1/45
Looks like no tags are added yet.
Name | Mastery | Learn | Test | Matching | Spaced | Call with Kai |
|---|
No analytics yet
Send a link to your students to track their progress





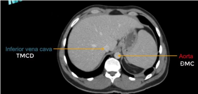
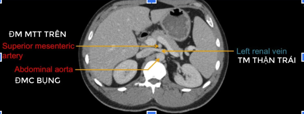
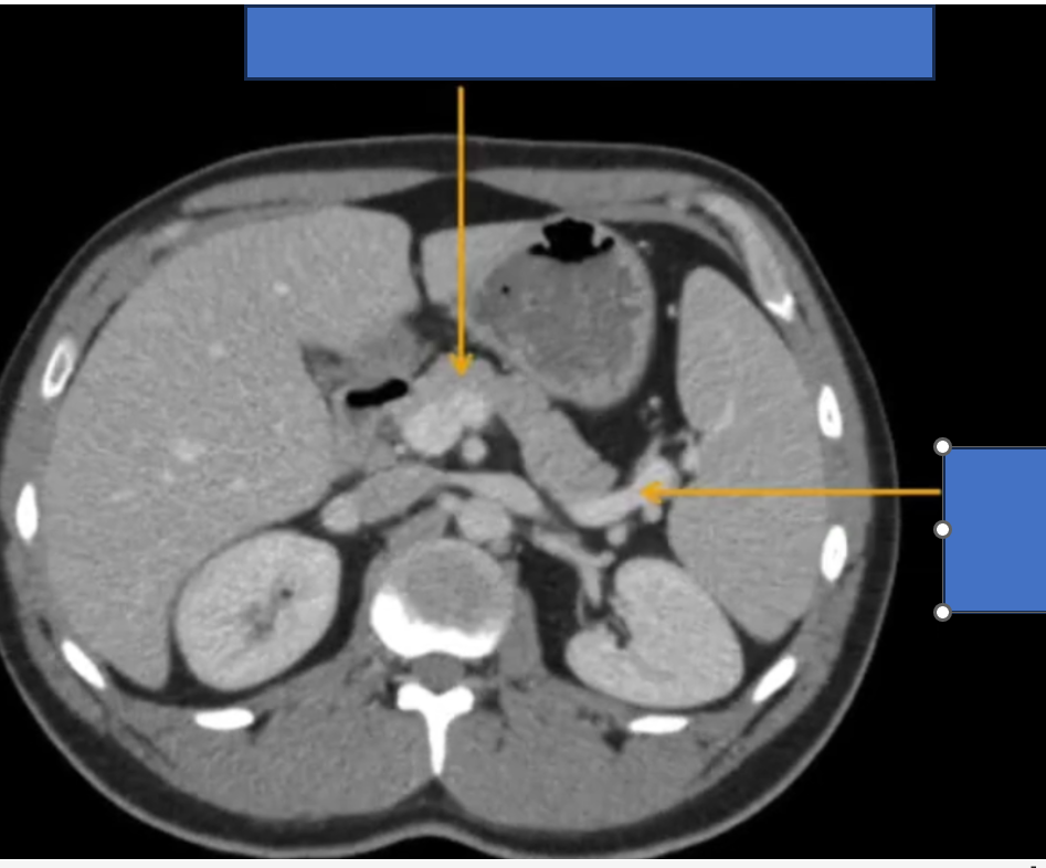
TM gan ở đâu? TM chủ dưới ? ĐM chủ?

























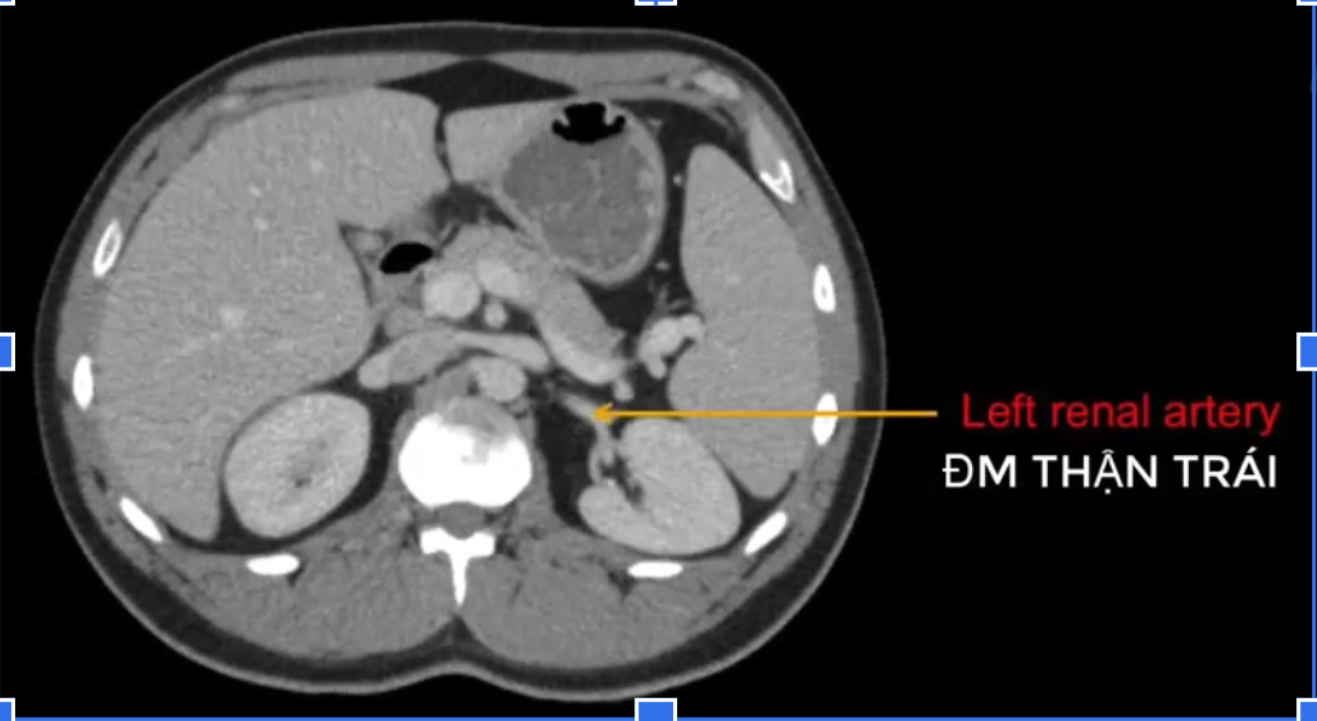
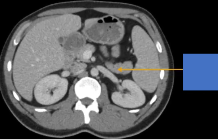
đm thận T?












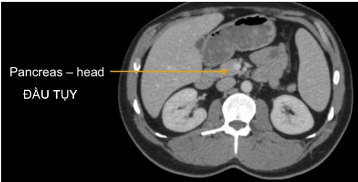
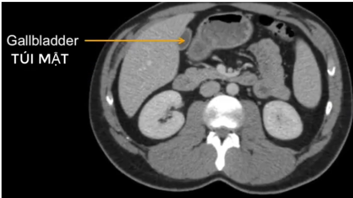
a) Túi mật TA viết là?
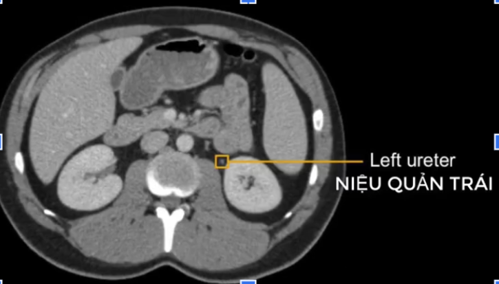
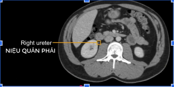
b) Niệu quản ở?



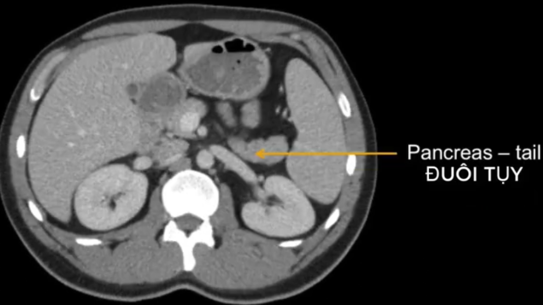
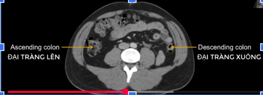
ĐT góc lách?

ĐT góc gan?


đt ngang?





cơ chéo ngoài? trong? ngang b?


rốn ở đâu?
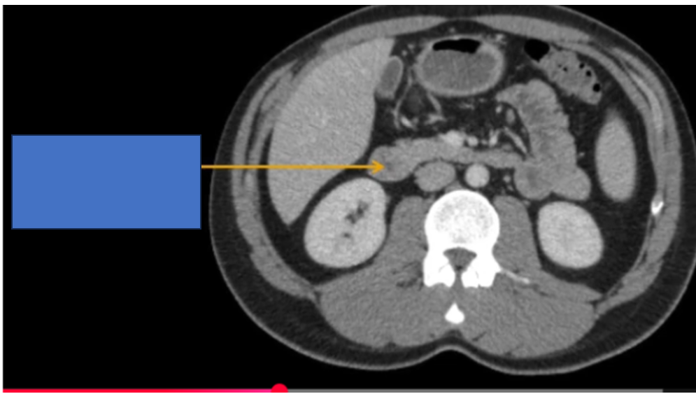
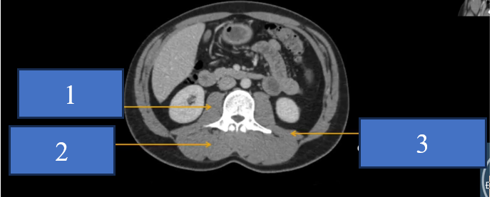
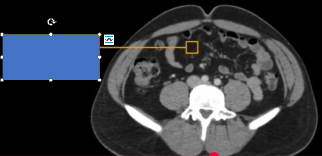
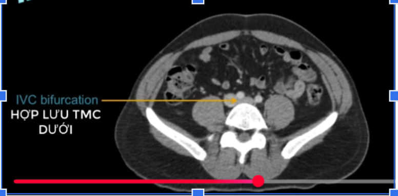
cq trong hình ?



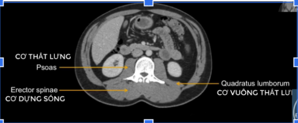
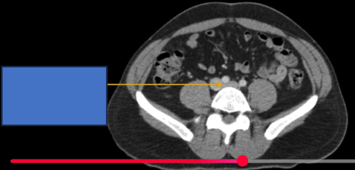
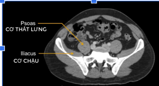
cơ tl? cơ chậu?

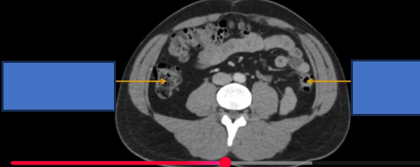
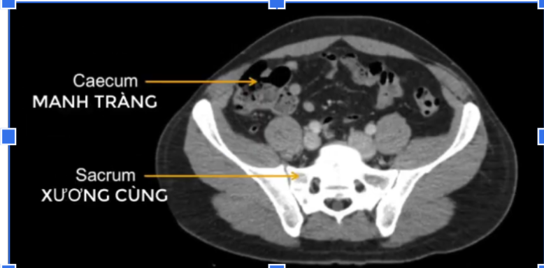
manh tràng? x cùng?
















.







.

