1/45
Looks like no tags are added yet.
Name | Mastery | Learn | Test | Matching | Spaced | Call with Kai |
|---|
No analytics yet
Send a link to your students to track their progress
What structures make up the upper respiratory system?
Nose, nasal cavity, paranasal sinuses, and pharynx.
What structures make up the lower respiratory system?
trachea, bronchi, bronchioles, and alveoli.
What is the function of the pleura?
Reduces friction and creates a sealed environment so lungs expand properly during breathing.
What is the difference between a bronchus and a bronchiole?
Bronchus: Larger airway with cartilage, keeps it open
Bronchiole: Smaller airway with no cartilage, has more smooth muscle and can change diameter
What is the conducting zone?
Passages that move air only (no gas exchange).
What is the respiratory zone?
The part of the respiratory system where gas exchange occurs (O₂ in, CO₂ out)—mainly in the respiratory bronchioles, alveolar ducts, and alveoli.
What is the main function of alveoli?
Gas exchange — oxygen (O₂) diffuses into the blood and carbon dioxide (CO₂) diffuses out.
What type of cells make up alveoli?
Type I alveolar cells: thin cells for gas exchange
Type II alveolar cells: secrete surfactant to prevent collapse
What is surfactant?
Surfactant is a substance made by Type II alveolar cells that reduces surface tension in the alveoli, preventing them from collapsing and making it easier to breathe.
How it works (simple): It acts like a slippery coating → stops the alveoli walls from sticking together.
What is a key histological feature of the trachea?
Lined with ciliated epithelium and mucus cells to trap debris, and supported by C-shaped cartilage rings to keep it open.
What are the four layers of the alimentary canal?
Mucosa, submucosa, muscularis externa, serosa.
What is found in the mucosa?
- Epithelium
- lamina propria
- muscularis mucosae.
What is the function of the submucosa?
A support layer that holds blood vessels, nerves, and glands and connects the mucosa to the muscle layer.
What is the function of the muscularis externa?
A two-layer muscle that moves food through the GI tract.
Inner circular = pushes inward
Outer longitudinal = pushes forward
What is the function of the serosa?
The outer layer that reduces friction and protects organs by releasing a slippery fluid.
Serosa = smooth outer covering
What are the main cells of the stomach and their functions?
Parietal cells: make acid (HCl)
Chief cells: make pepsinogen (digests protein)
Mucous cells: make mucus (protects stomach)
What is unique about the stomach lining?
It has gastric pits and glands that secrete acid, enzymes, and mucus.
What are the special structures of the small intestine?
Plicae circulares: large folds of the intestine that slow food and increase surface area
Villi: finger-like projections that absorb nutrients
Microvilli: tiny projections on cells that further increase absorption
What is the function of villi?
Increase surface area for absorption.
What do enterocytes do?
Absorb nutrients from the intestine into the blood.
What is the role of the liver?
Produces bile.
What is the role of the gallbladder?
Stores and concentrates bile.
What is the role of the pancreas?
Digestive enzymes: break down carbs, proteins, and fats
Bicarbonate (HCO₃⁻) neutralizes stomach acid to protect the intestine and help enzymes work
Where does bile enter the digestive system?
Duodenum via the bile duct.
What organs make up the urinary system?
Kidneys, ureters, bladder, urethra.
What is the function of the kidneys?
Filter blood and produce urine.
What is the functional unit of the kidney?
Nephron: functional units in the kidney, consisting of a glomerulus and its associated tubule, through which the glomerular filtrate passes before emerging as urine.
What does the glomerulus do?
The glomerulus is a specialized network of capillaries in the kidney that acts as the primary filtration unit, filtering waste, fluids, and electrolytes from the blood into Bowman's capsule to form urine
What is the function of the Loop of Henle?
U-shaped nephron segment in the kidney medulla that concentrates urine and conserves water

What is the path of blood through the kidney?
Renal artery →
afferent arteriole →
glomerulus →
efferent arteriole →
peritubular capillaries →
renal vein.
What is the function of the ureters?
Transport urine to the bladder.

What type of epithelium lines the bladder?
Transitional epithelium (stretches).

What are the parts of the uterus?
Fundus, body, isthmus, cervix.

What are the layers of the uterus?
Endometrium, myometrium, perimetrium.

What are the layers of the endometrium?
the functional layer (stratum functionalis), which thickens and sheds monthly, and the basal layer (stratum basalis), which remains intact and regenerates the functional layer
What supports the uterus?
Broad ligament: wide sheet on the sides of the uterus, attaches to pelvic walls
Round ligament: runs from uterus → forward to the labia majora
Uterosacral ligament: runs from uterus → back to the sacrum

What are the stages of ovarian follicles?
Primordial → primary → secondary → Graafian.
What is the corpus luteum?
Structure that produces progesterone after ovulation.

What is the path of sperm from formation to exit?
Seminiferous tubules → epididymis → vas deferens → ejaculatory duct → urethra.

What are the male accessory glands?
Seminal vesicles, prostate, bulbourethral glands.

What do seminal vesicles secrete?
A fructose-rich fluid that provides energy for sperm and helps form semen.
What does the prostate gland secrete?
A milky fluid with enzymes that activate and protect sperm.
What do bulbourethral glands secrete?
Mucus (pre-ejaculate) that lubricates and helps neutralize acidity in the urethra.
What cells produce testosterone?
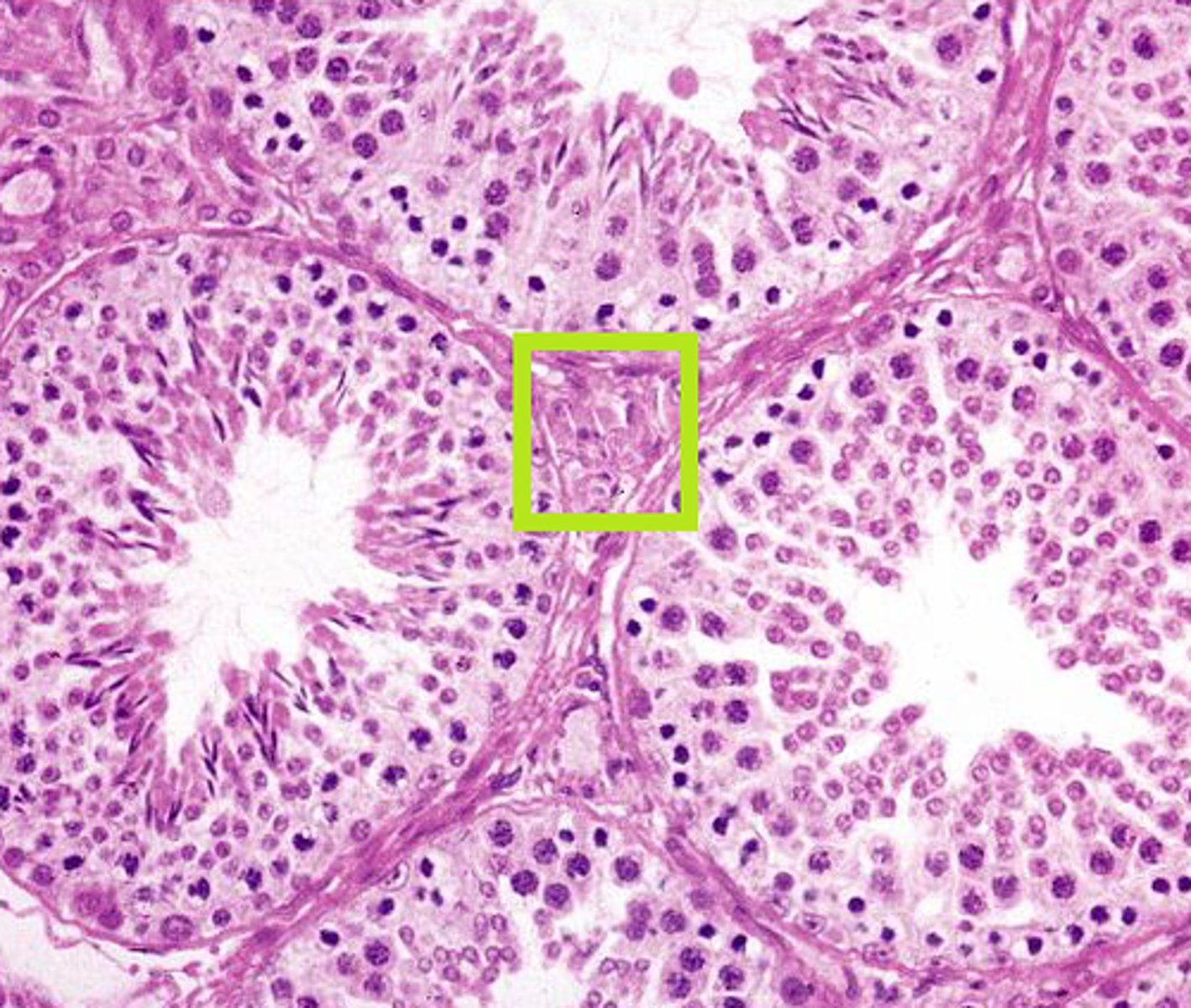
Leydig cells in the testes (between seminiferous tubules).

Leydig cells in the testes (between seminiferous tubules).
Sertoli cells.
What is the function of the testes?
Produce sperm and testosterone.