1/50
Looks like no tags are added yet.
Name | Mastery | Learn | Test | Matching | Spaced | Call with Kai |
|---|
No analytics yet
Send a link to your students to track their progress
to slow down progression of arthritis and eliminate/minimize lameness
when is sx. indicated for CCL injury/disease
always indicated
sx. for CCL injury/disease in large breed dogs
depends on state of disease and if conservative tx. may be helpful
sx. for CCL injury/disease in small breed dogs
dogs <20-25lbs
what is the cut off point for conservative therapy for CCL injury/disease in dogs
1. periarticular osteophytes
2. articular erosions
3. meniscal damage
what are some of the degenerative changes associated with progressive DJD
1. medications
2. exercise modification
3. joint supplements
4. braces/orthotics
what does conservative therapy for CCL injury/disease involve
speed recovery from sx.
rehabilitation therapy by a trained rehab practitioner can _____ but there is little evidence it is an alternative to sx.
1. sx. does NOT completely restore normalcy
2. despite sx. arthritis will still progress
ket considerations for sx. tx. of CCLD
stabilization
what is a key aspect to slowing the progression of arthritis following sx. tx. of CCLD
non-reversible
arthritis is a (non-reversible/reversible) disease
arthrotomy/arthroscopy
we should perform ____ on all surgical cases for CCLD

extra-articular techniques can exert restraints on joint motion and will mimic the action of CCL
why is the surgical consideration of extra-articular vs. intra-articular CCLD important...

repairing the cruciate; stabilizing the stifle
when you are performing cruciate sx. you are NOT ______ but rather _____
offer appropriate referral options to clients
in terms of clinical conclusions for cruciate sx., you should be able to...
90% subjective evaluation of good to excellent
it is currently reported that any current sx. method (extracapsular or intracapsular) results in a _____ results
no techniques...
are there currently techniques to prevent progressive DJD
caudal cruciate/CaCL
_____ injury alone is rare and is often associated with concurrent dommage to CCL or collateral lig.
done by caudal drawer but more importantly...RADs
in terms of CaCL diagnostics
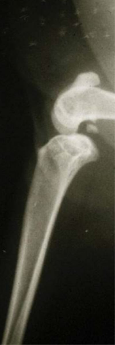
caudal cruciate lig. rupture
what is shown here...

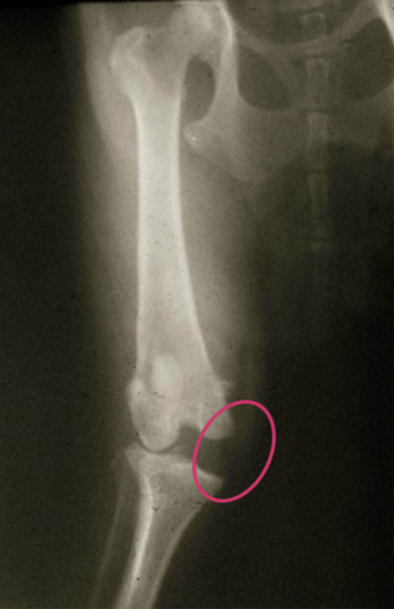
CaCL rupture w/ medial collateral lig. tear
what is shown here...

extracapsular imbrication...done in opposite direction of CCLD placement
what technique is used to sx. repair CaCL rupture

shock absorber, increase stability, aid in lubrication
primary roles of meniscus
15%
the peripheral ___ of the meniscus is vascularized

synovial diffusion
the central 85% of the meniscus is nourished by ____

isolated meniscal lesions are rare and are typically a secondary injury
in terms of general incidence of meniscal injury...
meniscofemoral lig
what structure attaches lateral meniscus to femur and helps to spare lateral meniscus following CCL tear

medial collateral lig/MCL
what structure firmly attached medial meniscus to joint capsule...makes the medial meniscus more likely to be damaged

medial meniscus
in terms of meniscal pathophysiology, injury most commonly occurs to ____ during abnormal internal rotation

rupture of CCL
meniscal injuries are often associated with ____

caudal horn of medial meniscus
what is the most often damaged part of the meniscus----can be folded

medial femoral and tibial condyles crush and shear meniscus
how does meniscus actually suffer damage during weight bearing....

radial tears
what form of meniscal tears run in acial to abaxial damage
follow curvature of meniscus
how would you describe circumferential/longitudinal tears of the meniscus

form of circumferential/longitudinal tear w/ separation of meniscus at site of tear
define the bucket handle tears of the meniscus

meniscotibial incision of medial meniscus intended to prevent future meniscus impingement and damage
what is meniscal release

transverse radial tear
A

longitudinal or bucket handle tear
B

medial peripheral detachment w/ shredding of cartilage
C

folded caudal horn
D

meniscofemoral ligament
what makes isolated lateral meniscal tears RARE

clicking or snapping sound during palpation or wt. bearing
what is the "meniscal click"

meniscal injury
sudden lameness in dog w/ CCL rupture may indicate ____

arthroscopy and surgical exploration
what are the primary diagnostics for meniscal injury

reviewed
you should review this...meniscofemoral lig, CaCL, CCL, M and L meniscus/horns

1. intracapsular and extracapsular reconstruction
2. corrective osteotomy like TPLO, TTA, TWO, CBLO
3. primary repair w/ augmentation
what are the sx. tx. options for a ruptured CCL
>50%
injury of contralateral cruciate lig. occurs in ____ of patients following sx. tx. of ruptured CCL
radiographic changes are visible in "uninjured joint"
the percent of patients that suffer contralateral CCL rupture following sx. to 60% if ____
1. surgeon preference
2. patient size and function
3. cost of procedure
what factors determine CCL sx. repair method
90%
there is a success rate of near _____ regardless of the CCL sx. repair technique
most closely mimic original position and biology of original CCL
primary advantage of intracapsular reconstruction using autogenous tissue
invasiveness and tendency of graft to stretch/fail due to inability to properly restrict dogs
primary disadvantages of intracapsular reconstruction using autogenous tissue