Parasite Lab rev.1

0.0(0)
Studied by 2 people
call kaiCall Kai
learnLearn
examPractice Test
spaced repetitionSpaced Repetition
heart puzzleMatch
flashcardsFlashcards
GameKnowt Play
Card Sorting

1/35

flashcard set

Earn XP

Description and Tags

Last updated 4:00 PM on 3/6/23
Name
Mastery
Learn
Test
Matching
Spaced
Call with Kai

No analytics yet

Send a link to your students to track their progress

36 Terms

1
New cards
SARCODINA
*Entamoeba histolytica, E.coli, Iodamoeba butschlii*
2
New cards
Phylum Retortomonada
*Chilomastix mesnili, Giardia intestinalis*
3
New cards
Phylum Parabasalia
*Trichomonas vaginalis*
4
New cards
Phylum Euglenozoa
*Trypamosoma brucei, T.cuzi, T. lewisi*

*Leishmania*

Vectors- *Glossina, Phlebotomus, Rhodnius*
5
New cards
Phylum Dinoflagellata
*Noctiluca, Ceratium*
6
New cards
Phylum Apicomplexa
*Gregarina spp. Sarcocystis, Haemogregarina, Plasmodium vivax, P.falciparum*
7
New cards
Phylum Ciliophora
*Balantidium coli*
8
New cards
Phylum Myxozoa
*Myxobolus*
*Myxobolus*
9
New cards
*Entamoeba histolytica*
Trophozoite
Trophozoite
10
New cards
*Entamoeba histolytica*
Cyst
Cyst
11
New cards
*E.coli*
Trophozoite
Trophozoite
12
New cards
*E.coli*
Cyst
Cyst
13
New cards
*Iodamoeba butschlii*
Cyst
Cyst
14
New cards
*Chilomastix mesnili*
Trophozoite
Trophozoite
15
New cards
*Giardia Intestinalis*
Trophozoite
Trophozoite
16
New cards
*Giardia Intestinalis*
Cyst
Cyst
17
New cards
*Trichomonas vaginalis*
Trophozoite
Trophozoite
18
New cards
*Trypanosoma brucei*
Trypomastigote
Trypomastigote
19
New cards
*T.cruzi*
Trypomastigote
Trypomastigote
20
New cards
*T.lewisi*
Trypomastigote
Trypomastigote
21
New cards
*Leishmania*
Promastigote
Promastigote
22
New cards
*Leishmania*
Amastigote
Amastigote
23
New cards
*Glossina*
Tsetse fly- primary vector of Trypanosomes- T.*gambiense* and *T.rhodesiense*
Tsetse fly- primary vector of Trypanosomes- T.*gambiense*  and *T.rhodesiense*
24
New cards
*Phlebotomus*
*Leishmania* vector
*Leishmania* vector
25
New cards
*Rhodnius*
Trypanosome vectors-Chaga’s disease- African Kissing Bug-*T. cruzi*
Trypanosome vectors-Chaga’s disease- African Kissing Bug-*T. cruzi*
26
New cards
*Noctiluca*
Trophozoite
Trophozoite
27
New cards
*Ceratium*
Trophozoite
Trophozoite
28
New cards
*Balantidium coli*
Trophozoite
Trophozoite
29
New cards
*Balantidium coli*
Cyst
Cyst
30
New cards
*Gregarina spp.*
Trophozoite
Trophozoite
31
New cards
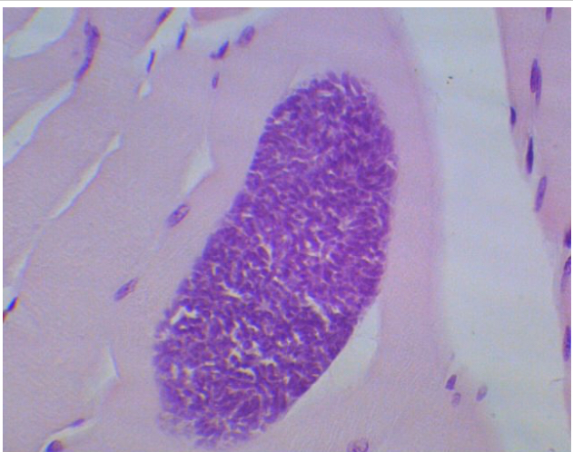
*Sarcocystis*
Zoitocyst
Zoitocyst
32
New cards
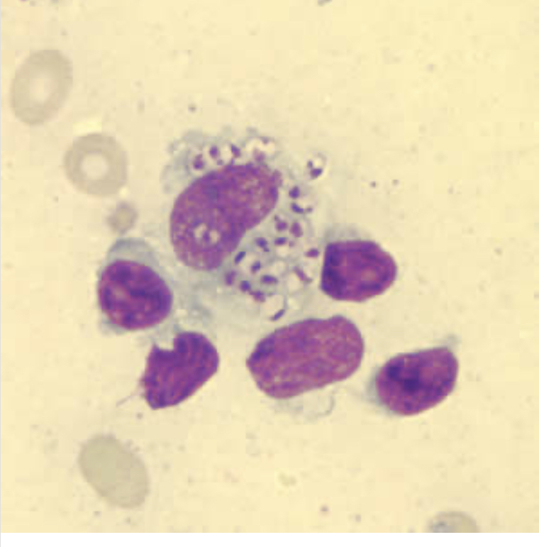
*Haemogregarina*
Gamont
Gamont
33
New cards
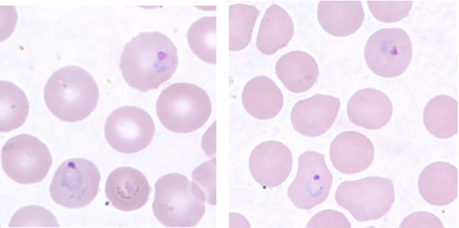
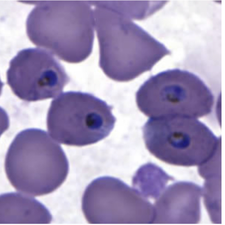
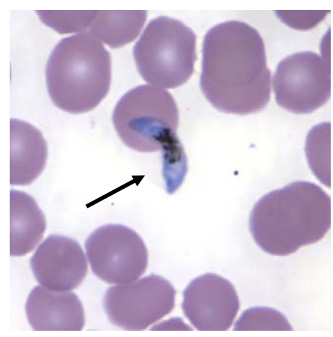
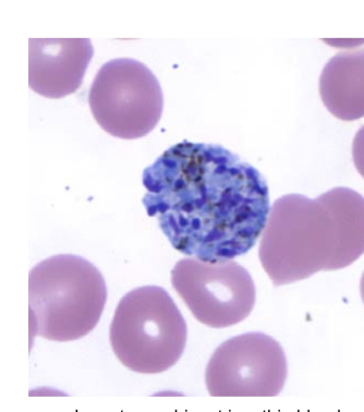
*Plasmodium vivax*
Trophozoite
Trophozoite
34
New cards
*Plasmodium vivax*
Schizont
Schizont
35
New cards
*P.falciparum*
Trophozoite
Trophozoite
36
New cards
*P.falciparum*
Gametocyte
Gametocyte