1/67
Looks like no tags are added yet.
Name | Mastery | Learn | Test | Matching | Spaced | Call with Kai |
|---|
No analytics yet
Send a link to your students to track their progress
Prostate
a gland surrounding the neck of the bladder in male mammals and releasing prostatic fluid.

Seminal vesicles
paired sac-like exocrine glands that secrete fluid into the vas deferens

Ejaculatory duct
duct formed by the union of the vas deferens with the duct of the seminal vesicle; its fluid is carried into the urethra

Ductus deferens
a thin, white cord that carries sperm out from the epididymis; loops over the ureter near attachment of ureter to urinary bladder and joins to the ureter on the dorsal wall

Ampulla of ductus deferens
an enlargement of the vas deferens at its termination point just before the site where the duct of the seminal vesicle joins the ductus deferens

Bulbourethral glands
Small paired gland found inferior to the prostate in males and at the posterior end of the spongy urethra.

Testicular a.
branch of the abdominal aorta

Testicular v. (Pampiniform plexus)
formed by the pampiniform plexus

Cremaster muscle
Muscle that pulls the scrotum closer to the body in cold temperatures and relaxes to let the testicles be farther away from the body in warmer weather

Testis
male reproductive organ that produces sperm and hormones

Tunica albuginea of testis
a fibrous connective tissue layer that directly covers the testis

Septa of testis
multiple septa formed from the tunica albuginea that course toward the mediastinum testis and separate the testicle into lobules

Lobules of Testis
contains a set of seminiferous tubules

Seminiferous tubules
Narrow, coiled tubules that produce sperm in the testes.

Rete testis
network of tubules between the seminiferous tubules and the epididymis

Epididymis
A long, coiled duct on the outside of the testis in which sperm mature.

Head of epididymis
contains efferent ductules and is located on superior aspect of testis

Body of epididymis
coiled tubes pass through the body

Tail of epididymis
tubes begin to uncoil to become a single tube called the ductus deferens

Bulb of penis
the expanded end of the spongy body

Crura of penis
2 separated and tapered portions of the corpora cavernosa penis

Corpus spongiosum
surrounds urethra and expands to form glans and bulb

Corpora cavernosa
two columns of erectile tissue found in the shaft of the penis

Bulbospongiosus
Males: helps empty urethra
Females: constricts vagina

Ischiocavernosus
Assists bulbospongiosus

Glans penis
the conical mass of erectile tissue that forms the head of the penis


Superficial dorsal vein
#1

Deep dorsal vein
drains blood from erectile tissues in penis (#3)

Tunica albuginea of penis
(#7) Like in the testicles - a tough white connective tissue to protect the penis.
Encloses the cavernous bodies and the spongy body, just under the skin

Labia majora
the larger outer folds of the vulva.

Labia minora
Smaller pair of skin folds that protect the vaginal opening

Vestibule of vulva
space enclosed by the labia minora

Glans clitoris
exposed portion of the clitoris

Body of clitoris
connects glans clitoris to the crura

Crura of clitoris
arms of clitoris associated with inferior ischiopubic rami

Bulbs of the vestibule
bodies of erectile tissue lying to either side of the vaginal orifice

Greater vestibular glands
Located at the opening of the vagina to the outside, lubricates the vaginal surface for intercourse

Vagina
A muscular, elastic passageway that extends from the uterus to the outside of the body

Round ligament of the uterus
connects uterine fundus to labia majora

Uterus body
major portion of uterus

Fundus of uterus
rounded region superior to the entrance of the uterine tubes

Cervix
neck of the uterus

External os
the opening of the cervical canal of the uterus into the vagina

Cervical canal
a spindle-shaped canal extending from the uterus to the vagina

Endometrium
inner, mucous membrane lining of the uterus

Myometrium
muscular middle layer of the uterus

Fallopian tubes
tubes which carry eggs from the ovaries to the uterus and which provides the place where fertilization occurs

Fimbriae
finger or fringe like projections at the end of the fallopian tubes

Infundibulum of uterine tube
Wide opening of uterine tube that 'catches' ovulated oocytes

Ampulla of uterine tube
bend in uterine tube

Isthmus of uterine tube
the narrowest part of the uterine tube immediately adjacent to the uterus

Ovary
Gonad of females

Ovarian ligament
anchors ovary medially to uterus

Ovarian artery
supplies blood to the ovaries

Scrotum

Bulbospongious muscle of female

Ischiocavernosus muscle

Fornix

Broad Ligament of the Uterus
connects to the uterus to pelvic wall

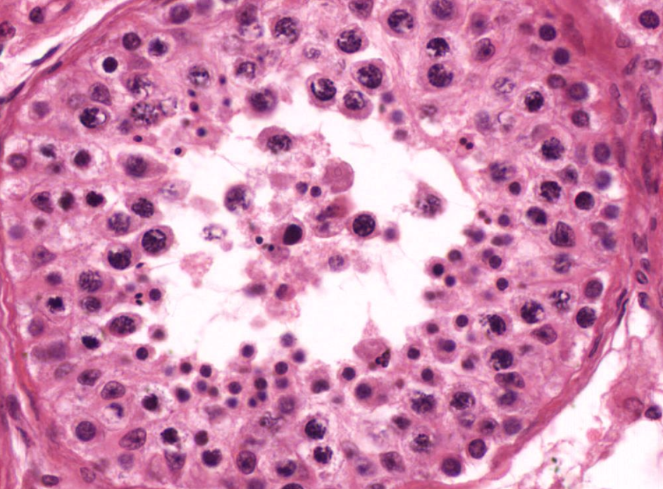
Memorize seminferous tubles

Memorize everything except for primary spermatocytes and spermatids


Primary Spermatocytes
arise from spermatogonia and cross from the basal epithelial to luminal compartment of the germinal epithelium. usually the second layer after the spermatogonia

Spermatids
smaller after they have gone through the 2nd meiotic division. Their nuclei begin to take a pointed shape.
Memorize all

Memorize all

Memorize all

Memorize all

Zoomed in picture of Primordial follice
