1/294
Exam 2 of Parasitology is the Protists. Blue text is testable material, black text is general info or potential extra credit
Name | Mastery | Learn | Test | Matching | Spaced | Call with Kai |
|---|
No analytics yet
Send a link to your students to track their progress
Protists
Eukaryotes with a unicellular level of organization

Excavata (Flagellates)
Flagellum for locomotion during some life stages
Multiply via binary fission

Name this Protist and its defining features
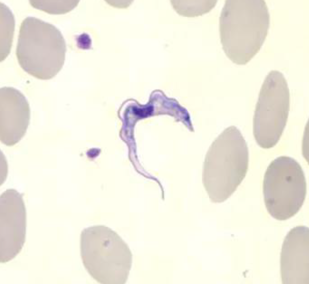
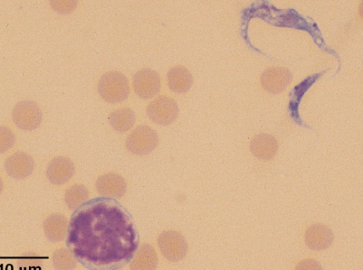
Protists > Excavata (flagellates) > Trypanosomatida (hemoflagellates)
Long, spindle-shaped cells with posterior flagellum
Single nucleus near a large mitochondrion (kinetoplast)
Salivarian transmission
Spread through bite of arthropod
Stercorarian transmission
Spread through contamination by arthropod feces
Describe a typical Trypanosome Life Cycle
Lives in an arthropod vector in a Flagellated stage (trypomastigotes/promastigotes)
Transmitted to mammalian host (i.e. during a blood meal)
Flagellated (Trypomastigotes) or nonflagellated (amastigotes) in mammalian host bloodstream, multiply by binary fission
Arthropod vector takes a blood meal

Trypanosoma brucei and T. congolense: vectored by, disease
Protists > Excavata (flagellates) > Trypanosomatida > Trypanosoma
Sub-Saharan African trypanosomes
Glossina (tsetse fly) vector, spread trypomastigotes through bite
Nagana disease in domestic ruminants: Fever, weakness, paralysis, weight loss, inappetance. Can be fatal
Trypanosoma brucei gambiense and T. brucei rhodiense cause what disease?
Protists > Excavata (flagellates) > Trypanosomatida > Trypanosoma
Causes African sleeping sickness (African Trypanosomiasis) in humans: Fever, rash, lymphadenomegaly, confusion
Glossina (tsetse fly) vector, spread trypomastigotes through bite
Trypanosoma vivax: vectored by, clinical signs
Protists > Excavata (flagellates) > Trypanosomatida > Trypanosoma
Sub-Saharan African trypanosomes
Disease of livestock in Africa and Latin America
Mainly spread through tsetse flies
Can cause hemorrhage, anemia, and wasting in cattle, sheep, and goats
How was Trypanosoma vivax transported from Africa to South America?
Transported to South America with a tabanid fly mechanical vector, deer reservoir
Trypansoma evansi: vectored by, disease and clinical signs
Protists > Excavata (flagellates) > Trypanosomatida > Trypanosoma
Mechanical transmission by tabanids
Causes surra disease in domestic animals such as horses and cattle
Fever, weakness, lethargy, weight loss, anemia, edema, lymphadenomegaly, icterus, ataxia
Can be especially fatal in horses and camels


Name the disease associated with these clinical signs and the Trypanosome that causes it
Trypanosoma equiperdum
Dourine disease: Swelling of genitalia and mucoid discharge, depigmentation, flattened plaques on skin
Chronic emaciation, fever, death. Ocular disease and anemia can occur. Can cross blood brain barrier, leading to neurologic signs → High fatality rate
How is Trypanosoma equiperdum vectored and transmitted?
No vector required (easily spreads geographically)
Transmission via direct sexual contact
Protists > Excavata (flagellates) > Trypanosomatida > Trypanosoma
Diagnosis and Treatment of Dourine disease
Diagnosis: Parasite predominantly lives in tissues, and does not circulate in high numbers in blood. Organisms difficult to find in secretions → Low numbers found in urethral or vaginal mucus, genital fluids, or exudates from mammary glands
Serology can be helpful to support clinical suspicion
Treatment: No approved treatments
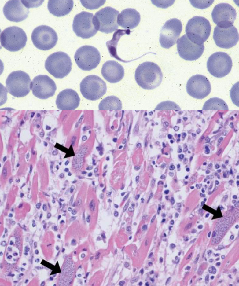
Trypanosoma cruzi causes what disease?
Chagas disease
Trypanosoma cruzi is distributed where in the world?
Texas, Arizona, New Mexico, California, Oklahoma, South and Central America
Protists > Excavata (flagellates) > Trypanosomatida > Trypanosoma
Trypanosoma cruzi is vectored by what and what is the mode of transmission?
Vectored by triatomin/assassin bugs
Insects infected via ingestion of trypomastigotes circulating in host blood (Reservoirs include opossums, armadillos, rats, guinea pigs, cats, raccoons, and monkeys)
Trypomastigotes passed in insect feces that contaminate bite wound or conjunctiva (stercorarian transmission)
Besides stercorarian transmission, Trypanosoma cruzi can also be transmitted how?
Can also be transmitted transplacentally or through blood transfusion, and ingestion of bugs in blended juices
Where do Trypanosoma cruzi amastigotes multiply in host body?
Amastigotes multiply by binary fission in macrophages, neural cells, glial cells, cardiac and smooth muscle cells
Trypanosoma cruzi infections can cause what clinical signs? Can it infect people?
Causes lymphadenopathy and acute myocarditis
Pale mucous membranes, lethargy, ascites, hepatomegaly, splenomegaly, congestive heart failure
Yes humans can be infected: Fever, headache, fatigue, vomiting, diarrhea, swelling near bite wound


How is Trypanosoma cruzi infection diagnosed? Treatment?
Diagnosis: Trypomastigotes and amastigotes on blood smear or lymph node aspirates, serology, PCR, histopathology
Treatment: No approved treatment, Benznidazole possible (not available in U.S.)
Affected dogs often euthanized
Trypanosoma theileri: host, vector, pathogenic or nonpathogenic?
Protists > Excavata (flagellates) > Trypanosomatida > Trypanosoma
Worldwide distribution
Nonpathogenic in cattle
Spread via tabanid flies
Trypanosoma melophagium: host, vector, pathogenic or nonpathogenic?
Protists > Excavata (flagellates) > Trypanosomatida >
Worldwide distribution
Nonpathogenic in sheep
Spread by Melophagus ovinus (ked)

How can you differentiate between a pathogenic vs a nonpathogenic trypanosomes/trypomastigotes?
Nonpathogenic species are double the size of pathogenic species

This Phlebotomine sandfly can vector what protist? How are the flies infected?
Protists > Excavata (flagellates) > Trypanosomatida > Leishmania
Flies infected via ingestion of amastigotes in macrophages of host

Besides spread through phlebotomine sandfly bites, Leishmania spp. can also be transmitted via what methods?
Vertical transmission described in dogs in the U.S.
Transmission also via blood contamination or venereally
Leishmania zoonotic or not?
Is zoonotic
Leishmaniasis disease: what breed of dogs overrepresented?
Foxhounds overrepresented

Cutaneous leishmaniasis: clinical signs
Clinical disease associated with antibody response → Immune-mediated mechanisms lead to disease pathogenesis
Exfoliative dermatitis, generalized or localized to face, ears, or limbs
Nodular lesions on face, ulcers over ears, alopecia

Visceral leishmaniasis: clinical signs and why
Amastigotes in macrophages of host lead to lymphadenomegaly and splenomegaly
Onychogryphosis can occur
Parasites in bone marrow can cause decreased RBC and platelet numbers
Ocular disease can also develop
Renal disease, colitis, lameness, muscle wasting also reported

Name the medical term for this condition
Onychogryphosis = abnormal nail growth

How is Leishmaniasis diagnosed? Treatment?
Amastigotes in macrophages on FNAs of lymph nodes, spleen, bone marrow. Serology (can cross react with Trypanosoma cruzi), PCR, Clin Path findings: anemia, thrombocytopenia, hyperproteinemia, hyperglobulinemia, hypoalbuminemia
Treatment: Allopurinol, miltefosine
Treated dogs remain reservoirs for life

Metronidazole: effective against what, MOA, toxicity
Part of nitroimidazole class of drugs (Related drugs: tinidazole, ronidazole, benznidazole)
Only metronidazole and tinidazole available in U.S.
Works by interacting with protozoal DNA, causing loss of helix structure and strand breakage
Effective against Trichomonas, amoebae, and Giardia spp.
FDA-approved for treatment of giardiasis in dogs
Also effective against some anaerobic bacteria (ex. Clostridium)
Can cause neurotoxicity in dogs at high doses → Ataxia, nystagmus, seizures, tremors, weakness
Extralabel use of nitroimidazoles is prohibited in food-producing animals in the US
Practice Question: What is the definition of stercorarian transmission?
Answer = Transmission through arthropod fecal contamination

Practice Question: How is this infection acquired?
Answer = Sexual contact with another infected host
Practice Question: Which is true regarding Trypanosoma cruzi?
Answer = Parasite can result in human infection
Practice Question: Which breed of dog is overrepresented for Leishmania infection in the US?
Answer = Foxhound
Practice Question: Which of the following is a potential side effect of metronidazole administration in dogs?
Answer = Ataxia

Trichomonads: morphologic characteristics, transmission
Protists > Excavata (flagellates) > Trichomonadida (mucosoflagellates)
Pear-shaped organisms
Single nucleus, rod-like axostylein posterior end
3-5 anterior flagella, one trailing flagellum
No environmentally resistant cyst stage
Transmission via infective trophozoite stages

Name this protist: where it is found in host, mode of transmission
Protists > Excavata (flagellates) > Trichomonadida > Tritrichomonas > Tritrichomonas foetus
Worldwide distribution
Found in reproductive tract of male and female cattle, and macerated fetuses
Infection not evident in males
Transmission during copulation
Infected bulls should be culled
Tritrichomonas foetus infection can result in what in cattle?
Results in infertility, abortion, fetal mummification, and pyometra
Often fetal loss in early gestation and return to estrus
After copulation, how long will Tritrichomonas foetus organisms be present in vaginal secretions?
Infected cows will have organisms in vaginal secretions first 2-3 weeks after copulation
How long should infected cows be sexually rested?
Infected cows should be given sexual rest for 4 months, after which trophozoites disappear
Less than 1% of infected cows become chronic carriers
Tritrichomonas foetus: diagnosis and treatment
Diagnosis: InPouch culture kit of preputial flush, PCR of penile scrapings or uterine/cervical fluid
No treatment available currently
Vaccine available, but not reliable

Name this protist: where does it live in the host?
Protists > Excavata (flagellates) > Trichomonadida > Tritrichomonas blagburni
Lives in large intestine of cats
Common in catteries and purebred cats
Can rarely occur in dogs
Tritrichomonas blagburni: mode of transmission, clinical signs
Likely fecal-oral spread
Causes chronic diarrhea and fecal incontinence in cats younger than 2 years
Many cats are asymptomatic
Most cats with Tritrichomonas blagburni infections have _____ of their diarrhea
spontaneous resolution (Can take up to 2 years though)
Tritrichomonas blagburni: diagnosis and treatment
Diagnosis: Trophozoites in fecal smears, InPouch culture, PCR. Fecal smears may miss low-level infections, InPouch culture improved sensitivity
No approved treatments → Off label ronidazole or metronidazole
Treatment failures common

Name the protist that causes this condition
Protists > Excavata (flagellates) > Trichomonadida > Histomonas
> Histomonas meleagridis
Histomonas meleagridis: where it lives in host
Lives in cecum and liver of turkeys, chickens, pheasants, and guinea fowl
Histomonas meleagridis: vectored by, transmission
Spread via nematode vector, Heterakis gallinarum
Birds infected via ingestion of nematode eggs in environment or earthworms containing nematode larvae
Histomonas meleagridis released from nematode larvae

Histomonas meleagridis: clinical disease
Histomonas migrate from cecal lumen to cecal wall and liver → Causes severe inflammation and necrosis in liver and cecum
High mortality in turkeys, low mortality in chickens (Raise turkeys and chickens apart)
No approved treatments (Ronidazole has been used effectively)

Name this protist: defining morphologic features
Protists > Excavata (flagellates) > Diplomonadida (mucosoflagellates) > Giardia
Tear-drop shaped trophozoites with two nuclei with large endosomes
Adapted for attachment to mucosa with sucking discs
Giardia: host, location in host, mode of transmission
Common intestinal commensal organism of dogs, cats, rodents, amphibians, birds, humans, etc.
Infection via oral ingestion of cysts in fecal-contaminated water, food, or fomites
Cysts can survive for months in the environment
Giardia cysts contain ___ trophozoites
Two
Are Giardia trophozoites or cysts the infectious form?
Cysts
Trophozoites can be passed in diarrheic feces but not considered infectious. Cysts are immediately infectious when passed
Giardia Assemblage A & B
Humans
Assemblage A shared by humans and some animals, but different subtypes, so zoonosis uncertain
Human infections primarily from other humans, dog to human transmission considered rare
Human assemblages have been found in dog fecal samples
Chinchillas have a high occurrence of Assemblage B, which affects humans
Giardia Assemblage C & D
Dogs
Giardia Assemblage E
Hoof stock (cattle, sheep, goats, pigs, horses)
Giardia Assemblage F
Cats
Giardia Assemblage G:
Rats
Giardia Assemblage H
Seals
Giardiasis: clinical signs
Trophozoites attach to and damage enterocytes in small intestine
Dogs and cats may develop mucoid diarrhea, but association not proven. Dogs may be subclinical. Puppies and debilitated dogs more likely to develop diarrhea
Humans can be asymptomatic or develop diarrhea, or irritable bowel syndrome
Calves can develop chronic diarrhea
Lambs have decreased weight gain

Giardia: Diagnosis
Diagnosis difficult due to intermittent shedding
SNAP Giardia test (ELISA)
Cysts on direct smear or fecal flotation with zinc sulfate “Falling leaf” motility
Iodine stain can aid in identification
Trophozoites may be present in wet mounts of diarrheic patients
PCR available
Giardia: Treatment, questions to consider
Consider if treatment is necessary: Is the dog experiencing clinical signs? Are there immunosuppressed individuals? Are there other animals that might be at risk?
Non-symptomatic patient with zoonotic assemblages should be treated. Non-symptomatic patients with non-zoonotic assemblages may not require treatment
In Dogs: If symptomatic, consider treatment with metronidazole, fenbendazole, or albendazole (bone marrow toxicosis possible)
Environmental decontamination such as bathing the animal and removing fecal matter are important
No approved treatments in Cats or Livestock

Benzimidazoles: examples of, MOA
Class of drugs, Dewormers, includes Albendazole, Fenbendazole, Febantel
Also useful against helminths
MOA: damages adhesive disc and microtubule cytoskeleton
Albendazole: effective against, side effects
More effective against against Giardia spp. than metronidazole
Available as oral suspension and paste
Can result in aplastic anemia due to myelosuppression in humans, dogs, and cats
Other side effects: Abortion, teratogenicity, anorexia, depression, ataxia, vomiting, diarrhea
Fenbendazole: safe for use in?, side effects
Available as paste and granules
Considered safe for use in pregnant animals, few side effects
One of the few drugs approved for use in zoo animals (ex. big cats, bears, wild ungulates)
Practice Question: How is Tritrichomonas transmitted between hosts?
Answer = Transmission during copulation
Practice Question: Which of the following is true regarding Tritrichomonas blagburni in cats?
Answer = Cats can spontaneously recover without treatment
Practice Question: Which is an organ system affected in turkeys by histomoniasis?
Answer = Liver
Practice Question: What is the infectious form of Giardia that is passed into feces?
Answer = Cysts
Practice Question: Which of the following is a potential side effect of albendazole administration?
Answer = Myelosuppression

Alveolates
Protists > SAR (Alveolates)
Large group encompassing many protists of veterinary importance
External surface covered with alveoli
Includes groups: Ciliates, Apicomplexa
Ciliates: morphologic characteristics
Covered with cilia, One macronucleus and one micronucleus
Apicomplexa: common name
Apicomplexa (“coccidians”): Often intracellular parasites, Apical complex in some life stages

Name this Alveolate: where it lives, hosts
Protists > SAR > Ciliophora (Ciliates) > Neobalantidium > Neobalantidium coli
Commensal organism of intestine in pigs, rats, primates, and humans
Reproduced by fission
Forms large cysts that pass in feces, Cysts are ingested in contaminated food and water
Pigs can act as reservoir for infection in humans

Neobalantidium coli: Disease
Usually harmless to pigs and humans
Can occasionally cause ulceration in human large intestine with diarrhea, Some pigs can experience diarrhea

Neobalantidium coli: Diagnosis
Cysts and motile trophozoites diagnosed in fecal smears
Cysts can be detected in fecal flotations
Zoite
Banana-shaped life stage
Oocyst
Environmentally resistant form passed in feces
Sporozoite
Infective forms found in oocysts
Merozoites/schizozoites
asexual reproductive forms
Tachyzoites
Rapidly dividing forms
Bradyzoites
Slowly dividing forms

Apicomplexa Life Cycle: Fill in the blank
Sporulated oocyst (ingested by host)
Sporocyst
Sporozoite (enter epithelial cells, mature to trophozoites in cells)
Schizont
Schizogony (trophozoites develop to schizonts via asexual reproduction)
Schizozoite (schizonts rupture, schizozoites invade new cells and continue dividing)
Microgamont (schizozoites develop to micro/macrogamonts)
Gametogony (microgametes fertilize macrogametes to form zygotes)
Macrogamont
Zygote (zygotes develop to oocysts)
Unsporulated Oocyst
Sporogony (oocysts shed in feces undergo sporulation in environment)

Name this Apicomplexa
Protists > SAR > Apicomplexa > Gregarines > Cryptosporidium
Cryptosporidium: Oocysts contain ____ sporozoites
4
Cryptosporidium: Oocysts are _____ infective when passed
Immediately
Cryptosporidium: where do sporozoites released from oocysts invade in the host?
Cells in microvillous border
Cryptosporidium: can cause _____infection
Oocysts can excyst before leaving the host leading to autoinfection
Cryptosporidium: Prepatent period
Short, 2-7 days in calves
Cryptosporidium parvum: host?
Calves younger than 30 days
Also in sheep, goats, and horses
Common zoonotic species
Cryptosporidium ryanae: host?
Calves up to 1 year of age
Cryptosporidium bovis: host?
Adult cows
Cryptosporidium andersoni
All ages of cattle, present in abomasum
Cryptosporidium: Disease
Often asymptomatic
Can develop diarrhea in cattle, usually due to C. parvum
Can develop mild diarrhea with C. andersoni

Cryptosporidium: Diagnosis
Colorless, transparent, and small oocysts (4-8um) on fecal flotations
Oocyst walls appear with pinkish hue
Cryptosporidium: Best solution for fecal flotations?
Sucrose
Cryptosporidium: Treatment
No specific effective treatment licensed in U.S.
Nitazoxanide, paromomycin, tylosin, azithromycin all used in U.S
Halofuginone lactate approved for prophylactic treatment in Canada and E.U.