1/31
Looks like no tags are added yet.
Name | Mastery | Learn | Test | Matching | Spaced | Call with Kai |
|---|
No analytics yet
Send a link to your students to track their progress
24 hours
How long does it take an egg in birds to go from ovulation to oviposition?
Infundibulum
Where is the egg fertilized in birds?
1. Cluster of follicles
2. Follicle ovulates
3. Infundibulum catches it
4. Moves down tube/oviduct where egg white (albumen) is secreted and wrapped around the yolk in the longest part of the tube called the magnum
5. Reaches shell gland = majority of time spent here
6. Smooth muscles of oviduct push egg through relaxed vagina sphincter (uterovaginal sphincter) and into the cloaca
Describe the process of ovulation and egg laying in birds that occurs within 24 hours?
PHYSICAL OBSTRUCTION: egg yolk peritonitis, broken egg, debris from prior egg, localized infection, torsion, lack of relaxation of vaginal sphincter, misshapen/large egg
PHYSIOLOGIC ISSUE: lack of laying area, hypocalcemia
What are some possible differentials for dystocia in birds?
Sterile
Is egg yolk peritonitis a sterile or contaminated inflammation?
Won't relax vaginal sphincter between oviduct and cloaca
What will birds do when they do not have a nesting box?
First time layers
What birds tend to have issues with misshapen/large eggs leading to dystocia?
Contraction
Calcium is important for muscle contraction OR relaxation?
Hypocalcemia =
Uterine inertia (bc important for muscle contraction)
Abnormal shell (soft so hard to push out)
In birds laying eggs, the uterus withdraws an amount of calcium equivalent to total circulating amount every 15 minutes. What can this lead to, causing physiologic problems and dystocia?
Polyostotic hyperostosis
What is the term for the "very bright bones" on radiographs in birds which are active reproduction birds laying eggs?
Calcium is removed from the blood and put into the egg shell. The storage area for calcium is bone
Why do birds tend to get very bright bones (especially long bones) on radiographs when they are actively reproducing or making eggs?
These birds normally lay 2-3 clutches (batches) with 2-3 eggs per year. If more than this, it could be because the owner keeps taking the egg away, and the bird keeps laying eggs because it wants to nest on it naturally to turn that "reproduction trigger" off, even if they are not fertilized
Why would birds like budgies or cockatiels be "chronically laying eggs", potentially causing dystocia?
Space occupying mass preventing lungs/air sacs from expanding
Why do birds with dystocia often have dyspnea?
Medically
Majority of bird dystocias resolve surgically OR medically
Digital cloacal exam (you may be able to feel if the shell has reached the cloaca yet or is still stuck behind the sphincter)
What can you palpate for on a physical in birds with suspect dystocia?
Radiographs
What is the #1 test to see if birds are egg bound?
1. number of eggs
2. position = want pointy end facing south
3. shell quality = there is not a "ghost shell" meaning no hypocalcemia in this bird, margin smooth and appropriate
4. bone quality of mother = polyostotic hyperostosis, bird is taking Ca from bones and putting into egg under influence of estrogen (normal to a point)
THIS BIRD IS NOT EGG BOUND
What are some factors you want to look at on radiographs to determine if the bird is eggbound?

1. multiple soft tissue nodules located in the area of the kidney, these are ovarian follicles
2. there are abnormal tissue "spheres" where the air sacs should be with irregular "eggs" that will probably not come thru on their own
3. metal or mineral opacity in crop (esophagus diverticulum) and ventriculus (gizzard) causing dorsocaudal displacement of the mass above it
Describe some things you are seeing in this bird

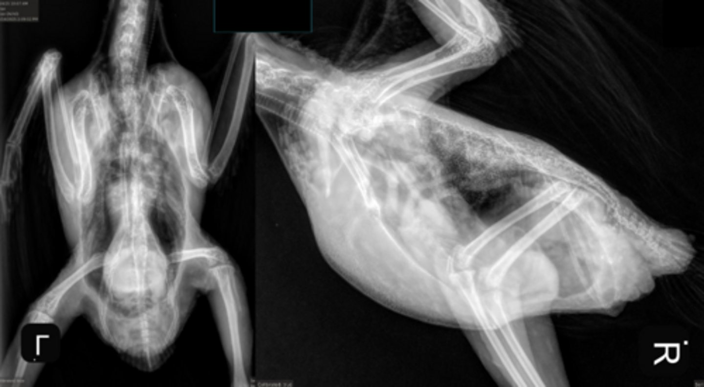
1. ostotic hyperostosis of the radius and ulna = physiologic, mostly normal for repro process under influence of estrogen
2. egg telescoped inside another in the caudal region of the coeloem
3. coelomic enlargement, more fluid than expected
4. especially visible on VD, soft tissue mass on lateral side around the level of the pelvis
Describe some things you see in this bird

3-4 hours
What is the normal GI transit time in birds?
1. small egg
2. hernia = must do barium study to determine if repro. or digestive organs or inside
Describe some things you see in this bird

Ionized
What is more useful to measure in birds since they often have hypercalcemia, ionized OR total?
Increase in cholesterol, bile acids, AST/CK
why? yolk is is made of cholesterol and made in liver, transported to follicle + tissue/muscle damage as egg moves
What normal chemistry values will increase in birds undergoing reproductive processes?
Analgesia (ONLY OPIOIDS, NOT NSAIDS)
IM injection parenteral calcium
dark quiet incubator
+/- oxytocin unless you KNOW the vaginal sphincter is open otherwise you will rupture.
Dystocias are rarely emergent in birds. Name some treatments you can do
Otoscope/endoscopy/deliver egg with gentle pressure
pass needle per cloaca and collapse egg then remove fragments only if can see egg
What things can you do to manually do to help manage dystocia if medications like calcium, oxytocin, and analgesia are not working?
Tibiotarsal fracture (VERY COMMON IN BIRDS)
Treatment: sedate with butorphanol and midazolam to tape splint. analgesia with metacam/tramadol. often very good prognosis
A 3 year old quaker parakeet presents with unilateral non weight bearing lameness. Physical exam reveals bruising over the stifle/tibiotarsal area. Thoughts? Treatment?

Midazolam for immediate, keppra (levetiracetam) for more long term
What medication do you want to give to help with 34 year old congo african grey who has recently started having seizures at home?

Heart disease, atherosclerosis.
TREATMENT: Keppra oral
A 34 year old congo african grey has recently started having seizures at home. This is the radiograph. The bird has hypercholesterolemia. Tell me what you see and what you would do to treat

Metal opacities - lead pellets are a good differential for toxicity causing seizures in birds, zinc would be too
TREAT: CaEDTA to decontamination
A 4 month old peahen is presenting with seizures and you get this radiograph. What do you see and what can you do?

Lead toxicity, hypocalcemia, atherosclerosis
If you hear a bird is having seizures, what are your top 3 differentials for what is causing it?
1. hypocalcemia from lack of intake
2. hypocalcemia from lack of absorption (could be related to hypovitaminosis D)
3. hypocalcemia from increased usage
A bird has recently been having seizures. You see on bloodwork at the calcium is below normal range. Name some broad mechanisms that could be causing this low calcium that is leading to seizures?
iCa over 1
What do you want ionized calcium to ideally be in birds so they are not at risk of hypocalcemia and subsequent seizures?