1/104
Looks like no tags are added yet.
Name | Mastery | Learn | Test | Matching | Spaced | Call with Kai |
|---|
No analytics yet
Send a link to your students to track their progress
glycosyltransfer is also known as _____
glycan polymerization
transpeptidation is also known as _____
peptide crosslinking
which class of PBP/s does glycosyltransfer?
Only A
which class of PBP/s does transpeptidation
A and B
there is NO ATP in the _____
periplasm
what is the prefix for all the genes involved in PG synthesis?
mur
True or False: if a single Mur gene is deleted, the bacteria can still survive
FALSE: all Mur genes are ESSENTIAL for viability
peptidoglycan needs to be inserted and cut at the right _____ at the right _____
place; time
PG insertion along the _____ of the cell cylinder ELONGATES the cell
circumference (middle)
formation of a PG _____ at the _____ divides the cell
septum; midcell
the PG septum is a _____ of PG separating the cell into two _____
disk; compartments
what is the main way scientists were able to track the location of PG synthesis?
fluorescent labeled D-amino acids
which type of amino acids do we add fluorescent labels to in order to track PG synthesis? Why?
D-aa, they are specific to PG synthesis (L-aa are used in protein synthesis)
when tracking fluorescent D-aminoa acids, they saw that PG is inserted along the cell _____ and at the _____, but NEVER at the _____
cylinder; septum; poles
how are we able to isolate a mutant defective for PG synthesis if it is essential for viability?
temperature sensitive mutants
temperature sensitive mutations are mutations that cause a protein to be _____ at _____ temperatures
destabilized/inactive; high
“ts” mutations encode mutant proteins that fold properly at the _____ temperature, but do NOT at the _____ temp
permissive; restrictive
how do you isolate a temperature sensitive mutation?
spot each mutant at permissive and restrictive temp (in same spot); if a colony is missing at restrictive, you can use the same colony on permissive plate for research
why bother spotting the colony at the permissive temp if you are looking for a mutant?
gives you a mutant you can actually work with!
in order to see how the mutation effects cell shape, you take the _____ mutants and shift them to the _____ temperature under microscopy, then you can observe how it changes is _____
ts; restrictive; morphology
what are “fts” mutants defective for?
cell division
what dos “fts” stand for?
filamentation temperature sensitive
why do “fts” mutants form long filaments?
they can elongate, but fail to divide (no septum formation)
what are “rod” mutants defect for?
cell elongation
what do “rod” mutants look like under microscopy?
circular (cannot form rod shape)

what type of mutant is this?
fts mutant

what type of mutant is this?
rod mutant
what are the TWO PG synthesis machines?
Rod complex and divisome
each of the PG synthesis machines are _____-embedded and are made of _____ proteins
membrane; mutliple
each protein in the PG synthesis machines is encoded for by an _____ or _____ gene
fts; rod
each PG synthesis machine is associated with a _____ protein
filament-forming
the rod complex is a PG synthesis machine that is dedicated to _____
elongation
the divisome is a PG synthesis machine dedicated to _____
division
what is the role of MreB in the PG Rod complex?
filament-forming protein
what is the role of RodA in the PG Rod complex?
PG glycotransferase (polymerizes glycans)
what is the role of PBP2a in the PG rod complex?
PG transpeptidase (crosslinks glycine from RodA)
what is the role of PBP1 in the PG rod complex?
both GT and TP
what is the role of MreCD in the PG rod complex?
regulatory proteins for RodA/PBP2a
what is the Divisome equivalent to the RodA in the rod complex?
FtsW
what is the Divisome equivalent to the MreCD in the rod complex?
FtsQLB
what is the Divisome equivalent to the PBP2a in the rod complex?
PBP2b
what is the Divisome equivalent to the MreB in the rod complex?
FtsZ
MreB is the bacterial homolog to _____ found in eukaryotes
actin
FtsZ is the bacterial homologous to _____ found in eukaryotes
tubulin
where is actin found in eukaryotes?
cytoskeleton
where is tubulin found in eukaryotes?
microtubules
both MreB and FtsZ form polymeric _____ that recruit and guide _____
filaments; PG synthesis
what end of the protofilament are monomers added?
plus end
what end of the protofilament are monomers removed?
minus end
monomers bound to _____ are added to the protofilament, once it gets _____ the monomer will fall off
ATP; hydrolyzed
if purified MreB are added to a solution they _____ form filaments
WILL
what does in vitro mean?
outside the cell
MreB forms small _____-like filaments when inside the cell
arc
filament proteins can sense membrane _____, then recruit and direct PG synthesis
geometry
when purified MreB proteins are added an official membrane they form _____ that align to the _____ of the membrane. They also _____ the membrane with is supportive evidence for their role in making the cell’s _____
filaments; curved face; deform; shape
in a healthy cell; MreB will moves back and forth _____ to the cell; when treated with penicillin, the motion _____ which suggested it’s role in _____
perpendicular; stopped; PG synthesis
penicillin stops the _____ of the rod complex
motion
circumferential motion of MreB reflects _____ and _____ of glycan strands
polymerization; crosslinking
true or false: ALL bacteria elongated at the center
FALSE: some elongate from the tips
what are 2 examples of bacteria that elongate from the tip?
A. tumefaciens, S. venezuelae
the divisome is organized by a _____ of _____ filaments
ring; FtsZ

why do we only see the FtsZ labels in 2 spots here?
image is sliced in half → ring was sliced too!
first evidence for the formation of the divisome ring cam from _____
immunogold labeling
purified FtsZ protein will form a _____ and exerts a _____ on an artificial membrane
ring; constrictive force
the divisome will undergo _____ motions associated with _____ PG synthesis
circumferential; septal
how does the divisome close the septum for division?
starts at outer edge, as it circles the inside of the cell, it adds PG slowing working its way inlay (in a spiral motion), until it’s closed off
curved cells require _____ filaments
curvature-inducing
what is the name of the curvature-inducing filament found in C. crescentus?
CreS
CreS protein will align itself to the _____ which creates the curved shape
inner curved axis
Cells with a CreS knockout will be _____ instead of _____
straight rods; curved rods
what does necessary mean?
gene is required for a certain function/morphology (ko of gene will also ko the function/morphology)
what does sufficient mean?
the addition of a gene is enough to include a NEW function/morpholgoy not seen in WT
what are the 2 curvature-inducing filaments found in Vibrio cholerae?
CrvA and CrvB
is CrvA/CrvB necessary or sufficient for curvature?
BOTH!
if you remove CrvA, CrvB, or both in v. cholerae what would you expect to see?
absence of curvature! (necessary)
will V. cholerae still be curved if you only knock out ONE of the curvature-inducing filaments?
slightly, but dramatically reduced
if you modify E. coli (a straight rod) to express CrvA and CrvB, what would you expect to see?
formation of curvature! (sufficient)
PG hydrolases _____ the cell wall
cleave
what are the 3 types of PG hydrolases?
Lytic transglycosylase, endopeptidase, amidase
where does Lytic Transglycosylase cleave?
between glycans (between NAG-NAM)
where do Endopeptidases cleave?
between peptide linkage
where do amidases cleave?
between glycan and peptide
PG hydrolases are important for making _____ for newly incorporated PG so that a cell can _____
room; expand
PG hydolases are also required for cell _____ after division occurs
separation
PG hydrolases are secreted at HIGH levels during _____ to initiate cell _____
phage infection; lysis (releases the virus)
which PG hydrolase is also known as Lysozyme (which an antibacterial that we produce!)
Lytic Transglycosylase
PG hydrolysis is necessary for cell wall _____
expansion
because PG is a single cage-like molecule, old bonds must be _____ to make _____ for new material
cut; room
B. subtilis lacking 2 endopeptidases fail to _____ and will eventually _____
elongate; lyse
can you actually fully delete both endopeptidases in B. subitils?
NO! have to delete one and slowly deplete the other
3 _____ proteins are activated by cell _____ and separate daughter cells in E. coli
amidases; division
what are the 3 amidases activated by cell division in E. coli?
AmiA, AmiB, and AmiC
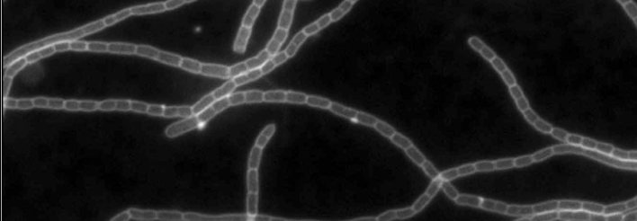
what happens if you delete all 3 amidases in E. coli? why?
all the cell are connected; can’t separate after division!

what proteins are knocked out in this organism?
all 3 aamidases
mutants in E. coli and other bacteria that fail to divide in the middle and form _____
minicells
minicell mutants have a defect in _____ causing _____ division and often resulting in a longer daughter cell and small minicell
Z-ring positioning; asymmetric
what are the cells called that do ASYMMETRICAL division?
“min” mutants
what is the group of genes that minicells are mutant for?
min genes
what are the 3 genes that compose the min system
MinC, MinD, MinE
what does MinC do?
inhibit Z-ring/divisome formation (prevents septum formation)