1/75
Name | Mastery | Learn | Test | Matching | Spaced | Call with Kai |
|---|
No analytics yet
Send a link to your students to track their progress
short term ingestion of 80g of ethanol (6 beers) over one to several days leads to
reversible steatosis
freq cause of acute and chronic liver disease in us
ethanol
findings in alcoholic liver disease
steatosis
hepatitis
cirrhosis (only 10%)
ast and alt in alcoholic liver disease
AST>ALT (toxic to mitochondria)
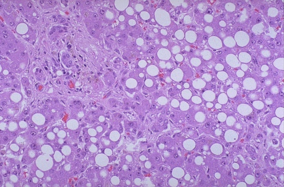
steatosis in alcoholic liver disease
predominantly macrovesicular: fat deposition displaces nucleus
usually reversible, eventual fibrosis around central vein
toxic ethanol metabolite
acetaldehyde

fatty liver

macrovesicular steatosis in fatty liver

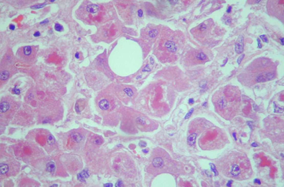
mallory bodies, “alcoholic hyaline”
what are mallory bodies?
aggregates of cytokeratin intermediate filaments in the cytoplasm resulting from hepatocyte injury
most common cause of chronic liver disease in US
assoc with insulin resistance/obesity
metabolic dysfunction associated steatotic liver disease (MASLD)
previously known as Nonalcoholic fatty liver disease (NAFLD)
steatosis, predominantly macrovesicular
greasy yellow liver
in those who consume little to no alcohol
steatohepetitis
cirrhosis (minority)
MASLD
liver enzymes in MASLD
ALT>AST
MASLD vs ALD
they look very similar but in ALD AST>ALT like 2:1 and in MASLD its ALT>AST
asymptomatic or fatigue, malaise, RUQ discomfort
steatosis clinical picture
diffuse nodule formation in liver due to fibrous bands subdividing liver into regenerative nodules
previously thought to be irreversible but increasing evidence it cane improve/regress with control of disease
50% of cases are alcoholic liver disease
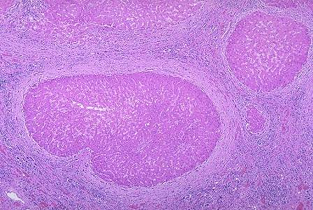
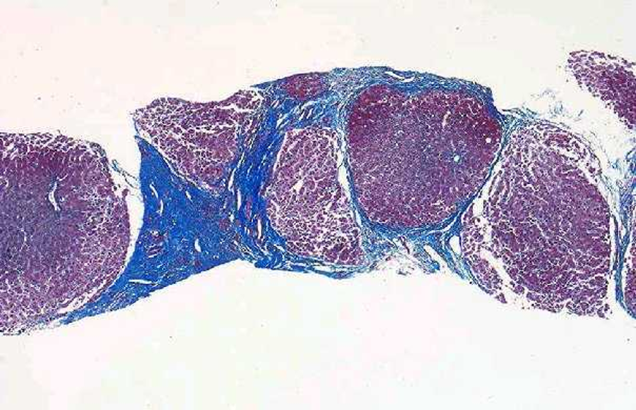
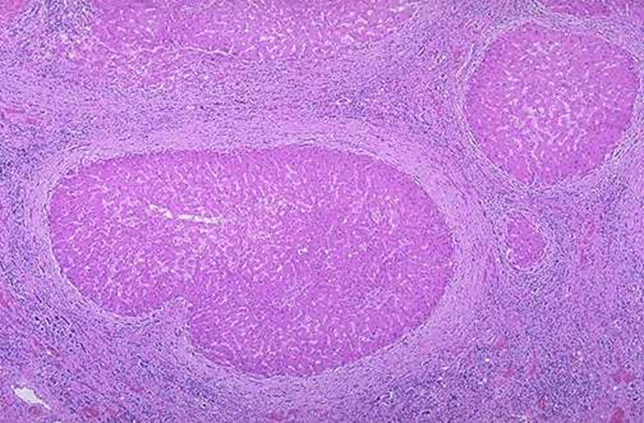
cirrhosis
what mediates fibrosis in cirrhosis
TGF-B produced by stellate/ito cells

cell death, regeneration, and fibrosis in cirrhosis

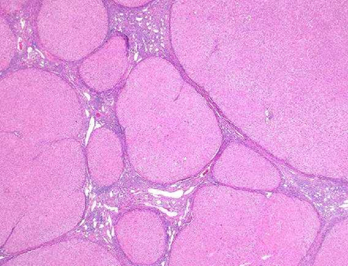
<3 mm
micronodular cirrhosis

>3mm
macronodular cirrhosis

multiplie regenerative nodules in cirrhosis

trichrome stain
fibrous bands dividing liver into nodules

microscopically
regenerative noduiles surrounded by fibrous connective tissue that bridges between portal tracts
within collagenous tissue, scattered lymphocytes and proliferation of bile ducts
posthepatic cause of portal HTN
budd chiari → congenital malformation and thrombosis of IVC
hepatic causes of portal HTN
liver cirrhosis (most common cause in US of portal HTN)
schistosomiasis
idiopathic
prehepatic causes of portal HTN
splenic/mesenteric vein thrombosis
AV fistula
congenital stenosis of PV
extrinsic compression of portosplenic venous axis
increase in pressure in portal HTN can lead to
ascites
splenomegaly
esophageal/gastric varices
hemorrhoids
caput medusae
hepatic encephalopathy
spider angiomas
testicular atrophy/amenorrhea
hepatorenal syndrome

caput medusae
trematodes/flukes cause this
schistosomiasis
symptoms of schistosomiasis are caused by
body’s reaction to the eggs, not the worms themselves
s mansoni and s japonicum predominantly affect
liver and gut
s haematobium affects the
bladder
systemic hypersensitivity reaction that may occur weeks after the initial infection, esp s mansonia and s japonicum.
fever, cough, ab pain, diarrhea, hepatosplenomegaly, eosinophilia
acute schistosomiais/Katayama fever
how do chronic cases of schistosomiasis lead to portal htn
inflamm. response → activates host stellate cells → fibrosis → portal HTN
pathogenesis of reye syndrome
injury to mitochondria in hepatocytes → impaired FA metabolism
microvesicular steatosis (fat does not displace nucleus)
elevated ammonia → cerebral edema, intracranial pressure/coma
hypoglycemia (decreased hepatic gluconeogenesis, no resp to glucagon)
reye syndrome
liver failure and encephalopathy in young kids, can be fatal
kids with viral illness get treated with aspirin
most common primary tumor of the liver
hemangioma
benign vascular neoplasm, ASX incidental

hemangioma

in women of childbearing age
assoc with oral contraceptive use, regresses w/d/c of hormones
hepatic adenoma
hepatic adenoma can be mistaken for
carcinoma
hepatic adenomas are at risk for
rupture when they are subcapsular, esp during preg when hormones are high → life threatending hemorrhage
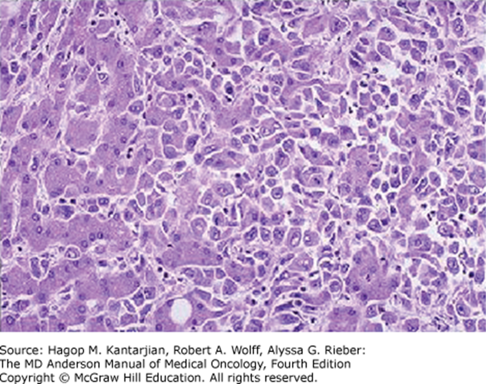
most common primary malignant tumor of liver
HCC hepatocellular carcinom
RF for HCC
chronic hepatitis
HBC and HCV strongly assoc. HBV carriers 200x increased risk
chronic liver disease
cirrhosis
Aflatoxin from aspergillus flavus present on peanuts and grains
induces p53 mutations
clinical picture for HCC
patients often already has cirrhosis
elevated serum AFP
hematogenous spread
hep vein obstruction/thrombosis (budd chiari) can lead to infarct
may secrete EPO
most die within 2 yrs diagnosis

large bulky greenish cast
smaller satellite nodules
hepatocelluar carcinoma

irreg thickend cords of pleomorphic atypical cells with frequent prominent nuclei
HCC
malignant neoplasm of vascular endothelial cells
rarely originates in liver
assoc with exposure to Thorotrast, arsenic, vinyl chloride
lethal, widespread mets
angiosarcoma
pleomorphic malignant cells with poorly formed vascular spaces
angiosarcoma

multicentric hemorrhagic nodules
angiosarcoma
most common cancer in liver
usually results in heptomegaly and mult nodules on exam
metastatic carcinoma
adults; colon breast lung panc
kids: neuroblastoma, wilms, rhabodomyosarcoma

some central necrosis in larger mass lesions
obstruction from masses elevates alkaline phosphatase but not all bile ducts obstructed so usually no hyperbilirubinemia
transaminases usually not greatly elevated
metastatic carcinoma
prehepatic jaundice causes
anything that increases hemoglobin breakdown
congenital and acquired hemolysis
hepatic jaundice causes
congenital abnormalities of hemoglobin
gilbert disease (metabolism)
posthepatic jaundice causes
mechanical obstruction to bile flow

processes involved in conjugation
issues with bilirubing conjugation
neonatal jaundice
toxic jaundice
crigler najar syndrome
gilbert syndrome
problems with secretion of conjugated bilirubin
dubin johnson syndrome
impaired uptake of unconjugated bilirubin
drugs
damage
injury
what turns conjugated bilirubin to urobilinogen
converted by bacteria in the gut
RBC hemolysis → increased unconjugated bilirubin in blood
liver tries to compensate → more conjugated bilirubin in the bile
hemolytic anemia bilirubin effects
increased risk of this with hemolytic anemia
pigmented gallstones
dark urine
what leads to physiologica jaundice of newborn
fetal red cells have short life span → breakdown increased unconjugated bilirubin in the blood
Low UGT (UDP glucuronyl transferase enzyme) → decreased conjugation of bilirubin
decreased gut bacteria → increased deconjugation of bilirubin by intestinal beta glucuronidase and increase reabsorption of unconjugated bilirubin
→ buildup of unconjugated bilirubin
complications of neonatal physiologic jaundice
kernicterus
unconjugated bilirubin is not water soluble but it is fat soluble, can get into brain/basal ganglia
→ neuro damage/death
kernicterus
tx for newborn jaundice
phototherapy. transforms unconjugated into water soluble isomers (NOT CONJUGATING IT)
autosomal recessive UGT1A1
decrease in UGT activity in liver → decreased conjugation
buildup and mild increase in unconjugated bilirubin
gilbert syndrome
autosomal recessive UGT1A1 gene
two types:
absence of UGT, no response to phenobarbital
greatly decreased UGT, responds to phenobarbital
marked decreased conjugation, marked increase in unconjugated bilirubin
crigler najar syndrome
crigler najar syndrome, esp type I, may results in
fatal kernicterus
definitive tx for crigler najar type I
liver transplant

good to look at
rare autosomal recessive disease ABCC2 (MRP2) gene mutation
defect in bilirubin canalicular transport protein, decreased bilirubin excretion → buildup of conjugated bilirubin, leaks into blood → dark pigment , liver appears black,
ASx and not clinical significant
coproporphyrin excretion is normal
dubin johnson syndrome
dark pigment in dubin johnson accumulates in ______ and contains ______
hepatocye lysosomes
epinephrine metabolites

dubin johnson syndrome
rare autosomal recessive disease SLCO1B1/B3 gene mutations
affects organix anion transporting polypeptides OATP1B1/B3
results in defect in reuptake/storage of conjugated hyperbilirubinemia → decreased bili excretion
INCREASED urinary copropoyphyrin (comp with DJS)
rotor syndrome
less severe than DJS
liver not black/discolored
biopsy appears normal
rotor syndrome
increased serum unconjugated bilirubin (hepatocyte destruction) and increased serum conjugated bilirubin (biliary duct destruction)
dark urine → increased conj bilirubin in urine
normal to decreased urine bilinogen → nor to dec urobilinogen prod in gut
viral hep and jaundice