1/100
Looks like no tags are added yet.
Name | Mastery | Learn | Test | Matching | Spaced | Call with Kai |
|---|
No analytics yet
Send a link to your students to track their progress
kas yra patogenezė
ligos vystymosi mechanizmas (kaip atsiranda ir progresuoja)
kokios yra ląstelės pažeidimo priežastys?
hipoksija
fiziniai veiksniai
cheminės m. ir vaistai
biologiniai veiksniai
imuninės r-cijos
nesubalansuota mityba
genetiniai sutrikimai
kas yra hipoksija
deguonies stygius organizme
kas yra ishemija/išemija
sumažėjęs audinio aprūpinimas krauju (tuo pačiu ir O2)
kokios išemijos priežastys + paaiškinimas sąvokų?
Aterosklerozinė stenozė – kraujagyslės susiaurėjimas dėl plokštelių
Trombas – kraujo krešulys, užkemšantis kraujagyslę.
Širdies nepakankamumas
Plaučių nepakankamumas
Anemija – eritrocitų stygius
Apsinuodijimas CO – greičiau jungiasi nei deguonis
dėl kokių fizinių veiksnių pažeidžiamos ląstelės
šaltis, karštis, radiacija, pasikeitęs atmosferos slėgis, elektros, mechaninis sužalojimas
nuo ko priklauso ląstelės atsakas į pažeidimą?
pažeidimo tipo, sunkumo ir trukmės
nuo ląstelės tipo, jos būklės ir sugebėjimo adaptuotis
kaip skirstomi ląstelės pažeidimai
grįžtamieji pažeidimai
negrįžtamieji - ląstelių nekrozė ir apoptozė
kas būdinga grįžtamiems pažeidimams
patologinis medžiagų kaupimas
kokie yra pagrnd. grįžtami pažeidimai
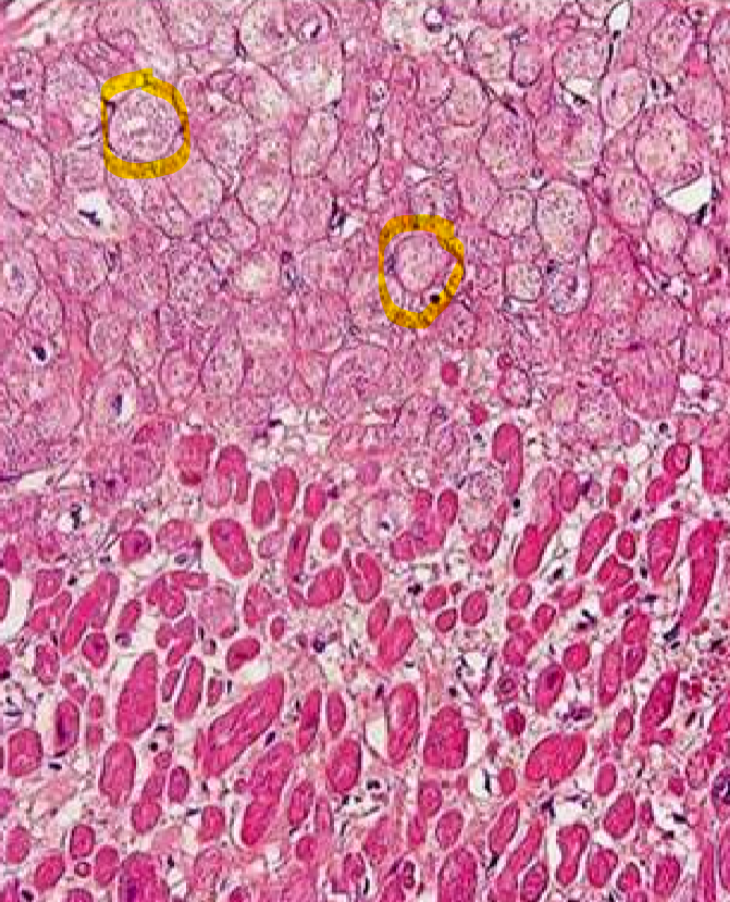
ląstelės patinimas - hidrozė
riebalinę degeneracija (kaupiasi riebalai) - steatozė (lipidozė)
kur vyskta dažniausiai steatozė
kepenyse
kas yra hidrozė
skysčio kaupimas ląst./ tarpląst. ertmėje
kaip atrodo hidrozės pažeistos ląst.
kaupiasi vanduo
patinsta
citoplazma blyški, atsiranda vakuolės
branduolys išsaugomas

kas būdinga grįžtamiems pažeidimams, ląstelės morfologija
ląstlės padidiėjimas
mitochonfrijų, ET pabrinkimas
branduolys nepažeistas, tik yra grūdėtas
pūslėjimasis
skysčių kaupimas

kas būna, jei žalingas veiksnys nepašalinamas
vystosi nekrozė
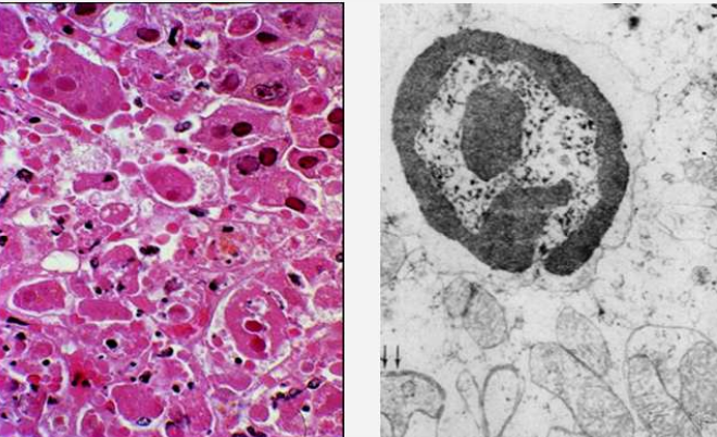
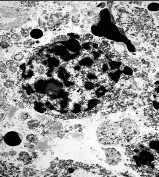
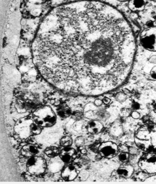
kas būdinga nekrozei - negrįžtamiems pažeidimams (ląstelės morfologija)
branduolio chromatino negrižt. pakitimai
membranos fragmentacija
formuojasi meilininės figūros
ET degradacija
pabrinkimas

kokie yra branduolio nykimo būdai
kariopiknozė
karioreksė
kariolizė
kas vyksta kariopiknozės metu
chromatinas sutrūkinėja ir tankėja, nyksta be pėdsako

kas vyksta karioreksės metu
branduolio chromatinas fragmentuojasi
(dažosi juoda spalva)

kas vyksta kariolizės metu
branduolio chromatinas tirpsta
susdiaro blyškios ertmės

koks procesas vyskta ląstelei mirus
nekrozė
kas yra nekrozė
mirusių ląstelių gyvame organizme morfologiniai pokyčiai
kokios būtinos sąlygos, kad vyktų nekrozė
ląstelė mirusi
organizmas gyvas
kokio tipo gali būti nekrozė
koaguliacinė nekrozė
kolikvacinė (likvefaktinė) nekrozė
kas yra infarktas, dėl ko atsiranda
audinio nekrozė, kurią sukelia išemija
dėl kraujagyslės uzsikimšimo, O2 negavimas
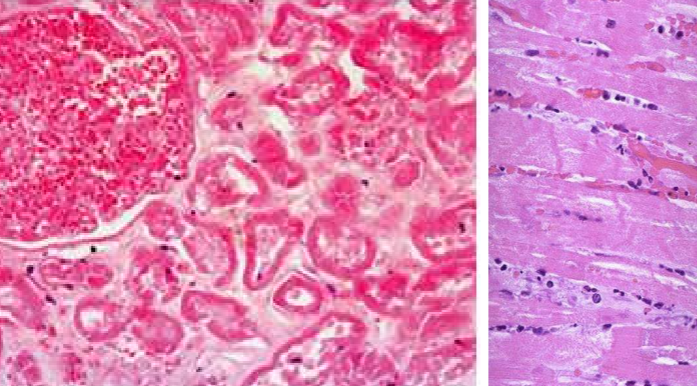
kur ir kas vyskta koaguliacinėje nekrozėje
ten, kur gausu baltymų
denatūruojasi baltymai → audinys balkšvos spalvos
kas vyskta ląstelėje koaguliacinės nekrozės metu mikroskopiškai
kontūrai išlieka
branduolio nematyti

kaip atrodo makroskopiškai koaguliacinė nekrozė
audinys tvritas, kietas, sausas, pilkai gelsvas
aiški riba tarp pažeisto ir sveiko audinio
infarktas būna pleišto formos ir geltonas

koaguliacinės nekrozės pavyzdžiai
miokardo, insktų infarktas
daugiausiai širdyje ir inkstuose, blužnyje
kas ir kur vyskta kolikvacinės nekrozės metu, kas formuojama
audinys skystėja ir tirpsta
ten, kur lipidų yra
formuoja cistines ertmines struktūras

dėl ko vyskta smegenų infarktas, kokia nekrozė
dėl hipoksijos → koalikvacinė nekrozė
kokios yra specifinės nekrozės rušys?
varškinė nekrozė
steatonekrozė
gangrena
kas sukelia varškinę nekrozę
tuberkuliozės bakterijos
varškinės nekrozės pavyzdys
tuberkuliozė

kokia varškinės nekrozės morfologija
gelsvai baltas, sausą varškę primenanti masė
trupi
aplink uždegimo ląstelės

kas dažniausiai pažeidžiamas steatonekroze
riebalinis audinys
kokia steatonekrozės morfologija
kreminė, balta masė
balkšvi žydinukai
riebalų ląst. branduolio nematyti

kas yra gangrena, dėl ko atsiranda
klinikinis terminas, kuris reiškia didelių audinių dalių mirtį dėl kraujotakos sutrikimo
kokio tipo būna gangrenos tipai
sausoji, šlapioji ir dujinė
kada būna sausoji gangrena
kai nutrūksta kraujotaka / susiaurėja kraujagyslių spindis
dėl išemijos

sausosios gangrenos morfologija
audiniai pajuoduoja, susiraukšlėja
mikroskopiškai - nekrozės stuktūriniai pakitimai

kokia šlapiosios gangrenos morfologija + kas sukelia ją
išemija + bakterinė infekcija
audinys tamsus ir šlapias, minkštas, pūliuoja
mikroskopiškai matosi violetinės bakterijos prie pūlių

kas yra detritas
mirusių ląst./audinių liekanos po nekrozės
kuo gali tapti detritas, jei jis nepašalinamas
abscesu arba cista
kokios gali būti nekrozės baigtys
ląstelė tampa svetima medžiaga →fagocitozė
prasideda reaktyvus uždegimas (pašalina jas)
formuojasi jungiamasis audinys - randas
susidaro sekvestrai - kietas nekrozinis audinys
kalcifikacija
kas vyskta reaktyvaus uždegimo metu
pašalinamos mirusos ląstelės
kas yra sekvestras
sekvestrai - nekrozavusios audinio dalys, atskirtos nuo sveiko audinio
kas matoma rande (nekrozės viena iš baigčių)
susiformuoja jungiamasis audinys
matomos mikroskopiškai imuninės ląst - neutrofilai, branduolio nėra

kaip klasifikuojama apoptozė pagal tai, iš kur ląst. pasiekia signalas
vidinis (nuo mitochondrijų) aktyvavimo kelias
išorinis (nuo mirties recept. priklausomų ligandų) aktyvavimo kelias

vidinis (nuo mitochondrijų) aktyvavimo kelias:
įvyksta struktūrinis paktinimas
siganlas BH3 baltymams
aktyvuoja BAX baltymą
mitochondirjos išorinė membrana formuoja kanalą
citochromas C+faktoriai formuoja apoptozės struktūrą
aktyvuoja apopttozės baltymus - kaspazes 9
ląst. citoskeleto ardymas

kas yra kaspazė 9
pagrd. apoptozės baltymas, kuris pasižymi proteoliziniu aktyvumu
išorinis (nuo mirties recept. priklausomų ligandų) aktyvavimo kelias
gauna išorinį signalą → FasL jungiasi su mirties recept. → keičiasi vidinė struktūra → aktyvuojama kaspazė 8 → aktyvuojamos kitos kaspazių kaskados

kuo pasižymi kaspazė 8
autokataliziniu aktyvumu (pati save katalizuoja)
koks yra kaspazių aktyvacijos rezultatas?
branduolio fragmentacija, ardomas citoskeletas → formuojasi apoptoziniai kūneliai → susidaro receptoriai, kuriuos tapažįsta imuninės ląst.
kokie yra apoptozės morfologiniai požymiai?
sumažėjęs tūris
ryškia rožinė citoplazma
intensyvi branduolio melyna spalva - branduolio fragmentacija
apoptoziniai kūneliai
nėra uždegimo

apoptozės ir nekrozės skirtumai
Apoptozė = „tvarkingas, kontroliuojamas ląstelės savižudybės procesas“, funkcija – pašalinti nereikalingas ar pažeistas ląsteles, uždegimo nėra.
Nekrozė = „nevaldomas ląstelės žūtis dėl pažeidimo“, funkcija – organizmas bando pašalinti mirusią medžiagą, atsiranda uždegimas.

koks procesas yra patologinis medžiagų kaupimasis (grįžtamas/negrįžtamas)
grįžtamas procesas
kur vyksta patologinis medžiagų kaupimasis
• ląstelėse
• tarpląstelinėje medžiagoje
• ertminiuose organuose (akmenligė)
kokie yra patologinio medžiagų kaupimosi mechanizmai? (dėl ko kaupiasi)
• padidėjęs patekimas
• padidėjusi sintezė
• sutrikusi degradacija
• sutrikęs išskyrimas
kas yra hidrozė?
ląstelės patinimas dėl skysčių kaupimosi citoplazmoje

dėl ko vyskta hidrozė
sutrikusio Na/K siurblio
sutrikusio pralaidumo

patologinis procesas
kepenų cirozė
kepenų geltos patogeninis mechanzimas
kepenų ląst. žūsta → kepenų fibrozė (jung.a.) → ji progresuoja, susidaro ciroziniai mazgai → kepenų cirozė → kepenų gelta
kas yar kepenų gelta?
būklė, kai organizme padidėja bilirubino kiekis
kaip susidaro bilirubinas, kas tai
kai ardomi seni/pažeisti eritrocitai
hemoglobino skilimo produktas
kaip skirstoma gelta pagal jos tipą? + ką reiškia
hemolizinė - suintensyvėjusi eritrocitų hemolizė
hepatoceliulinė - kepenų ląst. pažeidimai
cholestazinė - sutrikęs tulžies išskyrimas iš tulžies latako
kaip skirstoma kepenų gelta pagal anatominę lokazaciją? + ką reiškia
prehepatinė - bilirubino perteklius iki kepenų
hepatinė - kepenyse
posthepatinė - sutrikęs tulžies išskyrimas
kaip skirstoma kepenų gelta pagal hiperbilirubinemijos tipą?
konjuguotas bilirubinas
nekojunguotas bilirubinas
nekonjuguotas bilirubinas (kur susidaro, apibūdinimas)
netieisoginis
susidaro irstant eritrocitams iki pasiekiant kepenis
pirminė bilirubino forma
toksiškas
konjuguotas bilirubinas (kur susidaro, apibūdinimas)
tieisoginis
kepenų ląstelėse
kepenų apdorotas
netoksiškas
kaip skirstoma gelta pagal patogenezinį mechanizmą?
Gelta su nekonjuguoto tipo hiperbilirubinemija
Gelta su konjuguoto tipo hiperbilirubinemija
dėl ko atsiranda gelta su nekonjuguoto tipo hiperbilirubinemija
dėl bilirubino pertekliaus
sutrikusios adsorbcijos
transporto
hepatocituose ir konjugacijos
dėl ko atsiranda gelta su konjuguoto tipo hiperbilirubinemija
dėl sutrikusio intrahepatinio ir ekstrahepatinio tulžies išskyrimo
geltos tipas, kai susidaro per daug bilirubino kraujyje
nekonjuguota
hemolizinė
prehepatinė
geltos tipas, kai yra susilpnėjusi bilirubino adsorbcija ir transportavimas hepatocituose
nekojunguota
hepatoceliulinė
hepatinė
geltos tipas, kai yra sutrikusi tulžies konjugacija (prijungimas)
nekojunguota
hepatoceliulinė
hepatinė
geltos tipas, kai sutrikusi bilirubino eksrecija iš hepatocitų
kojunguota
cholestazinė
hepatinė
geltos tipas, kai yra tulžies obstrukcija (nutekėjimas)
konjuguota
cholestazinė
posthepatinė
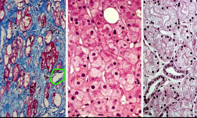
kas yra suriebėjimas
patologinis neutraliųjų riebalų kaupimasis ląstelėse
kaip dar vadinamas suriebėjimas
lipidoze
kur dažniausiai vyksta ląst. lipidozė
parenchiminėse ląstelėse: hepatociutose, rečiau kardiomiocituose, inksto epitleio
lipidozės/suriebėjimo morfologija
ląstelė padidėjusi
citoplazmoje baltai geltoni ląšeliai
išsaugo savo konfiguraciją
gali ląstelė atsistatyti

kas sąlygoja audinių suriebėjimą?
lėtinė hipoksija
intoksikacija (apsinuodijimas, taip pat ir alkoholiu)
koks svarbiausias ląstelių lipidozės mechanizmas
infiltracija
nutukimo apibrėžimas:
neutraliųjų lipidų kaupimasis stromos jungiamojo a. audinio ląstelėse
dėl ko atsiranda nutukimas?
dėl lipidų/angliavandenių pertekjlinio vartojimo
endokrinologinės patologijos
kokie yra nutukimo tipai pagal riebalinio a. didėjimo vietą?
somatinis - poodinio riebalinio a. didėjimas
visceralinis - didėja ten. kur supa vidinius organus
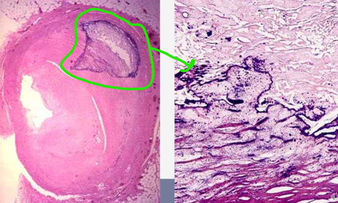
kas yra kalcinozė?
Ca2+ druskų pertekliaus kaupimas audiniusoe
kokie yra kalcinozės tipai?
petrifikacija
metastazinis kalkėjimas
petrifikacija, kur vyksta, nuo ko priklauso/nepriklauso
kaupiasi pažeistame audinyje (nekrozė, uždegimas, randas)
nepriklauso nuo Ca konc. kraujyje

metastazinis kalkėjimas, kur vyksta, priežastys
audinys sveikas, bet Ca konc. kraujyje padidėjusi (hiperkalcinemija)
atsiranda dėl navikų metastazės kauluose, padidėjusi Ca absorbcija, Ca išsiskyrimas iš kaulų, sumažėjęs Ca išsiskyrimas pro inkstus, vit D perteklius
dažniausiai inkstuose, plaučiuose

dėl ko gali būti Ca druskų deficitas audiniuose
vit. D stokos ir sutrikusios Ca rezorbcijos
kokias ligas lemia Ca druskų deficitas
rachitas - vaikams
osteomaliacija - suaugusiems
rachito morfologija
plačios epifizinės linijos - rachitiniai karoliai
subperiostinės medž. perteklius kaktikaulyje ir maleoluose (kulnkšneliusoe) -deformuoti kaulai
pakaušio kaulo lankstumas
kojų iškrypimas X, O
kaulinės sijos netvarkingos

osteomaliacijos požymiai
minkšti kaulai
lengvi lūžiai
kaip dar vadinamas konkrementų susidarymas
akmenligė
kas yra akmenligė, kur būna
kietų nuosėdu (akmenų) nusėdimas ertminiuose organuose/ liaukų latakuose
kokios gali būti akmenligės
tulžies pūslės
inkstų ir šlapimo takų
bronchų - broncholitai
žarnos - koprolitai
kasos - pankreolitai
seilių liaukų - sialolitai
akmenligės mechanizmas
kristalizacija (druskų)
dėl ko gali susidaryti akmenligė
padidėjusios medž. konc. sekrete/ ekskrete
sekreto/ekskreto stazė → kliūtis nutekėjimui