1/107
Looks like no tags are added yet.
Name | Mastery | Learn | Test | Matching | Spaced | Call with Kai |
|---|
No analytics yet
Send a link to your students to track their progress
Which of the following describes the best technique to differentiate a polyp in the GB wall from a stone within the lumen?
Roll the patient into left lateral Decubitus position
Which of the following are contractions for a liver transplant?
Cholangiocarcinoma and current alcohol or drug abuse
A patient presents for a pre-surgical eval of a known pancreatic mass. What is the most important information you need to document for the surgeon?
If any vessels around the pancreas demonstrate tumor invasion
What is an absolute contraindication for ethanol ablation of a liver nodule?
Patient allergy to injectate
Which of the following is a contraindication for a liver transplant in a patient with hepatocellular carcinoma?
A single primary tumor >5cm
A patient’s chart indicates they have a history of cavernous transformation. Where does this abnormality form?
Porta hepatis
What lab value increases with GB cancer, cholecystitis or prolonged biliary obstruction?
Prothrombin time
Increased serum levels of _______ usually provide the first indication of an extrahepatic biliary obstruction.
Alkaline phosphate (ALP)
_______ is a hemolytic disorder that causes Inc indirect bilirubin levels in the blood.
Anemia
What liver abnormality results in low blood sugar levels?
Glycogen storage disease
A patient presents for an abdo Us to verify findings identified on a CT exam. The CT report indicates numerous cystic structures throughout the liver that do not communicate with the biliary tree or the vascular system. Which of the following best describes the expected US findings?
Polycystic disease
Sulfur colloid imaging is:
Used to evaluate suspected focal nodular hyperplasia
The Charcot triad is used to describe the classic clinical presentation of:
Acute cholangitis
What lab test is used to evaluate the endocrine function of a pancreas transplant?
Glucose levels

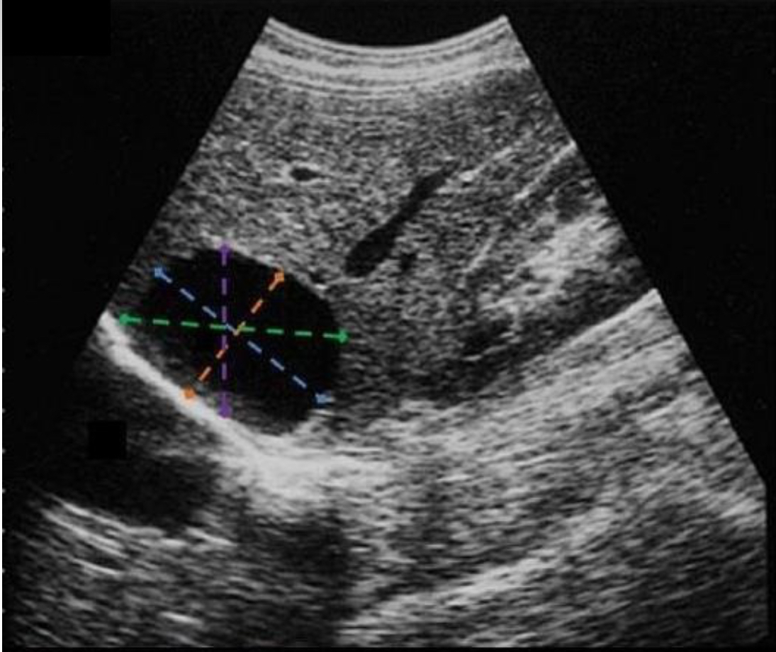
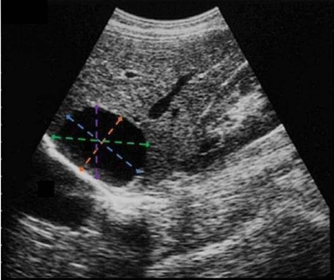
Which line indicates the correct length measurement of the liver cyst?
Blue
A ____ abscess will result in leukopenia, while a _____ abscess will result in leukocytosis
Fungal, pyogenic

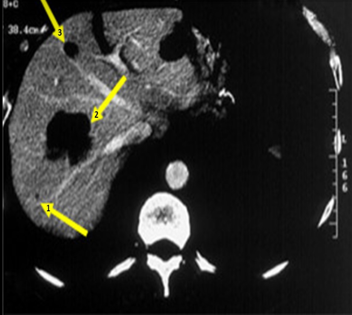
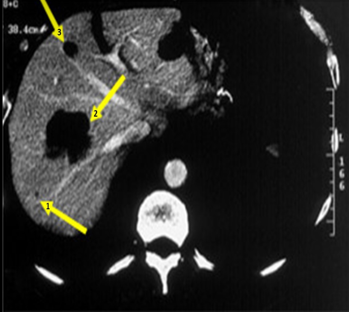
A patient is referred for an abdominal ultrasound due to abnormal CT scan. Refer to the image to determine where will you find the mass marked with #3?
Left medial superior segment
A patient with multiple gastrinomas will usually present with what other G.I. track issue?
Peptic ulcer
a patient presents for an abdominal ultrasound due to loss of appetite, weight loss and epigastric pain. A hypoechoic mass is identified in the anterior aspect of the head of the pancreas which of the following best describes the next step in evaluating this patient?
Evaluate the surrounding areas for lymphadenopathy
Steatorrhea is a clinical finding with
Pancreatitis or celiac disease
Dark urine and pale stool are indications of:
Hyperbilirubinemia
What is the proper caliber placement for assessing the portal vein diameter?
Inner wall to inner wall at the point of the portal vein across IVC
Before performing a liver transplant evaluation, the sonographer must review the surgical history to determine?
More than one of the above
Which of the following describes a technique that can be used to locate a collapsed gallbladder in a patient with chronic cholecystitis?
Locate the right portal vein and the main lobar fissure trace the fissure to the gallbladder neck

What lab values would be elevated in this patient?
Alkaline phosphate and prothrombin time
Which of the following serum levels would be unaffected by a benign obstruction of the biliary tree?
Alpha feto-protein
The liver measurement normally used to assess the liver size is
The Superior inferior dimension
Alpha fetoprotein values will be increased with
malignancy and pregnancy
a patient presents for Redd upper quadrant ultrasound due to a positive Casoni skin test. What are you looking for on the exam?
Hydatid cyst

a patient is referred for an abdominal ultrasound due to an abnormal CT scan referred to the image to determine where you’ll find the largest liver mass.
Right anterior superior segment
The most important structure to evaluate with a new liver transplant is
Hepatic artery
Which of the following liver disorders will result in increased levels of iron stored in the liver?
Hemochromatosis
A patient presents for an abdominal ultrasound due to elevated lactic dehydrogenase and a low grade fever. Which of the following is most likely finding on the exam?
Hepatitis
A 28-year-old male presents for an abdominal ultrasound exam. The chart states that he has elevated urine copper levels kayser-fleischer rings noted on physical exam. What organ should be closely evaluated for findings related to the clinical findings?
Liver
Which of the following correctly describes alpha-fetoprotein (AFP)?
Inc AFP levels associated with primary liver, cancer and adults and children
Which liver function level is the most sensitive indicator for alcoholism
Gamma-glutamyl transpepitdase - GGTP

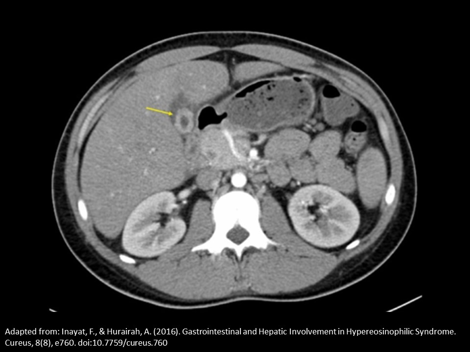
A patient is referred for an abdominal ultrasound due to an abnormal CT scan. The yellow arrow indicates the gallbladder. Based on the single CT image, which of the following is expected finding on the ultrasound evaluation.
gallbladder wall thickness >3 mm
Which of the following pancreatic abnormalities will cause an increase in insulin levels in the blood?
Islet cell tumor
a patient presents for an abdominal sonogram due to a history of esophageal varices. What structure(s) should be closely evaluated for related findings?
Portal system
The patient presents for an abdominal ultrasound exam with a history of a recent single episode of significant indigestion. The lab results demonstrate increase levels of AST and normal levels of ALT alkaline phosphate and bilirubin. These clinical findings are most consistent with:
Myocardial infarction
Acetic acid injection, ethanol injection, and radiofrequency ablation are techniques used to treat?
Hepatocellular carcinoma
Which proposition is used to determine the longitude of view of the main portal vein entering the liver?
Oblique subcostal approach with the transducer rotated slightly with the notch side of the transducer angled more superiorly than the side of the probe without the notch.
Alanine aminotransferase levels are:
Used to eval the degree of jaundice and monitor hepatitis and cirrhosis
What lab values will be monitored in patients undergoing treatment for primary liver cancer?
AFP
While getting the transverse plane of the abdomen, you notice a small round anechoic structure just anterior to the pancreatic head. Which of the following should be the next step and evaluating this finding?
Apply color Doppler
A female patient presents with eight days of abdominal pain, fever and nausea. The symptoms started two days after returning from a business trip to Hong Kong. Recent lab values demonstrate increase levels of direct serum bilirubin, alkaline phosphate and WBC’s. Alpha fetoprotein levels are normal. These clinical findings are most suggestive of.
Cholangitis

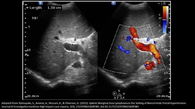
Which of the following statements correctly, describes the findings on the image?
The portal vein is measured correctly and demonstrates possible portal hypertension

Which line indicates the correct AP measurement of the liver cyst
Orange
Which of the following Doppler parameters is most commonly used when evaluating the common hepatic artery in patient with a liver transplant?
Resistive index
What lab test is used to evaluate the exocrine function of a pancreas transplant?
amylase Levels
A patient presents for an abdominal ultrasound with an order that states “R/O pancreatic endocrine tumor”. Which of the following pancreatic tumors can be described as an endocrine tumor?
Gastrinoma
Which of the following will help to differentiate hepatic cellular carcinoma invasion of the portal vein from portal thrombosis on ultrasound examination?
Apply power Doppler
While scanning the liver, you identify small focal area of intrahepatic ductal dilation in the right lobe of the liver. The CBD measures 5 mm the diameter and the gallbladder appears normal. Liver demonstrates mild fatty infiltration, and the pancreas and kidneys appear within normal limits. Which of the following correctly describes the laboratory findings that correlate with these findings?
Increased LFTs, normal direct bilirubin
A low albumin/globulin ratio usually indicates
Cirrhosis
Which of the following organs should be evaluated when looking for a tumor of the endocrine system?
Pancreas, and adrenal glands
You are scanning the gallbladder and you obtain images of several echogenic foci within the lumen. What should you do next to better evaluate the findings?
Change the patient position and rescan
The best way to differentiate hepatic jaundice from obstructive jaundice is:
Evaluate the diameter of the Biliary duct
What is the proper patient position and respiration for assessing the portal vein diameter?
Supine with quiet respiration
Budd Chiari syndrome, portal thrombosis and splenomegaly are complications of?
Polycythemia Vera
When evaluating the venous outflow of a liver transplant patient, it is most important to check the surgical history to find _________ before scanning.
The type of surgical anastomosis
Alcoholic fatty liver disease, demonstrates what difference in lab values from non-alcoholic causes?
Alcoholic fatty liver disease demonstrates a much greater increase in LFT levels with an AST/ALT ratio >2
A 56yr old man presents with a 4yr history of cirrhosis. The size of which of the following structures should be assessed to evaluate the effects of cirrhosis?
Right lobe, portal vein and caudate lobe

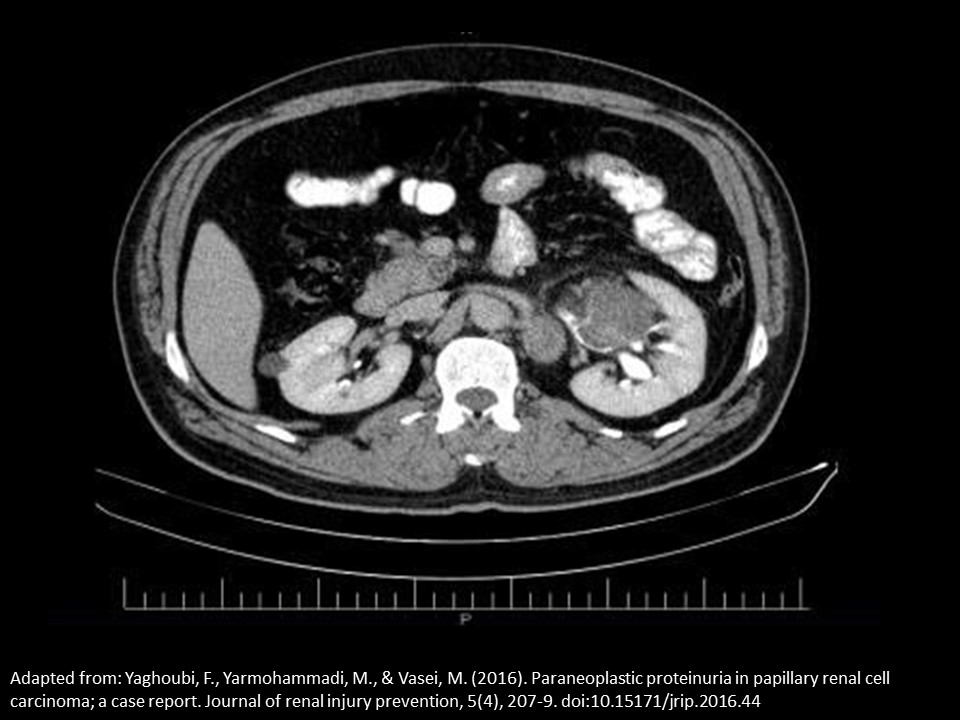
a patient is referred for an abdominal ultrasound due to an abnormal CT scan. The report is not available yet, but the study is in the PACS system. Based on this single CT image, where will you scan to evaluate an abnormality identified on the CT exam?
Anterolateral right kidney
What liver mass is associated with glycogen storage disease?
Adenoma
Which of the following lab values would be elevated with a biliary obstruction due to a hepatocellular carcinoma, but not with a biliary obstruction due to Choledocholithiasis?
AFP
Anemia is a complication of cirrhosis due to associated abnormality of which of the following?
Esophagus
Elevated GGTP and ALP indicates _____
Elevated GGTP and ALT indicates _____
Biliary obstruction, hepatocellular disease
Which of the following is an appropriate indication for a liver transplant?
Hepatitis C
A 60-year-old male presents for an abdominal ultrasound for reoccurring epigastric pain. The patient tells you this is the fourth time he has been hospitalized for pancreatitis and the medication’s are just not working. What is the expected appearance of his pancreas on ultrasound?
Atrophied with calcifications in the parenchyma
Which of the following pancreatic abnormalities are most associated with an increase in amylase and lipase levels in the blood?
Acute pancreatitis and pseudocyst
Which of the following blood test will a diagnosis of a hydatid cyst in the liver?
Indirect hemagglutination test and the enzyme linked immunosorbent assay (ELISA)
Which of the following is an expected clinical symptom of an abscess?
Leukocytosis
Which of the following can be found on urinalysis of a patient with choledocholithiasis?
Conjugated bilirubin
The administration of aspirin to a child with chickenpox can lead to what deadly disorder that affects the liver and brain?
Reye syndrome
Which of the following is associated with hyperglycemia?
Diabetes Mellitus

The image is the first sagittal image of an abdominal ultrasound exam your performing. What should you be sure to do during the rest of the exam for this patient?
Evaluate the organs for carcinoma
Alcoholic cirrhosis demonstrates a severe increase in________, while viral hepatitis demonstrates a severe increase__________.
Aspartate transaminase, alanine transaminase
Hypersplenism, and anemia are common findings in cases of?
Cirrhosis
Alkaline phosphate is normally produced in what organ?
Liver
You’re trying to scan the liver from a midline window, but there is excessive gas in the G.I. track. Which of the following techniques, can aid in better visualization of the liver?
Use graded compression to displace bowel gas
Which of the following lab values is usually unaffected by an isolated acute Biliary duct obstruction?
Aspartate Amniotransferase
Which of the following would cause an increase in serum AST levels with normal serum ALT levels?
Congestive heart failure
Which of the following will consistently cause an increase in values on liver function test?
Hepatitis
Which of the following liver abnormalities can be related to the use of oral contraceptives?
Hepatic, adenoma and Budd Chiari syndrome
Applying compression using a curvilinear transducer with a large footprint is the key method used to best evaluate:
The body of the pancreas
Serum amylase will be increased with all of the following, except:
Parathyroid adenoma
Which of the following is associated with persistent hypoglycemia?
Islet cell tumor
in cases of acute pancreatitis, which enzyme level increases first?
amylase
Decrease serum albumin levels are associated with the development of______.
Ascites
Which of the following correctly, describes the method used to measure the wall thickness of the gallbladder?
With the ultrasound beam as perpendicular to the gallbladder as possible, measure the AP thickness of the anterior wall
Which proposition is used to demonstrate all three hepatic veins entering the IVC?
Oblique subcostal approach angled superior toward the right shoulder
Which of the following will cause a moderate increase in alpha Fetoprotein levels in an adult?
hepatocellular carcinoma
Which of the following will cause an increase in alpha fetoprotein values in pediatric patients?
hepatoblastoma
The primary indication for a liver transplant in a adult is ________ And in children ________ is the most common indication for liver transplant.
Cirrhosis, Biliary atresia
a patient presents with mildly increased levels of ALT and significantly increase levels of AST. Which of the following is the most likely finding on the ultrasound exam?
Cirrhosis
Which of the following is a contradiction to placement of a TIPS shunt?
Portal thrombosis
Which of the following will typically demonstrate normal values on liver function test?
Adenoma

What lab value would be at a normal level in this patient?
Unconjugated bilirubin
Several simple cyst identified in the liver of a 38 year-old male patient. What structures in the abdomen should also be evaluated for related findings?
kidneys, and pancreas
a 55 year-old male presents with a history of Budd-Chiari syndrome. What vessels should be evaluated with Doppler on this exam?
Hepatic veins