1/28
UT 607B - Gynecology 2
Name | Mastery | Learn | Test | Matching | Spaced | Call with Kai |
|---|
No analytics yet
Send a link to your students to track their progress
Infiltration of the endometrial glands and stroma into the myometrium is:
a. Myomas
b. Endometriosis
c. Adenomyosis
d. Nabothian cysts
Adenomyosis
Cysts that are caused by the obstruction of an endocervical gland is known as:
a. Gartner duct cyst
b. Nabothian cyst
c. Ovarian cyst
d. Graafian follicle
Nabothian cyst
When a pedunculated fibroid twists on itself causing a lack of blood flow it is called:
a. Torsion
b. Degeneration
c. Prolapse
d. Calcified
Torsion
Which of the following types of fibroids would cause abnormal uterine bleeding?
a. Intramural
b. Submucosal
c. Subserosal
d. Pedunculated
Submucosal
Which of the following type of fibroid occurs in the interstitial tissue of the myometrium?
a. Intramural
b. Subserosal
c. Submucosal
d. Pedunculated
Intramural
Fibroids are also known as:
a. Myomas
b. Leiomyomas
c. Fibromyomas
d. All of the above
All of the above
Which of the following has an increased chance of developing fibroids?
a. Asian women
b. Age 25-35 years
c. African women
d. Pregnant women
African women
Which of the following is the malignant relative of a fibroid?
a. Leiomyosarcoma
b. Myoma
c. Leiomyoma
d. Adenomyosis
Leiomyosarcoma
Which of the following is known for the whorled internal architecture?
a. Adenomyosis
b. Leiomyosarcoma
c. Nabothian cyst
d. Leiomyoma
Leiomyoma

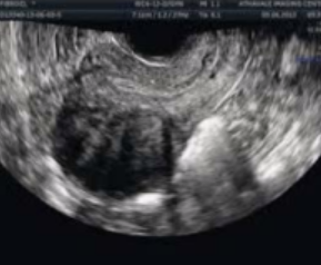
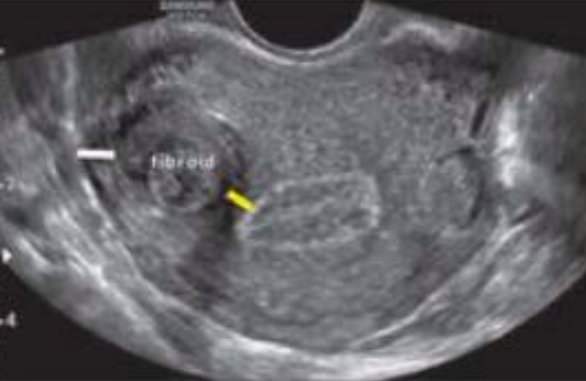
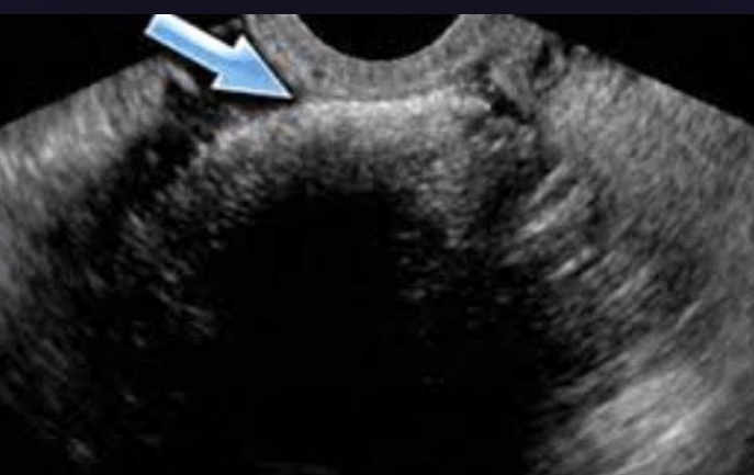
What type of fibroid is depicted in this image?
a. Intramural
b. Submucosal
c. Subserosal
d. Pedunculated
Subserosal

Where is this fibroid located in the uterus?
a. Anterior
b. Posterior
c. Cervical
d. Fundal
Anterior

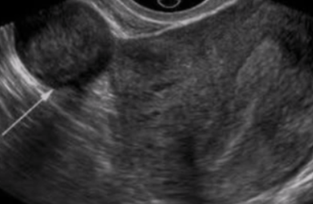
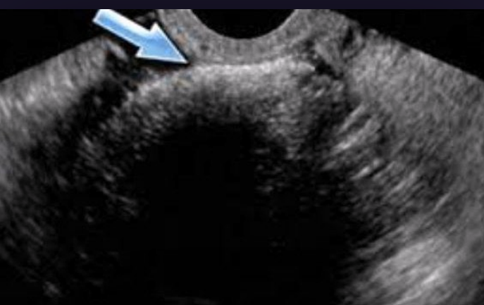
Is this image endovaginal or transabdominal?
a. Endovaginal
b. Transabdominal
Endovaginal

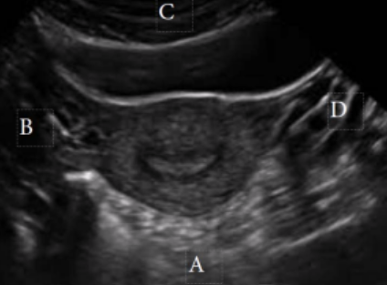
What is letter B in this image?
a. Superior
b. Right
c. Anterior
d. Posterior
Right

What is letter D in this image?
a. Anterior
b. Superior
c. Posterior
d. Inferior
Inferior

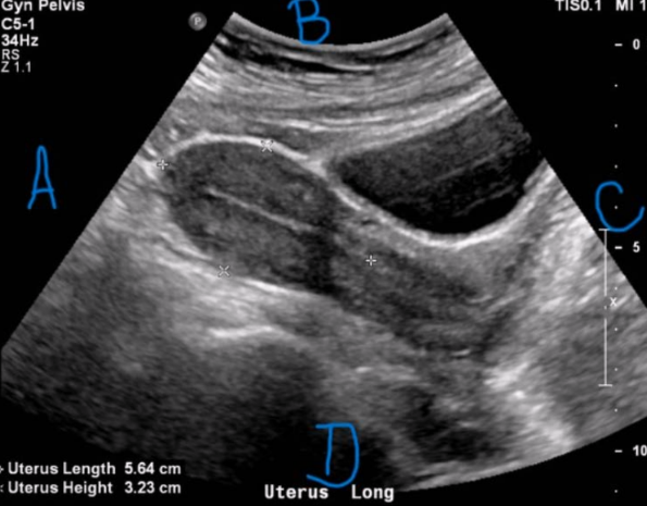
What is letter C in this image?
a. Left
b. Posterior
c. Inferior
d. Superior
Inferior

What is letter B in this image?
a. Posterior
b. Left
c. Inferior
d. Superior
Posterior

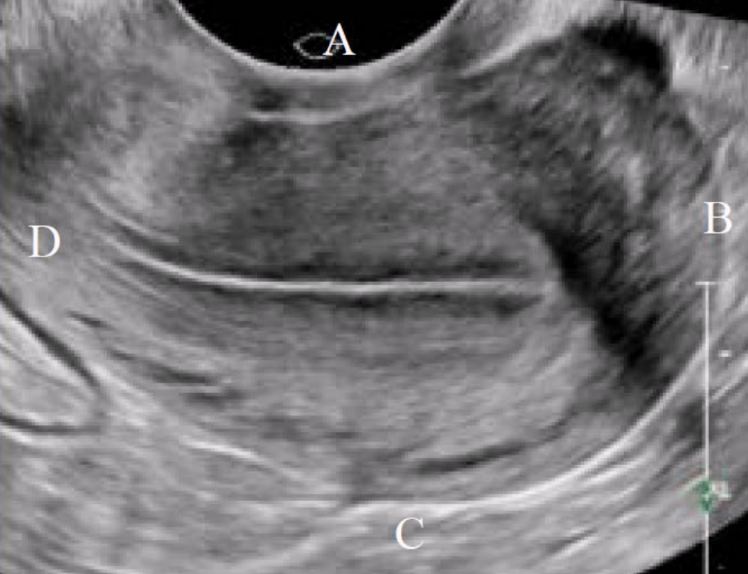
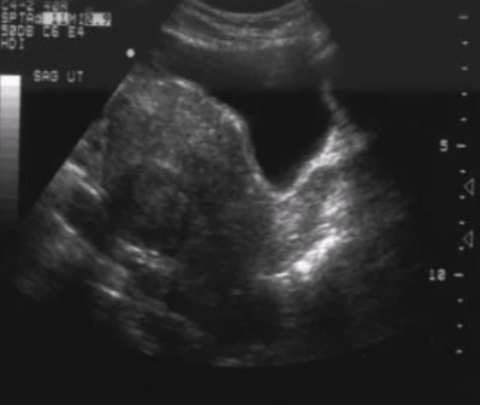
What type of fibroid is depicted in this image?
A. Intramural
B. Submucosal
C. Subserosal
D. Pedunculated
Intramural

What type of fibroid is depicted in this image?
A. Intramural
B. Submucosal
C. Subserosal
D. Pedunculated
Subserosal

Name the type of fibroid and its location
Pedunculated
Anterior

Name the type of fibroid and its location
Intramural
Posterior

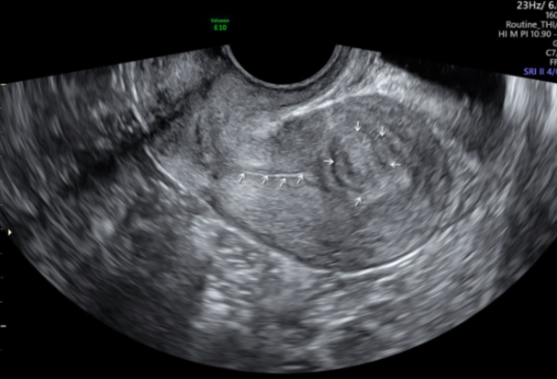
Name the type of fibroid and its location
Submucosal
Posterior

Name the type of fibroid and its location
Subserosal
Posterior
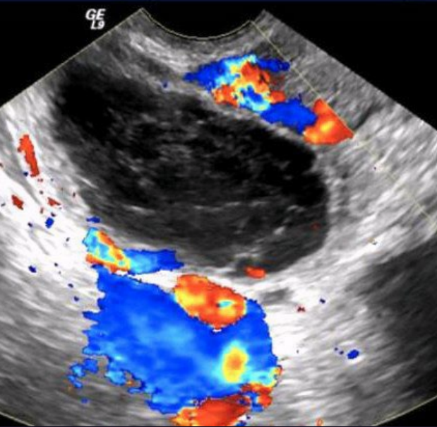
The most common cystic ovarian tumor in women of childbearing age is?
a. Dermoid cyst
b. Serous cystadenoma
c. Follicular cyst
d. Dysgerminoma
Follicular cyst
Amenorrhea, infertility, hirsutism, obesity are associated with?
a. PCOS
b. OHSS
c. Endometriosis
d. PID
PCOS
The most common complex benign tumor in young women of germ cell origin is
a. Mucinous adenocarcinoma
b. Dysgerminoma
c. Corpus luteum cyst
d. Mature teratoma (dermoid)
Mature teratoma (dermoid)

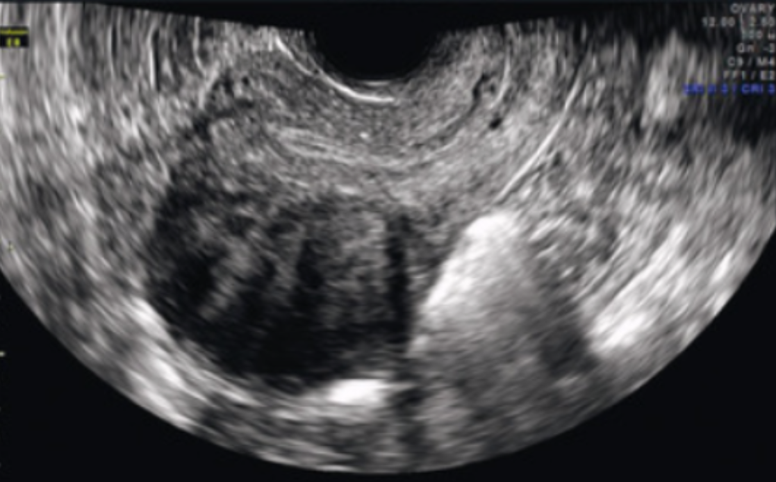
This is an avascular mass w/ fibrin stranding. Dx?
a. Mature teratoma (dermoid)
b. Fibroma
c. Hemorrhagic cyst
d. Mucinous cystadenoma
Hemorrhagic cyst

What sign is this?
a. Murphy’s sign
b. Tip of the iceberg sign
c. String of pearls sign
d. WES sign
Tip of the iceberg sign

Which benign mass is associated w/ the tip of the iceberg sign?
a. Mucinous adenocarcinoma
b. Dysgerminoma
c. Corpus luteum cyst
d. Mature teratoma (dermoid)
Mature teratoma (dermoid)

Patient presents w/hirsutism and amenorrhea. Dx?
a. PID
b. Endometriosis
c. OHSS
d. PCOS
PCOS