1/87
Looks like no tags are added yet.
Name | Mastery | Learn | Test | Matching | Spaced | Call with Kai |
|---|
No analytics yet
Send a link to your students to track their progress
Fertilization occurs when:
Gamete nuclei fuse
The series of mitotic divisions that divide the fertilized ovum into successively smaller and smaller cells (without intervening growth periods between divisions) is called:
Cleavage
The process of nuclear division that results in the halving of chromosome number and leads to the formation of gametes is called:
Meiosis
The hollow ball of cells that forms after the 32-cell stage is the:
Blastula
The solid ball of cells that results from the division of the fertilized ovum at the 32-cell stage is the:
Morula
The process that results in the formation of the three germ layers is:
Gastrulation
A fertilized ovum is called a:
Zygote

Cervix

Suspensory ligament

Fimbriae

Mons pubis

Oviduct

Round ligament

Anus

Infundibulum

Ovary

Uterus

External urethral orifice

Clitoris

Urethra

Labia majora

Uterosacral ligament

Ampulla of ductus deferns

Ductus deferns

Prostate gland

Prepuce

Seminal gland

Corpus cavernosum

Testis

Epididymis

bulbourethral gland

spongy urethra

Ureter

Corpus spongiosum

Bulb of the penis

membranous urethra

Trophoblast

Inner cell mass

Blastocyst cavity
e

Myometrium

Round ligament

Ampulla

Isthmus

Perimentrium

Infundibulum

Cervix

Ovarian ligament

Fundus

Ovary

Fimbriae

Vagina

Endometrium

Deciuda basalis

Stratum basalis

Chorion

Maternal veins

Fetal arterioles

Maternal arteries

Fetal venules

Umbilical vein

Umbilical arteries

Myometrium

Intervillous space

Chorionic villus

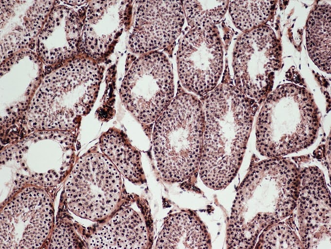
Epididymis

Testis

Oviduct

Secretory

Menses
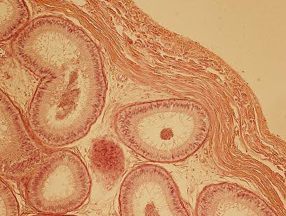
Where specifically in the testis does spermatogenesis occur?
Seminiferous tubules
Is a spermatozoan diploid or haploid?
Haploid
During which period of life does spermatogenesis begin?
Puberty
Does spermatogenesis require the testes to be warmer or cooler than body temperature?
Cooler
What event triggers the secondary oocyte to complete Meiosis II?
Sperm penetration
What structure does the follicle develop into after ovulation?
Corpus luteum
How many functional ova are produced from each primordial follicle?
One
What type of cells surround the oocyte within the follicle and produce estrogen?
Granulosa cells

Amniotic cavity

Epiblast

Yolk sac

Amniotic cavity

Amnion

Trophoblast

Trophoblast

Chorion

Amnion

Endometrium