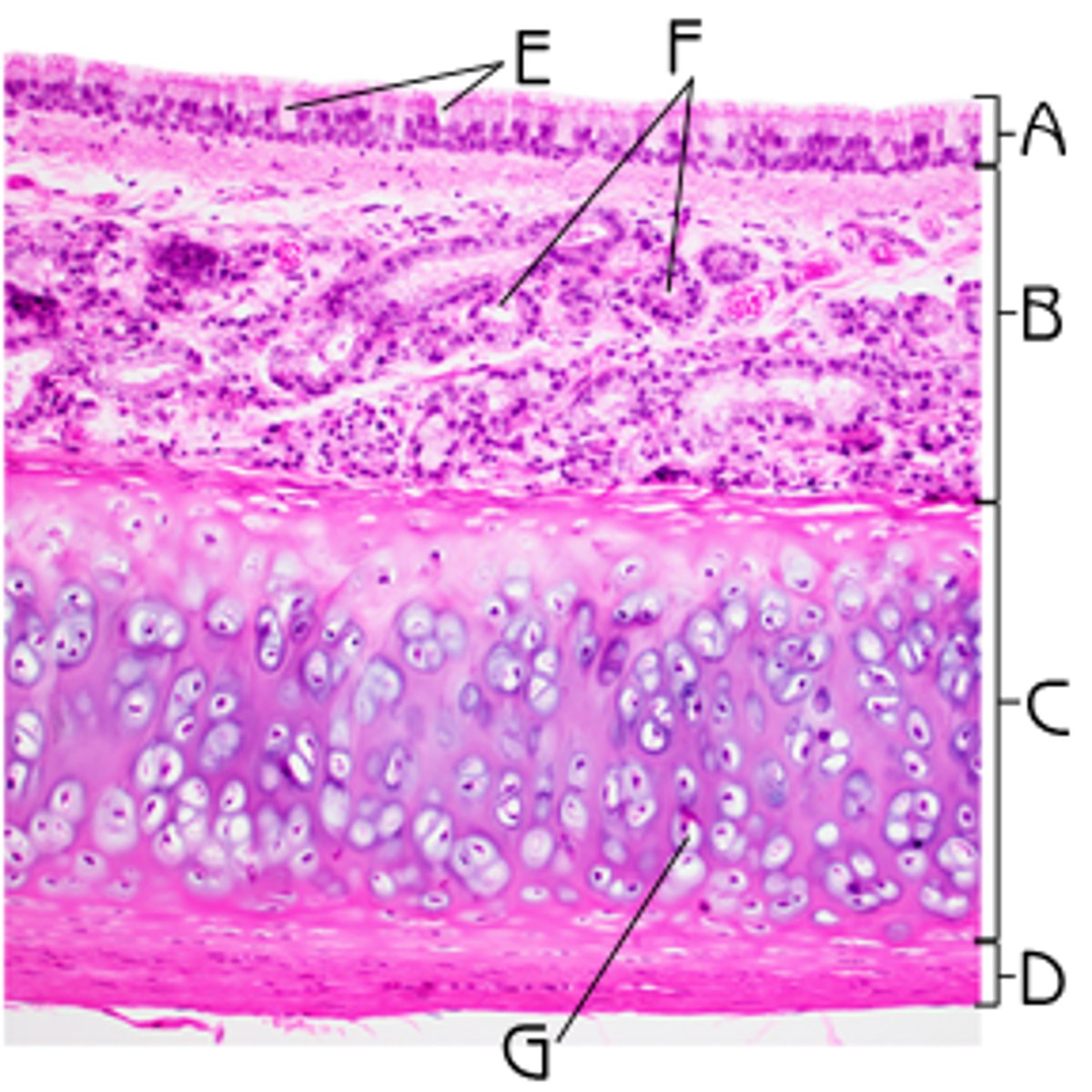
Mucosa (Histology)
A

Submucosa
B

Hyaline Cartilage (Trachea)
C

Goblet cells
E

Mucus Glands
F

Chondrocyte in lacuna
G

Cilia
A

Type I alveolar cell (simple squamous)
A

Type II alveolar cells
B

Nasal Bone
A

Frontal sinus
A

Sphenoid sinus
C
