1/99
Looks like no tags are added yet.
Name | Mastery | Learn | Test | Matching | Spaced | Call with Kai |
|---|
No analytics yet
Send a link to your students to track their progress
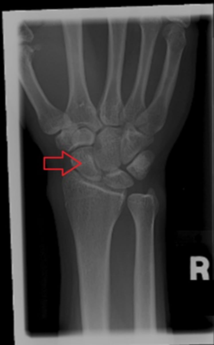
c. scaphoid
on the given wrist image, the red arrow point to the...?
a. capitate
b. lunate
c. scaphoid
d. triquetrum

b. cephalic; acanthion
on a PA axial projection of the mandibular rami, the central ray is angled 20 degrees in a _____ direction and should exit the ______.
a. caudal; acanthion
b. cephalic; acanthion
c. caudal; mental point of the mandible
d. cephalic; mental point of the mandible
b. LPO
for the optimum image of the right kidney during urography, what position should a patient be in?
a. RPO
b. LPO
c. lateral
d. supine
a. LPO
the _____ position BEST demonstrates the right SI joint
a. LPO
b. RPO
c. LAO
d. right lateral
b. GFR is calculated from the results of a BUN test
which of the following is FALSE about the laboratory value 'GFR'?
a. GFR stands for glomerular filtration rate
b. GFR is calculated from the results of a BUN test
c. GFR estimates how much blood passes through the glomeruli of the kidney
d. GFR is a measure of kidney function and estimation of degree of kidney disease
b. 1 and 3
which of the following attributes do personnel monitoring devices include?
1. they must not be susceptible to environmental conditions
2. devices are designed to record only small exposures
3. the device must reflect human tissue absorption characteristics
a. 1 and 2
b. 1 and 3
c. 2 and 3
d. 1, 2 and 3
b. a level 1 inch posterior to the outer canthus
for a submentovertical (SMV) projection of the zygomatic arches, the central ray is perpendicular to the Infraorbitomeatal line (IOML) and enters the throat at:
a. the level of the outer canthus
b. a level 1 inch posterior to the outer canthus
c. the level of the external acoustic meatus (EAM)
d. a level 1 inch posterior to the EAM
c. the abdomen becomes thicker; technique must increase
which of the following statements correctly describes how and why technical factors MUST be changed from an anteroposterior (AP) lumbar spine to an oblique lumbar spine image?
a. the abdomen becomes denser; technique must increase
b. the abdomen becomes less dense; technique must decrease
c. the abdomen becomes thicker; technique must increase
d. the abdomen becomes less thick; technique must decrease
b. wedge
which type of compensating filter is the MOST appropriate to use for an AP or AP Axial projection of the foot?
a. boomerang
b. wedge
c. trough
d. bilateral wedge
c. talk to the technologist about why those exposure factors were chosen and express concern about overexposing the patient
a technologist notices that a coworker selects exposure factors for a patient's examination that are much higher than indicated by department protocol or technique charts. the technologist should...
a. defer to a more senior technologist's experience and say nothing
b. go immediately to the department supervisor and suggest an investigation
c. talk to the technologist about why those exposure factors were chosen and express concern about overexposing the patient
d. express concern to other technologists in the department
c. air kerma
the kinetic energy deposited per unit mass of air from an x-ray beam is measured by
a. absorbed dose
b. equivalent dose
c. air kerma
d. exposure
b. consider an AP projection of the hand
a radiographer receives an order from the emergency department for a right hand radiograph on a 62 year old man. the indication is to rule out a third MCP joint fracture. the patient is unable to extend his fingers fully when trying to position the hand for the PA projection. the radiographer should...
a. leave the hand positioned for the PA projection with the fingers flexed
b. consider an AP projection of the hand
c. force the fingers into extension by taping the hand flat to the image receptor
d. skip the PA projection and obtain only lateral and oblique images
a. silhouette
while reviewing a posteroanterior (PA) chest radiograph of a 72 year old male patient, the radiographer notices that the images does NOT show the right heart border because the right middle lobe is consolidated. this is described as the _____ sign
a. silhouette
b. cardiac
c. pneumonia
d. halo
c. increased quantity of bremsstrahlung photons
increasing the kVp from 60 to 68 will result in...
a. increased energy of characteristic photons
b. an increase in the number of characteristic photons
c. increased quantity of bremsstrahlung photons
d. a leftward shift of the emission spectrum
c. increasing grid ratio
an increase in patient exposure will result from...
a. decreasing mAs
b. decreasing OID
c. increasing grid ratio
d. increasing focal spot size
b. compensating filter
a ____ can be used to create even exposure across an image receptor when imaging anatomy with uneven thickness
a. collimator
b. compensating filter
c. shadow shield
d. positioning sponge
a. superiorly; posteriorly
on an axiolateral oblique projection of the TMJs, the patient's head begins in a lateral position and is then rotated so that the MSP moves approximately 15 degrees toward the image receptor. the central ray is angled caudally about 15 degrees. the TMJ of interest is closest to the image receptor. on the image, the TMJ of interest will be projected _____ and _____ to the other TMJ
a. superiorly; posteriorly
b. inferiorly; posteriorly
c. superiorly; anteriorly
d. inferiorly; anteriorly
d. ionic agents
what type of contrast medium dissociates into 2 molecular particles in water?
a. nonionic agents
b. hydroxyl groups
c. amine groups
d. ionic agents
a. radiographer skill
all of the following are regarded as special considerations when establishing technique charts EXCEPT
a. radiographer skill
b. patient age
c. casts
d. contrast media
c. contrast
an acceptable image is produced using a particular set of exposure parameters. the image is repeated using the air gap technique with all other factors remaining constant. given this scenario, all of the following will decrease EXCEPT
a. sharpness
b. receptor exposure
c. contrast
d. spatial resolution
d. tachypnea
an emergency department patient arrives in the radiology department. the patient seems stable but is breathing rapidly. the technologist communicated this concern to the radiologist as...
a. bradypnea
b. tachycardia
c. bradycardia
d. tachypnea
d. retrograde urography
which type of urography involves a urologist catheterizing the ureters and instilling a water soluble iodinated contrast medium
a. cystourethrography
b. intravenous urography
c. cystoureterography
d. retrograde urography
a. workload
the concept used in barrier design that describes the total beam-on time for a radiography room per week is...
a. workload
b. use factor
c. weighting factor
d. occupancy factor
c. conduction band
until a photostimulable phosphor plate is processed, electrons freed upon irradiation are stored in the....
a. valence band
b. photodetector
c. conduction band
d. conductive layer
a. light to electrons
the photomultiplier tube in a phosphor plate reader system converts...
a. light to electrons
b. x-rays to electrons
c. light to digital values
d. x-rays to digital values
c. base of the third metatarsal
the central ray enters the ____ during an axial plantodorsal projection of the calcaneus
a. head of the third metatarsal
b. tuberosity of the calcaneus
c. base of the third metatarsal
d. third metatarsophalangeal joint
b. parallel
for an AP projection of the humerus, it is necessary to have the coronal plane passing through the humeral epicondyles aligned _____ to the image receptor
a. perpendicular
b. parallel
c. at a 45 degree angle
d. at a 30 degree angle
a. sampling frequency
the spatial resolution of a detector is controlled by the
a. sampling frequency
b. matrix size
c. mAs
d. analog to digital converter
a. metadata
patient demographics and examination information are stored with a digital radiography image in the image's...
a. metadata
b. RIS
c. study ID
d. modality worklist
b. ionization chamber
modern automatic exposure control sensors are of the ____ type
a. scintillator
b. ionization chamber
c. autotransformer
d. phototimer
a. 10 seconds
of the following, a whole-body radiation exposure of 2 Gy over a period of _____ would be MOST hazardous to an individual
a. 10 seconds
b. 10 hours
c. 10 days
d. 10 weeks
d. dorsiflexed
when acquiring non-trauma radiographs on the ankle, it is important to place the foot in a(n) _____ position
a. inverted
b. everted
c. plantarflexed
d. dorsiflexed
c. hilum
blood vessels, the ureters, nerves, and lymphatic vessels enter and exit the kidney through the
a. renal cortex
b. renal corpuscle
c. hilum
d. renal pelvis
a. ethmoid
which of the following is a cranial bone that is also part of the orbit?
a. ethmoid
b. lacrimal
c. zygoma
d. palatine
d. 4
the rotating anode target material that is responsible for helping to cool and conduct electrons through the x-ray circuitry is comprised of how many materials from the list below?
1. tungsten
2. thorium
3. rhenium
4. molybdenum
5. graphite
a. 1
b. 2
c. 3
d. 4
d. generator phase
the _____ is NOT a primary factor in the production of a radiograph
a. mA
b. seconds
c. kVp
d. generator phase
c. anterior; exhaling
during a barium enema exam, the enema tip should be inserted in the _____ direction initially and while the patient is ______
a. posterior; exhaling
b. posterior; inhaling
c. anterior; exhaling
d. anterior; inhaling
b. linear threshold
the curve below represents a ______ relationship
a. linear nonthreshold
b. linear threshold
c. linear quadratic
d. linear stochastic
a. less than 1%
the voltage ripple of a high frequency generator is
a. less than 1%
b. 12%
c. 50%
d. 100%
c. metformin
which of the following medications should be withheld from patients who have diabetes on the day of their iodinated contrast study and for at least 48 hours afterward to avoid the potential development of lactic acidosis?
a. lasix
b. insulin
c. metformin
d. benadryl
a. x-rays have mass
which of the following is NOT a property of x-rays?
a. x-rays have mass
b. x-rays can interact with matter
c. x-rays can act like a particle
d. x-rays are electrically neutral
b. 20-30 degrees
for a lateral projection of the knee, the patient's leg is flexed
a. 5-10 degrees
b. 20-30 degrees
c. 40-45 degrees
d. 90 degrees
b. skin erythema
______ is a short term somatic effect of radiation exposure
a. cataract formation
b. skin erythema
c. leukemia
d. hereditary alteration
b. a hat or cap, shoe covers, mask
to enter an operating room, a technologist MUST be wearing surgical scrubs and....
a. a sterile gown, gloves and a hat or cap
b. a hat or cap, shoe covers, mask
c. a mask, sterile gloves and gown
d. hat or cap and shoe covers
b. carpal canal
the tangential projection (Gaynor-Hart Method) of the wrist evaluates the
a. carpal bridge
b. carpal canal
c. trapezium
d. styloid tip of the radius
c. technologists do not have to place it into the field
the advantage of the DAP meter as a dose measuring device is
a. it measures dose at the level of the collimator
b. the DAP meter terminates exposure after a certain dose is reached
c. technologists do not have to place it into the field
d. regular calibration is required
a. voltage
there must be ______ for current to flow
a. voltage
b. a vacuum
c. resistance
d. potential capacitance
c. health insurance portability and accountability act
HIPAA stands for
a. health insurance property and accountability act
b. health insurance portability and accuracy act
c. health insurance portability and accountability act
d. health insurance patient accountability act
b. coherent
_____ scattering is another term for classical scatting
a. compton
b. coherent
c. characteristic
d. photoelectric
b. shows separation of the acromioclavicular joint space
the benefit of obtaining an image of the acromioclavicular joints with weights is that the addition of weights
a. shows separation of the sternoclavicular joint space
b. shows separation of the acromioclavicular joint space
c. enhances to appearance of metastatic disease
d. increases the spatial resolution of the image
a. proximal interphalangeal
the central ray is directed to the _____ joint when performing a lateral projection of the 4th toe
a. proximal interphalangeal
b. distal interphalangeal
c. metatarsophalangeal
d. tarsometatarsal
d. pocket ion chamber
personnel cumulative radiation monitoring is NOT performed with a(n)
a. film badge
b. thermoluminescent dosimeter badge
c. optically stimulated luminescence badge
d. pocket ion chamber
d. 100 degrees
the average temporal artery temperature for a patient is
a. 97 degrees
b. 98.6 degrees
c. 99.5 degrees
d. 100 degrees
c. anorectal angle
defecography is used to measure and study the
a. length of the transverse colon
b. angles of the right and left colic flexures
c. anorectal angle
d. length of the sigmoid colon
a. an assisted standing pivot transfer
a 70 year old man is schedules for pelvis radiography. he is in a wheelchair and the patient tells the technologist that he can move from the wheelchair to the table with the radiographer's assistance. this type of transfer is called
a. an assisted standing pivot transfer
b. a standby assist transfer
c. the 2 person lift
d. hydraulic lift assist
c. voiding cystourethrogram
a(n) _____ is MOST helpful in demonstrating suspected vesicoureteral reflux
a. intravenous urogram
b. cystogram
c. voiding cystourethrogram
d. retrograde urogram
b. compton
the formula Ei = Es + (Eb + EKE) is for calculating the energy of a scattered photon created during a(n) _____ scattering interaction
a. unmodified
b. compton
c. coherent
d. classical
c. OID
______ is the MOST important factor in controlling size distortion
a. focal spot size
b. SID
c. OID
d. exposure time
d. determine unresponsiveness
the first step in cardiopulmonary resuscitation (CPR) is to
a. perform rescue breathing
b. position the patient
c. use the automated external defibrillator (AED)
d. determine unresponsiveness
a. 0.25mm
the minimum lead equivalent for lead gloves is
a. 0.25mm
b. 0.50mm
c. 0.75mm
d. 1mm
c. 2 and 3
a 55 year old woman is in the radiology department for a barium enema. she is anxious about the examination and says that she heard it is "painful and horrible". the technologist should communicate with the patient by
1. using medical and technical terminology when explaining the procedure
2. keeping explanations simple and truthful
3. using eye contact and an empathetic tone when explaining the procedure
a. 1 and 2
b. 1 and 3
c. 2 and 3
d. 1, 2 and 3
c. chest tube
which of the following is NOT a means of delivering oxygen to a patient?
a. nasal cannula
b. mechanical ventilator
c. chest tube
d. non-rebreathing mask
c. patient motion
_____ is the primary cause of decreased spatial resolution on radiographs
a. failure to use a grid
b. incorrect milliampere-seconds
c. patient motion
d. improper kilovoltage peak selection
a. to drink plenty of fluids to keep the barium moving through the colon to avoid impaction
when a patient has just had a barium enema and is preparing to leave the examination room, the patient should be told
a. to drink plenty of fluids to keep the barium moving through the colon to avoid impaction
b. the preliminary results of the examination by the technologist
c. to resume the prep instructions for 1 more day to expel the barium from the colon
d. that bed rest for the remainder of the day is recommended
c. an electric field is applied to the array
charges separate in amorphous silicon when
a. light interacts with the array
b. the charge coupled device activates the array
c. an electric field is applied to the array
d. the capacitor is activated
c. indirect contact
the _____ mode of transmission spreads pathogens through contaminated objects such as a patient's belongings
a. direct contact
b. endogenous
c. indirect contact
d. vector
b. SID and focal spot size
which of the following affect the spatial resolution of an image?
a. mAs and OID
b. SID and focal spot size
c. kVp and mAs
d. tube angle and kVp
a. increase spatial resolution
the selection of a small focal spot size helps to
a. increase spatial resolution
b. minimize motion blur
c. decrease entrance skin exposure
d. increase contrast resolution
a. flat panel
the _____ detector consists of a thin film transistor array
a. flat panel
b. PSP
c. CCD
d. complementary metal oxide semiconductor
b. radiology exam room
a technique chart needs to be established for each
a. radiographer
b. radiology exam room
c. radiologist
d. patient
c. pivot
the atlantoaxial joint between the dens of the axis and the anterior arch of the atlas is a(n) _____ joint
a. ellipsoidal
b. gliding
c. pivot
d. saddle
a. a single phase generator
minimizing patient exposure can be accomplished by using all of the following EXCEPT
a. a single phase generator
b. added tube filtration
c. beam restriction
d. low mAs settings
d. 1, 2 and 3
which of the following image artifacts will appear as an area of increased brightness
1. nasogastric tube
2. swan-ganz catheter
3. IV port
a. 1 and 2
b. 1 and 3
c. 2 and 3
d. 1, 2 and 3
a. Cd/m2
which of the following is the unit of measure for display monitor luminance?
a. Cd/m2
b. mGy/s
c. Lp/mm
d. Lines/cm
d. windowing
_______ is the local processing function of renumbering pixel values for an entire image domain
a. the look up table
b. the histogram
c. equalization
d. windowing
d. collimation
which of the following is a type of primary shielding?
a. lead apron
b. shadow shield
c. shaped contact shield
d. collimation
c. most adverse reactions are associated with radiolucent contrast agents
which of the following statements is FALE regarding adverse reactions to contrast media?
a. technologists are responsible for recognizing signs and symptoms of an adverse reaction
b. technologists should have adequate knowledge of how to treat any adverse reaction
c. most adverse reactions are associated with radiolucent contrast agents
d. adverse reactions should be thoroughly documented in the patient's chart
c. kinetic energy transferred
which of the following BEST describes the term air kerma?
a. weighted for tissue type
b. absorbed dose
c. kinetic energy transferred
d. equivalent dose
a. adding contrast medium
minimizing patient exposure occurs when all of the following EXCEPT _____ are done
a. adding contrast medium
b. reducing the mAs
c. adding filtration
d. reducing the OID
c. 2 hours
a small bowel series on a patient with normal intestinal motility usually is completed within approximately
a. 10 mins
b. 30 mins
c. 2 hours
d. 4 hours
d. CT
the greatest source of medical radiation exposure in the US is
a. radiography
b. interventional fluoroscopy
c. nuclear medicine
d. CT
b. 15-20 degrees
the neck of the femur is angled anteriorly from the femoral body by approximately
a. 5-10 degrees
b. 15-20 degrees
c. 30-40 degrees
d. 40-60 degrees
b. decrease; increase
decreasing the kVp will ____ receptor exposure and _____ contrast
a. decrease; decrease
b. decrease; increase
c. increase; decrease
d. increase; increase
a. bodies
the _____ of the thoracic vertebrae articulate with the heads of the ribs
a. bodies
b. laminae
c. pedicles
d. transverse processes
c. cathode
the negative side of the x-ray tube is known as the
a. anode
b. focusing cup
c. cathode
d. rotor
d. air emboli
what type of complication can occur with the administration of negative contrast agents
a. shock
b. seizures
c. congestion
d. air emboli
d. increasing kVp does not affect the keV of the interaction
how does an increase in kVp affect the keV of the characteristic interaction?
a. increasing kVp slightly increases keV
b. increasing kVp decreases keV
c. doubling kVp doubles keV
d. increasing kVp does not affect the keV of the interaction
d. high level control fluoroscopy
all of the following are techniques and procedures designed to reduce occupational dose during fluoroscopy, EXCEPT:
a. intermittent activation of views
b. optimizing dose rates using AEC
c. remote-controlled fluoroscopy
d. high level control fluoroscopy
b. mid-scapular area
when positioning the patient for an AP projection of the scapula, the central ray should pass through the _____ which is located about 2 inches inferior to the coracoid process
a. medial border of the scapula
b. mid-scapular area
c. acromion process
d. inferior angle of the scapula
a. T7; MCP
for a lateral projection of the chest, the longitudinal central ray entrance level is _____ and the transverse entrance level is _____
a. T7; MCP
b. T7; MSP
c. MCP; T7
d. MSP; T7
a. self-actualization
the need for _____ is at the top of Maslow's hierarchy of needs
a. self-actualization
b. belonging and love
c. esteem
d. safety and comfort
b. frontal
which sinus group is within the red circle on this image?
a. ethmoidal
b. frontal
c. maxillary
d. sphenoidal

b. the left lung field is best displayed
AP oblique projections of the chest can be used when the patient is too ill for upright or prone positioning. when the patient is in a 45 degree LPO position
a. the right lung field is best displayed
b. the left lung field is best displayed
c. both lungs are well displayed
d. neither lung is well displayed
d. inverter
the _____ generator component converts DC current to high frequency AC
a. capacitor
b. rectifier
c. transformer
d. inverter
a. positive pressure switch
the fluoroscopic foot switch is a
a. positive pressure switch
b. negative pressure switch
c. toggle switch
d. variable resistor
c. AERC
the feature that maintains image quality at the lowest dose in fluoroscopy is abbreviated as
a. AEC
b. ABC
c. AERC
d. ATCM
c. target material
which of the following will NOT affect the effective focal spot size
a. filament size
b. anode angle
c. target material
d. actual focal spot size
d. 90 degree
during a mobile exam, the radiographer will receive the LEAST amount of scattered radiation when standing at a ____ angle to the patient
a. 15 degree
b. 30 degree
c. 45 degree
d. 90 degree
a. alpha particles
for a given dose of radiation, which of the following radiation types will yield the highest equivalent dose
a. alpha particles
b. beta particles
c. x-ray photons
d. all have the same equivalent dose
d. has a bifid tip
a typical cervical vertebra will have a spinous process that
a. is long and projects inferiorly
b. is thick and blunt
c. contains a foramen
d. has a bifid tip