1/42
Looks like no tags are added yet.
Name | Mastery | Learn | Test | Matching | Spaced | Call with Kai |
|---|
No analytics yet
Send a link to your students to track their progress
Disc degeneration
What is relatively common and may occur in up to 6% of routine abdominal radiographs in adults?
Ankylosing
What is the term for fusion?
T spine
What spine is disc calcification hardest to see?
Disc calcification
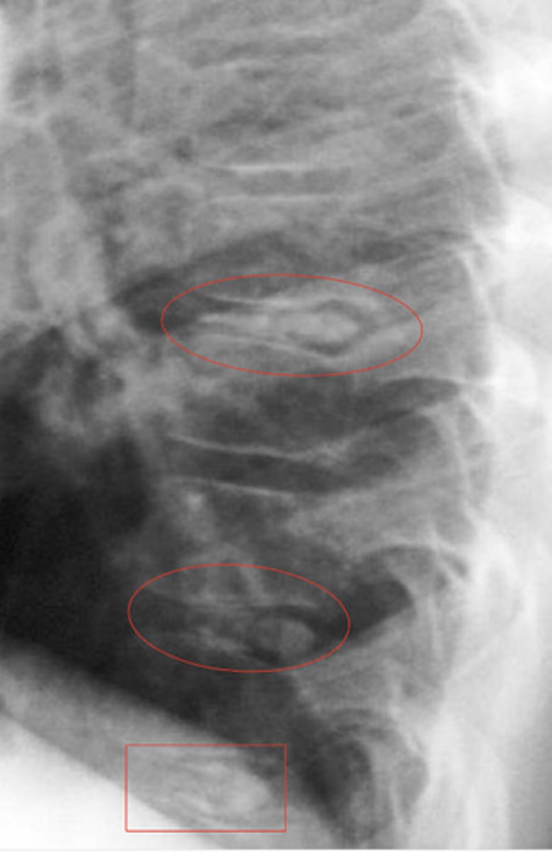
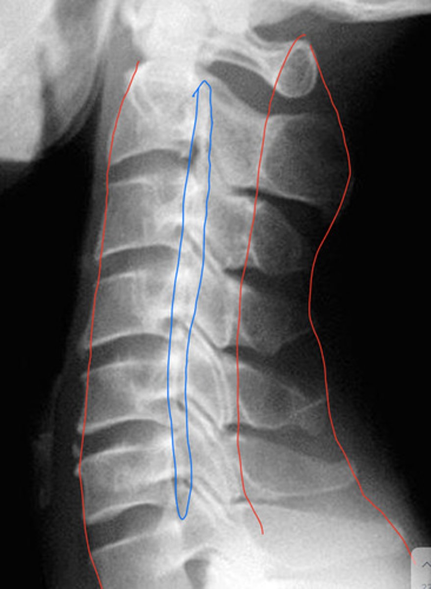
What is the red

Ankylosing hyperostosis
What is the most descriptive aka for DISH?
diffuse idiopathic skeletal hyperostosis
What does DISH stand for?
T
T/f: Forestier's disease is also known as diffuse idiopathic skeletal hyperostosis (DISH),
• Ossification of the anterior longitudinal ligament over at
least 4 contiguous vertebrae
• (Early) Preservation of the intervertebral disc space
• (Early) Preservation of the facet joint
• Absence of sacroiliac joint erosions, sclerosis, or bony fusion
What is the Resnick and NIwayama criteria?
enthesopathy
Ankylosing hyperostosis is characterized by what?
• Middle and lower thoracic spine
• Upper lumbar spine
• Lower cervical spine
What part of the spine Most commonly involves the anterior longitudinal ligament (ALL)?
Degenerative arthritis
Where have we seen enthesopathies?
Calcification of the posterior vertebral line
Looks like fracture, not actually
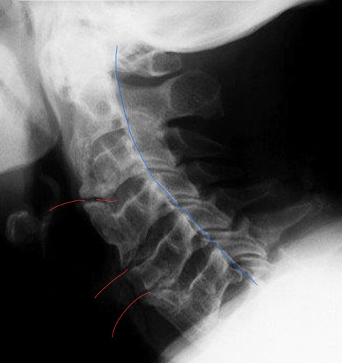
What is the blue?
What is the red?

Anything that is close to the spinal cord
What areas of the spine are most concerning when a patient has a pathology?
DISH
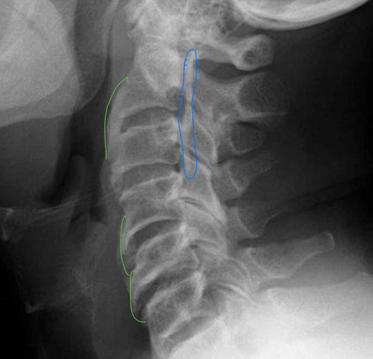
What is the blue arrow pointing at?

Sclerosis of the posterior vertebral line
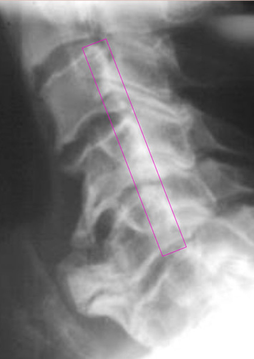
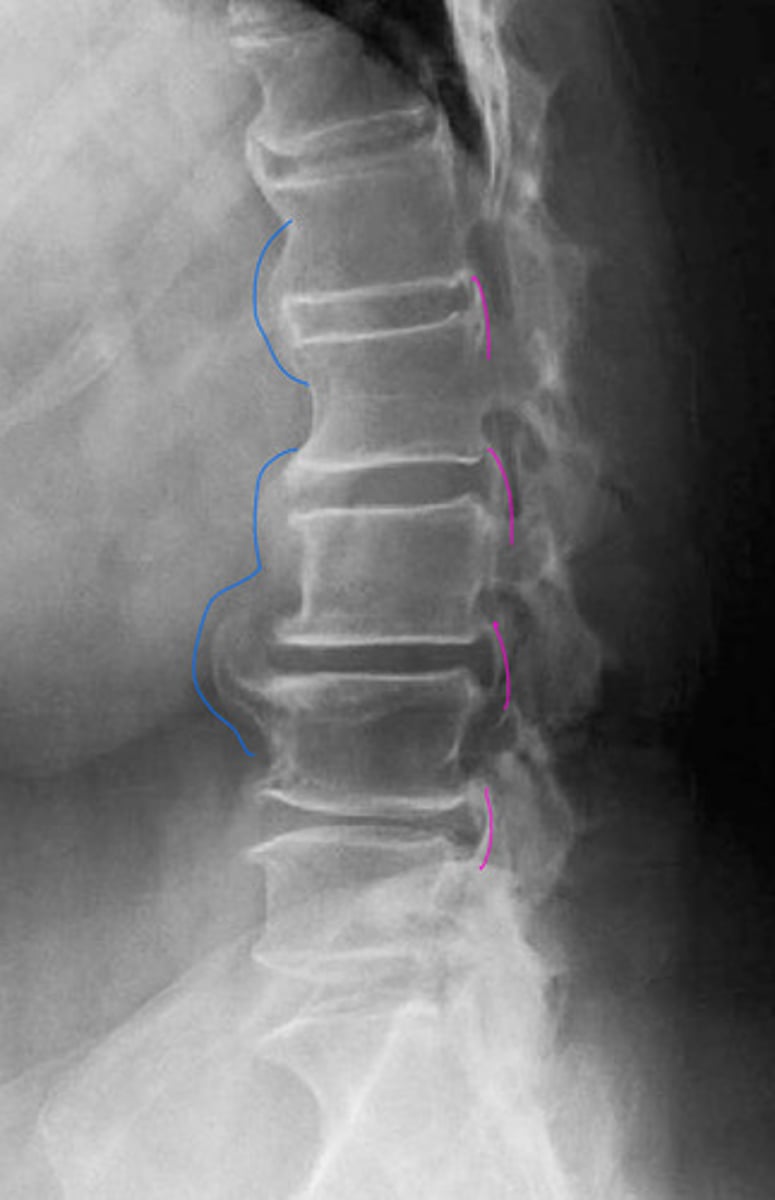
What is the pink?

DISH (mid body to mid body)
What is in the red?

CT
What has the best image of cortical bone?
DISH (mid body to mid body)
What is the arrow pointing at?

Mid body
Where does the ALL attach to the vertebrae?
DISH (mid body flow of the anterior vertebral line)
What is wrong with this image?

Calcification of ALL or DISH
What is the pathology?
Early
Many people with AH/DISH experience no symptoms, especially in the _______ stages.
50
Men
AH/DISH is most commonly observed in older adults, typically occurring after the age of ____. It is more prevalent in what gender?
shoulders, hips, knees, and heels
AH/DISH can also involve the tendons and ligaments of other joints, what are some other joint areas?
anterior and lateral
Decrease, more stiffness
AH/DISH is the spine, where it causes the formation of osteophytes along the ____ and ____ aspects of the vertebrae.
What does this do to movement?
Regular exercise can also help improve mobility and reduce discomfort. In some cases, surgery
What is the tx for AH/DISH?
spinal fractures, difficulty swallowing, and breathing problems (cervical spine involvement)
What are some complications of AH/DISH?
Healthy lifestyle and balanced diet
What type of lifestyles can defend against DISH?
Idiopathic
What is the exact cause of DISH?
Diabetes
What other condition is often associated with AH/DISH?
75, 15, 10
DISH presents:
__% cervical
__% thoracic
___% lumbar
T
T/f: AH is higher in East Asian populations (2.4%) compared to Caucasians (0.2-0.7%
DISH
Japanese Disease is another name for what?
DISH/AH
What is this image showing?

Ossification of the PLL
Laminectomy
What is the pink?
What happened to there spinous processes?

Ossification of PLL
What is the blue?

Can cause cord stenosis
What is so dangerous of OPLL (ossification of PLL)?

AH
OPLL
What is the green?
What is the blue?

OPLL
What will cause the cord herniation

Cervical
What part of the spine is OPLL mc in?
OALL (if OALL is present, always check PLL)
OPLL
What is the blue?
What is the pink?

16, 14, 13, 12, 12, 12
What is the lateral sagittal canal size for each cervical

Back of dens to spinolamina line
How do you measure the lateral sagittal canal size of c1?