1/40
Looks like no tags are added yet.
Name | Mastery | Learn | Test | Matching | Spaced | Call with Kai |
|---|
No analytics yet
Send a link to your students to track their progress

What is this parasite
Trichinella spiralis (juvenile in nurse cell in host muscle tissue)

What is this parasite
Trichuris trichiura (whip worm) adult female

What is this parasite
Trichuris trichiura (whip worm) adult male

What is this parasite
Trichuris trichiura egg

What is this parasite
Ancylostoma duodenale
(hookworm) male

What is this parasite
Ancylostoma duodenale
(hookworm) female

What is this parasite
Necator americanus
(hookworm) male

What is this parasite
hookworm egg

What is this parasite, and what are the structures
Trichuris trichiura (whip worm) adult female


What is this parasite, and what are the structures
Trichuris trichiura (whip worm) adult male


What is this parasite, and what are the structures
Ancylostoma duodenale (hookworm) male
posterior


What are these parasites
Ascaris suum adults
female and male compared


What is this parasite
Ascaris suum
adult female dissection


What is this parasite and what are the structures
Ascaris suum adult female dissection


What is this parasite and what are the structures
Ascaris suum adult female dissection


What is this parasite and what are the structures
Ascaris suum adult
female cross section


What is this parasite and what are the structures
Ascaris suum
adult male dissection


What is this parasite and what are the structures
Ascaris suum adult
male cross section


What is this parasite
Ascaris suum egg

What is this parasite and what are the structures
Enterobius vermicularis (pinworm) adult female


What is this parasite
Enterobius vermicularis egg

What is this parasite
Onchocerca volvulus Adults in
nodule (onchocercoma)

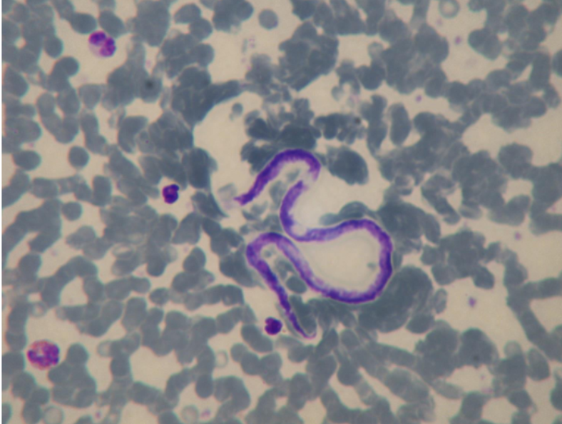
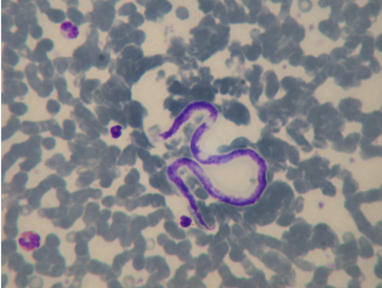
What is this parasite
Dirofilaia immitis microfilariae in dog blood smear

What is the kingdom, phylum, order, and family of this parasite
KINGDOM Animalia*
Phylum Nematoda*
Order Trichurida*
Family Trichinellidae*

What is the kingdom, phylum, order, and family of this parasite
KINGDOM Animalia*
Phylum Nematoda*
Order Trichurida*
Family Trichinellidae*

What is the kingdom, phylum, order, and family of this parasite
KINGDOM Animalia*
Phylum Nematoda*
Order Trichurida*
Family Trichinellidae*

What is the kingdom, phylum, order, and family of this parasite
KINGDOM Animalia*
Phylum Nematoda*
Order Trichurida*
Family Trichinellidae*

What is the kingdom, phylum, order, and family of this parasite
KINGDOM Animalia*
Phylum Nematoda*
Order Strongylid
Family Ancylostomatidae

What is the kingdom, phylum, order, and family of this parasite
KINGDOM Animalia*
Phylum Nematoda*
Order Strongylid
Family Ancylostomatidae

What is the kingdom, phylum, order, and family of this parasite
KINGDOM Animalia*
Phylum Nematoda*
Order Strongylid
Family Ancylostomatidae

What is the kingdom, phylum, order, and family of this parasite
KINGDOM Animalia*
Phylum Nematoda*
Order Strongylid
Family Ancylostomatidae

What is the kingdom, phylum, order, and family of this parasite
KINGDOM Animalia*
Phylum Nematoda
Order Ascaridida*
Family Ascaridae*

What is the kingdom, phylum, order, and family of this parasite
KINGDOM Animalia*
Phylum Nematoda
Order Ascaridida*
Family Ascaridae*

What is the kingdom, phylum, order, and family of this parasite
KINGDOM Animalia*
Phylum Nematoda
Order Ascaridida*
Family Ascaridae*

What is the kingdom, phylum, order, and family of this parasite
KINGDOM Animalia*
Phylum Nematoda
Order Ascaridida*
Family Ascaridae*

What is the kingdom, phylum, order, and family of this parasite
KINGDOM Animalia*
Phylum Nematoda
Order Ascaridida*
Family Ascaridae*

What is the kingdom, phylum, order, and family of this parasite
KINGDOM Animalia*
Phylum Nematoda
Order Ascaridida*
Family Ascaridae*

What is the kingdom, phylum, order, and family of this parasite
KINGDOM Animalia*
Phylum Nematoda
Order Oxyurida
Family Oxyuridae

What is the kingdom, phylum, order, and family of this parasite
KINGDOM Animalia*
Phylum Nematoda
Order Oxyurida
Family Oxyuridae

What is the kingdom, phylum, order, and family of this parasite
KINGDOM Animalia*
Phylum Nematoda
Order Filaroidea*
Family Onchocercidae

What is the kingdom, phylum, order, and family of this parasite
KINGDOM Animalia*
Phylum Nematoda
Order Filaroidea*
Family Dirofilariidae*