1/130
Looks like no tags are added yet.
Name | Mastery | Learn | Test | Matching | Spaced | Call with Kai |
|---|
No analytics yet
Send a link to your students to track their progress
PA Skull part position
OML perpendicular to IR
PA Skull central ray
Perpendicular exiting nasion
PA Skull collimation
10x12
PA Skull evaluation
Petrous ridges filling orbits
PA Axial (Caldwell) part position
OML and MSP perpendicular to IR
PA Axial (Caldwell) central ray
15 degrees caudal exiting nasion
PA Axial (Caldwell) collimation
10x12
PA Axial (Caldwell) evaluation
Petrous ridges in lower third of orbits
AP Axial (Towne) part position
Flex neck down placing OML or IOML perpendicular to IR
AP Axial (Towne) central ray
Enters 2.5 inches above glabella, 30 degrees caudal (OML) or 37 degrees caudal (IOML)
AP Axial (Towne) evaluation
Entire cranium, dorsum sellae and posterior clinoid processes within foramen magnum
PA Axial (Haas) part position
OML perpendicular to IR
PA Axial (Haas) central ray
25 degrees cephalad exiting 1.5 inches superior to nasion
PA Axial (Haas) evaluation
Dorsum sellae and posterior clinoids within foramen magnum
Lateral Skull part position
IPL perpendicular to IR, skull in true lateral
Lateral Skull central ray
Entering 2 inches superior to EAM
Lateral Skull collimation
10x12
Lateral Skull evaluation
Superimposed orbital roofs and mandibular rami
SMV Skull part position
Extend neck placing IOML parallel with IR
SMV Skull central ray
Perpendicular entering 1 inch anterior to EAM MSP
SMV Skull evaluation
Mandibular condyles anterior to petrous pyramids
Waters (Parietoacanthial) part position
MML perpendicular to IR and OML 37 degrees from IR
Waters central ray
Horizontal exiting acanthion
Waters collimation
8x10
Waters evaluation
Petrous ridges inferior to maxillary sinuses
The waters view demonstrates the
Maxillary sinuses
Open Mouth waters part position
Same as Waters; mouth open
Open Mouth waters central ray
Horizontal exiting acanthion
Waters Open Mouth sinus demonstrates ___
Sphenoid sinus
PA Axial Sinus (Caldwell) part position
OML perpendicular to IR
PA Axial Caldwell Sinus central ray
15 degrees caudal exiting nasion
PA Axial Sinus collimation
6x6
PA Axial Sinus evaluation
Petrous ridges in lower third of orbits
PA Axial Sinus sinus demonstrates…
Frontal sinuses
Caldwell Horizontal Beam part position
OML angled 15 degrees caudal from IR
Caldwell Horizontal Beam central ray
Horizontal exiting nasion
Caldwell Horizontal Beam purpose
Air fluid levels
Lateral Sinus part position
True lateral, IPL perpendicular to IR
Lateral Sinus central ray
0.5-1.5 inches posterior to outer canthus
Lateral Sinus collimation
6Ă—6
Lateral Sinus evaluation
Superimposed orbital roofs and all sinuses

What view is this?
PA skull

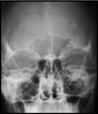
What view is this?
PA Axial (Caldwell) skull

What view is this?
AP Axial (Towne) skull

What view is this?
Lateral skull

What view is this?
Lateral skull

What view is this?
SMV

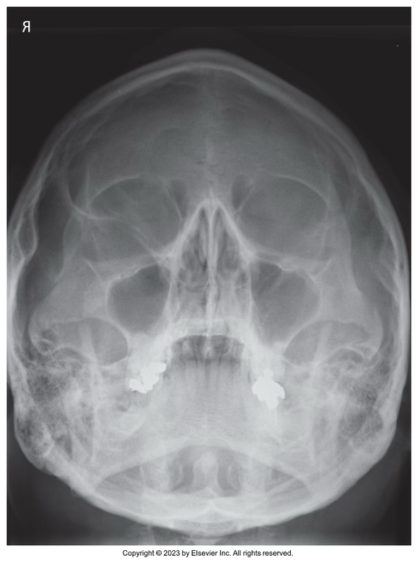
What view is this?
Waters

What view is this?
Open mouth waters

What view is this?
PA Axial Caldwell sinus

What view is this?
Caldwell horizontal beam

What view is this?
Lateral sinus
Waters part position
Chin on bucky, OML 37 degrees from IR
Waters central ray
Horizontal, exiting acanthion
Waters facial bones/orbits collimation
8x10
Modified Waters part position
AML perpendicular to IR, OML 55 degrees to IR
Modified Waters central ray
Horizontal, exiting acanthion
Modified Waters collimation
Skin line to skin line
Caldwell facial (PA Axial) bones part position
OML perpendicular to IR, tuck in chin
Caldwell facial bones (PA Axial) central ray
15 degrees caudal, exiting nasion
Caldwell facial bones collimation
8x10
Lateral facial bones patient position
Affected side toward IR
Lateral facial bones part position
IOML parallel to IR
Lateral facial bones central ray
Enters lateral surface of zygomatic bone
Lateral facial bones collimation
6x10
Waters orbits part position
Same as facial bones Waters
Waters orbits central ray
Horizontal, exiting acanthion
Modified Waters orbits part position
OML forms 55 degrees to IR, AML perpendicular to IR
Modified Waters orbits central ray
Horizontal, exiting acanthion
Modified Waters orbits collimation
8x10
PA axial orbits part position
OML perpendicular to IR
PA axial orbits central ray
25 degrees caudal, exiting acanthion
PA axial orbits collimation
6x6
Lateral nasal bones part position
IPL perpendicular to IR, IOML parallel to IR
Lateral nasal bones central ray
0.5 inch inferior to nasion
Lateral nasal bones collimation
3x3
AP axial (Towne) mandible part position
Depress chin so that OML is perpendicular to IR, use IOML if needed
AP axial (Towne) mandible central ray
35 degrees caudal (OML) or 42 degrees caudal (IOML), centered to glabella
AP axial (Towne) mandible collimation
10x12 portrait
PA mandible part position
OML is perpendicular to IR
PA mandible central ray
Exiting acanthion
PA mandible collimation
8x10
Axiolateral oblique mandible part position
Rotate head 30 degrees toward IR until body of mandible is parallel to IR
Axiolateral oblique mandible central ray
25 cephalic, 1-2 inches inferior to gonion
Axiolateral oblique mandible collimation
8x10
IAC Stenvers part position
MSP 45 degrees to IR, affected side of face touching IR
IAC Stenvers central ray
12 degrees cephalic, 1 inch anterior to downside EAM
IAC Stenvers collimation
8x10
Axiolateral oblique TMJ (Modified law) part position
Cheek against bucky, MSP rotated 15 degrees toward IR, AML parallel to IR
axiolateral oblique TMJ (Modified law) central ray
15 degrees caudal, 1.5 inches superior to EAM
Axiolateral oblique TMJ (Modified law) collimation
5x5
Zygomatic SMV part position
Vertex on bucky, IOML parallel to IR
Zygomatic SMV central ray
Perpendicular to IOML, midway between gonions
Zygomatic SMV collimation
8x10 crosswise
Zygomatic tangential part position
Vertex on bucky, rotate 15 degrees toward affected side, tilt head 15 degrees away
Zygomatic tangential central ray
Perpendicular to IOML through zygomatic arch
Zygomatic tangential collimation
6x12
What is the degree difference between OML and IOML
7 degrees

What view is this?
Waters