1/17
Looks like no tags are added yet.
Name | Mastery | Learn | Test | Matching | Spaced | Call with Kai |
|---|
No analytics yet
Send a link to your students to track their progress

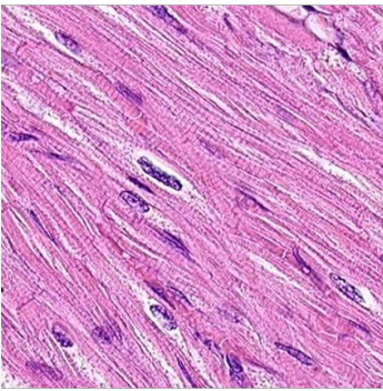
Cardiac Muscle
Location
Heart only
Pumps blood through blood vessels
Associated Connective Tissue
Endomysium Only
Cell Appearance and Shape
Branching cells with one or two centrally located nuclei
Striated
T-Tubules
Intercalated Discs


Skeletal Muscle
Location
Generally attached to the skeleton (or to subcutaneous tissue)
Voluntary movement of the skeleton, skin, or other select body components
Associated Connective Tissue
Epimysium
Perimysium
Endomysium
Cell Appearance and Shape
Long, cylindrical fibers with multiple peripheral nuclei
Striated
T-Tubules


Smooth Muscle
Location
Walls of hollow organs (ex. intestines, blood vessels)
In iris and ciliary body of eye, and arrector pili of the integument
Involuntary movement of body components
Associated Connective Tissue
Endomysium only
Cell Appearance and Shape
Overlapping, fusiform cells with a single centrally located nucleus
Nonstriated
Caveolae


Organization of Muscular System
Skeletal Muscle
Fasicle
Muscle Fiber
Myofibril
Sarcomere

Epimysium
dense irregular connective tissue wrapping whole muscle

Perimysium
Dense, irregular connective tissue wrapping a fascicle
Houses many blood vessels and nerves

Endomysium
Areolar connective tissue wrapping individual fiber
Delicate layer for electrical insulation, capillary support, and binding of neighboring cells

Origin
the end of the muscle that is the fixed point of attachment.

Insertion
the end of the muscle that is movable.

Belly
body of the muscle, located between the origin and insertion
General Functions of Skeletal Muscle
Move the Body
Maintain Posture
Protect and Support
Regulate Elimination of Materials
Produce Heat
Naming Skeletal Muscles Based on Shape
Deltoid
Triangular
Gracillis
Slender
Lumbrical
Wormlike
Rectus
Straight
Rhomboid
Diamond-Shaped
Teres
Round
Trapezius
A four-sided geometrical figure having no two sides parallel
Naming Skeletal Muscles Based on Size
Bravis
Short
Latissimus
Broadest
Longissimus
Longest
Longus
Long
Major
Bigger
Minor
Smaller
Naming Skeletal Muscles Based on the Number of Heads and/or Bellies
Biceps
2 heads
Digastric
2 bellies
Quadriceps
4 heads
Triceps
3 heads
Naming Skeletal Muscles Based on Position
Abdominis
Abdomen
Anterior
On the front surface of the body
Brachii
Arm
Dorsi
Back
Femoris
Thigh
Infraspinatus
Below the scapular spine
Interosseous
In between bones
Oris
Mouth
Pectoralis
Chest
Posterior
On the back surface of the body
Supraspinatus
Above the scapular spine
Naming Skeletal Muscles Based on Depth
Externus
External
Internus
Internal
Profoundus
Deep
Superficialis
Superficial
Naming Skeletal Muscles Based on Action
Abductor
Moves a body part AWAY from the midline
Adductor
Moves as a body part towards the midline
Constrictor
Acts as a sphincter and closes an orifice
Depressor
Flattens or lowers a body part
Common Architectures of Skeletal Muscles
Unipennate
one
Bipennate
Two
Multipennate
Many
Circular
circum, around
Convergent
Come together to an incline
Parallel
Alongside