1/97
Compiling of Prelab quiz questions
Name | Mastery | Learn | Test | Matching | Spaced | Call with Kai |
|---|
No analytics yet
Send a link to your students to track their progress
Which of the components of the micropipette is specifically involved in drawing and dispensing liquids?
The plunger
Which component of the micropipette is adjusted based on the volume of liquid to be transferred?
The volume-adjustment dial
Which of the following are procedures or techniques you will be specifically learning about during week 1? (select all that apply)
How to use a micropipette
How to calculate the concentration of a molecule in a solution
How to use a spectrophotometer

The label at the top of the push button of a micropipette is shown below. What does this value indicate?
The maximum amount of volume this micropipette can measure 100 µL

Would you use this pipette if you needed to measure 50 µL?
Yes
Which of the following pipettes would you use to pipette 9 µL? (select all that apply)
P10
P20
Which of the following pipettes would you use to pipette 100 µL?
P200

You grab a micropipette and observe the following numbers in the micropipette window. What is the volume you would measure if you used…
A. P20
B. 1000?
5.2 µL and 520 µL
In a spectrophotometer, when light is radiated towards a sample _____
Some of the molecules of the sample absorb light, decreasing the intensity of the light detected

Assume you created four serial dilutions of a compound that makes a solution turn from colorless to purple (see below). If you measured the absorbance of each of these 4 dilutions, which one do you expect will contain the lowest concentration of this compound?
Tube 3

If you set up the spectrophotometer at the correct wavelength to detect absorbance of this purple compound, which of the samples (tubes 1-4) do you expect will have the highest absorbance? Which one the lowest?
Tube 2 the highest and tube 3 the lowest
Why is a blank solution important when using a spectrophotometer? (select all that apply)
It serves as a reference point for all subsequent sample readings
It sets a zero baseline so only the absorbance of the sample is measured
It corrects for absorbance from the solvent, cuvette, or other reagents.
You are testing the absorbance of series of solutions where a dye has been dissolved in a solvent containing 50% ethanol and 50% water. What should you use as your blank?
50% ethanol + 50% water
Most enzymes are:
Proteins
The part of the enzyme where the substance binds is called the:
Active site
You are evaluating the rate of a specific reaction. After some time, you notice no more product is being produced. Which of the following statements could explain these observations?
All the substrate present was converted into product
What is the tissue source of the enzyme you will be analyzing in lab this week?
Turnip
During this week, you will be measuring the activity of an enzyme over time. How will you be obtaining that enzyme?
You will be obtaining a crude extract containing a mixture of enzymes
What is the substrate you will using to measure enzymatic activity in lab this week?
Hydrogen peroxide
How will you determine if the enzymatic reaction is occurring?
You will measure it indirectly. If the reaction is occurring, an indicator, known as guaiacol, will change color.
You want to determine if a reaction is occurring in an assay tube where you have mixed enzyme + product + substrate. Which of the following experiments could you set up to determine this? Select all that apply.
Measure the substrate consumed over time. If the amount of substrate decreases, the reaction is probably occurring
Measure the product released over time. If the amount of product increases, the reaction is probably occurring.
You and your lab partner are going to be designing an experiment to monitor the rate of a specific the reaction over time. Based on what you now know about setting up experiments and collecting accurate data, which of the following scenarios describes a good experimental set up, according to the instructions provided?
You collect at least 20 data points, measuring absorbance every 20 seconds, as it gives you enough time to check the values and record them.

You graph the data obtained from two different experiments that measure the velocity of a reaction (product/time). Which of data (orange data points or green data points) represent a lower reaction rate? Hint: think about the background information provided and what you are measuring.
Green data points

For this lab, you will need to prepare 3 mL of a solution containing guaiacol, enzyme extract, buffer and different amounts of substrate (H2O2 ). If the amounts of guaiacol and enzyme are maintained constant, how much buffer do you need to add to Tubes A and B?
2,050 µL of buffer to tube A and 1,750 µL of buffer to tube B
Assume that you need to prepare 3 mL of a solution containing 350 microliters of substrate. If the initial concentration of this substrate is 5 mM, what is the final concentration of this substrate in the 3mL solution?
0.58 mM
During this week, you will be calculating enzyme kinetic parameters (Vmax and KM) for peroxidase from turnip and hydrogen peroxide. To do this, you will be comparing the reaction rate of six different substrate concentrations. How many substrate concentrations is your group (you and your lab partner) going to be measuring?
1
You and your lab partner will calculate the rate of a reaction utilizing one single substrate concentration. However, your final graph (Michaelis-Menten and Lineweaver-Burk) require that you input the reaction rates of at least six different substrate concentrations. How are you going to obtain the rest of the data?
Each group is assigned a different substrate concentration, which will be reported using a google spreadsheet. You will use the data of that spreadsheet to do your graphs
During this week, you will be calculating enzyme kinetic parameters (Vmax and KM) for peroxidase from turnip and hydrogen peroxide. To do this, you will be calculating the velocity (reaction rate) at specific substrate concentrations. How is this week’s experiment different from last week's?
Last week your group decided the time intervals at which data was collected. This week everyone is using the same time intervals to collect data.

The following graphs represent the results of an enzyme kinetics experiment. Based on what was described in the prelab video (Week 3) and background information in your worksheet, which of the following is/are true about what Figures A and B are representing? Select all that apply
One of these graphs was created plotting [Substrate] versus [Velocity] while the other one was created plotting [1/Substrate] vs [1/Velocity]
Figure B represents the output of the Lineweaver-Burk Model

What kind of information do you need to collect in the lab in order to calculate Vmax and KM?
Substrate concentration vs reaction rate

You want to determine the reaction velocity (product/time) of a particular enzyme utilizing two different substrate concentrations and obtain the following data (see below). What are the reaction rates of these 2 experiments?
0.001 and 0.0015
In enzyme kinetics the rate of reaction when the enzyme is saturated with substrate is defined as ________, while the maximum number of substrate molecules that a single active site can convert into product per unit time is defined as ________.
Vmax, turnover number
Read the 3 paragraphs below and answer the following questions based on this material.
"The function of zebra stripes has been a source of scientific interest for over 150 years generating many hypotheses including camouflage, confusion of predators, signaling to conspecifics, thermoregulation and avoidance of biting flies but contemporary data show that only one stands up to careful scrutiny (Rugston, 2002)
There is an emerging consensus among biologists that the primary function of contrasting black and white stripes on the three species of zebras is to thwart attack from tabanids (horse flies), and possibly other biting flies based on laboratory and field experiments with striped materials and on comparative evidence (Waage, 1981., Egri et al., 2012). In Africa where zebras live, tabanids carry diseases fatal to zebras including trypanosomiasis, equine infectious anemia, African horse sickness and equine influenza and zebras are particularly susceptible to infection because their thin pelage allows biting flies to probe successfully with their mouthparts (Caro et al, 2012).
In this study we compare several measures of behaviour of wild tabanid horse flies around captive zebras and domestic horses living in the same habitat using direct observations and video footage. We also compare the behaviour of tabanids around horses wearing differently coloured cloth coats, report on the duration of time that tabanids spend on equids with different coloured pelage, and compare the behaviour of horses and zebras in response to biting fly annoyance"
A. If you had to define the structure of those paragraphs, which of the following options would describe it better?
Starts with a broader context, followed by a specific background and finalizes with specific questions by the authors
Do you usually provide references to the introduction section of a scientific article or a lab report?
Yes
The main goals of the materials and methods section are to enable the reader to understand and replicate the study by providing a detailed description of all materials, equipment, and procedures used, and to demonstrate the integrity and validity of the research methods. To write a materials and methods section efficiently, start outlining it while performing the research to capture details accurately. Focus on providing enough information for reproducibility without including excessive, unnecessary details. Use subheadings to structure the section logically, and match the order of your methods to the order in which the results will be presented.
Based on the information above about the purpose, goals, and structure of the Materials and Methods section, which of the following are good practices when writing this section? (Select all that apply)
Include enough detail about materials, equipment, and procedures so another researcher could replicate your experiment
Start outlining your methods section while you’re performing the experiment to help capture accurate details.
Organize your methods using subheadings to group related procedures

The figure below represents part of the Materials and Methods section from a scientific article. Which of the following can you infer about the PROPPER way to write the materials and methods section of a lab report, based on this image? (select all that apply)
The presence of subheadings suggests that each part of the experiment was carefully planned and organized, which helps readers replicate the study accurately.
The Methods section is divided into clearly labeled sub-sections so readers can quickly locate specific procedures and understand how different parts of the experiment were carried out.
A student is writing their lab report and includes the following sentence: “We used a spectrophotometer to measure the absorbance of each sample at 600 nm. Interestingly, the absorbance increased over time, which suggests the cells were growing faster than expected.”
Which section of the lab report does this sentence belong to, and why?
Discussion — because it interprets what the results might mean.
A student is deciding where to place the following sentence in their lab report: “The average colony diameter increased from 2.1 mm on Day 1 to 8.4 mm on Day 5 across all replicate plates.”
Which section of the lab report does this sentence belong to, and why?
Results — because it presents the measured data without interpretation.
A student wrote the following sentence in their Discussion: “The higher growth rate of the mutant strain suggests that the deleted gene may normally act as a growth suppressor under nutrient-limited conditions.” Where does this sentence best belong, and why?
Discussion — because it interprets what the data might mean
A student wrote the following sentence in their Introduction: “We observed that the enzyme activity doubled after adding the inhibitor.” Where does this sentence actually belong, and why?
Results — because it states specific findings from the experiment
You are reading a student’s draft of a scientific paper. Below is a single paragraph that mixes content from different sections of a typical lab report. Your job is to decide which sentence would belong in the Results section, while the others are better suited to the Methods section.
To examine the effect of light on seed germination, we placed sterilized radish seeds on damp filter paper in Petri dishes and kept them either in complete darkness or under continuous light at 25 °C for seven days.
The dishes were checked every 12 hours, and seedlings with visible roots were counted and recorded in a spreadsheet.
Interestingly, seeds in the dark condition appeared elongated and pale, suggesting that the absence of light triggered etiolation.
We used a sterile technique throughout to avoid fungal contamination, wiping all surfaces with 70% ethanol before setting up the dishes.
After the 7-day period, 83% of seeds in light germinated compared to 62% in darkness, indicating that light exposure enhances germination success.
Which sentence would be most appropriate for the Results section?
Sentence 5
You are reviewing another student’s draft of a lab report on enzyme activity at different pH levels. The following paragraph contains sentences that could belong to the Methods or Results sections.
We prepared five reaction mixtures, each containing 2 mL of amylase solution and 2 mL of starch solution, and adjusted their pH to 4, 5, 6, 7, or 8 using buffer solutions.
The reactions were incubated at 37 °C for ten minutes and then placed in a boiling water bath to stop enzyme activity.
Tubes at pH 4 and 5 turned a noticeably darker blue after iodine was added, which could indicate that starch was not fully broken down at those acidic conditions.
Each tube was tested for starch presence by adding 2 drops of iodine, and the color intensity was later quantified using a spectrophotometer at 620 nm.
We used 3 different stock bottles of amylase solution and labeled them A, B, and C to track variation, and tube B produced an absorbance reading of 0.82.
Which sentence would be most appropriate for the Results section?
Sentence 3
Which of the following statements is true about simple diffusion?
This type of transport is always spontaneous
Which type of molecule is more likely to passively diffuse across a cellular membrane?
A nonpolar molecule
Which of the following best describes a molecule that will more likely diffuse across a lipid bilayer?
A molecule with few hydroxyl (OH) groups, because it will be less polar

What happens when a cell is exposed to a hypotonic solution?
It gains water by osmosis and swells

Which of the following images represents plasmolyzed plant cells?
Figure B

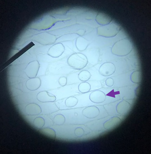
The cells below have been exposed to a hypertonic solution (10% NaCl). Which of the following statements best describes what is happening to these cells? (focus on the cell with the purple arrow on the right side of the picture)
The purple arrow is showing the plasma membrane, which has contracted as a result of the treatment with 10% NaCl
What is plasmolysis?
The shrinkage of the plasma membrane of a plant cell after exposure to a hypertonic solution

You expose a plant cell to two different solutions. One that easily cross the bilayer, and one that cannot cross the bilayer. Which of the following correctly describes what you would see? (select all that apply)
The solution that readily crosses the bilayer will not cause plasmolysis while the solution that cannot cross the bilayer will definitely cause plasmolysis
The solution that cannot cross the bilayer will cause the cell to lose water
During lab this week you will be doing a series of experiments. These experiments include (select all that apply)
Determining the amount of protein present in different samples, using a colorimetric assay
Isolating cellular fractions from plant cells
Cellular organelles can be separated based on different properties. Which properties were utilized to separate mitochondria in our differential centrifugation experiment?
The size and density of the organelle
According to the worksheet and lab protocol, how many centrifugation steps will you be doing during this week’s lab?
Two centrifugations, each one at a higher speed
Which fraction of the differential centrifugation protocol contains most of the mitochondria (mito sample)?
The pellet obtained after the second centrifugation
What is the main purpose of the Bradford assay?
To quantify the amount of protein present on a sample

Assume you are setting up a standard curve for your Bradford assay. Based on the table below, how much water would you need to add to complete dilutions in tubes 2 and 3 (represented by A and B respectively?)
70 µL in A and 40 µL in B
You are preparing a solution that contains the following reagents:
10 µL of BSA + 90 µL of water. If the BSA stock solution you utilized contains 2mg/mL of BSA, what is the final protein concentration in the solution you just prepared?
0.2 mg/mL
You are preparing a solution that contains the following reagents:
30 µL of BSA + 70 µL of water. If the BSA stock solution you utilized contains 2mg/mL of BSA, what is the final protein concentration in the solution you just prepared?
0.6 mg/mL
Based on the principle of the Bradford assay, which of the following solutions would you expect to contain the most protein?
Sample 1
Why are we using the activity of succinate dehydrogenase (SDH) to determine the purity of the cellular fractions obtained in this lab?
Because SDH is only expected to be present in the mitochondria
Which fraction of the differential centrifugation protocol do you expect will contain higher activity of SDH?
The pellet obtained after the second centrifugation

To create the DCPIP standard curve, you will create serial dilutions of this dye, starting with no DCPIP (tube 1) and gradually increasing its volume. If tube 2 was one of our samples, what would be the final concentration of oxidized DCPIP in this tube? Notice the final volume is 2.5 and the stock concentration of DPCIP IS 500 micromolar.
140 μM

Based on the principle of the electron acceptor 2,6-dichlorophenolindophenol (DCPIP), which of the following solutions would you expect to contained more oxidized DCPIP?
Sample 1
Why is DCPIP reduced in the presence of SDH?
Because FADH2 donates its electrons to oxidized DCPIP

Assume the image below represents two different samples incubated for 20 minutes in the presence of succinate, sodium azide, oxidized DCPIP and assay buffer. Which of the following statements best describes tubes 1 and 2?
The sample in tube 1 has higher succinate dehydrogenase activity
You are measuring SDH activity using DCPIP. After 20 minutes of incubation, you determine that absorbance for Sample 1 at 600 nm is 0.85 and for Sample 2 is 0.25. Which of these samples contains higher activity of SDH?
Sample 2. The lower absorbance, the more reduced DCPIP. This indicates that SDH was abundant in the sample
What was the purpose of adding sodium azide to the experiment that measured the activity of succinate dehydrogenase?
Because sodium azide blocks the electron transport chain, funneling electrons to reduce DCPIP instead of the other components of the electron transport chain
Which of the following organelles are part of the endomembrane system? (Select all that apply)
ER
Golgi
Lysosomes
Why do viruses hijack the endomembrane system
Because they do not have the capacity to synthesize their own proteins
Why is this important (the previous question) for the study of the path followed by secreted proteins?
Because the invaded cell has to synthesize and secrete viral proteins, which can be tracked by scientists
If the endomembrane system of a cell is hijacked by a virus, what would be the pathway followed by those viral proteins after they are synthesized?
ER-Golgi complex-transport vesicle-extracellular space
According to the assigned reading, how do scientists produce antibodies required to develop diagnostic tests for a disease?
They inject the disease-causing agent (antigen) in animals like rabbit or goats. These animals will produce antibodies specific to this antigen.
Which of the following best describes the difference between the primary and secondary antibodies used in ELISA? (Select all that apply)
The secondary antibody is linked to an enzyme, while the primary antibody is not
The primary antibody binds to the antigen. The secondary antibody binds to the antigen-antibody complex
Why is an enzyme linked to the secondary antibody?
The enzyme will cleave the substrate, which will turn from colorless to blue.
The enzyme will change color if the antigen-primary antibody-secondary antibody complex is formed
Pregnancy tests are a type of immunoassay
True
The following question is related to how this lab activity will work:
A. When you come to lab, all students will be planning to interact with other students to simulate the spread of a disease. How many students will you be interacting with?
3
The following question is related to how this lab activity will work:
B. When you come to lab, all students will be planning to interact with other students to simulate the spread of a disease. Which of the following options best describes how we will be tracking individual interactions?
All students in the class will interact with another student. Only then everyone will proceed to the second interaction.
What is the goal of this week's lab? (Select all that apply)
To simulate the spread of a viral epidemic in the lab
To learn how to do an ELISA
Based on the pre-lab video, why is John Snow relevant in this lab activity?
He tracked cases and identified the source of a cholera outbreak in London
Which of the following is correct about the Green Fluorescent Protein? (Select all that apply)
It can be used as a reporter gene
It is heritable
It was initially isolated from a jellyfish

Assume that you created a recombinant molecule that combines succinate dehydrogenase with the GFP gene. You insert this recombinant molecule in an animal cell, and allow it to grow and reproduce. Which of the following statements best describes what you will be able to observe if your experiment was successful?
The mitochondria of the transformed cell will fluoresce green when exposed to UV light
Plasmid DNA is a ________ molecule, commonly found in bacteria, which replicate _____ of the chromosomal DNA.
Small, circular, double stranded; Independently
What is the purpose of growing bacteria on media containing the antibiotic ampicillin after they have been transformed with the pGLO plasmid?
In theory, all the bacteria that survive in this media were transformed with the pGLO plasmid
Which of the following best describes genetic transformation?
The insertion of a gene into an organism to change its traits
Review from Genetics: The promoter region of a DNA molecule is the site where __________. At the end of this specific process, _________.
Transcription of a gene by RNA polymerase, A molecule of mRNA is produced
Which of the following options best describes inducible gene expression?
An inducible gene is a gene that is expressed only in the presence of a substance in the environment
A student is analyzing the transformation results and notices that bacteria only fluoresce under UV light on the plate containing arabinose (a sugar). What is the best explanation for this observation?
The GFP gene is controlled by an inducible promoter that requires arabinose for activation
Osamu Shimomura, Martin Chalfie, and Roger Tsien received the ______ for their work on GFP.
Nobel Prize in Chemistry
During this lab, you transformed E. coli with a plasmid containing a gene encoding green fluorescent protein (GFP) under the control of an arabinose-inducible promoter, as well as a gene conferring resistance to ampicillin. Based on this experimental setup, why would you consider is it beneficial for organisms to regulate genes using inducible promoters?
Inducible promoters allow cells to regulate the transcription of specific genes in response to environmental conditions, conserving energy and resources by producing mRNA only when needed.
During lab last week, you set up a variety of experiments where you combined media, antibiotics, bacteria and plasmids. One of these combinations was as follows: LB agar + ampicillin + E.coli containing pGLO plasmid. What do you expect to see in lab this week and why?
You expect to see many E. coli colonies growing but none of them should fluoresce when exposed to UV light
Another combination was as follows: LB agar + ampicillin + E.coli without addition of the pGLO plasmid. What do you expect to see in this plate this week and why?
You expect to see no bacterial growth because ampicillin should kill E coli. This was your negative control
A third combination contained LB agar with no additional components, and you plated E.coli without addition of the pGLO plasmid. Which of the following statements best explains what you expect to see and why?
You expect to see E. coli growing. This was another experimental control where your goal is to test if the E. coli bacteria survived the heat shock experiment and were still alive when you plated them
One of your plates contained all of the desired components: LB Agar + ampicillin + arabinose + E. coli + the pGLO plasmid. Which of the following statements explain what you expect to see and why? Select all that apply
You expect to see colonies that do fluoresce green when exposed to UV light
You expect to see many E. coli colonies growing
You expect that transcription of the green fluorescent protein was induced in the presence of arabinose

Because of your experience with bacterial transformation and the use of green fluorescent protein (GFP), you obtain a summer research position in a laboratory. In this lab, scientists use a plasmid called pKAN, which has features similar to the pGLO plasmid used in this course, with some modifications. A map of the pKAN plasmid is shown below (look at it very carefully!) How would you need to adjust your experimental design and culture conditions after transforming E. coli with the pKAN plasmid if:
Your goal is to select only the bacteria that have successfully taken up the plasmid?
Your goal was to determine if bacteria survived the transformation experiment?
Use LB agar supplemented with the antibiotic kanamycin
Use LB agar with no additional components

Unlike pGLO, the GFP gene in pKAN is under the control of pGAL, an inducible promoter that activates transcription of GFP only in the presence of galactose. If your transformation experiment worked as expected, in which of the following media would you expect the transformed E. coli to fluoresce green when exposed to UV light?
LB + kanamycin + galactose
Answer the question below using the information provided in the following paragraph: Copper is vital in small amounts but can be harmful in large doses. While insufficient copper can lead to neurological and blood disorders, prolonged exposure to high copper levels can damage the liver. Consequently, although widely utilized, copper levels in drinking water are strictly regulated to ensure they do not exceed 2.0 mg/l.
You join a research lab that wants to improve the way in which we detect the presence of this metal in drinking water. Which of the following options would be the best one for the purpose of the project this lab is working on?
The lab could use a bacteria that glows green if copper is present in the sample
Answer the question below using the information provided in the following paragraph: Copper is vital in small amounts but can be harmful in large doses. While insufficient copper can lead to neurological and blood disorders, prolonged exposure to high copper levels can damage the liver. Consequently, although widely utilized, copper levels in drinking water are strictly regulated to ensure they do not exceed 2.0 mg/l.
You join a research project that wants to bioengineer a bacteria that helps scientists determine if copper is present in certain aquatic environments. Which of the following options would be the best one for the purpose of the project this lab is working on?
Design a plasmid that contains a green fluorescent protein gene under the control of a copper-inducible promoter. If copper is present, the bacteria will fluoresce green under UV light
You are now in charge of evaluating if the plasmid is working as expected. What would be the phenotype you expect to see in these bacteria after you have successfully transformed it with with the plasmid from the question above?
It will only grow green in the presence of copper