1/47
Looks like no tags are added yet.
Name | Mastery | Learn | Test | Matching | Spaced | Call with Kai |
|---|
No analytics yet
Send a link to your students to track their progress
bone after extraction
may have bone resorption in residual ridges
bone tori/exostoses
may interfere with dentures
what are the risks if you don't replace missing teeth?
migration
added stress on remaining teeth
loss of vertical dimension
types of a fixed partial
traditional/bilateral
cantilever
implant supported
resin retained (maryland bridge)

what position may be needed to clean a fixed prosthesis?
charters
why should a pt rinse a rpd?
to remove debris when cleaning is not possible
how often should the pt brush their rpd?
twice a day with denture paste
obturator
used to close a congenitial/acquired opeing in the palate
when should you remove an obturator during an appointment?
radiographs
calculus/biofilm removal
treatment of natural teeth
complete denture
full denture designed to replace the entire dentition of an upper or lower arch

what solutions might be damaging to certain dental materials?
hypochlorite (bleach)
chemical solution cleansers
peroxide (loosen debris)
enzyme agents
hypochlorite
abrasive cleaners
denture pastes and powders
low abrasiveness
instructions for new denture wearer
gradually increase wear time
hypersalivation may occur
taste might alter
start with a soft diet and increase
chew on both sides
use caution with hot foods
recare time for prostheses wearers
1 year
6 months at minimum
arch wire use
distributes force and guide movement
elastomers use
hold wires in brackets
apply light, continuous force to close spaces
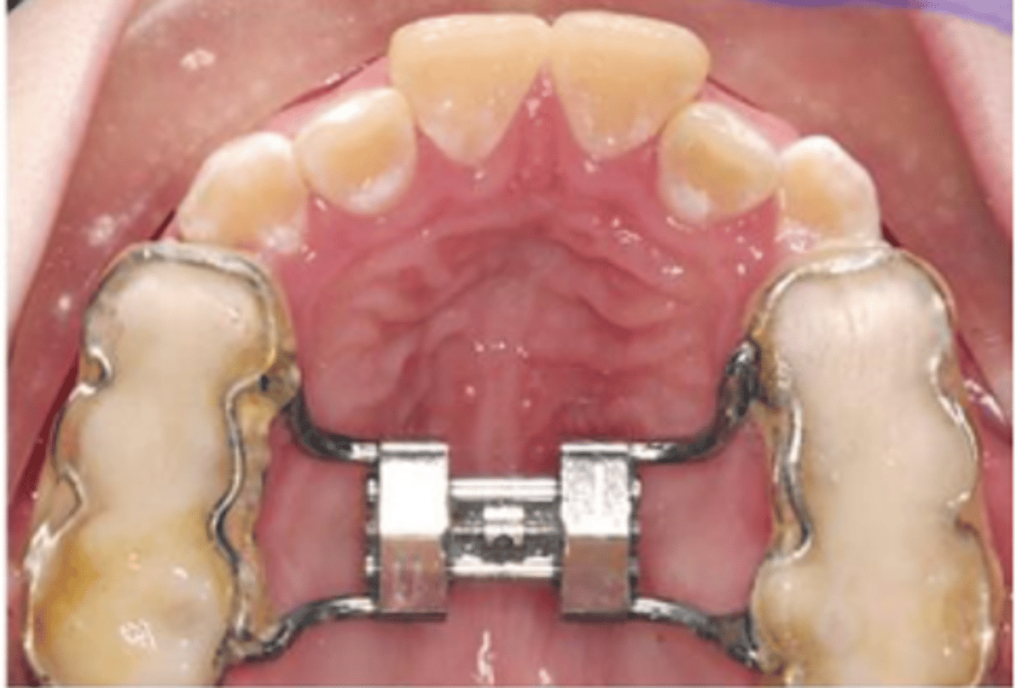
palatal expander
device used in orthodontics to widen the upper jaw

herbst appliance
fixed appliances that improves the overbite by encouraging lower jaw growth.

irregularly placed teeth are more...
susceptible to biofilm retention and more difficult to clean
ortho toothbrush recomendations
power brush: most effective
manual: soft or bilevel
ortho toothbrush method
sulcular
adapt to appliance
all surfaces
ligual and palatal
what might be used when polishing ortho patients?
air polisher
visual residual resin
appears dull and opaque
tactile residual resin
rought to explorer
may abrade explorer tip leaving a gray line
average total enamel loss after ortho removal?
55 µm
even greater when filled resins are used for bonding
outer surface of enamel =
fluoride-rich layer
what is common after ortho treatment?
demineralization
stimuli that elicit pain
tactile
thermal
evaporative
osmotic
chemical
fluid filled dentinal tubules extend...
from pulp to DEJ/DCJ
nerve fiber endings extend....
slightly beyond dentinopulpal junction
wind around odontoblastic process
stimulus at outer aspect of dentin causes...
fluid movement in dentinal tubules
fluid movement creates...
pressure on the nerve endings in the tubule
causes transmission of pain impulse by stimulating nerves in the pulp
natural desensitization
sclerosis of dentin
secondary dentin
smear layer
calc
trigger questions
what teeth/surfaces are sensitive?
on a scale of 1-10 (10 being the most) how strong is the pain?
how long does the pain last?
does it hurt when you bite down?
percussion
a method of examining a tooth by tapping the dentition with a solid object, such as the handle of an intraoral mirror, to evaluate tooth vitality
pulp testing
indicates if tooth is vital or nonvital
how to prevent nerve depolarization?
potassium based products
how to prevent stimulus from moving the fluid in the tubules?
occlusion of dentinal tubules; reduction of tubule diameter
dentinal tubule orifices increase...
three times original size when biofilm is present
potassium salts (desensitizing agent)
reduce the depolarization of the nerve membrane
potassium nitrate dentrifice containing fluoride available OTC
fluorides (desensitizing agent)
CaF₂ crystals within the dentinal tubule decrease lumen diameter
create a barrier by blocking open dentinal tubules
oxalates - potassium and ferric (desensitizing agent)
decrease the lumen diameter
block open dentinal tubules
gluteraldehyde (desensitizing agent)
decrease lumen diameter
can be combined with hydrophilic resin to seal tubules
calcium phosphate (desensitizing agent)
caries control, reduce demineralization
occludes dentinal tubule openings
aka novamin, MI paste (recaldent)
arginine and calcium carbonate (desensitizing agent)
occludes the dentinal tubules
mouthrinses
0.63% stannous fluoride
gels
5,000 ppm fluoride