1/130
Looks like no tags are added yet.
Name | Mastery | Learn | Test | Matching | Spaced | Call with Kai |
|---|
No analytics yet
Send a link to your students to track their progress

Identify


Identify
what is located in here
what nerve is this correlated with?
Olfactory epithelium
receptors for sense of smell
olfactory nerve CNI


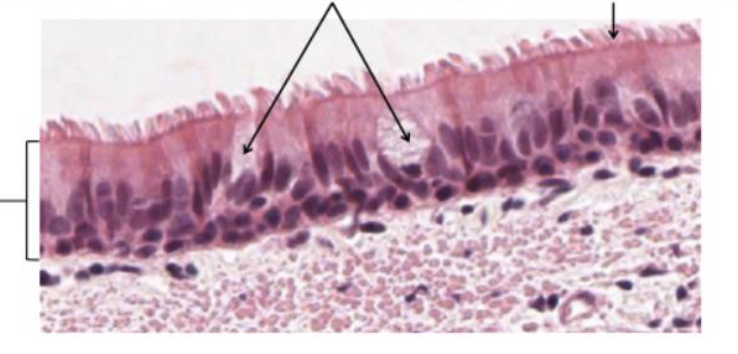
Identify the three
what does this make up?
respiratory tract epithelium




identify
ethmoid bone
roof of nasal cavity

Identify
Hard Palate
floor of nasal cavity

Identify
Nasal septum
medial wall of nasal cavity

Identify
Nasal Conchae
lateral walls of nasal cavity

Identify
Nares (nostrils)
anterior border of nasal cavity

nasopharynx opening = Choanae
posterior border of nasal cavity


Identify
what does it line
what is it composed of?
Olfactory epithelium
lines nasal cavity
composed of:
pseudostratified ciliated columnar epithelium
bipolar olfactory receptor neurons


IDENTIFY


Identify


Identify


Identify


Identify


Identify










Identify










Remember:
right bronchus is wider, shorter, and more verticle




Identify all parts
identify specific organ
Right lung


Identify all parts
identify specific organ
Left lung




Identify


Identify


Identify


Identify


Identify
what are the black arrows pointing at?
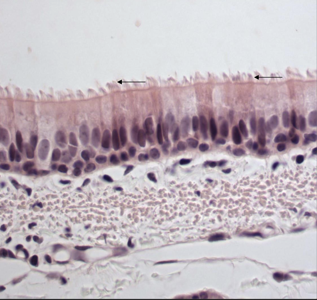
Respiratory tract epithelium
pseudostratified ciliated columnar epithelium
black arrows: cilia

Identify
RTE = respriatory tract epithelium
GI = glands
C = C-shaped cartilaginous rings
Tr M = trachealis muscle (smooth muscle)

Identify
C-shaped cartilaginous rings

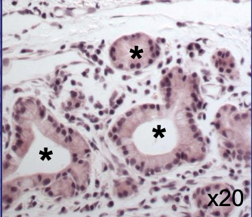
Identify
what is the asterisks
Submucosa
glands

what are the black arrows pointing at?
RTE

Identify
Olfactory epithelium
lines roof of nasal cavity

Identify


Identify


Identify


Identify


Identify




papillaie
projections/bumps on the tongue
can contain taste buds


identify from top to bottom
nasopharynx
oropharynx
laryngopharynx

palatine tonsils

Lingual tonsils

Pharyngeal tonsils

identify
esophagus







identify


top arrow: small intestine
bottom arrow: large intestine



Villus

































hilum







































Renal vein is anterior to renal artery






Renal Corpuscle
