1/27
Looks like no tags are added yet.
Name | Mastery | Learn | Test | Matching | Spaced | Call with Kai |
|---|
No analytics yet
Send a link to your students to track their progress

Kidney Cell

Skeletal Muscle

Hyaline Cartilage

Smooth Muscle

Bone Ground

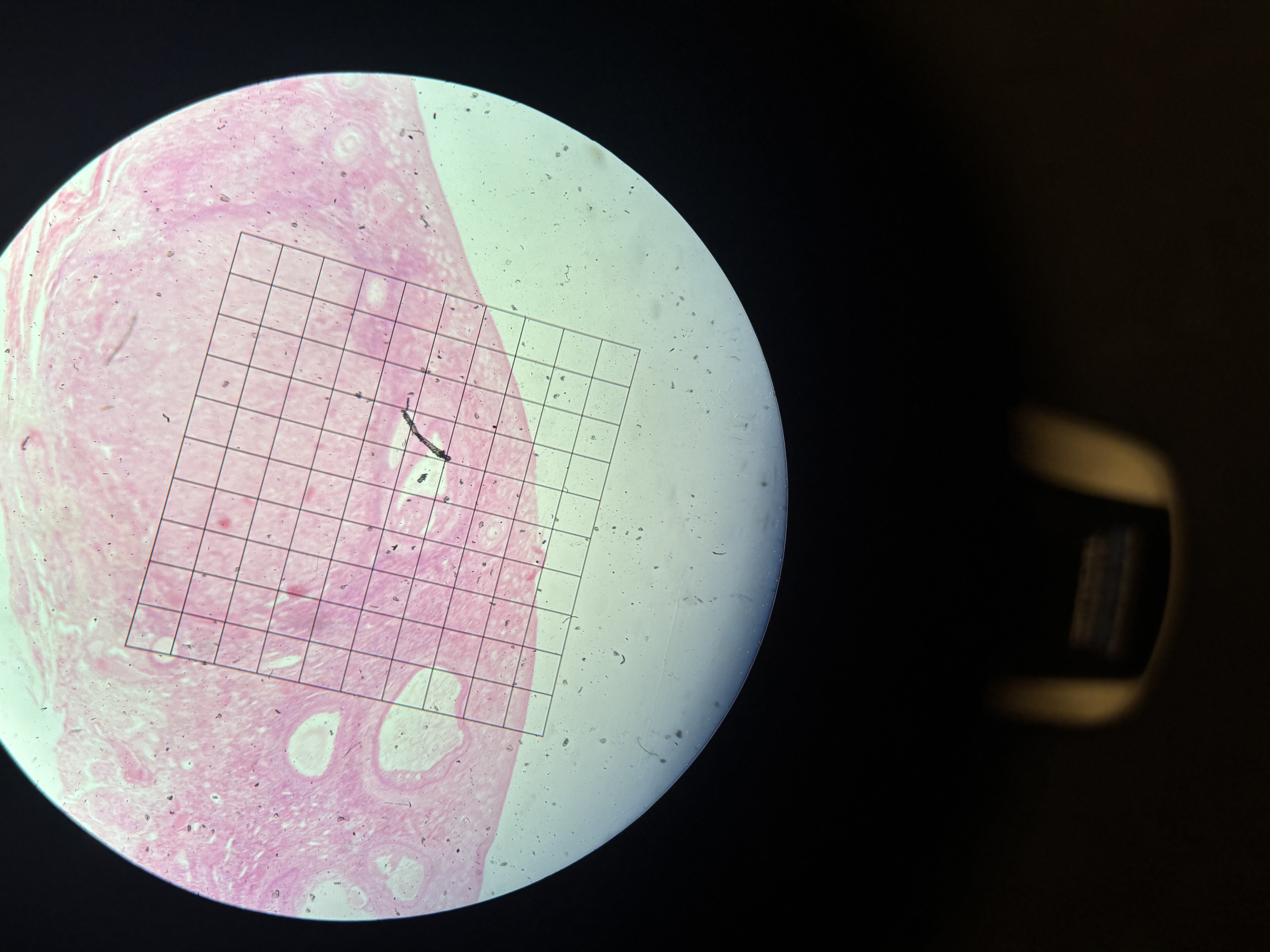
Cat Ovary

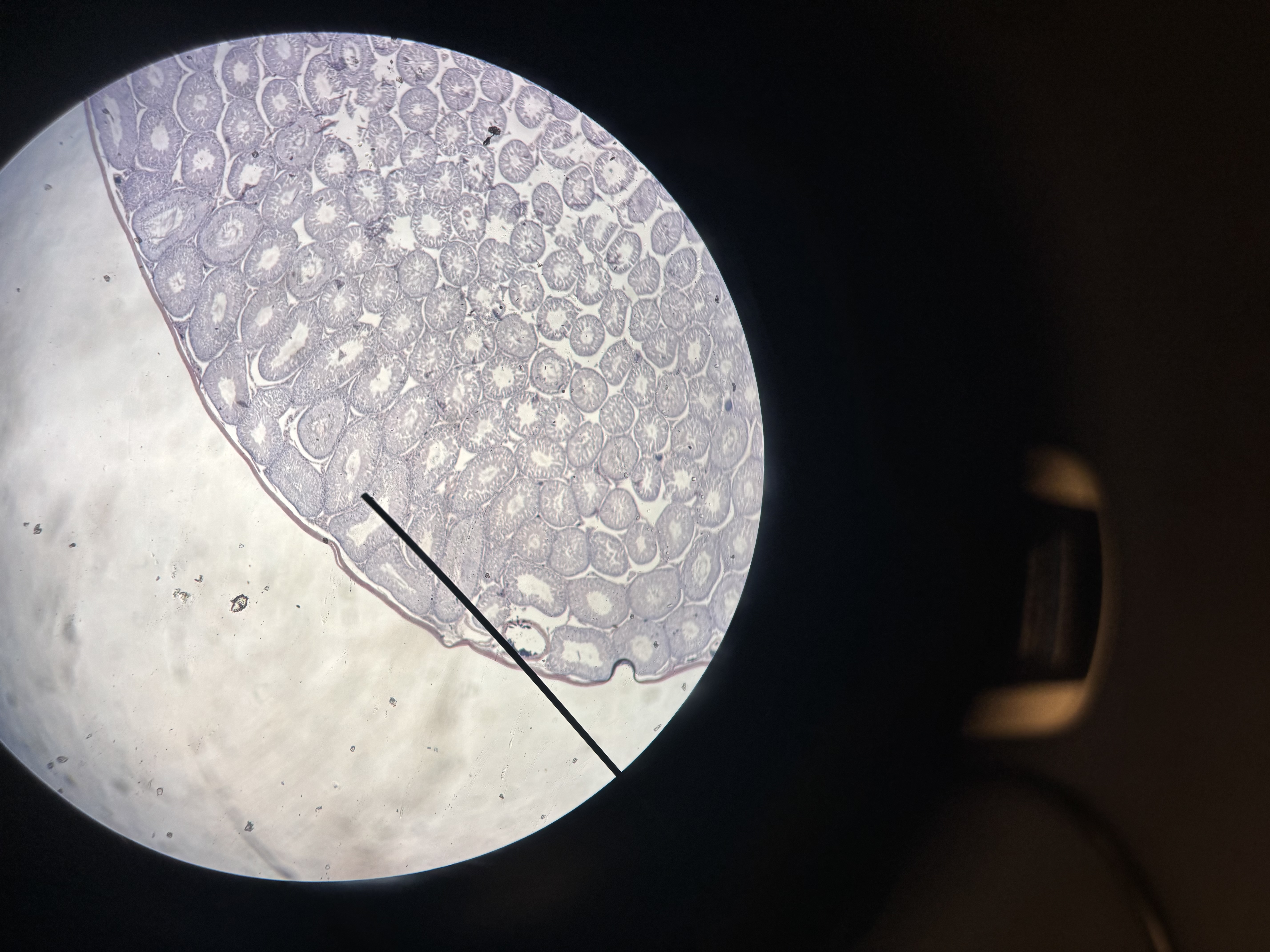
Rat Testicle

Clogged Sclerotic Artery. Lumen is very small and plaque has built up.

Artery + Vein

Nerve Cell

Dorsal Root
Pulmonary Artery
A blood vessel that carries deoxygenated blood from the heart to the lungs
Dorsal Aorta
An artery that carries oxygenated blood from the heart to the body.
Renal Artery
Supplies blood to the kidney
Ureter
Moves Urine from the kidneys to the bladder
Linear Regression Equation
y = mx + b
Effect of Calcium on Fertilization
Calcium is crucial for the acrosomal reaction and polyspermy block
Effect of low pH seawater on fertilization
Decreases fertilization by lowering sperm motility and hindering sperm-egg interaction
Aristotles Lantern
Sea Urchins feeding tool
Mass-Specific Metabolic Rate
The amount of energy and organism uses per unit of body weight. MSMR genereally decreases as the organism increases in size
Central Nervous System
Brain and Spinal cord - Bodies control center
Peripheral Nervous System
transmitting sensory inputs
Brachial Plexus
Provides all sensory and motor input into the shoulder, arm, forearm, and hand
tapetum lucidum
Increases light-gathering ability in the eyes of nocturnal animals
Cornea
Controls and focuses entry of light
Lens
Focuses Light in the eyes
Optic Nerve
Transmit visual information to your brain