1/30
Looks like no tags are added yet.
Name | Mastery | Learn | Test | Matching | Spaced | Call with Kai |
|---|
No analytics yet
Send a link to your students to track their progress
Ovaries
produce gametes (oocytes)
supported by ligaments

Ovarian Ligament
connects ovaries to uterus

Suspensory Ligament
connects ovaries to lateral pelvic wall

Ovarian Artery & Vein
ovarian blood vessels run inside suspensory ligament
Fallopian/Uterine Tubes
receives ovulated oocyte from ovaries
fimbriae

Fimbriae
fingerlike projections that drape over ovary
Uterus
womb
recieves & nourishes a fertilized ovum
posterior to urinary bladder; anterior to rectum

Fundus
superior
rounded region

Body
major middle portion

Cervix
inferior outlet into vagina

Round Ligament
connects uterus to labia majora

Vesicouterine Pouch
pouch between bladder & uterus

Rectouterine Pouch
pouch between rectum & uterus

Endometrium
innermost layer
where embryo implants

Myometrium
bulky middle layer composed of smooth muscle (contractions)

Vagina
lies between urethra & anal canal

Vaginal Orifice
external opening

Fornix
vaginal recess around cervix

Clitoris
erectile tissue contributing to female sexual arousal
largely internal structure
anterior to urethra

Mons Pubis
fatty mound of adipose tissue over pubic symphysis

Pubic Symphysis
connection between 2 pubic bones

Labia Majora
outer, hair-covered skin folds
Labia Minora
inner, hair-free skin folds
Greater Vestibular Gland
posterior to clitoris

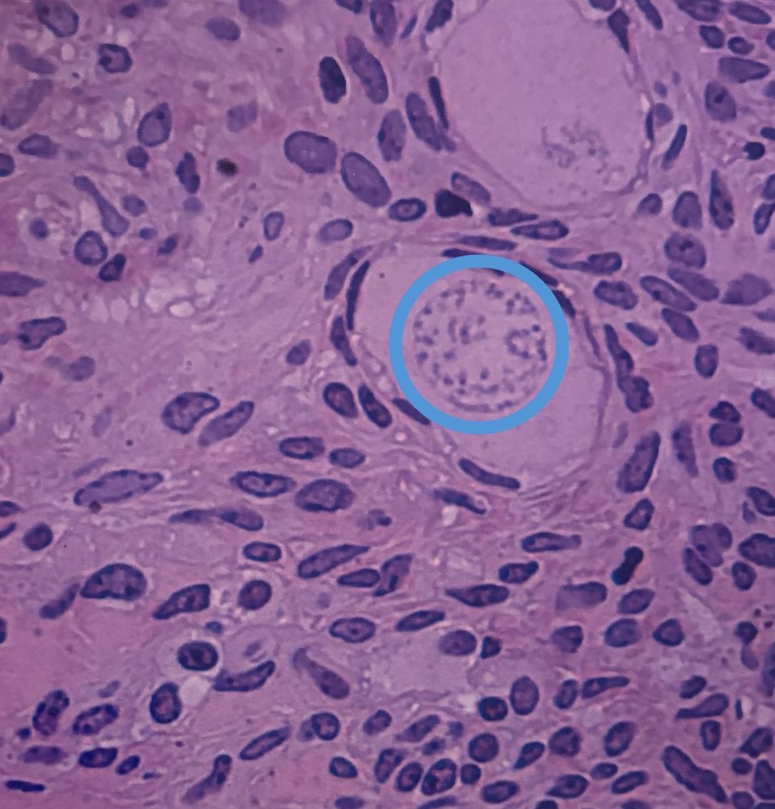
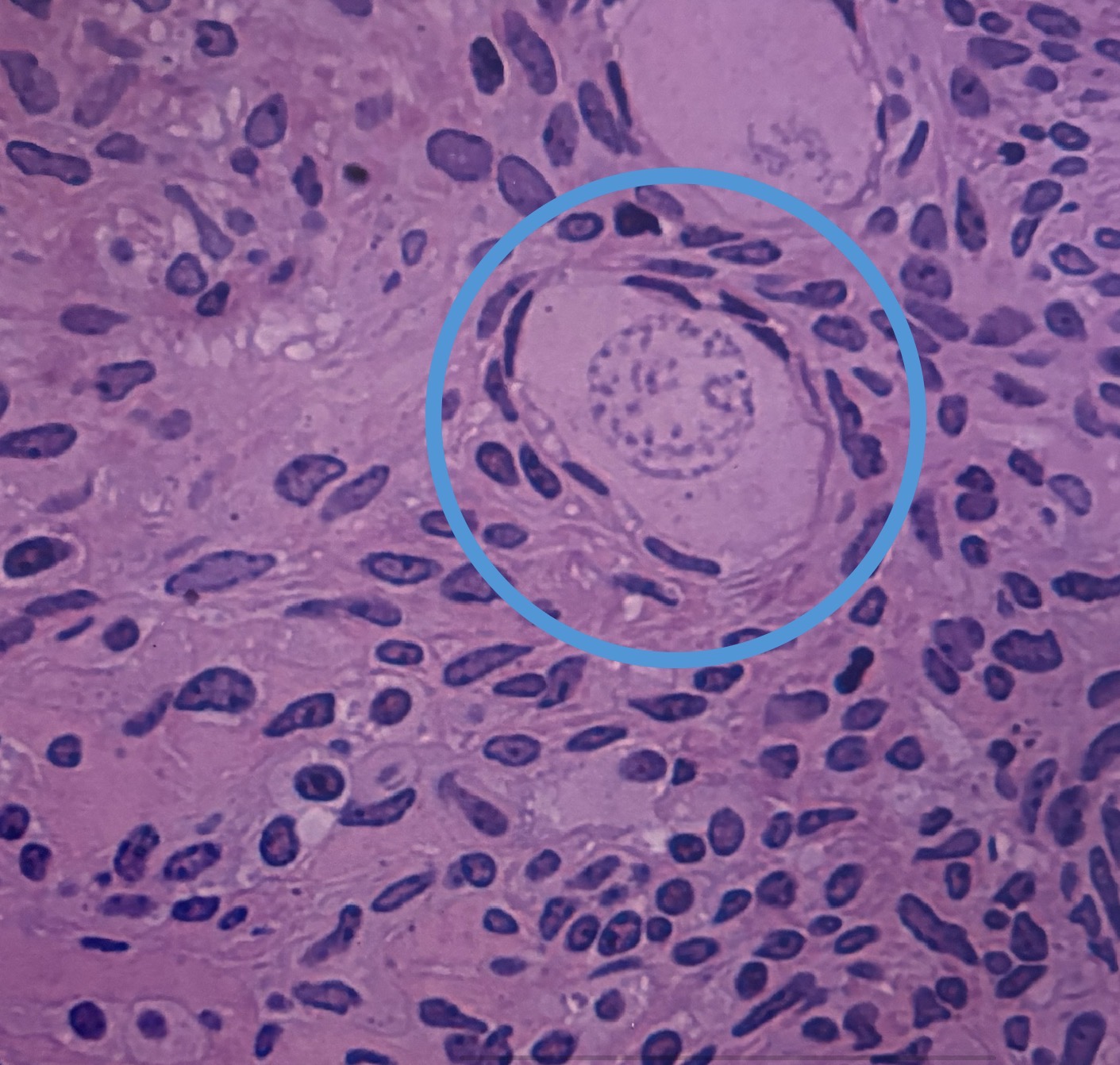
Oocytes
surrounds ovarian follicles

Primordial Follicles
single layer of squamous cells surrounding oocyte

Primary Follicles
single layer of cuboidal cells surrounding oocyte

Secondary Follicles
multiple layers of cuboidal cells surrounding primary oocyte
zona pellucida

Zona Pellucida
glycoprotein-rich extracellular layer around oocyte

Vestibular Follicles
contains a fluid-filled cavity (antrum)
corona radiata

Corona Radiata
“radiating crown” remaining cells around oocyte
