1/204
Looks like no tags are added yet.
Name | Mastery | Learn | Test | Matching | Spaced | Call with Kai |
|---|
No analytics yet
Send a link to your students to track their progress
What portion of the kidney receives urine from several distal convoluted tubules?
collecting duct
Where are the kidneys relative to the peritoneal membrane?
retroperitoneal
Will decreasing the diameter of the afferent arterioles to the glomerulus increase or decrease the rate of glomerular filtration?
decrease
What is the vessel that supplies blood to the kidney called?
renal artery
At several places along the length of the kidney tubule, additional material is removed from the blood plasma by either active or passive transport. This process is called:
tubular secretion
Fertilization occurs when:
gamete nuclei fuse
Identify the indicated vessel.
renal artery

Identify the indicated vessel.
renal vein

Identify the indicated structure.
minor calyx

Identify the indicated structure.
renal column

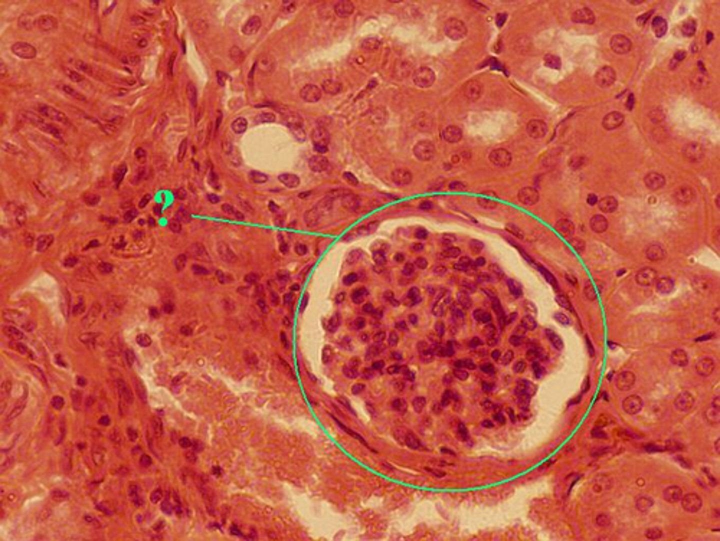
Identify the indicated structure in the kidney.
glomerulus

Identify the indicated structure in the kidney.
collecting duct

Identify the indicated region of the nephron.
glomerulus

Identify the indicated structure.
urinary bladder

Identify the indicated structure.
lactiferous sinus

Identify the indicated structure.
lobe

Identify the indicated structure.
urethra

Identify the indicated structure.
mons pubis

Identify the indicated structure.
clitoris

Identify the indicated structure.
labia majora

Identify the indicated structure.
bulb of the penis

Identify the indicated structure.
anus

Identify the indicated structure.x#
ampulla of ductus deferens

Identify the indicated structure.
ejaculatory duct

Identify the indicated region of the (ovulated) follicle.
corona radiata

Identify the indicated type of follicle.
primary follicle

Identify the indicated region of the follicle.
zona pellucida

Identify the indicated structure.
glans penis

Identify the indicated structure.
prepuce

Identify the indicated opening.
external urethral orifice

Identify the indicated structure.
seminiferous tubule

Identify the indicated structure.
rete testis

Identify the indicated structure.
ductus deferens
OR
vas deferens

Identify the indicated structure.
uterosacral ligament

Identify the indicated structures.
fimbriae

Identify the indicated structure.
ureter

Identify the indicated region of the uterine tube.
infundibulum

Identify the indicated structure.
extraembryonic coelom

Identify the indicated structure.
chorionic villus

Identify the indicated structure.
chorionic villus

Identify the indicated structure.
amnion

Identify the indicated structure.
maternal blood vessels

Identify the indicated region of this structure.
inner cell mass

Identify the indicated region of the placenta.
myometrium

Identify the indicated vessels.
umbilical arteries

Identify the indicated vessels in the placenta.
fetal venules

How many functional ova are produced from each primordial follicle?
one
What structure does the follicle develop into after ovulation?
corpus luteum
During which period of life does spermatogenesis begin?
puberty
Identify the indicated organ.
testis

What type of epithelium is present in the thick segments of the Loop of Henle?
simple cuboidal
Will increasing the diameter of the efferent arterioles to the glomerulus increase or decrease the rate of glomerular filtration?
decrease
What is the vessel that drains blood from the kidney called?
renal vein
What portion of the renal tubule receives urinary filtrate from the glomerulus?
proximal convoluted tubule
The process of passing a portion of the blood plasma through the epithelium of the proximal portion of the nephron results in the initial stage of urine formation. This process is called:
glomerular filtration
A fertilized ovum is called a:
zygote
Identify the indicated vessel.
lobar artery

Identify the indicated vessel.
interlobular artery

Identify the indicated structure.
ureter

Identify the indicated layer of the kidney.
capsule

Identify the indicated region of the loop of Henle.
thick segment

Identify the indicated structure.
bulbourethral gland
OR
Cowper's gland

Identify the indicated structure.
testis

Identify the indicated structure.
seminal vesicle
OR
seminal gland
Identify the indicated type of follicle.
primordial follicles
OR
primary follicles

Identify the indicated type of follicle.
antral follicle
OR
vesicular follicle
OR
Graafian follicle

Identify the indicated type of follicle.
secondary follicle

Identify the indicated structure.
membranous urethra
OR
intermediate portion or the urethra

Identify the indicated structure.
spongy urethra

Identify the indicated opening.
external urethral orifice

Identify the indicated structure.
spermatic cord

Identify the indicated region of the epididymis.
body

Identify the indicated layer of the testis.
tunica vaginalis

Identify the indicated layer of the uterine wall.
perimetrium

Identify the indicated structure.
vagina

Identify the indicated structure.
cervix

Identify the indicated structures.
fimbriae

Identify the indicated structure.
amnion

Identify the indicated structure.
umbilical cord

Identify the indicated structure.
amnion

Identify the indicated structure.
amnion

Identify the indicated structures.
maternal blood vessels
("red worms")

Identify the indicated region of this structure.
trophoblast

Identify the indicated vessel.
umbilical vein

Identify the indicated region of the placenta.
stratum basalis

Identify the indicated structure.
umbilical cord

How many functional ova are produced from each primordial follicle?
one
What type of cells surround the oocyte within the follicle and produce estrogen?
granulosa cells
Is a spermatozoan diploid or haploid?
haploid
Identify the indicated organ.
epididymis

What hormone serves to increase sodium reabsorption at the expense of potassium ions?
aldosterone
What is the vessel that drains blood from the kidney called?
renal vein
What portion of the renal tubule receives urinary filtrate from the proximal convoluted tubule?
loop of Henle
At several places along the length of the kidney tubule, material that passed into the urinary filtrate are returned to the blood plasma by either active or passive transport. This process is called:
tubular reabsorption
A fertilized ovum is called a:
zygote
Identify the indicated vessel.
arcuate artery
(by the interlobar vein)

Identify the indicated region of the kidney.
hilus

Identify the indicated structure.
renal pelvis

Identify the indicated structure.
lactiferous duct

Identify the indicated structure.
adipose tissue
