1/241
Looks like no tags are added yet.
Name | Mastery | Learn | Test | Matching | Spaced | Call with Kai |
|---|
No analytics yet
Send a link to your students to track their progress
greenstick fracture

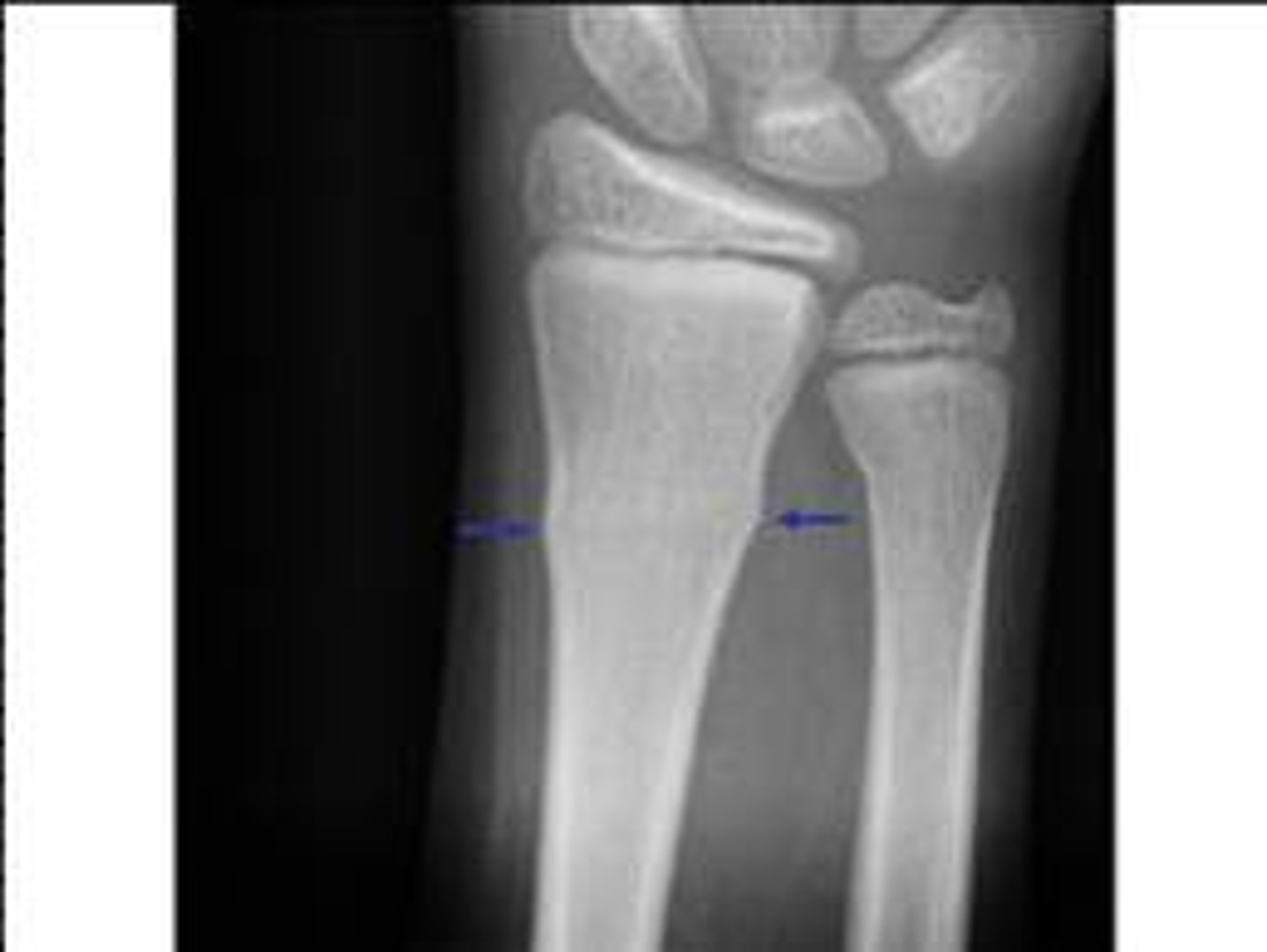
torus fracture

6 Ps for compartment syndrome
Pain, pallor, pulselessness, paresthesias, paralysis, poilkilothermia
normal intracompartmental pressure
adults: 8
kidsL 13-16
two gold standard dx for osteomyelitis
MRI
bone culture/bx
pt presents with pain, fever, hx of trauma and cell count on joint fluid aspirate is > 50k, how to treat?
I&D
IV abx
Which types of AC joint dislocations require surgery
4-6
grandma FOOSH w/ pain in clavicle and tenting of the skin in the middle 1/3, tx?
needs surfery
Patient fell and now has numbness/weakness with abduction of arm
proximal humerus fx
pt fell, has wrist drop and cannot extend wrist, what nerve was injured along w/ the humeral shaft fracture?
radial n
Pt has scapular winging, overhead activity pain, painfult, but intact ROM. Dx and tx
subacromial impingement syndrome
PT
Pt complaining of nocturnal shoulder pain. On exam, you find loss of AROM of the shoulder w/ intact PROM. What is the most likely dx?
rotator cuff injury
what are bankart lesions and hill sach lesions associated with
anterior shoulder dislocation
Pt has DM and thyroid disease and can't lift her shoulder past 90º. On exam you find loss of ROM and pain. How to treat?
adhesive capsulitis
PT
sx of labral tear
vague, deep shoulder pain
popping or clicking
weakness
Young guy carrying something heavy feels a pop. popeye deformity noted on exam. WHat is this?
biceps tendon rupture
best tx for osteoarthritis
weight loss
which muscles/tendons are affected with medial epicondylitis?
flexors
pain at lateral epicondyle with resisted wrist ___________?
extension (tennis elbow)
how to differentiate aseptic and septic bursitis on PE
no ROM loss w/ aseptic
which fingers are affected in cubital tunnel syndrome
q1/2 of ring and pinky finger
what is indicated when the anterior humeral line is off on an XR of the elbow
distal humerus fracture
Hyperextension of the elbow from a fall and posterior fat pad and sail sign on imaging. What is this?
supracondylar fx
Pt had a FOOSH and is presenting with pain at the proximal radius and decreased ROM. what did they fracture?
radial head/neck
what nerve are we worried about with an olecranon fx?
ulnar nerve
fracture oef the proximal 1/13 of the ulna w/ dislocation of the radial head
monteggia fracture
what fingers are affected with carpal tunnel syndrome
first three and lateral 1/2 of ring
A woman who just had a baby comes in with thumb pain, dx and tx?
DeQuervain's tenosynovitis
Thumb spica
catching of the thumb or finger after forceful extension (common w/ DM)
trigger finger (stenosing tenosynovitis)
what finger problems get braced in extension
trigger finger
mallet finger
maybe boutinneire
Pt has ganglion cyst, what is first step?
observe
painless, flexion contractures of MCP joints. Dx and tx>
Dupuytren
collagenase
FOOSH resulting in pain over anatomical snuff box but nothing on XRay. Tx?
thumb spica splint
Difference between Colles and Smith fracture
Colles goes backwards (dinner fork)
Smith goes forwards
tx for boxer's fx
Ulnar gutter splint
difference btwn Bennett fx and rolando fx?
rolando has a Y type fracture, bennet is more stable
What treatment will you get if you fall and your thumb is forced into radial deviation?
thumb spica
MC causes of AVN (2)
steroids
trauma
In a hip fracture, which types of fracture get hip replacement and which get CMN
head/neck = hemiarthroplasty
trochanter = CMN
painless limp, young kid
Legg-Clave-Perthes
fat kid hip problem, painful limp
SCFE
Sinding-Larsen-Johansson Disease sx
painful @ inferior pole of patella
pain where achilles inserts at calcaneus
sever's disease
PE tests for ACL
lachman's and anterior drawer
Pts knee is giving away when squatting and there is popping and clicking
meniscal injury
What artery are we worried about w/ tibial plateau fx?
popliteal, emergent ORIF
Adult female runners w/ knee pain? how to tx?
PT - strengthen quad (weak) and hamstring (strong) imbalance
MC ankle ligament sprained
ATFL
sudden pain and pop in lower leg. Thompson test has no planta flexion
Achilles tendon rupture
fall off a ladder onto heels, what did you fracture?
calcaneus
difference between psuedo-jones fracture and jones fracture?
pseudo = more proximal
pain and bruising on the bottom of the midfood with a gab on XR indicates what?
lisfranc injury
Someone who wears high heels a lot has pain between 3rd and 4th digits. What is this?
morton's neuroma
back pain worsened with extension and improved with flexion (shopping cart)
spinal stenosis
Pt is HLA-B27 positive with bamboo spine seen on XRay, what symptoms are they probably experiencing
ankylosing spondylitis
morning stiffness in SI joint that improves with activity during the day
back pain worsened with flexion and relieve with extension (lying flat on the ground)
disc herniation
what dx for disc herniation
MRI (XRay first)
unilateral pain down the back of the leg, worse w/ flexion, twisting, or bending
sciatica
saddle anesthesia and bowel/bladder incontinence, dx and tx?
cauda equina
emergent MRI
surgical emergency
when does scoliosis need surgery?
>45º
common injury with gymnasts, pinpoint pain at L5, scotty dog sign on XR
spondlolysis
3 or more ADJACENT RIBS are fractured, low SpO2
flail chest
tietz syndrom vs costochondritis
tietz = pain and swelling of a single costal cartilage
costochondritis = diffuse regional pain
MC type of thoracic outlet syndrme
neuorgenic
young swimmer with abrupt onset of entire arm swelling, cyanotic limb w/ heaviness and pain
vasogenic TOS
clear, sclerotic limb with tumor occurring around growth plate, well demarcated
joint pain and effusion
chondroblastoma
(Chondro-bleed-lung-oma)
teen with dull, nocturnal pain at proximal femur, relieved by NSAIDS
central, lytic nidus
osteoid osteoma
(osteoid owie-oma)
big cloud lesion on long bone just above the knee
associated with RANK
Giant Cell tumors
centrally located tumor, often incidental finding
enchondroma
tumor that grows away from the bone, looks crazy
osteochondroma
(osteo common horn droma)
most common benign tumor in kids
pseudoloculated lytic center
XRay soap bubble
eccentric
non-ossifying fibroma
what tumor has solitary cyst that is centrally located and a fallen leaf sign when there is an associated fracture
simple unicameral bone cyst
what does CRAB stand for in multiple myeloma
hyperCalcemia, Renal insuff, Anemia, Bone lytic lesions/Back pain
atypical plasma cells
bence jones proteins
punched out lesions
things found in multiple myeloma
what tumor has sunburst appearance, codman's triangle, and is MC at distal femur
osteosarcoma
(osteo sun coma)
what tumor presents with persistent dull pain over a long time and on XR they have multiple rings and arcs
chondrosarcoma
onion skin and hair on end
fever
ewing sarcoma
hot, swollen, tender joint is _____________ until proven otherwise
septic arthritis
triad for SLE
joint pain, fever, malar rash
labs for SLE
+ANA = GS
anti-dsDNA
anti-smith
which med to give to a pregnant woman with SLE
azathioprine
what yearly screenings do SLE patients get
urine --> for proteinuria
eye exam --> HCQ
Pt with history of miscarriages and DVT with two positive aPLs, what is the treatment
heparin (if preggo)
warfarin (if not preggo)
what lab differentiated drug induced lupus from normal lupus
normal complements in drug induced
sicca sx, arthritis, salivary gland enlargment
positive ANA, anti-RO, anti-LA, and + RF
sjogren's
what to avoid in sjogrens
decongestants
Pt presents with symmetric, proximal weakness and a heliotrope rash (eyelids), what would you expect their CK levels to be?
VERY high
what does CREST stand for?
calcinosis, esophagus, sclerodactyly, telangiectasias
what med to avoid in scleroderma
steroids
what antibody is positive in limited scleroderma
antiCentromere
antibodies to RNP
mixed CTD
high fever, sore throat, short lived salmon colored rash
adult-onset still's disease
allergic sx with a pancreatic mass
IgG4 related diseases
treatment for widespread MSK pain
APAP and NSAIDs
duloxetine, amitriptyline
gabapentin and pregablin
PT/exercise
pt comes in with pain localized to one arm (or leg) and swelling of the involved extremity with a hx of surgery (or trauma). What is the dx?
complex regional pain syndrome
sx of gonococcal arthritis
asymmetrical, warm, swollen joint pain
systemic sx
rash on hands and feet
can't see, can't pee, can't dance w/ me
chlamydial (reactive) arthritis
tx for non-gonococcal arthritis
IV vanco + ceftriaxone
+ drainage, lavage, and debridement
pt with sarcoidosis presents with polyarticular and symmetric arthralgias & arthritis. What do you see on bx?
noncaseating granulomas
Pt with DM neuropathy history presents with enlarged, boggy, warm, painful joint. What do you suspect?
charcot joint