1/92
Looks like no tags are added yet.
Name | Mastery | Learn | Test | Matching | Spaced | Call with Kai |
|---|
No analytics yet
Send a link to your students to track their progress
Supergroup Opisthokonta
-Monophyletic group with animals, fungi, and protists (choanoflagellates and nuclearrids).
-Relatedness found through molecular phylogenetics.
-Opistho= rearward
-kont= pole (flagellum).
-group named for the rearward flagellum, and many in this group lost the flagellum over evolution.
Fungi are....
-eukaryotic, mainly multicellular organisms.
-true fungi are monophyletic
-absorptive heterotrophs: obtain energy from organic carbon by absorption.
Major fungal body
-hidden from view under soil (or inside host)
-consists of hyphae (network of threads).
-combine to make mycelium (complete feeding network of hyphae of fungus).
Septa
Hyphae make crosswalls that separate nuclei and cytoplasm from cell to cell (septate), or lack crosswalls (aseptate). The cells can have 1 or more nuclei.
Fruiting bodies
-sexual reproductive structures of fungi, usually only visible part coming out from substrate.
-make spores that disperse to make new mycelia
Zygomycota
-zygosporangia that make sexual zygotes
-zygosporangia resists drought/no nutrients
-dont form monophyletic group
-both sexual and asexual

Ascomycota
-make asci that make sexual ascospores
-asexual and sexual reproduction
-Peziza sp.
-Sordaria fimicola
-commonly called "sac fungi"
-reproduce asexually with spore formation, and sexually through ascospore formation.
-8 ascospores formed w/in ascus and many ---asci made in fruiting structure called ascocarp.
-includes deuteromycota- asexual

Basidiomycota
-make basidia, that make basidiospores
-basidiospores are sexual spores in structure basidium
-monphyletic group
-basidiocarps are the reproductive bodies
-basidia are the reproductive structures of the mushroom in the gills of mushroom and each produces four basidiospores that disperse by wind

Rhizopus stolonifer (zygomycota)
-3 types of hyphae
-stolon, on horizontal bread surface
-rhizoid to penetrate bread for nutrients
-sporangiophores -stand upright to hold sporangium at tip
-Asexual spores develop by mitosis inside sporangium - release and helps spread mold.
(picture is asexual)
-the pink lines are sporangiophores and the red ball is sporangia

Sexual reproduction occurs:
-opposite mating types (+ and -) hyphae come together.
-Zygosporangia form with tough outer coat (withstand drought or lack of nutrients).
-conditions favorable=dormancy ends and sporangium with spores develop that grow into new mycelium.
-zygosporangia are the big red ball and the two pink lines above and below are the gametangia

Phylum Deuteromycota (fungi imperfecti)
Fungi species with no sexual reproduction
still in same clade as Phylum ascomycota
Yeast
-unicellular fungus
-divide by binary fission or budding
-Saccharomyces cerevisiae (used in baking bread and brewing beer).
-Candida albicans shifts between unicellular yeast state and multicellular growth state (mold). (called Y-M shift)
-Y-M shift associated with pathogenesis
-Candida albicans: yeast vaginitis and thrush
yeast budding
asexual reproduction

Peziza sp. (Ascomycota)
Asci is the entire length
peziza is a cup fungus
ascomycota group

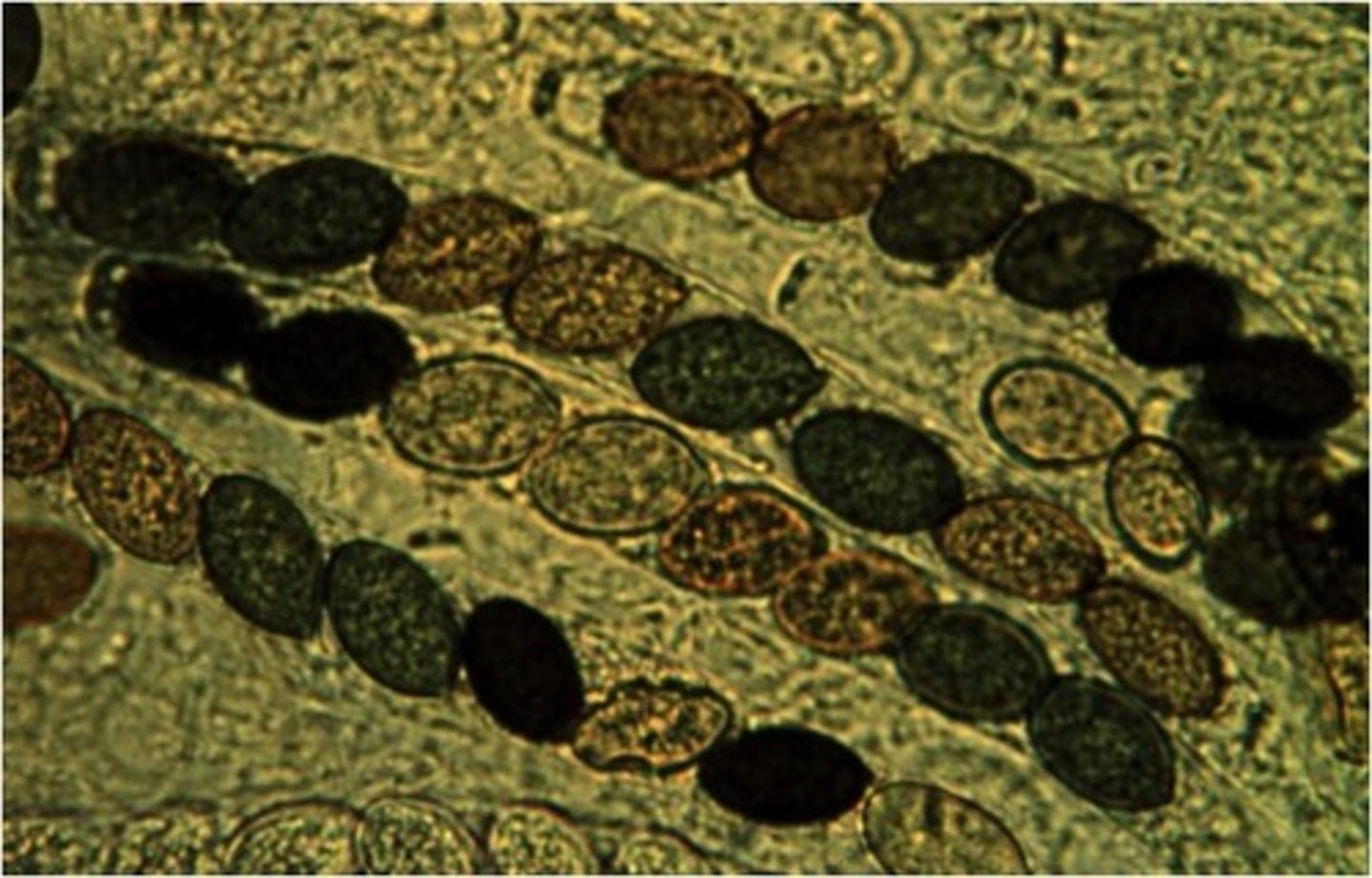
Sordaria fimicola (Ascomycota)
ascomycete
round circle is ascospore

coprinus sp.
basidiomycota

mushroom section

bracket fungus

mycorrhizae
-90% of plants have mycorrhizae fungi with roots.
-plant gives fungi carbohydrates
-fungi increase h2o and mineral absorption

Lichen cross section
-composite organisms with symbiotic relationships between fungi of Phylum Ascomycota and cyanobacteria or green algae (sometimes both).
-thallus (or body) of lichen grows in one of 3 forms: crustose, foliose, fruticose
fungus - mycobiont - provides protection
algae/cyano - photobiont - provides sugars

Crustose lichen
flat and adhere tightly to surfaces of rocks/tree bark

foliose lichen
leaf-like, edges curl away from substrate

fruticose lichen
3 dimensional and shrubby

Kingdom Animalia (Metazoa)
-monophyletic group
-made of multicellular, heterotrophic organisms with no cell wall
-2 groups:
Parazoa - no tissue
Eumetazoa with true tissue
-->Radiatia with radial symmetry
--> Bilateria with bilateral symmetry
Parazoa lacking true tissue
true tissue
stable association of cells w/ similar structure and fxn
Parazoa
only 1 extant phylum: porifera or sponges
Porifera: thought to be earliest animal lineage
marine and freshwater
asymmetrical with no real tissue, but do have specialized cells:
-Choanocytes (collar cells) that have single flagella, and have collar of microvilli (similar to choanoflagellates of protistan kingdom so sponges evolved from choanoflagellate ancestor) also amoebacyctes (i dunno how to spell)
grantia sp. l.s.

Sponge cross section

sponge spicules

live sponge

Radiata
2 phyla:
Cnidaria (hydra, jellyfish, box jelly, coral, and sea anemones)
Ctenophora: comb jellies
Radiata have only 2 germ tissue layers (ectoderm and endoderm)
in between layers is gelatinous substance mesoglea.
gastrovascular cavity: capable of extracellular digestion and nerve root w/ interconnected neurons
Class hydrozoa
-spend most of life in polyp stage
-medusa stage is short lived and only used for sexual reproduction
-Hydra sp. are solitary
-obelia sp. and physalia sp. (Portuguese man of war) are colonial
Hydra sp.
-stinging cells called nematocysts (from nematocytes)
-solitary

Obelia sp.
-feeding polyps responsible for catching prey (one with tentacles)
-reproductive polyps produce medusa by budding (ones with red dots)
-colonial, along with Physalia (man o war, actually a hydrozoan colony)

Class Anthozoan
-solitary sea anemones and colonial corals
-lack medusa stage
-coral secrete calcium carbonate skeletons that remain when they die making base of coral reefs.

Class scyphozoa
-relatively large dominant medusa stage
-polyp reduced to larval stage
-cassiopeia sp. (upside down jellyfish) flattened head rests on bottom

Clade Bilateria
-animals with bilateral symmetry
-triploblastic - 3 embryonic tissue layers (structures and organs develop from this)
-divided into 2 additional clades based on differences in developmental pathways: protostomes and deuterostomes
Clade Protostomia
2 clades:
-ecdysozoa and lophotrochozoa
Lophotrochozoa
-animals with lophophore (specialized feeding apparatus consisting of ciliated tentacles surrounding mouth) and trochophore larval stage.
-flatworms, rotifers, lophophorates, mollusks, and annelid worms.
(textbook says bryozoans, brachiopods,rotifers, mollusks, and annelids)

trochophore larvae
has cilia band

Phylum Platyhelminthes
-flatworms
-bilateral with no coelom
-flatworms have cephalization (head region w/ sense organs)
-incomplete digestive system (one opening)
-ladder-like centralized nervous system
-most parasitic, some free-living
-hermaphroditic (both f/m organs)
-picture= planaria sp.
-Turbellia and Trematoda
light sensors - ocelli

Class Turbellaria
only free living platyhelminthes

Class Trematoda
parasitic flukes

Class Cestoda
parasitic tapeworm

taxis
-response to stimulus
-moving towards stimulus is positive taxis, movement away is negative taxis.
-photo=light
-geo=gravity
-aero=oxygen
immature proglottid
and scolex
proglottid - segments that detach and leave eggs - immature, mature, gravid
scolex - mouth hook thing to cling to stuff

Phylum Rotifers
-wheel-bearers
-name from ciliated corona (rotating wheel)
-corona has two purposes: propel animal and move food particles into mouth
-unique to rotifers is mastax (has the jaw for chewing up and grasping food particles)
-complete digestive system and feeds continuously
-most are microscopic often confused for protists
-inhabit freshwater, some marine and terrestrial
-swim using corona or attach to substrate and secrete sticky substance from foot

mastax
looks like beating heart

phylum brachiopoda (brachiopods)
-lophophore for feeding and respiration
-true body cavity
-u-shaped complete digestive system
-included in lophophorate clade
-resemble clams because of two shell valves, but clams have no lophophores
-sessile organisms
-attach to substrate w/ muscular pedicle using lophophore to feed
-lingula anatina in tampa bay

Phylum Annelida
-segmented worms
-made of body form made of similar segments
-true segmentation: separation of body wall by transverse partitions called septa
-body segments have same set of muscles and have same repeated structures like: nephridia (excretory tubules), setae, and neurons
-advantage of segmentation- facilitates locomotion
-muscles in the segments contract
independently, causing elongation in some parts and shortening others.
-annelids have metamerism (segments with similar function) and tagmatization (metameres that combined to make larger functional units called tagma, that perform certain tasks)
-citellum (in earthworms) made of fused segments involved in reproduction
-closed circulatory system
-complete digestive system
-respiration through skin or gills
-primitive excretory system
-simple nervous system made of simple brain ganglion, ventral nerve cord.
-setae (bristle like projections)
-2 groups: errantia (free living predators) & sedentaria (slow moving tubeworms, earthworms, leeches)

feather duster worm
sessile annelid

parapodia
-lateral outgrowths with setae
-feet things

Cirri
feelers at posterior and anterior ends of annelid
Metanephridia
fine, curly white tubes inside
earthworm
-Hermaphoditic worms.
-Clitellum of 2 worms secrete mucus where sperm can exchange by swimming from testes of one worm to ovaries of another.
-mucus ring contains the fertilized eggs.
-mouth>pharynx>esophagus>crop>gizzard>
digestion in intestine>anus
-hearts are by esophagus and they pump blood (5 pairs)
-dorsal vessel is main vessel (closed circulatory system)
-gonads next to heart are ovaries, seminal vesicles, and seminal receptacles)

metanephridia
used for excretion

Mollusks
organisms with body plan of 3 main parts:
-muscular foot for movement
-visceral mass contains the internal organs
-mantle drapes visceral mass and secretes shell
Class Polyplacophora (Mollusca)
-chitons
-found in intertidal zone
-common to marine and freshwater and has clams and oysters

Class Gastropoda (Mollusca)
-snails and slugs
-in phylum mollusca

Class Cephalopoda (Mollusca)
-active marine predators (octopus, squid, and chambered nautilus)
-brain and enlarged head developed with head surrounded by tentacles (modifications of foot)
-closed circulatory system

class bivalvia (Mollusca)
-clams, mussels, oysters
-marine or freshwater
-filter feeders with siphon

squid dissection
-siphon used for jet propulsion
-tentacles are longer than the arms and they grab prey and hold on to it
-arms of squid are to capture prey, feeding, and locomotion
-pen is to support mantle and for muscle attachment
-eyes, siphon, arms, tentacles, mantle, mouth, fins

squid dissection diagram
gills, ink sac, branchial hearts, beak, visceral mass, gonad, pen

squid dissection gonad

chromatophores
-pigment containing light reflective cells
-allows animal to change colors

clam dissection

Ecdysozoa
1 of most species rich groups in animal kingdom with 8 phyla: athropoda (insects, arachnids, and crustaceans), nematoda (nematodes or roundworms)
Phylum Arthropoda
-Arthropods= means jointed feet
-most successful and abundant = 3/4 of all species.
-Abundance as high as 10^18
-play roles as pollinators, biological control agents, dinners, and commodity producers (silkworms).
Athropoda subphylum Trilobita
-ancient athropods dominated over muddy bottom of shallow sea in paleozoic
-extinct 250 mil. years.
-has chitinous skeleton, fused segments, and branched appendages.
-dorsoventrally flattened and divided into 3 longitudinal sections (2 lateral lobes and ventral lobe).
-3 anterio-posterior regions: head, thorax, and abdomen.
-each segement has 2 biramous (2 branches) appendages, one adapted for walking and other had gills.
-small, 10 cm in length, but some almost a meter in length.
-gave rise to chelicerates, like the horseshoe crab

Subphylum Chelicerata
-horseshoe crabs, arachnids, and pycnogonids (sea spiders)
-named for 1st pair of appendages (chelicerae) used in feeding, lack mandibles and antennae.
-second pair called pedipalps to catch prey, sensing environment or copulating.
-has two tagmata: cephalothorax, and abdomen.
-sometimes has tail-like telson

Class Merostomata (horseshoe crab)
limulus polyphemus
-common marine arthropod in atlantic coast and gulf of mexico
-has cephalothorax, and abdomen
-more closely related to spiders than crustaceans.
-carpace covers cephalothorax, and separated from abdomen by flexible joint
-breathe using book gills: found as appendages on abdomen
-uses telson (tail) to flip back over
-living fossils because theyre ancient since cambrian period and unchanged.
-1st pair of legs is chelicerae for manipulating food, next 2 pairs are pedipalps, and last 4 for walking

Class Arachnida
-spiders, ticks, mites, and scorpions
-most terrestrial
-cephalothorax has chelicerae modified as fangs to pierce prey
-pedipalps manipulate food and sense environment
-4 pairs walking legs.
-gas exchange in book lungs, or tracheal tubes, or both.

Arachnida spiders
-30,000 species, terrestrial and prey on insects and other invertebrates
-internal glands that secrete elastic protein silk
-silk released throuhg spinnerets and used to make webs
Subphylum Crustacea
-crustaceans in marine and freshwater, some terrestrial
-planktonic species and larvae
ex. shrimp, lobsters, crab, barnacle, isopod.
-most eat algae or detritus
-2 tagmata: cephalothorax (covered by carapace) and abdomen
-appendages are segmentally arranged and usually biramous (2 branched)
-exoskeleton, sometimes calcified
-crustaceans have compound eyes, usually stalked, and gills for gas exchange
-head has 4 appendages. made of 2 pair antennae and 1 pair mandibles.
-behind mandibles are 1st and second maxillae, used for sorting and handling food.
-abdominal appendages are smaller than walking legs and called swimmerets (or pleopods) used to swim and reproduction
-rostrum - nose thing

Crayfish gastric mill

crayfish dissection
-gastric mill: hard structure that grinds food
-green glands: excretory organs in head
"vein" actually intestine
-crayfish hemolymph blood carried away from heart by arteries and then enters body tissues.

Class Insecta
-most speciose and outnumber arthropods 8:1
-3 pairs of legs and body in 3 tagmata, head thorax abdomen
-thorax is locomotion center
-success because of small size, ability to fly, protective exoskeleton, reproductive fecundity and metamorphic development
-less than 6 cm in length
-allows to use habitats others cant
-30 orders of insects, but 85% belong to 4 orders:
coleoptera (beetles), lepidoptera (moths and butterflies), diptera (flies), hymenoptera (wasps, bees, ants, sawflies and best known for social behavior)

Grasshoper stuff
-exoskeleton made of chitin separated by membranous area called suture which allows movement of body parts
-grasshopper anterior segment that is largest made of 3 fused segements- first prothorax then wings
-spiracles are holes that lead to tracheal respiratory system
-sutures - small gaps in chitinous exoskel for movement

Subphylum Myriapoda
-centipedes (class chilopoda) and millipedes (class diplopoda).
-single pair of antennae, mandibles
-hardened head capsule
-long segmented body
uniramous (single branched appendages) while crustaceans have biramous (branched) segments
-terrestrial
-Chilo/Centi- carnivorous, 1 pair per segment
-Diplo/Milli - herbivorous, 2 pair per segment

Phylum nematoda
-nematodes (roundworms) found everywhere
-most small, but parasitic ones can be 1 meter long.
-20,000 species known and scientists think many more out there.

Vinegar eels
Nematode

Steinernema feltiae
nematodes that are beneficial used to control insects

ascaris lumbricoides
parasitic nematode infects intestinal tracts, males smaller than females and have hooked posterior ends

Class Asteroidea (Sea Star)
-madreporite - sucks in water
anus - on aboral side
-ambulacral grooves - down middle of arms - filled with tube feet
-digestive glands run down each arm
-cardiac stomach - oral part that is expelled
pyloric stomach - aboral
-has complete gut
separate sexes, gonads under digestive glands
-Water Vascular System - madreporite > stone canal > ring canal > 5 radial canals > transverse canals > ampullae > podia (oral side)

Class Ophiuroidea (Brittle Stars)
-slender arms covered in armorlike plates
-arms can detach and regrow
-scavengers/predators
-Basket star can filter feed

Class Echinoidea
-Ossicles (legs/spines) > test (sand dollar body, endoskel)
-Podia or movable spines
-Aristotle's Lantern - structure of 5 internal teeth
-Sea urchins - opportunistic omnivores - scrape up algae
-Sand dollars - scavngers/suspension feeders
-Pedicellaria - pincherlike object - keeps test clean, defense against encrusting organisms
-Anus directly on top of urchin

Class Holothuroidea (sea cucumbers)
-saclike body, reduced ossicles
-mouth surrounded by tentacle-like tube feet for suspension feeding
-some sandmovers that feed like earthworms
-some can eviscerate, expelling digestive, respiratory, and reproductive systems out of anus to deter preds

4 Characteristics of Chordates
Notochord - flexible cartilaginous rods
Hollow Dorsal Nerve Cord - on dorsal side of notochord
Pharyngeal slits
Muscular postanal tail

Subphylum Urochordata
-Tunicates (sea squirts)
-larvae are free swimming, bilaterally symmetrical, and have all 4 chordate features - looks like tadpoles
-Adults cessile and radially symmetrical - covered in protective tunic - looks like sponge
-upper incurrent siphon and lateral excurrent siphon

Subphylum Cephalochordata
-lancelets
-segmented, fish-like
-shallow marine waters
-all 4 chordate characterisitics
-Amphious sp.
Sybphylum Vertebrata
-Notochord - flexible cartilaginous rods
-Hollow Dorsal Nerve Cord - on dorsal side of notochord
-Pharyngeal slits
-Muscular postanal tail
+
-cranium - bony/cartilaginous brain houser
-vertebral column - bony/cart vertebrae that replaces notochrod during development
-all part of endoskeleton that has living cells that secrete bone building material
-most dominant part of chordates
-mammals- enlarged skull/brain, external ears, single lower jaw bone
Teeth
-heterodonts - more than one kind of tooth - most mammals
-homodonts - nearly all other vertebrates - insectivore/piscivore
-incisors - herbivores - flat but edged
-canines/carnassials - carnivores - pointy
Skulls
Binocular vision - predator
Side vision - prey