1/26
pinto pinto gorgorito feat Hardisson
Name | Mastery | Learn | Test | Matching | Spaced | Call with Kai |
|---|
No analytics yet
Send a link to your students to track their progress

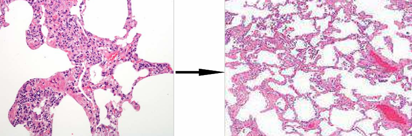
Enfisema centrolobulillar

Enfisema Panacinar o panlobulillar

Enfisema Distal, paraseptal o localizado

Enfisema irregular

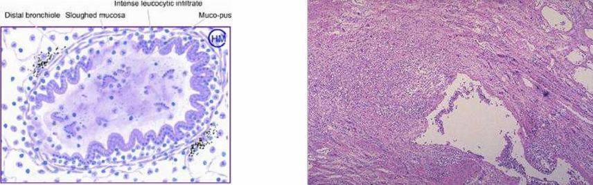
Bronquitis crónica

Asma macro

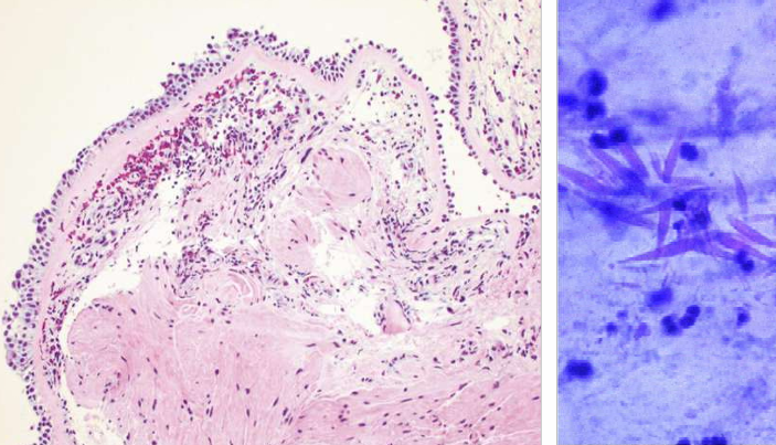
Asma micro

Espirales de Curschmann


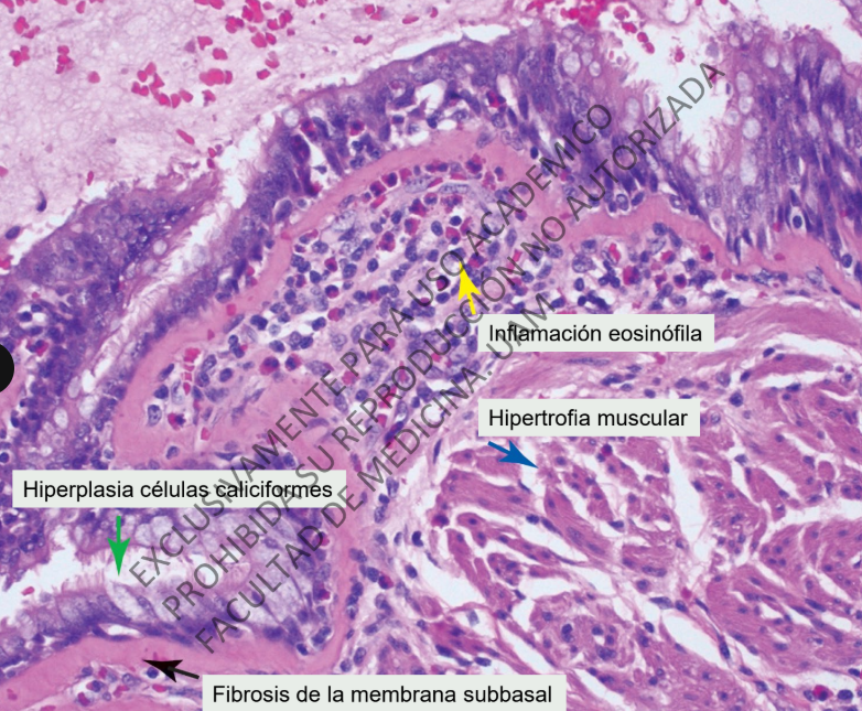
Asma: Remodelamiento de la pared bronquial

Cristales de Charcot-Leyden



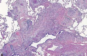
Bronquiectasias

Bronquiectasias: cilindricas


Bronquiectasias: varicosas

Bronquiectasias: saculares

Bronquiectasias: micro

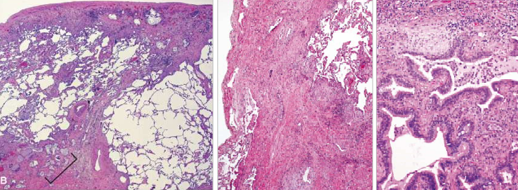
FPI: macro

FPI: micro

NII/NINE

NOC

Silicosis

Asbestosis

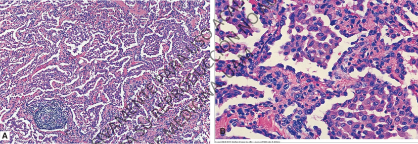
Neumonía intersticial descamativa

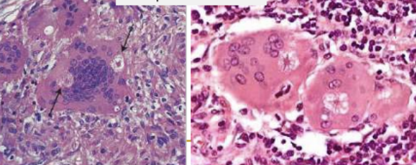
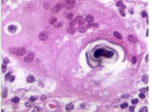
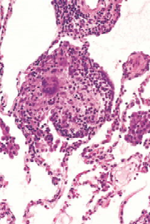
Sarcoidosis

Cuerpos asteroides

Cuerpos de Schaumann

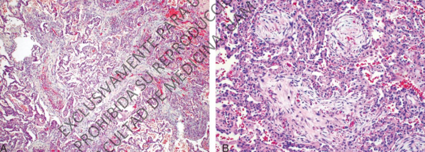
Alveolitis alérgica (AAE)/neumonitis por hipersensibilidad


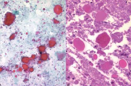
Proteinosis alveolar pulmonar (PAP)