1/40
Looks like no tags are added yet.
Name | Mastery | Learn | Test | Matching | Spaced | Call with Kai |
|---|
No analytics yet
Send a link to your students to track their progress
What are the three core principles of the Cell Theory
-All living organisms are made up of one or more cells.
-The cell is the basic unit of life
-Cells arise from existing cells by division.
Why are cells necessary? (List three reasons)
-vehicle to allow the perpetuation of genetic material.
-small size allows for effective diffusion of nutrients, oxygen, signalling factors, and metabolites.
-enable modularity, allowing the building of tissues, organs, and entire organisms from reiterated building blocks
Why are viruses not classified as living organisms?
Viruses cannot propagate and metabolize by themselves; they need a host
Define Prokaryotes and list their general characteristics
-having no nucleus
-always single-cellular , very simple, and therefore considered older.
What are the two main types of Prokaryotes?
1. Bacteria (formerly eubacteria)
2. Archaea (formerly archaebacteria), commonly live in extreme environments
Define Eukaryotes and list their general characteristics
-having a nucleus
-They can be single-cellular or multi-cellular
List the four main categories of Eukaryotes
1. Plants
2. Animals.
3. Fungi
4. Protozoans
Describe the structure of the cell membrane
-bilayer (double layer) composed of phospholipids (aren’t chemically bonded; movable)
-cholesterol
-embedded transmembrane proteins
-dynamic, often contain lipid rafts (protein clusters; as you dont want them to move around too much) compositions is a bit dif
cholestrol
-fat
-small hydrophilic side group
-when you insert chol in membrane; it disrupts regular arrangement, making it more fluid
What is the defining characteristic of phospholipids that allows them to form a bilayer?
-Phospholipids are amphipathic,
-meaning they have a hydrophilic phosphate group (polar so mixes with water) and hydrophobic lipid tails (dont mix with water)
List the four main roles of the cell membrane
1. Barrier
2. Communication
3. Import and export
4. Electrical capacitor
Define the Cytosol
aqueous solution of defined pH (approx 7.2) and ions comp
List the components contained within the Cytoplasm
-A high concentration of proteins (20-30% metabolic enzymes and intracellular messengers)
-tRNAs.
-Free ribosomes.
-Inclusion bodies
What is the cytoskeleton composed of?
A network of protein fibres including:
-Actin filaments.
-Intermediate filaments.
-Microtubules
List four main roles of the cytoskeleton.
1. Maintenance of shape, and stability.
adaptation of shape
2. Cell division.
3. Motility.
4. Movement of particles within cells.
What is the membrane structure surrounding the nucleus called?
-nuclear envelope
-which consists of two layers of membrane (two lipid double layers)
What are the primary contents of the nucleus?
-Nucleoplasm
-chromosomal DNA
-packaging proteins (histones)
-gene regulatory proteins
-nucleolus
What two processes take place within the nucleus?
1. RNA synthesis and processing (RNA splicing)
2. Ribosome synthesis
nucleolus
-site of ribosome synthesis
-site of signal recognition particle
-can capture gene reg protein (nucleolar detention)
What is the ER structurally?
-network of interconnected membrane vesicles (cisternae)
-is continuous with the outer nuclear membrane.
What is the main function of the Rough ER (rER)
-Synthesis of secreted and transmembrane proteins
-ribo inject growing polypeptides into the er
What are the main functions of the Smooth ER (sER)
Synthesis of lipids and steroid hormones.
Detoxification (in the liver).
Release of glucose from the liver.
how to tell apart SER and RER microscope photos
-smooth is not organised and has no ribo

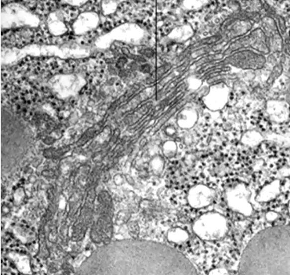
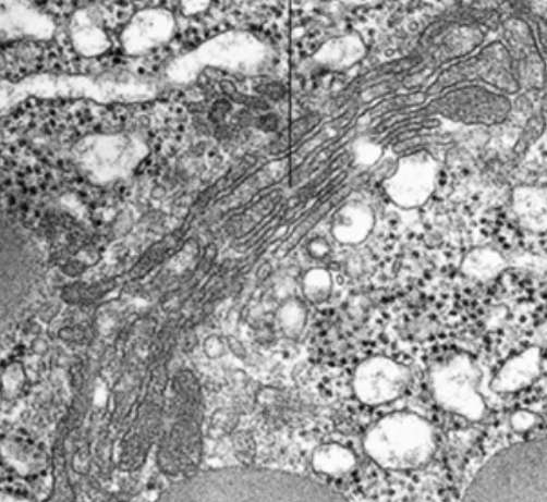
What is the structure of the Golgi apparatus?
A stack of flattened membrane vesicles

What is the primary function of the Golgi
-Modification of proteins destined for secretion and transmembrane protein
-addition of side chains
What is the general path of protein transport through the Golgi?
rER→cis Golgi (closer to er &nuc) →trans Golgi (further away from golgi and nuc) →secretory vesicles
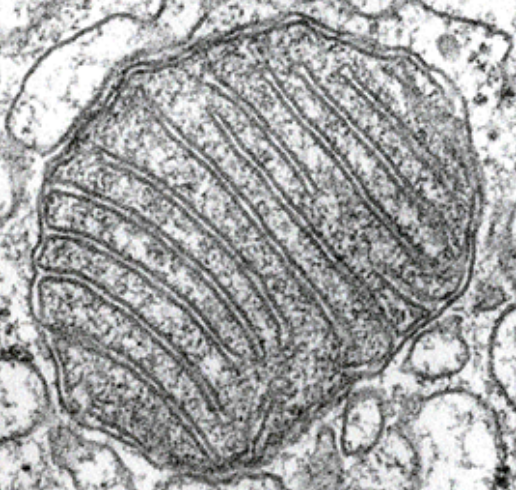
Describe the structure of mitochondria.
-often oval or sausage-shaped.
-have a double membrane , with the inner membrane folded into cristae (which have a high transmembrane protein content)
What unique genetic material is found in the mitochondrial matrix?
-Circular DNA (mtDNA) and ribosomes in matrix
-alternative genetic code
mitochondrial disorders
-because mito contains dna; so mutations occur
-mutations in mtDNA
-defects in nuclear genes that encode mito proteins
List 5 major functions of the mitochondria
1. Respiration/oxidative phosphorylation (electron transport chain). (energy active cells have 25% mito)
2. Citric acid (Krebs) cycle.
3. Programmed cell death (apoptosis).
heat production
Ca2+ storage
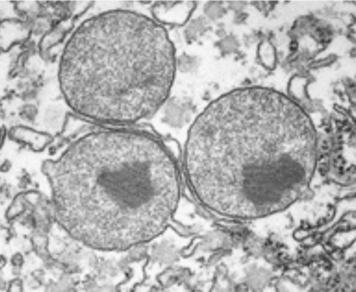
what are lysosomes
-membrane-bound organelles
What is the main function of lysosomes?
-degrade unwanted proteins and particles taken up by the cell
-break down membranes and organelles that are no longer needed
-pathogens degraded by macrophages
What is the optimal pH and environment in the lysosome?
Acidic pH ≈ 4.5−5
-contain v acidic liquid
-optimal for degradative enzymes
What are the two main functions of peroxisomes?
1. Degrade fatty acids and toxic compounds.
2. Detoxification of ethanol in the liver.
oxidation of fatty acids prod precursors for biosynthetic pathways

What corrosive byproduct does the degradation of fatty acids and toxic compounds produce?
H2O2 (hydrogen peroxide)
How do peroxisomes neutralize H2O2
The enzyme catalase neutralizes H2O2 via the reaction: 2H2O2→2H2O+O2

cytoskeleton

golgi apparatus/complex

mitochondria



peroxisomes