1/24
Looks like no tags are added yet.
Name | Mastery | Learn | Test | Matching | Spaced | Call with Kai |
|---|
No analytics yet
Send a link to your students to track their progress

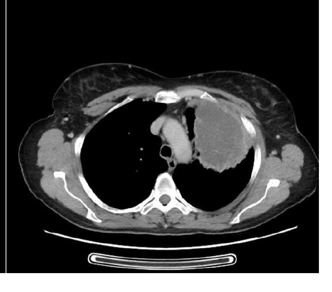
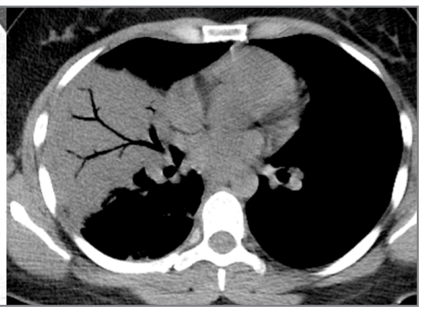
What is this?
Adenocarcinoma

What is this?
Lung mets

What is this?
Benign nodule

What is this?
IMH

What is this?
aortic dissection

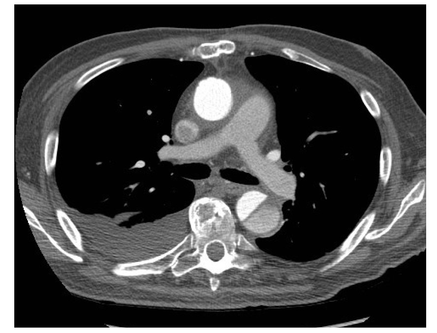
What is this?
Aortic dissection

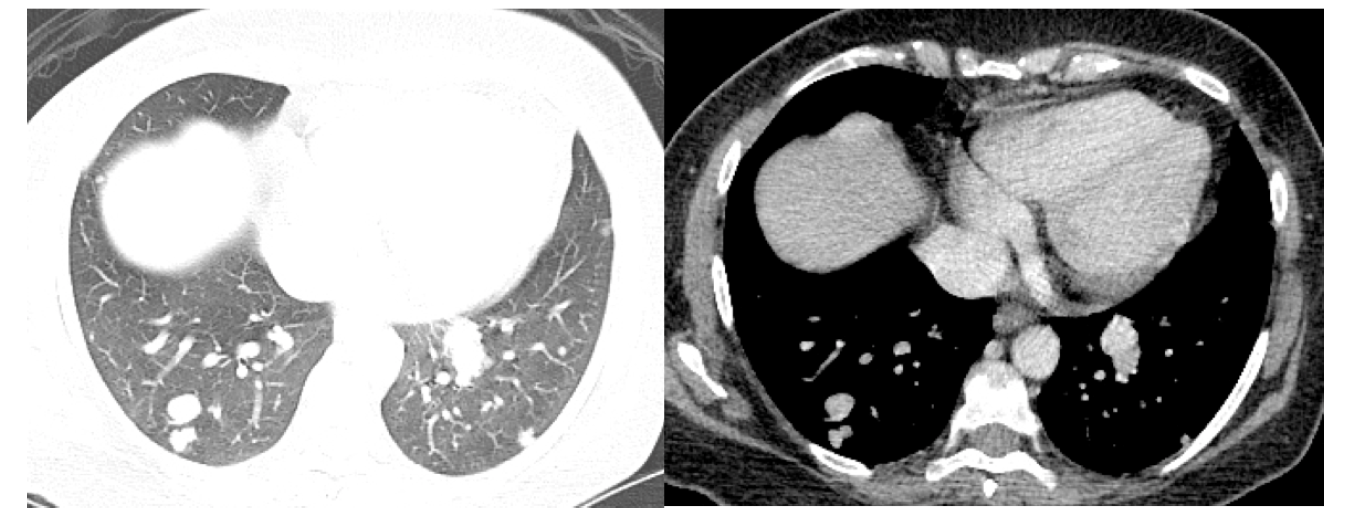
What is this?
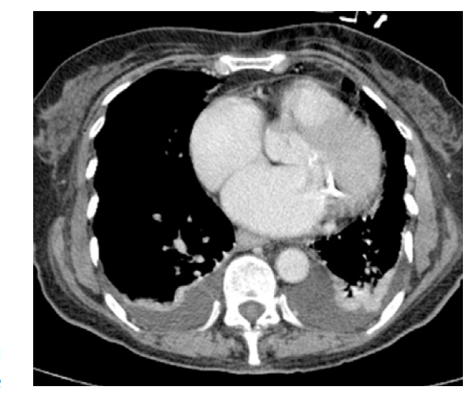
Aortic Aneurysm

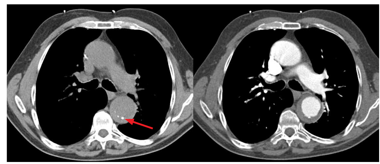
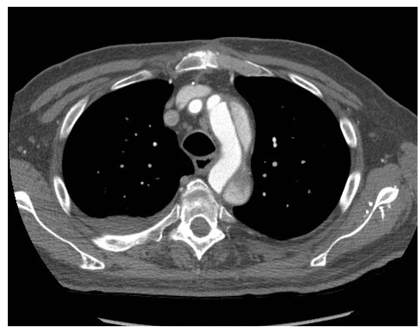
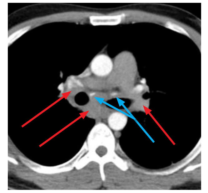
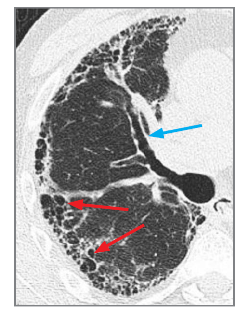
What is the red arrows?
PE

What is this?
Lung abscess

What is this? What features are there?
Lobar pneumonia. Air bronchograms. Consolidation.

What do you see? What condition would this be?
Calcifications in lymph nodes and lymphadenopathy. Sarcoidosis.

What is this?
Sarcoidosis

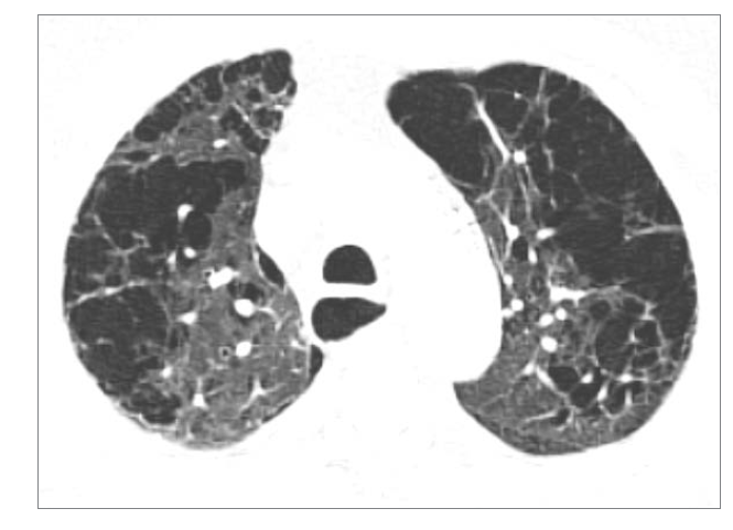
What is this? (what feature is shown?)
UIP (honeycombing?)

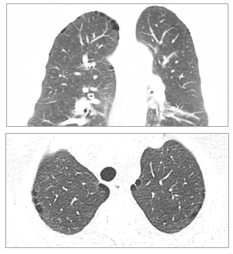
What is this? (What feature do we see?)
NSIP (micronodules?)

What feature is seen at the top? What condition would this be?
Blebs. Centrilobular emphysema.

What is this?
Panlobular emphysema

What is this?
Paraseptal emphysema

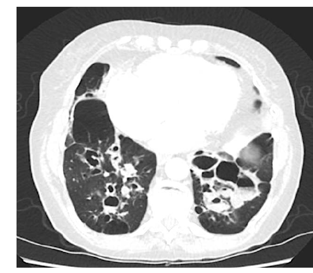
What is this? What feature do we see?
cystic bronchiectasis. ballooning bronchi

What is this?
cylindrical bronchiectasis

What 2 features are shown here? What condition is this?
traction bronchiectasis and string of pearls. Varicose bronchectasis.

What 2 features are seen here?
honeycombing and traction bronchiectasis

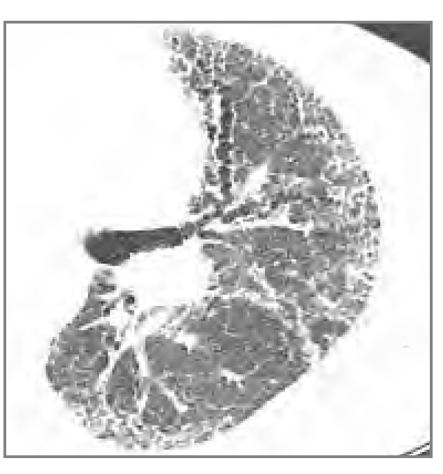
What is this?
Cylindrical bronchiectasis

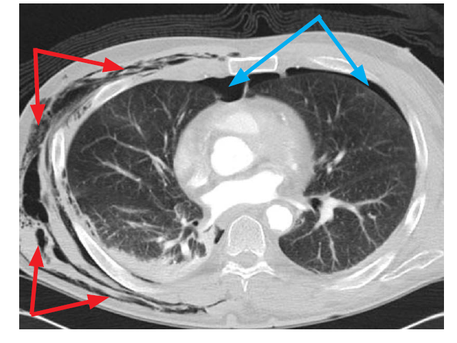
From the blue arrows, what condition is this?
Pneumothorax

What is this?
Pneumothorax

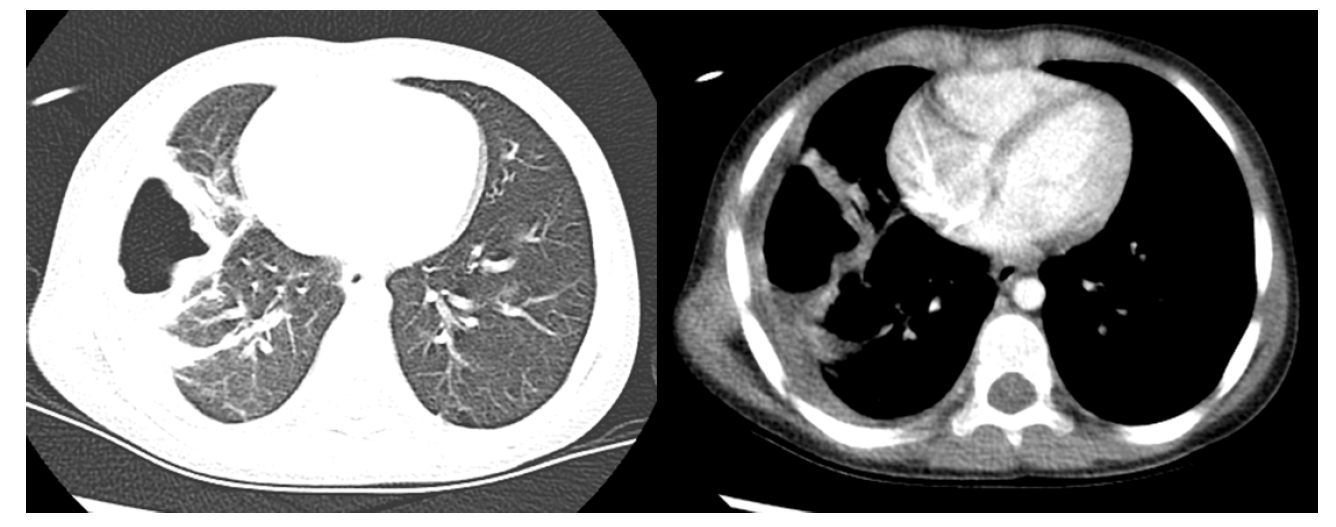
What is this?
pleural effusion