1/50
Looks like no tags are added yet.
Name | Mastery | Learn | Test | Matching | Spaced | Call with Kai |
|---|
No analytics yet
Send a link to your students to track their progress

Conducting portion

Respiratory portion

Nasal Cavity

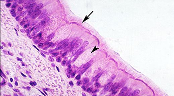
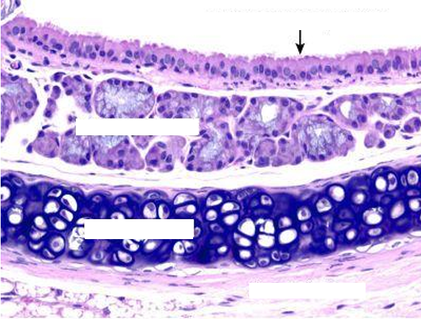
Pseudostratified columnar ciliated with goblet cells
(The epithelium lining of most of the conducting portion)

Pseudostratified columnar ciliated with goblet cells
(The epithelium lining of most of the conducting portion)

1- Ciliated Columnar cells
2- Mucous goblet cells

3- Brush cells (3%)
4- Basal cells (Stem cells)
5- Small granule cells (3%)

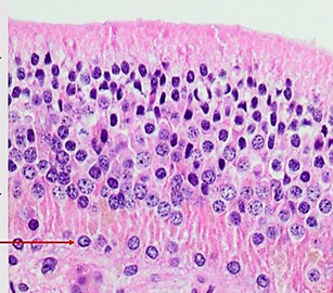
Olfactory epithelium
Modified pseudo-stratified columnar ciliated epithelium (NO GOBLET CELLS)
has 3 types of cells:
- Olfactory neurons
- Sustentacular cells (support)
- Basal cells (stem cells)

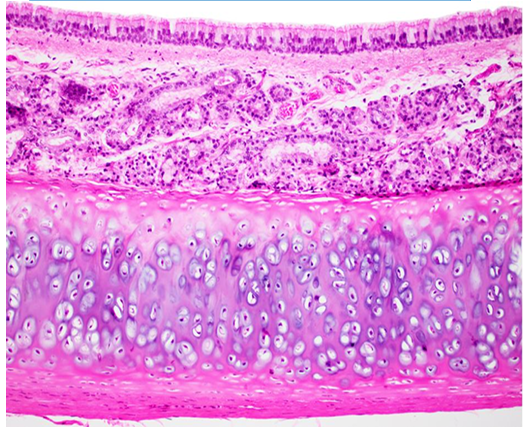
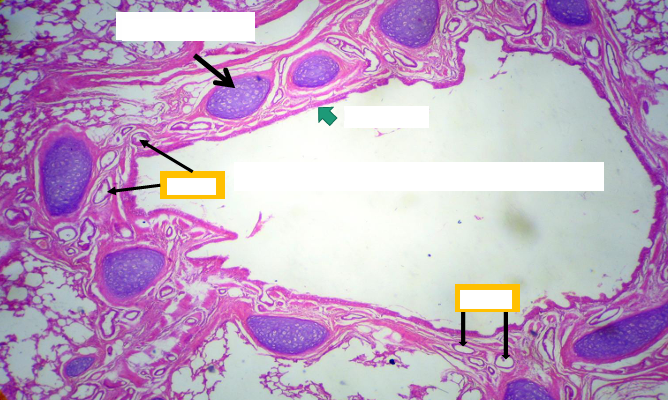
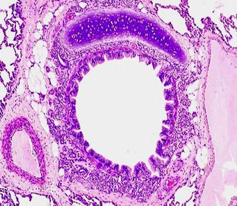
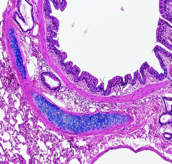
Trachea
(low power view)

Trachea
(low power view)
Blue- Hyaline cartilage
Green- epithelium
Yellow- Glands in submucosa

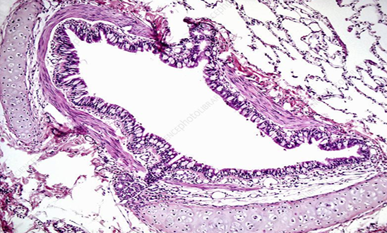
Trachea


Trachea
(medium power view)


Trachea
upper part: submucosa
lower part: cartilage

Trachea


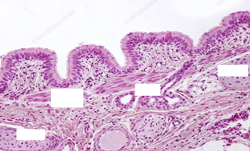
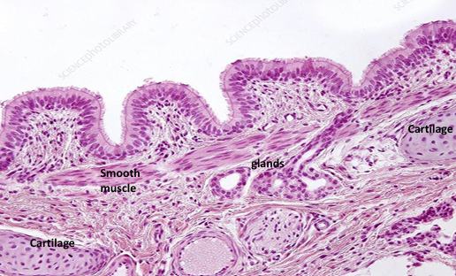
Bronchial Tree

Bronchial Tree

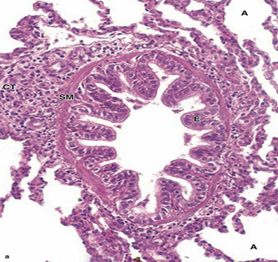
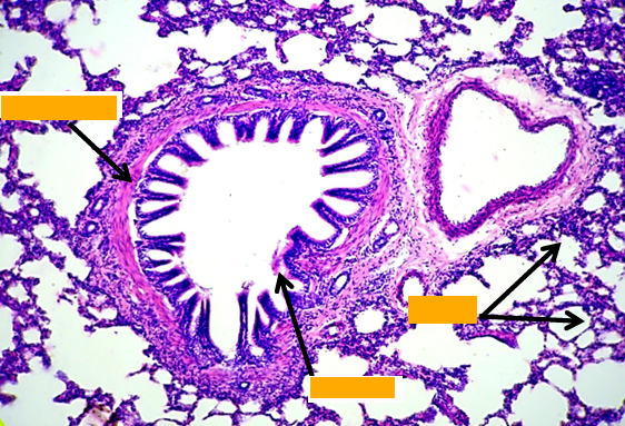
Section in the lung showing intrapulmonary bronchus


Bronchus


Intra pulmonary bronchus
1- epithelium, 2- smooth muscle, 3- cartilage

Intra pulmonary bronchus

Intra pulmonary bronchus

Intra pulmonary bronchus


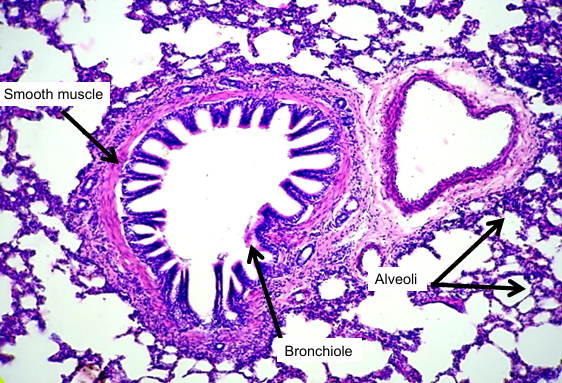
Bronchiole
Mucosa:
Epithelium: simple columnar to cuboidal partially ciliated with club cells
- Lamina propria: thin & contain elastic fibers.
Muscle layer: thin layer of circularly arranged smooth muscle.
- No goblet cells,
- No cartilage,
- No glands,
- No lymph follicles

Terminal Bronchiole and Clara Cells

Terminal Bronchiole and Clara Cells

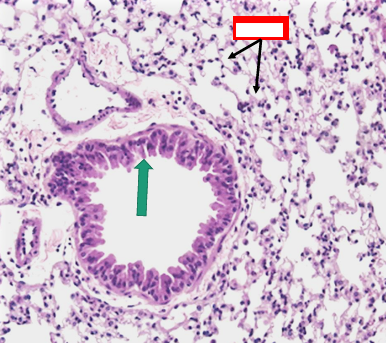
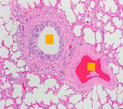
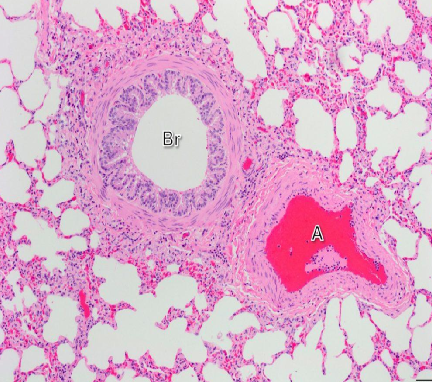
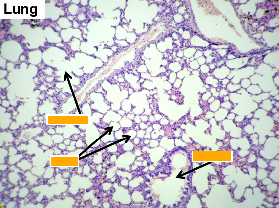
Section showing bronchiole and alveoli
Red = alveoli

Section showing bronchiole and alveoli
Red = alveoli


Section showing bronchiole and alveoli (white spaces all around)
Red A = Artery


Bronchiole






Bronchus and Bronchiole

Respiratory portion consists of
1. Respiratory bronchiles
2. Alveolar ducts
3. Alveolar sacs
4. Alveoli

Lung


Alveolar epithelium


Alveoli




Arrow = Interalveolar septum

Arrow = Interalveolar septum



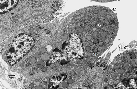
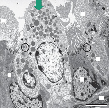
TEM photo of cells lining small bronchiole:
cubical ciliated cells and Clara cell

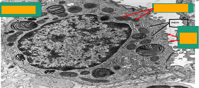
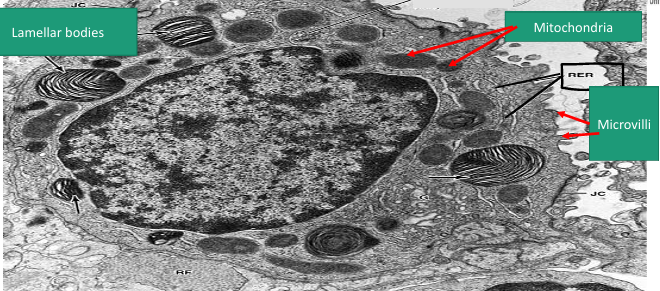
Type II pneumocyte


Type II pneumocyte

Type II pneumocyte

Identify labeled cell, sites and one specific feature?
Clara cell , mucosa of bronchiole, dome shaped apical surface and secretory granules

A -Identify the cell
B -Identify the labelled structure
A- pneumocyte type II
B- Lamellar bodies

Identify labeled structure
Intrapulmonary bronchus
1. Epithelium
2. Smooth muscles spirally arranged
3. Plates of hyaline cartilage in adventitia

Terminal bronchiole

Intra pulmonary bronchus

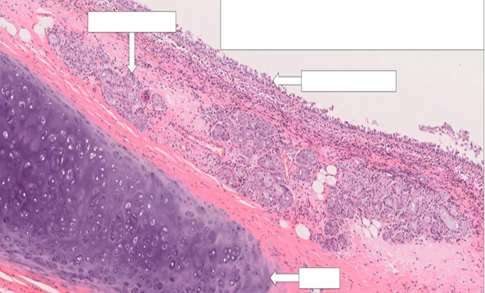
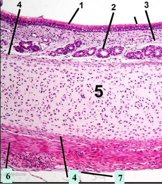
Trachea
1. Epithelium
2. Tracheal glands in submucosa
3. Elastic membrane
4. Perichondrium
5. Hyaline cartilage
6. Trachialis muscle
7. Adventitia

Lung alveoli and interalveolar septea