1/38
Looks like no tags are added yet.
Name | Mastery | Learn | Test | Matching | Spaced | Call with Kai |
|---|
No analytics yet
Send a link to your students to track their progress
placement of suture outside of joint
what is involved in extracapsular reconstruction of CCL rupture

isometry
location of origin and insertion of extracapsular suture has significant effect on ____ of the joint

1. bone anchors
2. bone tunnels
what are some methods to secure extracapsular sutures

1. monofilament nylon or fishing/leader wire
2. manufactured orthopedic wire
3. braided orthopedic wire
what materials are often used in extracapsular sutures

alters biochemical properties of loop
what does crimping do to the suture as sutures are tied and connected

tightrope stabilization
what procedure is shown here

fascia lata in vest-over-pants pattern
true imbrication techniques are typically done in addition to another technique and are often performed by tightening ____
passive constraint
CCL functions as a _____ ____ to cranial tibial translation and internal rotation of tibia

calcanean (achilles) tendon
as the paw is loaded during weight bearing, there is a second force from the ____ to maintain tarsus stability

simultaneous force through patellar lig to stabilize the stifle
the vector force (parallel to patellar lig) in the tarsus + sum of wt. bearing force creates....

cranial tibial thrust force
when the slope of tibial plateau is NOT anatomically oriented perpendicular to patellar lig, it leads to ____

CCL
the cranial tibial thrust force is accommodated for in a normal animal by the ____

1. caudally directed slop of tibial plateau results in shear force
2. creates abnormal tibial translation in CCL deficient stifle
in terms of stifle mechanics when the tibia is loaded...

cranial tibial thrus/CTT
the shear component of compressive force is called ____ and is normally passively constrained by the CCL

slope of the tibial plateau
the CTT (cranial tibial thrust) is proportional to the ____

change tibial thrust from cranial proximal direction to neutral or caudal direction
the tibial plateau slope can be reduced in order to....

caudal cruciate ligament
the point where the tibial thurs changes direction to a caudal thrust will increase reliance on ___

1. tibial plateau slope of 5-7 degrees
2. work to control tibial thrust by forcing control to caudal cruciate lig. and active constraints of stifle via quadriceps
what is the intent of the tibial plateau leveling osteotomy (TPLO) sx.

internal rotation forces of the tibia
the CCL controls cranial rotation of the tibia as well as ____
medial/internal rotation of tibial due to failure to control internal rotation....TPLO procedure does not prevent this and an additional procedure (extracapsular suture) to prevent this
in a TPLO procedure, a "pivot shift" is referred to as....

long term rehabilitation and postoperative control is difficult
why did TPLO procedures become the preferred method for tx. larger active dogs

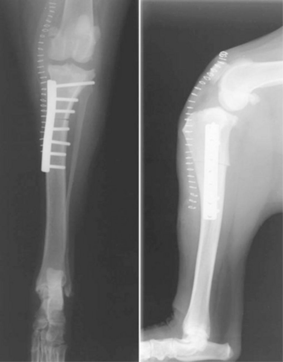
RADs of. TPLO dog to a slope of 5 degrees
what is shown here

complications of stifle extensor mechanism
the lower osteotomy of the tibial wedge osteotomy (TWO) procedure has concerns due to...

CCLP and increased TPA in young dogs with open proximal tibial physes...TWO WILL NOT AFFECT PHYSES DUE TO LOWER LOCATION
the tibial wedge osteotomy (TWO) procedure was designed for what dogs...

RADS for a (TWO) tibial wedge osteotomy dog
what is shown here

osteotomy of NWB portion of tibia to make tibial plateau 90 degrees to the patellar ligament to stabilize the stifle
general idea of the tibial tuberosity advancement (TTA) procedure **same general idea for TPLO**

TPLO
between the TPLO and TTA, which procedure may increase tension of patella ligament
postoperative patella ligament inflammation
The TTA has less _____ than the TPLO
1. place patellar lig. 90 degrees to slope of tibial plateau
2. advance insertion of tibial tuberosity in cranial direction
3. eliminate tibiofemoral shear and relieve function of CCL
biomechanics of the TTA procedure

reviewed
review the procedure for the TTA

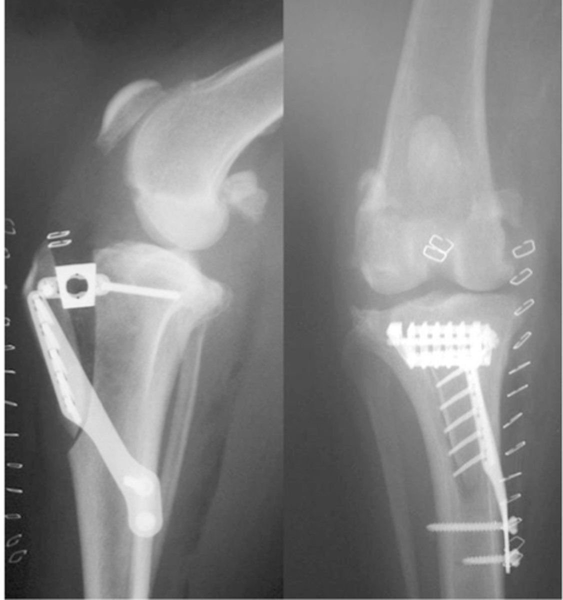
post-op RADS of TTA
what is shown here

CORA (CBLO) center rotation and angulation of tibia to correct angular limb deformity
what procedure is shown here

1. meniscus must be inspected by arthrotomy or arthroscopy
2. must ID tears (typically bucket handle) or trauma in meniscus
3. damage to caudal body of medial meniscus in 50-75% of patients with torn CCL
considerations for meniscus in sx. tx. of CCLR
caudal body of medial meniscus
damage to _____ occurs in 50-70% of patients with torn CCL
thorough evaluation for potential complications
patients with poor outcome following CCL repair need...

good
long term function for patients with CCL sx. is ___
85-90%
____ of dogs improve after CCLR sx.
DJD will progress regardless
despite CCLR sx....
1. decline in activity over time
2. increasing level of disability
3. adverse response to cold weather
4. stiffness after inactivity due to progress of DJD
long term outcomes of CCL sx.